Синдром просветления легочного поля
Синдром просветления лёгочного поля
Повышенная воздушность
Уменьшение притока крови
Наличие воздуха в плевральной полости
Обструкция бронха
Компенсаторная эмфизема
12.95M
Категория: МедицинаМедицина

Синдром просветления легочного поля

1. Синдром просветления легочного поля

Охотников В.А.
Оренбург, 2018 г.

2. Синдром просветления лёгочного поля

- этот синдром представляет собой повышение
прозрачности одного/обоих легочных полей
целиком либо большей части легочного поля,
не ограниченного кольцевидной тенью. Бывает
ограниченным и тотальным и одно/двусторонним.

3.

Просветление может быть обусловлено:
• уменьшением массы тканей в единице
объема легкого (повышение воздушности при
эмфиземе, воздушные полости в легком)
• уменьшением притока крови в легкое
(пороки)
• наличием воздуха в плевральной полости
(пневмоторакс)
• клапанной обструкцией главного бронха
• компенсаторной эмфиземой при
ателектазе/удалении другого легкого

4. Повышенная воздушность

Эмфизема легких – признаки:
• увеличенные легочные поля
• низкое стояние диафрагмы
• грудина смещена кпереди, большое
ретростернальное пространство (на боковом
снимке)

5.

6.

7.

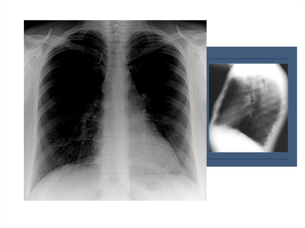
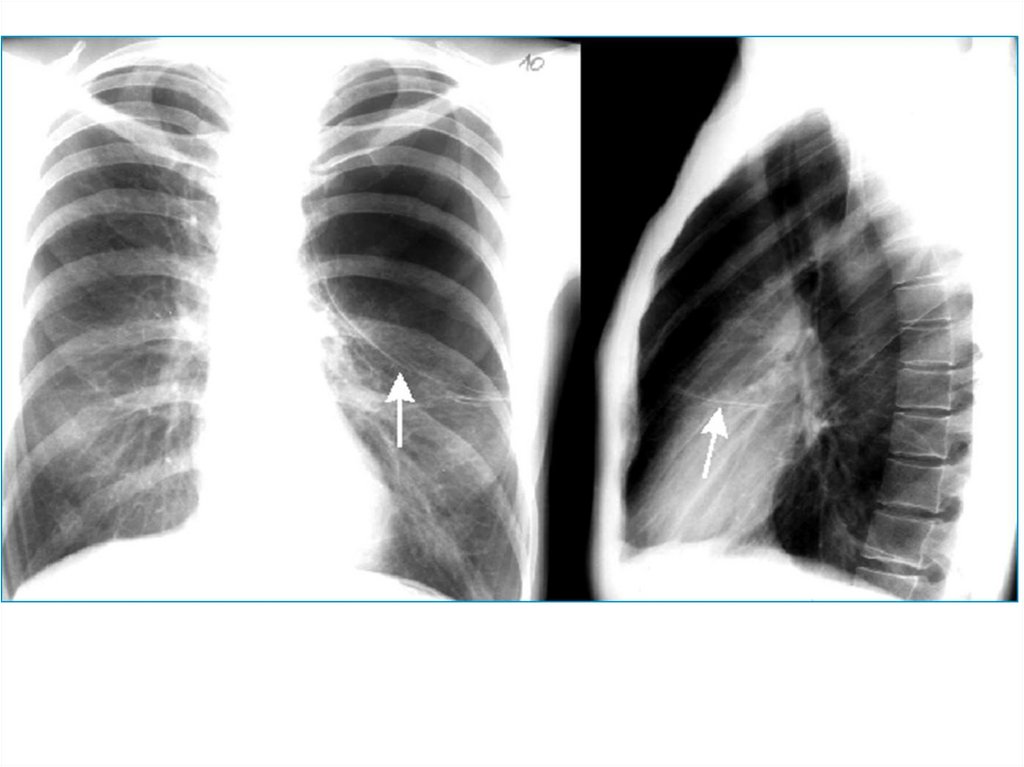
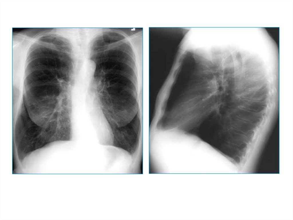
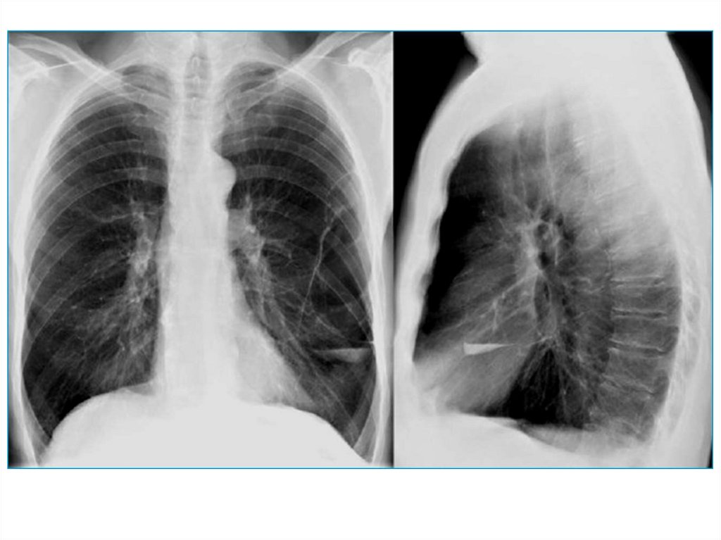
Буллезная эмфизема - локальные изменения
легочной ткани, характеризующиеся
деструкцией альвеолярных перегородок и
формированием воздушных кист диаметром
более 1 см (булл).
При неосложненном течении буллезной
эмфиземы легких симптомы могут
отсутствовать вплоть до возникновения
спонтанного пневмоторакса.

