Реминерализующая терапия в практике врача стоматолога
Реминерализующая терапия
СОЧЕТАННАЯ ФОРМА ПОРАЖЕНИЯ ЗУБОВ НА ФОНЕ ЭНДОКРИННЫХ НАРУШЕНИЙ (ДО ИР)
ЭТА ЖЕ ПАЦИЕНТКА ЧЕРЕЗ 11 ЛЕТ НАБЛЮДЕНИЯ
условия полости рта
Реминерализующая терапия и фторпрофилактика это не одно и тоже!
Реминерализующая терапия и фторпрофилактика это не одно и тоже!
Кариес в стадии белого пятна В этой ситуации реминерализирующая терапия эффективна в 80-95% случаев
МОИ РЕЗУЛЬТАТЫ:
МОИ РЕЗУЛЬТАТЫ:
МОИ РЕЗУЛЬТАТЫ:
ОТ МОТИВАЦИИ ДО РЕЗУЛЬТАТА:
Эффективность кальция Глицерофосфат-содержащего геля с Ксилитом у детей с кариесом раннего детского возраста
Сравнение влияния хлоргексидина и ксилита на микрофлору полости рта детей при комплексном лечении кариеса раннего детского
КАРИЕС РАННЕГО ДЕТСКОГО ВОЗРАСТА
Белые кариозные пятна
ВЛИЯНИЕ РЕМИНЕРАЛИЗУЮЩЕГО ГЕЛЯ НА ПОВЕРХНОСТЬ ЭМАЛИ, ПОРАЖЕННОЙ ФЛЮОРОЗОМ
РЕМИНЕРАЛИЗИРУЮЩАЯ ТЕРАПИЯ ГЕЛЕМ «R.O.C.S. MEDICAL MINERALS» УЛУЧШАЕТ ЦВЕТ ЗУБОВ И УКРЕПЛЯЕТ ЭМАЛЬ без пероксидного отбеливания
Особенности формулы R.O.C.S. Medical Minerals :
Основной механизм реминерализации с глицерофосфатом кальция
Механизмы реминерализации
Основные проблемы реминерализующей терапии
ё
23.74M
Категория: МедицинаМедицина

Реминерализующая терапия в практике врача стоматолога

1. Реминерализующая терапия в практике врача стоматолога

Татьяна Купец, ГК Диарси, Москва
А.В. Акулович, Клиника Дентикюр, Санкт-Петурбург
С.К.Матело, Волобуева Е.В.

2.

Вице-президент ЕКАС

3. Реминерализующая терапия

• Реминерализующая терапия известна как один из наиболее
эффективных физиологических способов предотвращения
кариеса и некариозных поражений
• В случае уже существующего поражения твердых зубных
тканях, реминерализующая терапия помогает восстановить
насыщенность минералами.
• Реминерализующая терапия помогает повысить
устойчивость эмали к воздействию кислот
• Улучшить внешний вид зубов (цвет и блеск) без
использования отбеливающих средств, что особенно
важно, когда это противопоказано
• Снижает чувствительность зубов

