Клинический разбор пациента
Любовь Фёдоровна, 79 лет
Анамнез жизни
Анамнез заболевания
Анамнез заболевания
Неврологический статус
Неврологический статус
За время госпитализации наблюдались:
Когнитивная сфера
Когнитивная сфера
Когнитивная сфера
Психологический статус
Лабораторные показатели:
Анализ ликвора от 10.04.2025
Аммиак 15.04.2025
Дополнительные инструментальные исследования
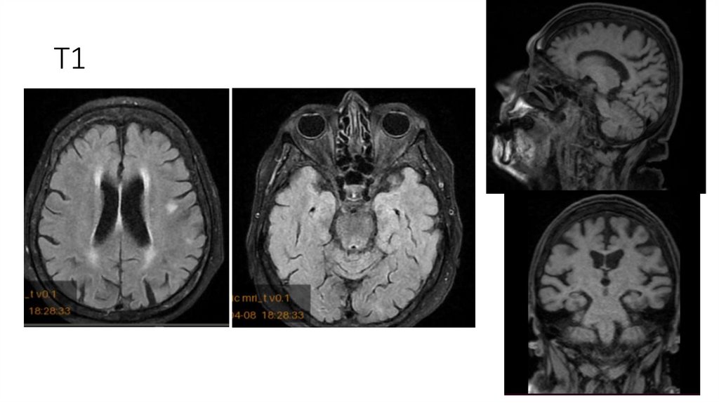
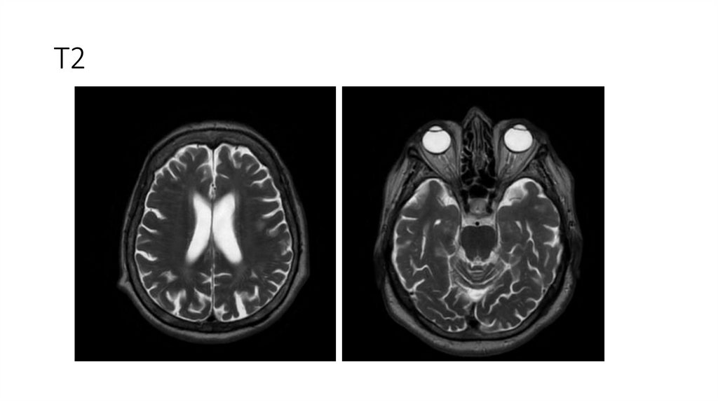
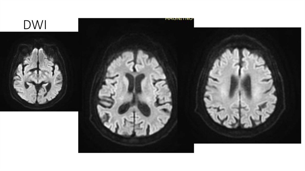
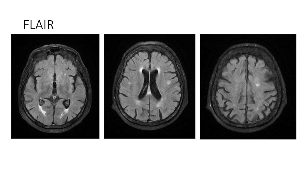
МРТ ГМ от 08.04.2025
T1
T2
FLAIR
DWI
Клинические синдромы
Дифференциальный диагноз
Патогенез печ. энцефа
Патогенез печ. энцефа
Патогенез печ. энцефа
Диагноз
Рекомендации:
6.65M
Категория: МедицинаМедицина

Клинический разбор пациента

1. Клинический разбор пациента

Российская медицинская академия непрерывного
профессионального образования
Кафедра неврологии с курсом рефлексологии и
мануальной терапии
Клинический разбор пациента
Председатели: д.м.н., проф. Смоленцева Ирина Геннадьевна
д.м.н., проф. Левин Олег Семенович
Куратор: Чеботарева Анна Дмитриевна
Докладчики: Ординатор 1 года: Александрова Юлия Алексеевна
Ординатор 1 года: Колько Юрий Олегович

2. Любовь Фёдоровна, 79 лет

• Жалобы на:

