Алгоритмы моно- и политерапии в клинической эпилептологии
Обсуждаемые вопросы
Цель лечения - достижение максимального качества жизни, ремиссии
Исторические этапы стратегии и тактики лечения эпилепсии (Карлов В.А.2010)
Факторы, способствующие эффективной терапии
Симптоматическая фокальная эпилепсия
Возможные клинические ситуации и терапевтическая тактика, начиная с титрования дозы при ФЭ.
Эффективность терапии фокальной эпилепсии
Эффективность терапии (1)
Эффективность терапии (2)
Эффективность терапии (3)
Эффективность терапии (4)
Практические рекомендации применения ПЭП старой и новой/новейшей генерации (по C.P.Panayiotopoulos 2010 с добавлением вновь
Фармакокинетические группы АЭП (по Faught E. 2001 с дополнениями)
Примеры лекарственных взаимодействий
Монотерапия эпилепсии – золотой стандарт?
Адекватная доза – залог эффективной терапии
Результаты экспертного консенсуса по скорости титрации, дневной дозе и необходимости мониторирования концентрации в крови
Факторы, при выявлении которых, более 75% пациентов со временем переходят на политерапию и их выявление может быть основанием в
Терапия в отдельных группах пациентов: у пожилых
Терапия в отдельных группах пациентов: у девушек, пубертатный период
Эпилепсия и репродуктивный возраст
Эпилепсия и климактерический период
Когда применяют стратегию “add-on” терапии?
Алгоритм подбора “add-on” терапии
Рациональные комбинации и своевременность изменения стратегии лечения
Эффективность Вимпата обеспечивается отличным от других ПЭП механизмом действия
Фармакорезистентная фокальная эпилепсия У.Т.Н. 30 лет
Припадки 2 типов:
Анамнез:
ЭЭГ исследование
ЭЭГ от 08.09.2009
ЭЭГ от 07.03.2013
Терапия:
Терапия:
Терапия:
ЭЭГ от 07.03.2013
ЭЭГ от 07.10.13
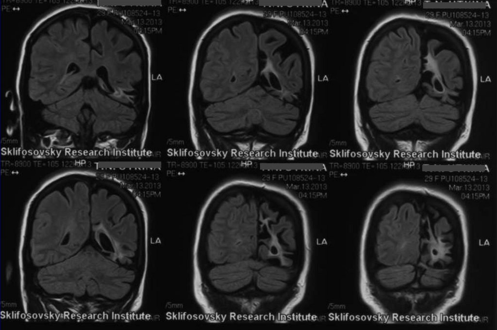
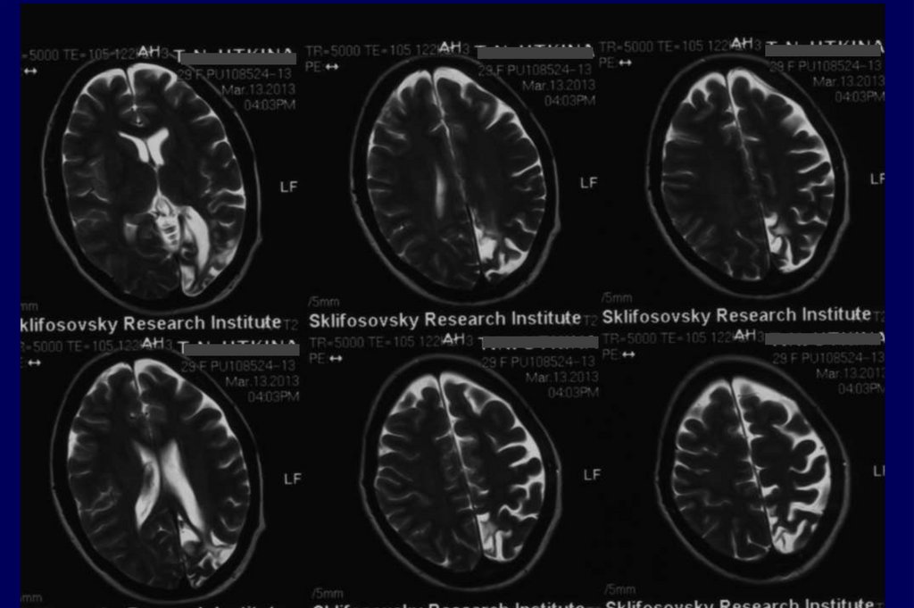
Аппаратные методы исследования:
МРТ от 03.2013
БЛАГОДАРЮ ЗА ВНИМАНИЕ!
7.44M
Категория: МедицинаМедицина