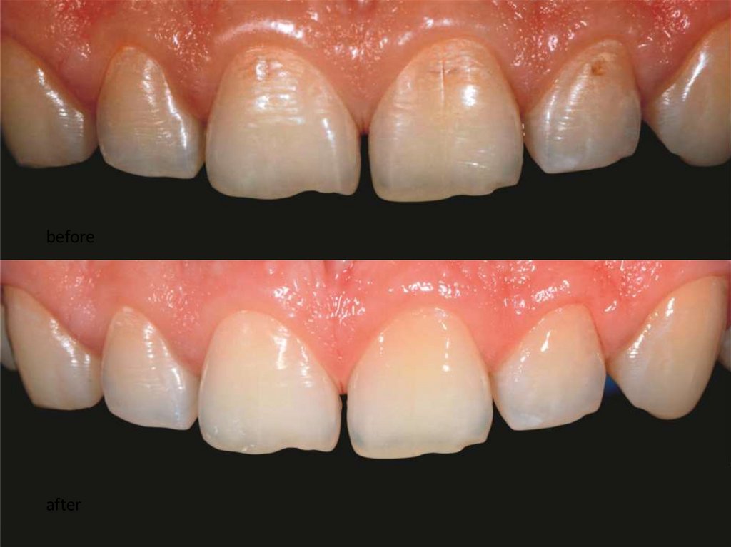
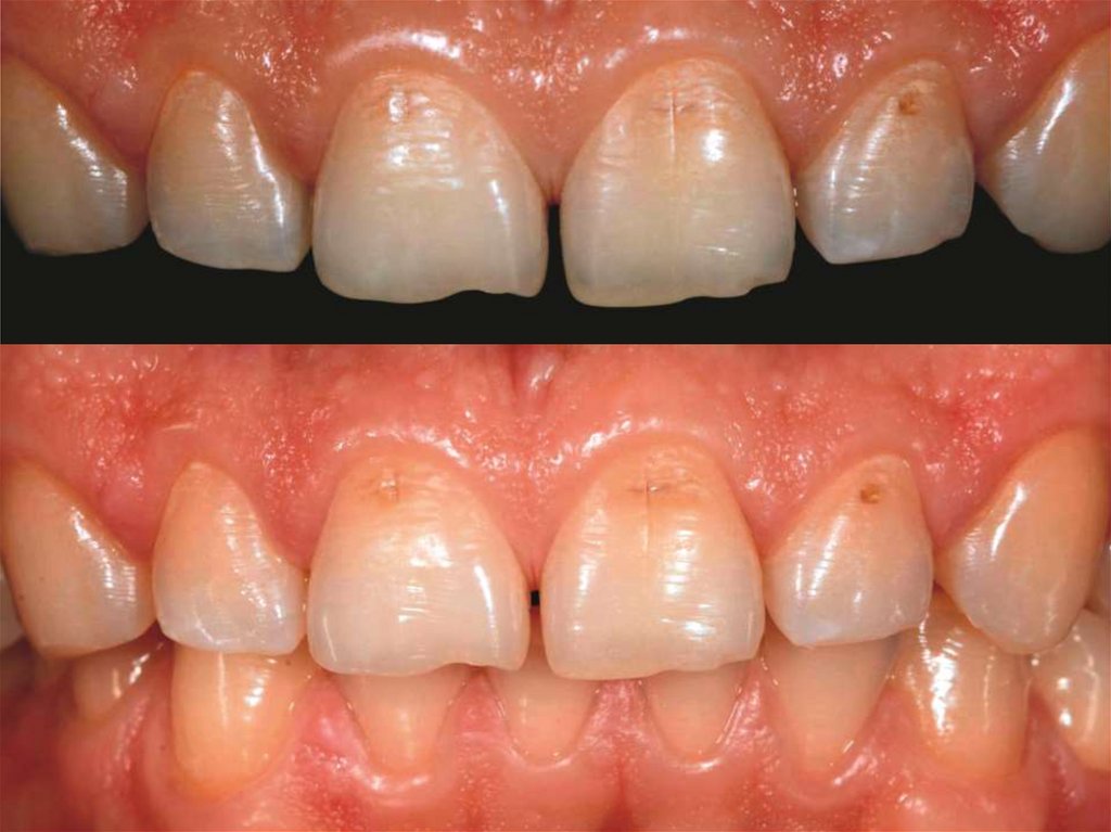
4. СОЧЕТАННАЯ ФОРМА ПОРАЖЕНИЯ ЗУБОВ НА ФОНЕ ЭНДОКРИННЫХ НАРУШЕНИЙ (ДО ИР)

5. ЭТА ЖЕ ПАЦИЕНТКА ЧЕРЕЗ 11 ЛЕТ НАБЛЮДЕНИЯ

6.

ОСНОВНОЕ ВЕЩЕСТВО ЗУБНОЙ ЭМАЛИ ГИДРОКСИАПАТИТ
Деминерализация-это потеря минералов
под воздействием кислот. Два основных
источника кислот - это еда (в случае
эрозии) или микроорганизмы (в случае
кариеса).
Реминерализация-это физиологический
процесс, который помогает обогатить
твердые тканей зубов структурными
минералами, источником которых является
слюна или специальные минерализующие
составы.
Pictures from:The Mechanics of Fluoride in the Fluoridation of
Water [an overview] by Karen Quinto written for: CMN 600- Science
Communication http://kquinto.livejournal.com/1794.html