3. Анамнез жизни

Образование: высшее, по профессии – инженер
Наследственный анамнез:
Хронические заболевания: ИБС. Ишемическая кардиомиопатия. Гипертоническая
болезнь III стадии, контролируемая АГ, риск ССО 4 (очень высокий). ХСН 2а стадии с
сохранной ФВ 58 % ФК III по NYHA. Сопутствующие заболевания: ХБП С3б (СКФ 32
мл/мин/1,73м2 по формуле CKD-EPI). Первичный билиарный цирроз. Язвенная
болезнь желудка, вне обострения. Хроническая нормоцитарная нормохромная
анемия легкой степени тяжести. Первичная компенсированная открытоугольная
глаукома.
Инфаркт головного мозга в ВББ от 16.03.2025г подострый период неуточненный
подтип по TOAST
Перенесенные операции: вскрытие абсцесса бедра от 05.02.2025 г.
Аллергологический анамнез: не отягощен
Вредные привычки: отрицает

4. Анамнез заболевания

В 2023 консультирована гастроэнтерологом по поводу первичного
билиарного цирроза
Принимала:
-Урсодезоксихолевая кислота 250 мг по 2 капс утром и 3 капс
вечером длительно после приема пищи
-ГепаМерц 1 пак- 2 раза в день до 1 мес
-Лактулоза 15 мл вечером длительно во время еды
В настоящее время до госпитализации прием ЛС отрицает.

5. Анамнез заболевания

16.05.2025
Была госпитализирована в ГБУЗ ММНКЦ им. С.П.Боткина по поводу
ОНМК. 16.03.2025 около 07:00 обнаружена лежащей в постели, на
вопросы не отвечала. Последний контакт с родственниками
15.03.2025 вечером.
Неврологический статус:
Уровень сознания: сопор; Дизартрия: дизартрия средней степени;
Дисфония не выявлено; Речь на вопросы не отвечает, издает
отдельные звуки и слоги, инструкции не выполняет; Глазные щели:
равные; Величина и симметрия зрачков: D>S; Менингеальный
синдром: не выявлен; Нистагм: отсутствует; Движение глазных
яблок: девиация взора вправо; Реакция зрачков на свет: в норме;
Поля зрения: не изменены; Чувствительность лица: оценка
затруднена из-за отсутствия продуктивного контакта; Мимическая
мускулатура: лицо симметрично; Чувствительная сфера: оценка
затруднена из-за отсутствия продуктивного контакта; Конечности:
все; Сторона: слева; Мышечная сила: впечатление о наличии
левостороннего гемипареза до 3-4б; Мышечный тонус: повышен;
Сухожильные рефлексы конечностей: живые; Патологические знаки:
abs; Координация движений: оценка затруднена из-за отсутствия
продуктивного контакта; mRs: 5; Дополнительные сведения: NIHSS
22б. ШКГ 10б
Выписана с диагнозом: Ишемический инсульт с улучшениями.
30.03.2025
Была госпитализирована в ГБУЗ ММНКЦ им. С.П.Боткина. Утром
30.03.25 в 09:00 дочкой отмечены речевые нарушения, 29.03 в 22.00
последний контакт, с направительным диагнозом ОНМК.
Неврологический статус:
Уровень сознания: ясное; Ориентация: в пространстве, времени и
собственной личности сохранена; Дополнительные сведения:
когнитивные нарушения; Дизартрия: дизартрия легкой степени;
Дисфония не выявлено; Речь не изменена; Глазные щели: равные;
Величина и симметрия зрачков: D>S (правый зрачок деформирован ,
со слов пациентки операция на правом глазу 3 года назад);
Менингеальный синдром: не выявлен; Нистагм: отсутствует; Движение
глазных яблок: не изменено; Роговичные рефлексы: D=S; Реакция
зрачков на свет: в норме; Поля зрения: не изменены; Диплопия: нет;
Чувствительность лица: снижена слева; Мимическая мускулатура:
слабость нижней половины мимической мускулатуры слева; Слух: не
изменен; Глотание: не изменено; Чувствительная сфера: не изменена;
Конечности: все; Сторона: с обеих сторон; Мышечная сила: не
изменена; Мышечный тонус: понижен; Сухожильные рефлексы
конечностей: живые; Патологические знаки: abs.; Координация
движений: не изменена; mRs: 3; Дополнительные сведения: NIHSS 1 б.,
ШКГ 15 б., Индекс Ривермид 9б.
Обращает на себя внимание хлопающий тремор в правой руке,
некоторая растерянность пациентки, легкая эйфория

