Ревматические болезни
Класcификация ревматических болезней
Ревматические заболевания имеют ряд общих признаков:
Системная прогрессирующая дезорганизация соединительной ткани.
Мукоидное набухание
Ревматизм (болезнь Сокольского — Буйо)
Клинико-морфологические формы
Эндокардит — главное проявление кардиоваскулярной формы ревматизма.
Выделяют 4 вида ревматического клапанного эндокардита
ОСТРЫЙ БОРОДАВЧАТЫЙ ЭНДОКАРДИТ МИТРАЛЬНОГО КЛАПАНА СЕРДЦА
ВОЗВРАТНО-БОРОДАВЧАТЫЙ ЭНДОКАРДИТ СО СТЕНОЗОМ МИТРАЛЬНОГО КЛАПАНА
, gross This mitral valve is seen from the inflow from the left atrium and demonstrates the typical fish mouth shape following
Исход эндокардита
Миокардит — одно из частых проявлений ревматизма.
Узелковый миокардит
Перикардит
ИСХОДЫ ПЕРИКАРДИТА
Полиартритическая форма ревматизма.
Полиартритическая форма ревматизма
Нодозная (узловатая) форма ревматизма
Нодозная форма ревматизма
Осложнения ревматизма
Системная красная волчанка (болезнь Либмана — Сакса)
Симптом “Бабочки”
Эндокардит Либмана и Сакса
Периартериальный “луковичный” склероз
Осложнения при СКВ
Ревматоидный артрит
Этиология РА.
Клинические проявления.
Ревматоидный артрит
Ревматоидный синовиит
Осложнения ревматоидного артрита
Осложнения ревматоидного артрита
Исход ревматоидного артрита
Системная склеродермия (системный склероз)
Системная склеродермия
Органы мишени
Системная склеродермия
Исход.
Микропрепарат № 102 Узелковый продуктивный миокардит (гранулематозный), (окр. г.+э., Б. ув.).
18.99M
Категория: МедицинаМедицина

Ревматические болезни

1. Ревматические болезни

системные заболевания
соединительной ткани с
иммунными нарушениями
Ревматические болезни

2. Класcификация ревматических болезней

ревматизм;
ревматоидный артрит (РА);
системная красная волчанка (СКВ);
системна склеродермия (ССД);
узелковый периартериит (УП) и
другие системные васкулиты;
дерматомиозит;
болезнь (синдром) Шегрена;
Болезнь Бехтерева.

3. Ревматические заболевания имеют ряд общих признаков:

наличие хронической очаговой
инфекции;
выраженные нарушения
иммунологического гомеостаза;
генерализованные васкулиты;
хроническое волнообразное течение;
системная прогрессирующая
дезорганизация соединительной ткани.

4. Системная прогрессирующая дезорганизация соединительной ткани.

Складывается из 4 фаз:
мукоидного набухания;
фибриноидных изменений (проявление
реакции гиперчувствительности
немедленного типа);
воспалительных клеточных реакций
(выражение реакции гиперчувствительности
немедленного и замедленного типов);
склероза.

5. Мукоидное набухание

Стадии дезорганизации соединительной
ткани
Мукоидное
набухание
Фибриноидные
изменения
Гранулематозное
воспаление
Склероз

6. Ревматизм (болезнь Сокольского — Буйо)

инфекционно-аллергическое
заболевание с преимущественным
поражением сердца и сосудов,
волнообразным течением, периодами
обострения и затихания.

7. Клинико-морфологические формы

В зависимости от преимущественного
поражения того или иного органа
различают 4 формы ревматизма
кардиоваскулярную,
полиартритическую,
нодозную
церебральную.

8. Эндокардит — главное проявление кардиоваскулярной формы ревматизма.

По локализации различают
клапанный,
хордальный,
пристеночный эндокардит.

9. Выделяют 4 вида ревматического клапанного эндокардита

диффузный (или вальвулит),
острый бородавчатый,
фибропластический,
возвратно-бородавчатый.

10. ОСТРЫЙ БОРОДАВЧАТЫЙ ЭНДОКАРДИТ МИТРАЛЬНОГО КЛАПАНА СЕРДЦА

11.