7. условия полости рта

Минеральный состав
эмали является
переменной и зависит
от:
• Возраста и состояния здоровья
ФЕНОМЕН МИКРОКРИСТАЛЛИЗАЦИИ
СЛЮНЫ
I
• Ca/PO4 метаболизма
• Диеты пациента
• Свойств слюны
– pH
– Активность ферментов
– Структура слюны(*)
• Гигиенических привычек
II
III
(*) Пример
микрокристаллизации не
стимулируемой слюны
Представлены образцы
трех типов (I, II и III)
-Первый тип связан с
низким кариеса
-Третий Тип связан с
высокой вероятностью
риска кариеса
Увеличение оптического
микроскопа ×100.

8. Реминерализующая терапия и фторпрофилактика это не одно и тоже!


Профилактика кариеса
Стабилизация кариеса, эстетические
дефекты исчезают очень медленно в
случае кариеса в стадии белого
пятна
РЕМИНЕРАЛИЗАЦИЯ
БЕЛОГО
ПЯТНА ПРОИСХОДИТ МЕДЛЕННО
– при лечении белого пятна
(глубокое фторирование)
Профилактика кариеса с первого года
жизни
Лечение начальной стадии кариеса
(локальная деминерализация, белые
пятна), с отличным эстетическим
результатом
БЫСТРАЯ
РЕМИНЕРАЛИЗАЦИЯ
(в течение 2-3 недель) при лечении
белого
пятна
с
исчезновением
эстетического дефекта
Контроль чувствительности зубов
Пролонгирование
результатов
отбеливания
Управление некариозными поражениями
(флюороз, гипоплазия эмали, эрозии и т.
д.).

9. Реминерализующая терапия и фторпрофилактика это не одно и тоже!

Исследование содержания кальция в эмали зубов (проведенное на зубах,
удаленных по ортодонтическими причинам)
зуба
Кальций в
непрорезавшихся зубах
Кальций в
прорезавшихся зубах
Кальций в зубах
после Ca/PO4
реминерализации
бугры
39,49±1,09
34,14±2,17
борозды
37,47±1,91
шейки
37,45±2,11
Область
Область
зуба
Кальций в
непрорезав
шихся зубах
Кальций в
прорезавши
хся зубах
Кальций в зубах
после
фторирования
38,67±1,04
бугры
38,96±1,21
34,27±1,98
35,38±2,76
30,65±1,36
36,98±1.87
борозды
38,02±1,37
31,13±1,17
32,19±1,79
33,17±1,08
35,57±1,28
шейки
37,56±1,93
32,29±1,76
32,27±1,84
Выводы:
• Минеральная плотность зубной эмали снижена после прорезывания
• Фтористые соединения не способствуют восстановлению минеральной плотности
зубов
• Ca/PO4 реминерализация помогает восстановить минеральную плотность эмали до
80%

10. Кариес в стадии белого пятна В этой ситуации реминерализирующая терапия эффективна в 80-95% случаев

В этой ситуации реминерализирующая терапия эффективна в 8095% случаев
15 пациентов с ранней стадией кариеса(стадия белого пятна)
Профессиональная чистка предшествовала первой аппликации геля
15 аппликаций геля были произведены в кабинете стоматолога под
наблюдением специалиста
Желательно применение геля в каппах
Каждая процедура длилась 15 минут
Sarap LR et al., Department of children’s dentistry,
State medical university of Altai
Dr. I.Kuzmina cases

11.

РЕЗУЛЬТАТЫ ЛЕЧЕНИЯ КАРИЕСА В СТАДИИ БЕЛОГО
ПЯТНА ПОСЛЕ РЕМИНЕРАЛИЗИРУЮЩЕЙ ТЕРАПИИ
ГЕЛЕМ R.O.C.S. MEDICAL MINERALS
Показатели минерализации оценивали методом
лазерной флюоресценции (аппарат «Diagnodent»
(KAVO).
Исходно, показатель минерализации пораженных
участков составил - 11,9±0,08
Через 7 дней показатель минерализации пораженных
участков эмали составил - 9,31±0,03
Через 40-45 дней степень минерализации пораженных
участков - 5,43±0,03 ( как на здоровых участках эмали)
32 пациента, после снятия ортодонтических кострукций
Аппликации в каппах, самостоятельно, дома
Кобиясова И.В., СПбГМУ , Санкт-Петербург

12.