Алгоритмы моно- и политерапии в клинической эпилептологии

1. Алгоритмы моно- и политерапии в клинической эпилептологии

П.Н.ВЛАСОВ
КАФЕДРА НЕРВНЫХ БОЛЕЗНЕЙ Л/Ф
ГБОУ ВПО МГМСУ им.А.И.Евдокимова

2.

В 2015 г. ВОЗ приняла резолюцию по
эпилепсии, согласно которой
большинство людей могут быть
избавлены от приступов, если их
надлежащим образом лечить с
помощью доступных
противоэпилептических препаратов
(Global burden of epilepsy and the need
for coordinated action at the country level
to address its health, social and public
knowledge implications, WHA
Resolution, 26 May 2015
43 countries made strong statements in favor of the
Resolution
19 countries requested to be named as co-sponsors of
the Resolution
http://apps.who.int/gb/ebwha/pdf_files/WHA68/A68_R20-ru.pdf
доступ декабрь 2015)

3. Обсуждаемые вопросы

• Какие факторы позволяют длительно контролировать
приступы/поддерживать ремиссию при фармакотерапии эпилепсии?
• Через какой период времени после начала лечения констатируется
неэффективность терапии, и необходимо менять или добавлять
препарат? Каковы критерии неэффективности?
• В каких случаях необходимо заменить ПЭП, и в каких случаях надо
добавить дополнительный препарат? Сформулируйте критерии для
старта ранней политерапии после первой неудавшейся
монотерапии
• Какими свойствами должен обладать ПЭП для рациональной
комбинированной терапии у взрослых и детей?
• Какие наиболее рациональные комбинации ПЭП существуют на
сегодняшний день при различных типах приступов?

4. Цель лечения - достижение максимального качества жизни, ремиссии

• ремиссия - отсутствие приступов в течение последних 12 мес.
или в период 5-х кратно превышающий средний
межприступный интервал за последний год (Fisher RS et al. A
practical clinical definition of epilepsy. Epilepsia. 2014;55(4):475482)
• В последней классификации и в последнем определении
эпилепсии введено понятие разрешения эпилепсии, то есть
отсутствие этого заболевания вообще. Критерии
разрешившейся эпилепсии: свобода от приступов в течение 10
лет, в том числе в отсутствии приема АЭП – в течение 5 лет
(Fisher RS et al. A practical clinical definition of epilepsy.
Epilepsia. 2014;55(4):475-482)

5. Исторические этапы стратегии и тактики лечения эпилепсии (Карлов В.А.2010)

• Стратегия - устранение припадков
Тактика – монотерапия
• Стратегия – лечение, направленное на эпилепсию в целом
Тактика – политерапия
• Стратегия – улучшение качества жизни
Тактика – индивидуальный подход
• Количество АЭП растет в геометрической прогрессии
резистентность существенно не меняется
• Идиопатические фокальные эпилепсии
• Эпилептические энцефалопатии
• Идиопатические генерализованные эпилепсии
• Симптоматические /криптогенные фокальные эпилепсии
Карлов В.А. Эпилепсия у детей и взрослых женщин и мужчин: Руководство для врачей. М.: ОАО «Издательство «Медицина», 2010. 720с.