6. Неврологический статус

• Сознание ясное, контакту доступен. Ориентирован в пространстве, времени и собственной
личности. Менингеальных знаков нет.
• ЧМН:
o I пара: обоняние не нарушено
o II пара: поля зрения не изменены
o III, IV, VI пары: глазные щели симметричные. D>S (правый зрачок деформирован в связи с
операцией); . Фотореакция на свет прямая и содружественная сохранена. Движение глазных
яблок в полном объеме. Отмечается замедление саккад по вертикали
o V пара: чувствительность лица не нарушена
o VII пара: лицо симметричное при выполнении мимических проб
o VIII пара: нарушения слуха не выявлено. Нистагма нет.
o IX, X пара: Дисфагии, дисфонии нет. Небные занавески в покое и при фонации
симметричные. Подбородочный рефлекс не оживлен.
o XI пара: сила в трапецивидных и грудинно-ключично-сосцевидных мышцах не изменена,
гипотрофии нет
o XII пара: язык по средней линии

7. Неврологический статус

• Двигательная сфера:
Сила в верхних и нижних конечностях не снижена. Мышечный тонус
нормальный. Сухожильные рефлексы с рук, ног живые, симметричные.
Кистевой аналог рефлекса Россолимо отрицательный. Рефлекс Бабинского
отрицательный. Пробы на гипокинезию отрицательные.
• Координационная сфера:
ПНП и ПКП выполняет удовлетворительно. В позе Ромберга устойчив.
Походка не изменена. Тандемная ходьба не нарушена. Проба Тевенара
отрицательная.
• Чувствительная сфера:
Болевая чувствительность не снижена. Суставно-мышечное чувство не
нарушено. Вибрационная чувствительность не снижена.
• Тазовые функции:
Нарушений нет.

8. За время госпитализации наблюдались:

• Эпизод желудочно-кишечного кровотечения, мелена, по поводу
Эрозивно-язвенного гастрита
• Эпизоды спутанности сознания, пациентка была расстеряна,
дезориентирована в пространстве и времени, нарушение цикла
сна-бодроствования

9. Когнитивная сфера

10.04.2025 во время госпитализации
Тест связывания чисел: 3мин 49сек.
Фонетическая активность: 3 (норма 12-16)
Семантическая активность: 5 (норма 15-22)
Назвала: 12 (норма 12)
Воспроизвела : 0 (норма >6)
Узнала: 1 (норма 12)
Ложные: 4
Монреальская когнитивная шкала (Moca): 12
(баллы потеряны за счет связывания цифр,
рисования часов повтор слов, цифр,
предложений на память, названия слов на
букву Л, серийного вычитания, ориентации в
дате.

10. Когнитивная сфера

18.04.2025 во время госпитализации
Тест связывания чисел: 2мин 05сек.
Фонетическая активность: 4 (норма 12-16)
Семантическая активность: 8 (норма 15-22)
Назвала: 12 (норма 12)
Воспроизвела : 3 (норма >6)
Узнала: 8 (норма 12)
Ложные: 3
Монреальская когнитивная шкала (Moca): 18
(баллы потеряны за счет связывания цифр,
рисования часов, повтор слов на память,
ориентации в дате, дне недели.