Регулярное
применение
реминерализирующего геля
во время ортодонтического
лечения помогает избежать
появление новых полостей.
Доктор И. Якубова

13. МОИ РЕЗУЛЬТАТЫ:

Программа реминерализующей терапии
гелем R.O.C.S. MEDICAL MINERALS
для детей раннего сменного прикуса.
Курс – 12-14 дней, экспозиция капп
с гелем R.O.C.S. MEDICAL MINERALS
20 мин.
Курс проводится 2-3 раза в год.
Рекомендованы схемы
реминерализующей терапии в зависимости
от стоматологического статуса пациента
(Ю.А. Федоров)

14. МОИ РЕЗУЛЬТАТЫ:

Кариес в стадии белого пятна,
флюороз
и другие некариозные поражения:
реминерализующая терапия гелем
R.O.C.S. MEDICAL MINERALS
проводится курсами
до исчезновения пятен (6-12 мес.)

15. МОИ РЕЗУЛЬТАТЫ:

При наличии зубов, пораженных
кариесом или пломбированных:
реминерализующая терапия
гелем R.O.C.S. MEDICAL MINERALS
проводится 4 курса
(по 10-12 процедур в течение года)

16. ОТ МОТИВАЦИИ ДО РЕЗУЛЬТАТА:

1
2
4
3
5

17. Эффективность кальция Глицерофосфат-содержащего геля с Ксилитом у детей с кариесом раннего детского возраста

ИЗМЕНЕНИЕ РАСПРОСТРАНЕННОСТИ
НЕКОТОРЫХ ВИДОВ БАКТЕРИЙ В ЗУБНОМ
НАЛЕТЕ
После 1 месяца
лечения
Streptococcus mutans
Уменьшение на 45,4%
Actinomyces spp.
Уменьшение на 44,5%
Veillonella parvula
Увеличение на 40,2%
P. gingivalis
Без измененией
P. melaninogenica
Уменьшение на 44,5%
F.nucleatum
Уменьшение на 33,5%
Candida albicans
Полное уничтожение
32,31
26,36
Dd reading
Вид бактерий
МИНЕРАЛИЗАЦИЯ КАРИОЗНЫХ
ПОРАЖЕНИЙ В НАЧАЛЕ ИССЛЕДОВАНИЯ И
ЧЕРЕЗ 3 МЕСЯЦА ЛЕЧЕНИЯ(N=12;14)
15,01
8,58
ENAMEL CARIES
Baseline
DENTINAL CARIES
After treatment
E.V. Kirillova, Kiselnikova L.P. et el

18. Сравнение влияния хлоргексидина и ксилита на микрофлору полости рта детей при комплексном лечении кариеса раннего детского

Е. Кириллова, руководитель работы – Л.П. Кисельникова, МГМСУ

19. КАРИЕС РАННЕГО ДЕТСКОГО ВОЗРАСТА

20.

Средний годовой прирост кариеса зубов (КПУ) у детей 12-13 лет в
зависимости от степени активности кариеса
Компенсированная форма
1 курс в год
1
осмотр
Группа
профилак 2,8+0,2
тики
Контроль
ная
2,6 +0,2
группа
Субкомпенсированная
форма
1 курс в 6 мес.
2
1
Прирост
осмотр
осмотр
Декомпенсированная
форма
1 курс в 4 месяца
2
1
Прирост
осмотр
осмотр
2
осмотр Прирост
1,0+0,02
3,0+0,1 0,2+0,01 5,9+0,2 6,5+0,2 0,6+0,04 9,98+0,3 11,0+0,2
3,4+0,3 0,8+0,04 6,4+0,25 8,4+0,4 2,0+0,02 10,6+0,6 14,7+0,5 4,1+0,05
- различия достоверны (р 0,05) по сравнению с группой контроля
Сарап Л.Р., Матело С.К.

21. Белые кариозные пятна

22.

Диагноз: визуально
Гель использовался в пенополиуретановых каппах
30 дней, ежедневно по 15 минут
Последующая полировка (Opalustre, Ultradent)
Последняя стадия: 45 дней реминерализирующей терапии
Dr. M.Fedotova case

23.