Rheumatic heart disease, gross
Acute rheumatic fever can produce pancarditis, but shown here are the characteristic small verrucous
vegetations (A) of rheumatic endocarditis. These vegetations are located over areas of fibrinoid
degeneration on the valve cusp margins and are composed mainly of fibrin. These vegetations,
composed of platelets and fibrin and located at the valve closure line, are usually no more than 2 mm
in size but may produce an audible murmur. These lesions are not likely to embolize and do not
produce significant valvular deformity at this early stage of rheumatic valvulitis.

12.

13. ВОЗВРАТНО-БОРОДАВЧАТЫЙ ЭНДОКАРДИТ СО СТЕНОЗОМ МИТРАЛЬНОГО КЛАПАНА

14. , gross This mitral valve is seen from the inflow from the left atrium and demonstrates the typical fish mouth shape following

chronic rheumatic valvulitis with scarring. The mitral valve is
most often affected with rheumatic heart disease, followed by mitral and aortic together,
then aortic alone, then mitral, aortic, and tricuspid together.

15. Исход эндокардита

Склероз, гиалиноз клапанов, и
формируется порок сердца.
Порок сердца при ревматизме
представлен либо стенозом, либо
недостаточностью клапанов.
Наиболее часто встречается
комбинация этих видов пороков.
Поражаются чаще всего митральный
(75 %) и аортальный (до 25 %) клапаны.

16. Миокардит — одно из частых проявлений ревматизма.

Выделяют 3 формы миокардита:
узелковый (гранулематозный),
диффузный интерстициальный
(межуточный) экссудативный,
очаговый интерстициальный
(межуточный) экссудативный.

17. Узелковый миокардит

образование гранулем в периваскулярной
соединительной ткани различных отделов
сердца.
Гранулемы находятся в различных фазах
развития: "цветущие", "увядающие",
"рубцующиеся".
В миоцитах - белковая или жировая
дистрофия.
Исход - диффузный мелкоочаговый
кардиосклероз.

18.

Rheumatic heart disease, microscopic
A characteristic microscopic feature is the Aschoff nodule, which typically occurs in the
myocardial interstitium. It is a nodular collection of inflammatory cells, mainly mononuclear. It is a
manifestation of acute rheumatic fever, which occurs 10 days to 6 weeks after group A
streptococcal pharyngitis. This carditis results from an immunologic cross-reaction with the
streptococcal capsular M protein and can affect endocardium, myocardium, and epicardium,

19.

Rheumatic heart disease, microscopic
Here is an Aschoff nodule at high magnification. The most characteristic cellular component is the
Aschoff giant cell. Several of these appear here as large cells with two or more nuclei that have
prominent nucleoli. Scattered inflammatory cells accompany them and can be mononuclear cells
or occasionally neutrophils. Such inflammation can occur not only in the myocardium but also in
the endocardium (including valves) and the epicardium. Involvement of all three cardiac layers is

20.

Myocarditis, microscopic. The interstitial lymphocytic infiltrates shown are characteristic for a viral
myocarditis, which is probably the most common type of myocarditis. There is usually little
accompanying myofiber necrosis. Many of these cases are probably subclinical, but findings may
include fever and chest pain. In severe cases, cardiac failure leads to dyspnea and fatigue. The
first manifestation may be arrhythmia, which can be a cause for sudden death in young people. A
late sequela may be dilated cardiomyopathy. The most common viral agents are

21. Перикардит

серозный,
фибринозный
серозно-фибринозный.
характерен полисерозит.

22.

Fibrinous pericarditis. A, Deposits of fibrin on the
pericardium.

23.

Fibrinous pericarditis, microscopic. The pericardial surface here shows strands of
pink fibrin extending outward. There is underlying inflammation. Eventually, the fibrin
can be organized and cleared, although sometimes adhesions may remain. Fibrinous
pericarditis results from inflammation or vascular injury that leads to exudation of fibrin,
typically with fluid. Causes include an underlying myocardial infarction, uremia,
rheumatic carditis, autoimmune diseases (although these are most often mostly

24. ИСХОДЫ ПЕРИКАРДИТА

образование спаек в полости
перикарда.
полная облитерация полости перикарда
и обызвествление фибринозных
наложений (панцирное сердце).