6. Факторы, способствующие эффективной терапии

• Правильный диагноз (типы припадков, форма
эпилепсии)
• Выбор ПЭП, максимально эффективного при
данной форме эпилепсии / типах эпилептических
припадков и хорошей переносимости лечения.
• Все остальные показатели вторичны, однако на
определенных этапах лечения (возраст, пол,
сопутствующая патология, цена препарата и др.) они
должны быть приняты во внимание, а иногда
учитываются уже при первичном назначении ПЭП.
Личное мнение автора

7. Симптоматическая фокальная эпилепсия

• Принцип 3 совпадений: клинических проявлений, ЭЭГ данных и
нейровизуализационных находок.
• В случае соответствия электроэнцефалографических и
клинической симптоматики припадков без выявления изменений
на МРТ формулируется диагноз криптогенной (cryptos (греч.)–
скрытый) эпилепсии. (При постановке диагноза фокальной
эпилепсии врач опирается на фокальное начало приступа, когда
клиническая симптоматика соответствует и может быть
объяснена локализацией в определенной зоне коры головного
мозга). Для парциального припадка также достаточно характерно
воспоминание пациентом начала приступа, когда
распространение эпилептического возбуждения охватывает
ограниченную зону и целостная деятельность головного мозга не
нарушается.
Личное мнение автора

8. Возможные клинические ситуации и терапевтическая тактика, начиная с титрования дозы при ФЭ.

Эффективность терапии
Урежение и полное исчезновение припадков при
назначении и повышении дозы ПЭП с переходом в
клиническую ремиссию.
Урежение припадков без явлений непереносимости
ПЭП на этапе титрации
Отсутствие эффекта и/или появление признаков
непереносимости терапии на этапе ранней титрации.
Учащение/усугубление течения заболевания на этапе
титрации (ятрогенный эффект при несоответствии
ПЭП форме эпилепсии и типам эпилептических
припадков, либо фармакодинамическая аггравация
при «правильном» (по показаниям, т.е. в соответствии
с типами припадков и формой эпилепсии) назначении
ПЭП.
Терапевтическая тактика
Применение минимально эффективной дозы ПЭП на
которой получена ремиссия припадков.
Доза ПЭП постепенно повышается до появления
признаков передозировки, затем несколько снижается
до их исчезновения и назначается дополнительный
ПЭП (битерапия) с последующей попыткой отмены
первого ПЭП. Если отмена первого ПЭП удается, то
терапия проводится на втором ПЭП, если не удается –
используем би-терапию.
Ранняя замена исходного ПЭП на другой.
Отмена исходного ПЭП. Возможна/необходима
госпитализация пациента, в зависимости от тяжести
течения заболевания, дообследование и замена на
другой ПЭП.
Личное мнение автора

9. Эффективность терапии фокальной эпилепсии

• клинико-ЭЭГ ремиссия,
• клиническая ремиссия,
• ремиссия генерализованных судорожных припадков при
сохранности/урежении парциальных,
• недостаточный эффект (урежение фокальных и вторично
генерализованных припадков < 50%),
• отсутствие эффекта,
• отягощение течения заболевания (учащение/утяжеление
припадков).
Личное мнение автора

10. Эффективность терапии (1)

Эффективность терапии
12 часовой видео-ЭЭГ
мониторинг
Что необходимо предпринять
Клинико-ЭЭГ ремиссия,
отличное качество жизни.
Отсутствие эпилептиформных
проявлений.
Продолжать терапию 2-5 лет на
минимальной терапевтической
дозе с последующей попыткой
отмены ПЭП.
Клиническая ремиссия.
Регистируется фокальная,
При отсутствии данных за
регионарная, генерализованная эпилептическую
эпилептиформная активность. энцефалопатию – продолжить
начатую терапию. Обсудить с
пациентом возможные
варианты перспектив
подавления эпилептиформной
активности.
Личное мнение автора