11. Когнитивная сфера

• Фонетическая активность: (норма 12-16)
• Семантическая активность: (норма 15-22)
• Тест 12 картинок:
Назвала: (норма 12)
Воспроизвела: (норма >6)
Узнала: (норма 12)
Ложные узнавания:

12. Психологический статус

• Госпитальная шкала тревоги и депрессии (HADS):
• Тревога
• Депрессия

13. Лабораторные показатели:

Общий клинический анализ крови 11.04.2025г.:
-гем. 100 г/л; норма 110-156 г/л.
-гематокрит 28,47
-эр 3,09х10*/л; норма 3,2-5,2г/л
-лейк 4,2х10%; норма 4,5-10,0.
-тромб. 125х 10°/л: норма 150-400/л
Биохимический анализ крови 11.04.2025г.:
Определение глюкозы: Результат: 4,91 (норма 3,3-5,5).
Определение общего билирубина: 15,3(норма 5,10-19.00) мкмоль/л.
АЛТ 19 (норма 0.00-35.00) ЕД/л.
АСТ 10,2 (норма 0.00-35.00) ЕД/л.
Щелочная фосфатаза 81 мМЕ/л
Мочевая кислота 493 (норма 137.00-363.00) мкмоль/л.
Альбумин 44 (норма 34-48) г/л.
Общий белок 68 (норма 66-83) г/л.
Креатинин 171 (норма 44,00-80,00) мкмоль/л.
Мочевина 9,6 (2,8-7,2)
Натрий общий 134 (136-146) ммоль/л
Калий общий 4,58 (3,5-5,1) ммоль/л
Кальций общий 2,74 (2.2-2,65) ммоль/л
Хлор 108 (98-106) ммоль/л
Витамин В12 443(180-914) пг/мл
Витамин В9 7,66 (3,2-19,6) пг/мл
Паратгормон 54,4 (12-88) пг/мл
ТТГ 1,44 (0,38-5,33) мкМЕ/мл

14. Анализ ликвора от 10.04.2025

15. Аммиак 15.04.2025

16. Дополнительные инструментальные исследования

• УЗИ БЦА: УЗ-признаки атеросклероза внечерепных отделов БЦА, без формирования
гемодинамически значимого стеноза.
Стеноз каротидной бифуркации и устья ВСА и НСА справа до 60% ( ECST).
Стеноз каротидной бифуркации и устья ВСА и НСА слева до 70% ( ECST).;
• ЭКГ: Заключение: Синусовый ритм ЧСС 67 уд. в минуту. Отклонение электрической оси сердца
влево.Блокада правой ножки п. Гиса. Заостренная форма зубца Т в большинстве отведений.
• ЭЭГ: По данным ЭЭГ имеются негрубые общемозговые изменения, выраженнее в левых отделах,
регистрируемые на фоне слабой межполушарной асимметрии по альфа-ритму, D>S. Отмечаются
признаки дисфункции структур стволово -диэнцефального уровня мозга, выраженнее на фоне
функциональных проб. В фоне регистрируются артефакты движений. Данные ЭЭГ оценивать в
динамике, в соответствии с анамнезом, клиникой, медикаментозной терапией, данными других
дополнительных методов исследования. Динамика ЭЭГ через 1-3-6 мес.;
• За период мониторирования ЭЭГ продолжительностью 3 часа 28 минут в состоянии активного и
пассивного бодрствования, зарегистрировано 2 периода сна
(I-IV стадии). Убедительных
данных за наличие типичной эпилептиформной активности не зарегистрировано. Продолженное тета,дельта-волновое замедление с акцентом в височных отделах(S>D).;

17.