25.

Fibrinous pericarditis, gross. A window of adherent pericardium has been reflected to reveal
the epicardial surface of the heart. The thin strands of fibrinous exudate extend from the
epicardial surface to the pericardium. This is a typical appearance of a fibrinous pericarditis. A
key clinical finding is a friction rub (heard by the student on the night of admission to hospital but
disappearing with increasing serous fluid collection by the time the attending physician examines
the patient on morning rounds, by which time the term serofibrinous pericarditis is more

26. Полиартритическая форма ревматизма.

Поражаются мелкие и крупные суставы.
В полости суставов развивается серознофибринозное воспаление.
Синовиальная оболочка полнокровная,
выражены васкулиты, пролиферация
синовиоцитов, соединительная ткань
подвергается мукоидному набуханию.
В полости сустава формируется экссудат (обычно
серозный).

27. Полиартритическая форма ревматизма

28. Нодозная (узловатая) форма ревматизма

Встречается у детей.
Характеризуется дезорганизацией
соединительной ткани в околосуставной
области и по ходу сухожилий.
Обнаруживаются крупные очаги
фибриноидного некроза, окруженные
клеточной реакцией (лимфоциты,
макрофаги, гистиоциты).

29. Нодозная форма ревматизма

30. Осложнения ревматизма

тромбоэмболический синдром
(обусловлен бородавчатым
эндокардитом).
сердечно-сосудистая недостаточность
(порок сердца, декомпенсация).
спаечный процесс в полостях
перикарда, плевры, брюшной полости.

31. Системная красная волчанка (болезнь Либмана — Сакса)

системное заболевание с выраженной
аутоиммунизацией, имеющее острое
или хроническое течение и
характеризующееся
преимущественным поражением кожи,
сосудов и почек.

32.

Наиболее тяжело при СКВ поражаются кожа,
почки и сосуды.
На коже лица - красная "бабочка"
(пролиферативно-деструктивный васкулит в
дерме, отек сосочкового слоя, очаговая
периваскулярная лимфогистиоцитарная
инфильтрация).
Иммуногистохимически - депозиты иммунных
комплексов в стенках сосудов и на базальной
мембране эпителия.
Все эти изменения расцениваются как
подострый дерматит

33. Симптом “Бабочки”

34.

Lupus erythematosus, gross
This young woman has a malar
rash (the so-called butterfly
rash because of the shape of
the reddened skin across the
cheeks). Such a rash suggests
lupus. More sharply demarcated
"discoid" scaling plaques may
also occur. The variant of lupus
known as discoid lupus
erythematosus (DLE) involves
mainly just the skin and is,
therefore, relatively benign
compared with systemic lupus
erythematosus (SLE), which
typically is a systemic disease
that affects internal organs
such as the kidney, but may
manifest with skin rashes in
one third of cases. In either DLE
or SLE, sunlight exposure
accentuates this erythematous
rash. A small number (5% to
10%) of DLE patients go on to
develop SLE (usually those DLE
patients with a positive
antinuclear antibody).

35.

Lupus erythematosus, microscopic
This is a severe inflammatory skin infiltrate in the upper dermis of a patient
with SLE in which the basal layer (*) is undergoing vacuolization and
dissolution, and there is purpura with red blood cells (♦) spilling out of blood
vessels into the upper dermis (which is the reason for the rash). A lymphocytic
infiltrate is present at the dermal-epidermal junction.

36.

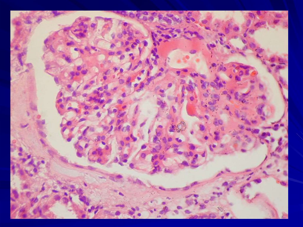
В почках - волчаночный гломерулонефрит.
Микро: "проволочные петли", очаги
фибриноидного некроза, гематоксилиновые
тельца, гиалиновые тромбы.
Морфологически типы гломерулонефрита:
мезангиальный (мезангиопролиферативный,
мезангиокапиллярный)
очаговый пролиферативный,
диффузный пролиферативный,
мембранозная нефропатия.
Исход - сморщивание почек.

37.

38.

39.