8.

9.

10.

11.

12.

Воздушная киста у ребенка

13. Уменьшение притока крови

Причина - гиповолемия малого круга
кровообращения при некоторых врожденных
пороках сердца (тетрада Фалло,
изолированный стеноз легочной артерии).
Видимая картина – двустороннее тотальное
просветление над всеми легочными полями.

14.

Гипоплазия
левой ветви
легочной
артерии

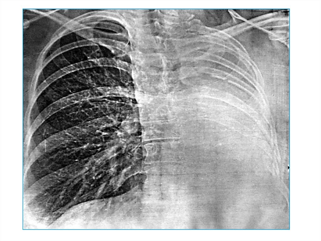
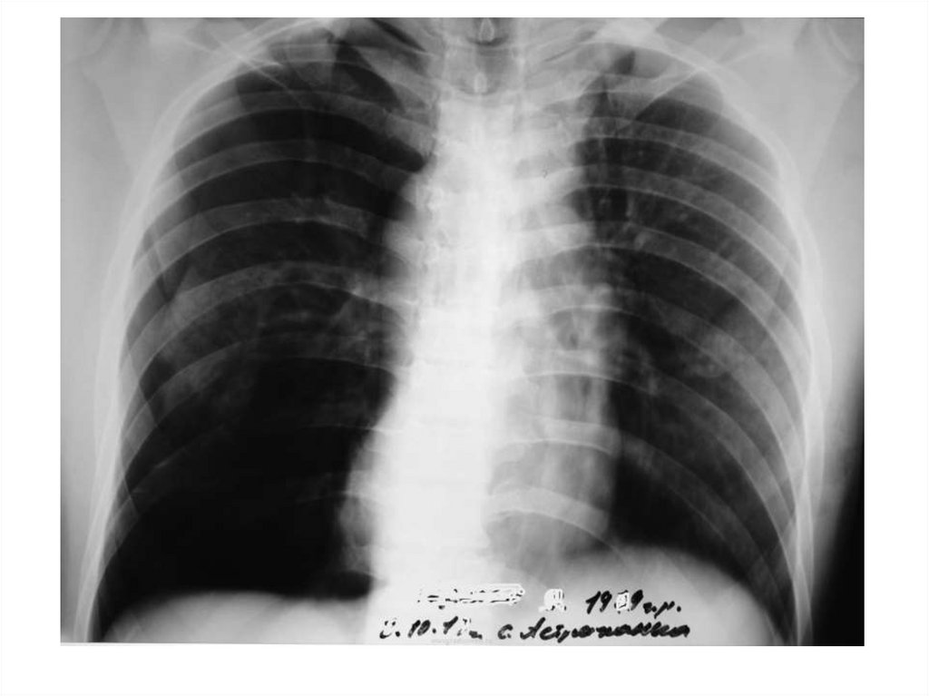
15. Наличие воздуха в плевральной полости

В большинстве случаев пневмоторакс - это
односторонний процесс. Может возникнуть в
результате травмы извне, либо спонтанно при
деструктивных процессах в легких. Имеет 3
механизма – открытый, закрытый, клапанный
(напряженный).
Видимая картина – поджатое к корню легкое,
смещение средостения в другую сторону.
Одностороннее просветление на стороне
поражения.

16.

17.

18.

19.