Область осветления эмали
Область восстановления
прозрачности
Пациентка Н. 15 лет. Обратилась по поводу эстетического лечения зубов.
Продолжительность лечения – 12 месяцев

24. ВЛИЯНИЕ РЕМИНЕРАЛИЗУЮЩЕГО ГЕЛЯ НА ПОВЕРХНОСТЬ ЭМАЛИ, ПОРАЖЕННОЙ ФЛЮОРОЗОМ

Очаг поражения эмали при
флюорозе, РЭМ, 12000
Поверхность эмали зуба,
пораженного флюорозом, после
применения геля РОКС Медикал
Минералс , РЭМ, 12000
Dr Marina Gadaeva PhD study
24

25.

МЕТОДЫ ЛЕЧЕНИЯ ФЛЮОРОЗА МИКРОАБРАЗИЕЙ
В СОЧЕТАНИИ С РЕМИНЕРАЛИЗУЮЩЕЙ ТЕРАПИЕЙ
• Основные жалобы пациента, как
правило, касаются эстетического
аспекта
• Пациенту было предложено лечение с
применением технологии микроабразии
• После процедуры профессиональной
чистки зубы были изолированы
коффердамом
• Часть материала наносят на
поверхность зубов на 1-2 минуты
• Поверхность зубов полируется с
помощью микро-мотора (4000-5000 об /
мин)
• Процедуру пришлось повторить четыре
раза, пока удовлетворительный
результат не был достигнут
Andrey Akulovich, Rustam Yalyshev, St.
Petersburg, Russia

26.

После микроабразии пациенту был рекомендован 30-дневный курс
реминерализации гелем R.O.C.S. Medical minerals
Andrey Akulovich, Rustam Yalyshev, St. Petersburg, Russia

27.

• R.O.C.S. Medical minerals использовался ежедневно в течение 30 минут
• Спустя 2 недели был достигнут удовлетворительный эстетический
результат
Andrey Akulovich, Rustam Yalyshev, St. Petersburg, Russia

28.

Аппликации гелем R.O.C.S. Medical Sensitive на 15-20 минут в
стандартной полиуретановой каппе, сразу же после
процедуры, и две аппликации, произведенные пациентом
через день после процедуры. Далее ежедневные аппликации
гелем R.O.C.S. Medical Minerals в течение 30 дней.

29.

30.

31.

32.

After 45 days R.O.C.S. Medical minerals daily

33.

before
after

34.

Диагноз: окрашивание + kavo Diagnodent
Гель использовался в пенополиуретановых каппах
30 дней ежедневно по 15 минут.

35.

before bleaching
after bleaching
after 14 days remineralizing therapy

36. РЕМИНЕРАЛИЗИРУЮЩАЯ ТЕРАПИЯ ГЕЛЕМ «R.O.C.S. MEDICAL MINERALS» УЛУЧШАЕТ ЦВЕТ ЗУБОВ И УКРЕПЛЯЕТ ЭМАЛЬ без пероксидного отбеливания

Пациентка И. 23 года. После
применения геля R.O.C.S.
зарегистрировано осветление зубов на
4 оттенка по шкале VITA. а) Исходный
цвет А3. б) Через две недели – цвет А2
Пациент Б, 42 года, эрозия эмали, отбеливание
зубов не рекомендуется. Исходный тцвет -С3. Две
недели спустя - В2.
(10 тонов по шкале VITA)
T.V.Kupets cases

37.

R.O.C.S. Medical Minerals
- изменение
цвета зарегистрировано
а)
в 90% случаев
Ca/P, F Белагель – изменение цвета
зарегистрировано в 38% случаев
Пациентка И. 23 года. После применения геля R.O.C.S.
зарегистрировано осветление зубов на 4 оттенка по шкале
VITA. а) Исходный цветА3. б) Через две недели – цвет А2
Показатели цвета зубов (по
шкале VITA) при проведении
реминерализующей терапии
а)
12
б)
10
Пациентка Р. 27 лет. После применения геля R.O.C.S.
зарегистрировано осветление зубов на 4 оттенка по шкале
VITA. а) Исходный цвет С1. б) Через две недели – цвет А1.
8
6
4
2
а)
0
R.O.C.S.
Состав
№2
Medical
Minerals
Белагель
Ca/P, F
а)
Белагель
б)
РАСПОЛОЖЕНИЕ ОТТЕНКОВ ОТ СВЕТЛОГО К ТЕМНОМУ, И ЧИСЛОВЫЕ ЗНАЧЕНИЯ ТОНОВ
B1
A1
B2
D2
A2
C1
C2
D4
A3
D3
B3
A3,5
B4
C3
A4
C4
1
2
3
4
5
6
7
8
9
10
11
12
13
14
15
16