• УЗИ ВЕН НК: Проходимость исследованных поверхностных и глубоких вен нижних
конечностей сохранена.;
• Эхо: Заключение: Стенки аорты уплотнены, с включениями кальция, аорта не
расширена. Створки клапанов уплотнены, умеренно кальцинированы по ФК и в
створках, створки АК умеренно кальцинированы с формированием незначительнго
выраженного аортального стеноза Pg peak — 23 mm hg Vmax-2,4 m\s, Pg mean — 11 mm
hg. в основании ЗСМК кальцинат размером 11х6 мм, на краевой поверхности ПСМК
кальцинат 3 мм, амплитуда раскрытия достаточная, трансмитральный поток
незначительно ускорен Pg peak — 7 mm hg Pg mean — 4 mm hg. Амплитуда раскрытия
других клапанов достаточная. незначительная аортальная, умеренная митральная,
незначительная трикуспидальная и легочная регургитация. Умеренное расширение
полости ЛП. Незначительная концентрическая гипертрофия стенок ЛЖ. Оценка
локальной сократимости затруднена. Систолическая функция ЛЖ удовлетворительная.
Нарушение диастолической функции ЛЖ по 1 типу. Незначительное повышение
давления в правых камерах. В полости перикарда и в плевральных полостях жидкости
не определяется
• ЭЗОФАГОГАСТРОДУОДЕНОСКОПИЯ: Недостаточность кардии. Эрозивный рефлюксэзофагит ст А по L.A. классификации. Эрозивно-язвенный гастрит. Результат ПГИ.
Эрозивно-язвенный дуоденит. Воспалительная деформация луковицы ДПК без
нарушения проходимости просвета.;
• Колоноскопия: Грубой органической патологии не выявлено.

18. МРТ ГМ от 08.04.2025

Описание
-Срединные структуры не смещены.
-Желудочки обычной формы и размеров.
-Субарахноидальные пространства не расширены.
-Дифференциация серого и белого вещества сохранена.
-В белом веществе головного мозга, в паравентрикулярных и конвекситальных областях визуализируются множественные очаги
диаметрами 3-10мм, вероятно, сосудистого генеза.
-Отмечается незначительное расширение периваскулярных пространств.
-МР-сигнал от подкорковых ядер не изменен.
-Селлярная область без патологических изменений.
-Размеры гипофиза в пределах нормы.
-Стволовые структуры и мозжечок в пределах нормы.
-Мостомозжечковые углы без особенностей.
-Краниовертебральный переход не изменен.
-Придаточные пазухи и ячейки сосцевидных отростков воздушны.
-Содержимое глазниц без особенностей. ;
Заключение
• МР-картина множественных очагов в белом веществе головного мозга, вероятно,
сосудистого генеза.

19. T1

20. T2

21. FLAIR

22. DWI

23. Клинические синдромы

• Гиперсомния
• Астериксис
• Грубые когнитивные нарушения

24. Дифференциальный диагноз

• Гипогликемическая энцефалопатия
• Болезнь Вильсона -Коновалова
• Болезнь Крейцфельдта-Якоба
• Дисциркуляторная энцефалопатия

25. Патогенез печ. энцефа

1. Теория токсического действия аммиака

26.

27.

28. Патогенез печ. энцефа

2. Теория ложных нейротрансмиттеров

29. Патогенез печ. энцефа

3. Теория усиленной ГАМКергической передачи
ГАМК
образуется
в
реакции
декарбоксилирования
глутаминовой
кислоты
В норме в печени происходит ее
клиренс, при патологии печени он
нарушается ⮕ ГАМК накапливается в
мозге
оказывает ингибирующее
влияние на нейроны ⮕ усиливается
торможение в ЦНС

30. Диагноз

• Основной диагноз: Печеночная энцефалопатия с когнитивными
нарушениями, эпизодами спутанности сознания.,класс 2, тип С,
эпизодическое течение

31. Рекомендации:

• -Мемантин 5мг утром в течение 7 дней, затем 10 мг утром
длительно.
• - анализ крови на АМА, ANA, альфафетопротеин
• - р-р Лактулоза 30 мл 2 раза в день?

32.

• Спасибо за внимание!
English     Русский Правила