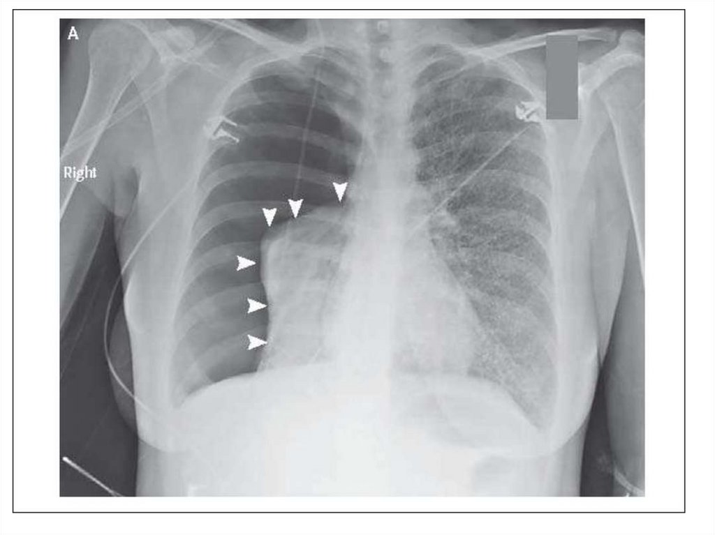
20.

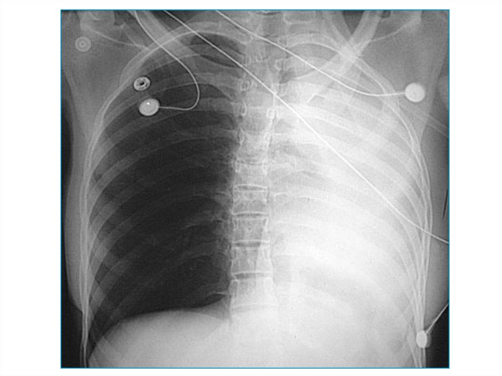
Напряженный пневмоторакс

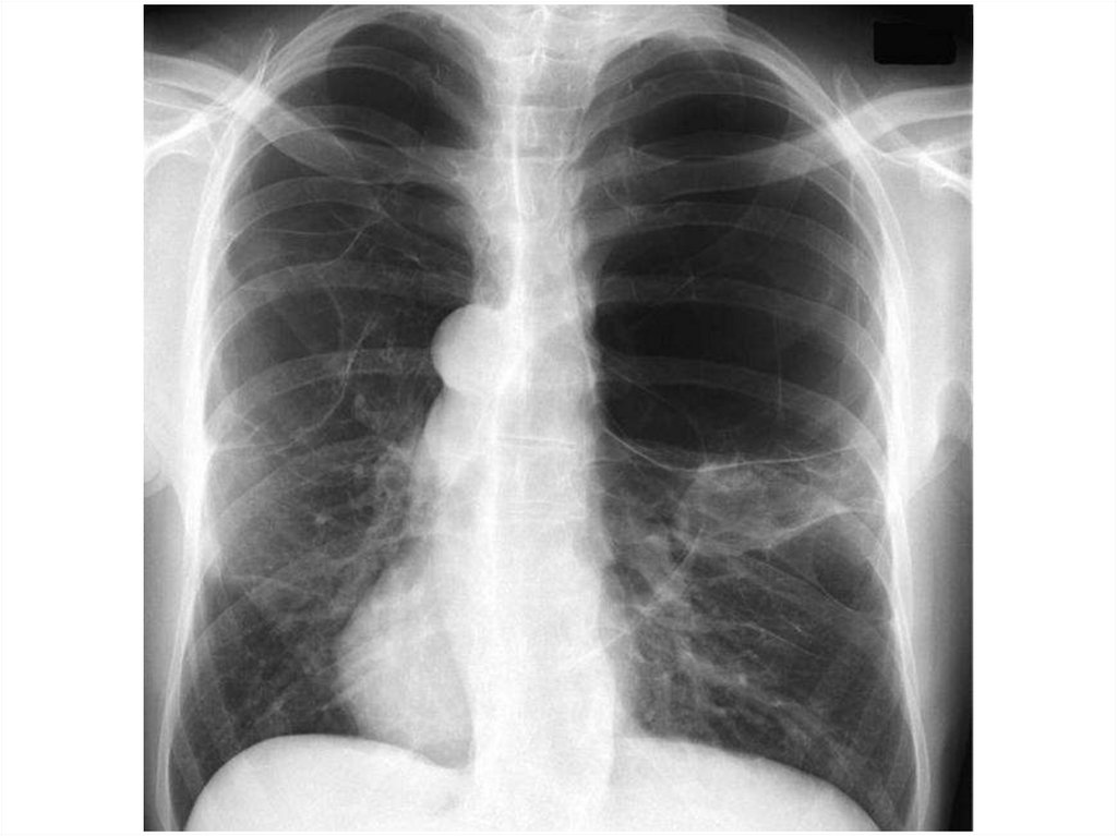
21. Обструкция бронха

Или обтурационная эмфизема, которая
развивается в результате бронхиальной астмы,
пневмонии, бронхита, бронхиолита,
пневмосклероза.
Видимая картина – тотальное одностороннее
просветление пораженного легкого.

22.

23. Компенсаторная эмфизема

В случае ателектаза/удаления другого легкого.
Видимая картина – тотальное односторнее
просветление легкого, смещение средостения в
другую сторону.
English     Русский Правила