11. Эффективность терапии (2)

Эффективность терапии
12 часовой видео-ЭЭГ мониторинг
Что необходимо предпринять
Клиническая ремиссия с
отклонениями в эмоциональноволевой и/или
интеллектуально-мнестической
сферах.
Фокальная, регионарная,
генерализованная
эпилептиформная активность в
бодрствовании. Генерализованная
эпилептиформная активность во
сне с индексом более 30%*
[Ермоленко 2011].
Диагноз переквалифицируется в
эпилептическую энцефалопатию (у
взрослых встречается крайне редко) –
проведение интенсивной
комбинированной терапии
несколькими ПЭП.
Клиническая ремиссия
генерализованных судорожных
припадков при
сохранности/урежении
парциальных на максимально
переносимой суточной дозе.
Фокальная, регионарная,
генерализованная
эпилептиформная активность.
Продолжить начатую терапию с
подключением второго ПЭП с учетом
фармакокинетического и
фармакодинамического синергизма.
Продолжить подбор терапии не
достигая эффекта «любой ценой»
[Карлов 2010]. Если фокальные
приступы редкие, не мешают активной
жизни пациента, и он не настаивает на
усилении терапии, то по взаимному
согласию на этом этапе можно
остановиться.**
** - положение приемлемо при подготовке к беременности и при отягощенности
соматической патологией в фазе субкомпенсации
Личное мнение автора

12. Эффективность терапии (3)

Эффективность терапии
12 часовой видео-ЭЭГ
мониторинг
Недостаточный эффект
терапии (снижение
частоты припадков < 50%)
- урежение фокальных и
вторично
генерализованных
припадков.
Отсутствие эффекта
терапии.
Фокальная, регионарная,
генерализованная
эпилептиформная активность.
Продолжить начатую терапию с
подключением второго ПЭП с
учетом фармакокинетического и
фармакодинамического
синергизма.
Фокальная, регионарная,
генерализованная
эпилептиформная активность.
Возможно повышение индекса
эпилептиформной активности.
Срочная замена на ПЭП с другим
механизмом действия и его
титрация. Если эффект
недостаточный – подключение
второго ПЭП. Проверка
неэффективности нескольких схем
терапии – прехирургическое
обследование.
Личное мнение автора
Что необходимо предпринять

13. Эффективность терапии (4)

Эффективность
терапии
12 часовой видео-ЭЭГ мониторинг
Отягощение течения Фокальная, регионарная,
заболевания.
генерализованная
эпилептиформная активность.
Возможно повышение индекса
эпилептиформной активности. В
случае токсической
энцефалопатии –
генерализованная
высокоамплитудная тета-, дельтаактивность.
Личное мнение автора
Что необходимо предпринять
Убедиться в истинности
обострения эпилепсии:
исключить психогенные и др.
неэпилептического генеза
приступы, исключить
энцефалопатию, вызванную
применением ПЭП. Замена на
ПЭП с другим механизмом
действия, терапия двумя ПЭП в
различных комбинациях, в том
числе новейшими.
Прехирургическое обследование.

14. Практические рекомендации применения ПЭП старой и новой/новейшей генерации (по C.P.Panayiotopoulos 2010 с добавлением вновь

внедренных за эти годы ПЭП и исключением
синдромов детского возраста и препаратов, отсутствующих в РФ)
Припадки/синдромы
ПЭП первой линии
ПЭП второй очереди
Фокальные (простые и
сложные) припадки с/без
вторичной генерализации
КБЗ, ФТ, ФБ,
ЛЕВ, ОКС, ЛТД, ТПМ
ВК,
ЛКМ, ГБП, ЗНС, ПГБ, ПЕР,
ЭСЛ
Все криптогенные и
симптоматические
синдромы фокальной
эпилепсии
КБЗ, ФТ, ФБ,
ЛