Нанесение ориентиров на гипсовую модель верхней челюсти
Обжатие гипсовой модели верхней челюсти базисным воском
Создание воскового валика для постановки искусственных зубов
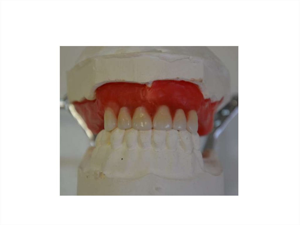
Постановка фронтальной группы зубов верхней челюсти
Резцы верхней челюсти перекрывают резцы нижней челюсти на 1/3
СПАСИБО ЗА ВНИМАНИЕ!
2.31M
Категория: МедицинаМедицина

Постановка искусственных зубов

1.

МОСКОВСКИЙ ГОСУДАРСТВЕННЫЙ МЕДИКОСТОМАТОЛОГИЧЕСКИЙ УНИВЕРСИТЕТ
им. А.И. ЕВДОКИМОВА
Кафедра технологий протезировании в стоматологии с/ф
Постановка искусственных
зубов
Заведующий кафедрой
д.м.н., профессор
Н.Н. Мальгинов

2. Нанесение ориентиров на гипсовую модель верхней челюсти

3. Обжатие гипсовой модели верхней челюсти базисным воском

4. Создание воскового валика для постановки искусственных зубов

5. Постановка фронтальной группы зубов верхней челюсти

6.

7.

8.

9.

10. Резцы верхней челюсти перекрывают резцы нижней челюсти на 1/3

11.

12.

13.

14. СПАСИБО ЗА ВНИМАНИЕ!

English     Русский Правила