38. Особенности формулы R.O.C.S. Medical Minerals :

R.O.C.S. Medical Minerals
• Биодоступным источником кальция, фосфора и магния.
• 10% ксилита способствует реминерализации и нормализует
микрофлору рта
• Задерживаясь на поверхности зубов, постепенно высвобождает
ионы кальция и фосфата, чтобы обеспечить постоянное
проникновение всех активных компонентов в ткани зуба.
• Рекомендуемая продолжительность курса реминерализации 2 до 4 недели

39. Основной механизм реминерализации с глицерофосфатом кальция

• Нарушения минерального обмена
провоцирую возникновение эрозий,
гиперчувствительности и множество
других проблем
• Быстро растущие подростки могут
нуждаться в большем количестве
минералов
• Дефицит минералов в слюне может быть
восполнен
Ca2+, PO43- – появляются при ферментативном
расщеплении глицерофосфата кальция,
Mg2+ и Cl¯ – активаторы щелочной фосфатазы,
расщепляющей глицерофосфат
РЕМИНЕРАЛИЗАЦИЯ
ТВЕРДЫХ ТКАНЕЙ ЗУБА
ВОСПОЛНЕНИЕ ДЕФИЦИТА
СТРОИТЕЛЬНЫХ МИНЕРАЛОВ
Реминерализация кальция глицерофосфатом
(CaGPh)
Индексы
Зубная паста
CaGPh 2,5%
Зубная паста
CaGPh 1,5%
Ксилит 12%
MgCl
ТЭР тест
КОСРЭ тест
22
12,5
26,8
12,5
Гель
CaGPh 1,5%
Ксилит 12%
MgCl
54
44
*клинический тест был разработан для прогнозирования кариеса. Он широко использовался в России с 1984 года

40. Механизмы реминерализации

• Было изучено влияние щелочной фосфатазы,
иммобилизированной на апатите, на процессы реминерализации.
• Установлено, что фермент заметно увеличивает скорость
реминерализации. Имеются различия в зоне ферментативной
реминерализации в зависимости от того, является ли источником
фосфора неорганический фосфат или бета-глицерофосфат.
• В присутствии бета-глицерофосфата наблюдается особенно
сильное ускорение включения кальция в реминерализуемую
поверхность.
• Причиной этого может являться большее ускорение образования
под действием иммобилизированной ЩФ апатита, чем брушита или
витлокита.
M.YU. ZHITKOV
Relationship between immobilized salivary alkaline phosphatase and
remineralization processes. Stomatologiia (Mosk).

41.

КПУ
Леус П.А, Жардецкий А.И., Жугина Л.Ф. и др.

42.

43. Основные проблемы реминерализующей терапии


Занимает время
Необходима регулярность
Требует усилий
Необходимо периодическое наблюдение у врача
• Например, если все реминерализирующие аппликации
проводятся под наблюдением врача, результаты будут в
три раза быстрее и в два раза лучше, в случае с кариесом в
стадии белого пятна

44.

ОДИНАКОВЫЙ СОСТАВ, РАЗНЫЕ ВКУСЫ
Гель реминерализующий
R.O.C.S. Medical Minerals
Яркий земляничный вкус
разработан специально для детей,
но понравится и взрослым
Классический мятный вкус
ПРОФЕССИОНАЛЬНЫЙ ПРОДУКТ
ПРИМЕНЯТЬ ПО НАЗНАЧЕНИЮ ВРАЧА
Не рекомендован беременным и лактирующим женщинам,
детям до 18 лет
Состав усилен нитратом калия для быстрого
снятия боли при повышенной чувствительности,
например после кабинетного отбеливания.
Необходимо сплевывать после аппликации!

45. ё

тел. +7 701 370 59 59
e-mail: ElenaV_1963@mail.ru
Вице-президент ЕКАС
@detistomelena
English     Русский Правила