768.27K
Категория: МедицинаМедицина

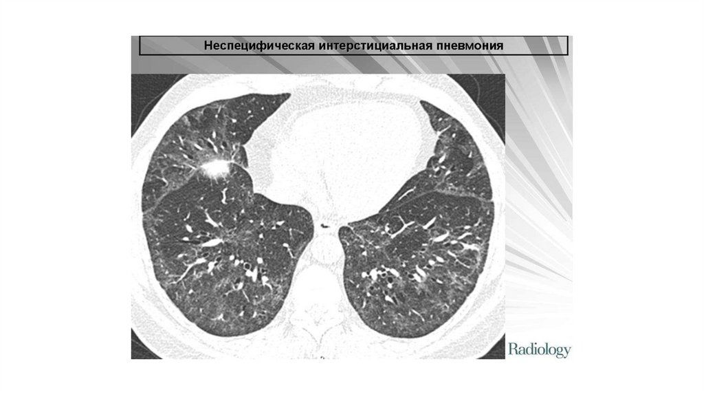
Неспецифическая интерстициальная пневмония

1.

2.

Неспецифическая интерстициальная пневмония (НСИП) наряду
с идиопатическим легочным фиброзом (ИЛФ) является одной
из наиболее часто встречающихся форм идиопатических
интерстициальных пневмоний (ИИП).
НСИП может быть идиопатической, именно эта форма входит
в группу ИИП. Но морфологическая картина, соответствующая
паттерну НСИП, может возникать и при поражении лёгких у
больных системными заболеваниями соединительной ткани,
при гиперчувствительном пневмоните, радиационном
пневмоните, при иммунодефицитных пневмопатиях. НСИП
описана у больных, принимавших амиодарон, флекаинид,
симвастатин, нитрофураны, соли золота, метотрексат и другие
лекарственные препараты (кармустин, хлорамбуцил). При
сборе анамнеза всегда следует оценивать лёгочную
токсичность лекарственных препаратов.

3.

Морфологическая картина НСИП отличается гомогенностью
изменений. При НСИП в данное время присутствует
воспаление или фиброз примерно на одном этапе развития.
Морфологические изменения носят диффузный характер.
По морфологической картине НСИП можно разделить на три группы:
1) клеточный вариант - с преобладанием картины воспаления;
2) фибротический вариант - с преобладанием паттерна фиброза;
3) смешанный вариант, при котором одновременно присутствуют и
воспаление, и фиброз.

4.

Основным симптомом при НСИП служит одышка (практически в
100% случаев). Реже больные жалуются на непродуктивный кашель
(60%) ещё реже на системные симптомы (утомляемость, слабость,
снижение массы тела). В ряде случаев присутствует субфебрильная
лихорадка (около 30%). У большинства больных НСИП выслушивают
инспираторную крепитацию. Симптом «барабанных палочек»
обнаруживают приблизительно у 40% больных НСИП.
Лабораторные изменения при НСИП не специфичны,
довольно часто обнаруживают повышение СОЭ и
концентрации ЛДГ в сыворотке крови.

5.

При рентгенографии грудной клетки при НСИП чаще всего
выявляются двусторонние изменения по типу «матового
стекла» и ретикулярные изменения в нижних отделах лёгких.
Характерным признаком НСИП при компьютерной томографии
высокого разрешения является симптом «матового стекла»,
часто в сочетании с признаками лёгочного фиброза
(уменьшение объёма лёгких, ретикулярные изменения,
тракционные бронхоэктазы). Типичная картина КТВР при НСИП
включает смешанный паттерн «матового стекла» и
консолидации (в случае выраженного клеточного
воспаления), а также иррегулярные линии с типичным
периферическим, субплевральным, базальным
симметричным распространением (при фибротическом
варианте).

6.

Для подтверждения точного
диагноза необходимо проведение
открытой или торакоскопической
биопсии лёгких.

7.

Прогноз у больных разный. У части больных на фоне
лечения есть улучшение, у других прогрессирование
фиброза до терминальных состояний. Клиническое
течение и выживаемость больных зависят от
выраженности лёгочного фиброза. При клеточном
паттерне НСИП пятилетняя выживаемость более 90%
(медиана выживаемости более 10 лет).
При фиброзном паттерне НСИП - пятилетняя
выживаемость 10% (медиана выживаемости 6-8 лет).
Спонтанные случаи выздоровления без лечения при НСИП неизвестны.

8.

ГКС (преднизолон) 1 мг/кг массы тела в сутки в течение 1-2 месяцев с
последующим снижением в течение 9-12 месяцев.
+ азатиоприн или циклофосфамид
+ N-ацетилцистеин
При выраженной гипоксемии (РаО2 в покое <55 мм рт. ст.) показано
назначение длительной кислородотерапии в домашних условиях.
Больным НСИП рекомендована вакцинация против Streptococcus pneumoniaе
каждые 5 дет и против гриппа - ежегодно.
English     Русский Правила