В сердце - абактериальный
бородавчатый эндокардит (эндокардит
Либмана — Сакса),
характерный признак - наличие в очагах
некроза гематоксилиновых телец.

40. Эндокардит Либмана и Сакса

41. Периартериальный “луковичный” склероз

42. Осложнения при СКВ

волчаночный нефрит — почечная
недостаточность.
Иногда в связи с интенсивным
лечением кортикостероидами и
цитостатическими препаратами могут
возникнуть гнойные и септические
процессы, "стероидный" туберкулез.

43. Ревматоидный артрит

хроническое заболевание, основу
которого составляет системная
дезорганизация соединительной ткани с
прогрессирующим поражением в
основном периферических
(синовиальных) суставов, с развитием
продуктивного синовиита, деструкции
суставного хряща с последующей
деформацией и анкилозом суставов.

44. Этиология РА.

Выделяют 3 основных фактора:
1. Генетическая предрасположенность.
2. Инфекционный фактор:
- парамиксовирусы, гепатовирусы, герпесвирусы,
ретровирусы.
3. Пусковой фактор
- переохлаждение, интоксикации, мутагенные
медикаменты, стрессы.

45. Клинические проявления.

Выделяют 3 основных проявления:
1) поражение суставов: артриты и анкилозы;
2) воспалительные поражения околосуставных
тканей: тендосиновиты, бурситы, синовиальная
киста вокруг сустава; амиотрофии; поражение
связочного аппарата с развитием
гипермобильности и деформаций; миозиты и т.п.
3) системные проявления: ревматоидные узелки;
язвы на коже голеней; поражение глаз, сердца,
лёгких, почек;невропатии; васкулит, анемии

46.

Начало
болезни
характеризуется
множественным
поражением суставов при наиболее частой локализации его
в средних межфаланговых и пястно-фаланговых суставах
кистей.

47. Ревматоидный артрит

48.

Реже поражаются коленные, лучезапястные, плечевые,
локтевые и голеностопные суставы.

49. Ревматоидный синовиит

50. Осложнения ревматоидного артрита

нефропатический амилоидоз,
подвывихи и вывихи мелких суставов,
обусловленные фиброзными и
костными анкилозами,
переломы костей,
анемия.

51. Осложнения ревматоидного артрита

52. Исход ревматоидного артрита

Хроническая почечная недостаточность
(ХПН), обусловленная амилоидозом
смерть - от присоединения вторичной
инфекции.

53. Системная склеродермия (системный склероз)

хроническое ревматическое заболевание
с преимущественным
поражением кожи, опорно-двигательного
аппарата и внутренних органов,
характеризующееся прогрессирующим
склерозом дермы, стромы органов и
сосудов.

54. Системная склеродермия

55. Органы мишени

Кожа
Суставы
Легкие
ЖКТ
Почки
Сердце
Печень

56. Системная склеродермия

57. Исход.

недостаточность тех органов или систем, в
которых преобладают поражения:
уремия,
сердечно-сосудистая недостаточность
сердечно-лёгочная недостаточность и т.д.

58.

Mикропрепарат№
99
Возвратнобородавчатый
эндокардит.
(Окр. ГЭ, М. ув.)
1. Клапан утолщен и
деформирован.
2. Острые и хронические
проявления
ревматического
эндокардита
(склероз, гиалиноз,
васкуляризацию,
отек, полнокровие,
стаз, набухание
волокон и
межуточного
вещества, клеточную
инфильтрацию).
3. Прилежащая к клапану
«бородавка».

59. Микропрепарат № 102 Узелковый продуктивный миокардит (гранулематозный), (окр. г.+э., Б. ув.).

Локализация клеточных скоплений
– ревматических гранулем _______
(межмышечная соединительная
ткань, периваскулярно, в
адвентиции сосудов).
Клеточный состав «цветущей»
гранулемы ______________
(макрофаги, лимфоциты,
плазмоциты, фибробласты,
фиброциты).
Клеточный состав «рубцующейся»
гранулемы ___________
(макрофаги, плазмоциты,
фибробласты, аргирофильные
волокна, коллагеновые волокна).
В строме ________ (малокровие,
полнокровие, отек). Кардиомиоциты
____________ (атрофированы,
гипертрофированы, без
изменений).
English     Русский Правила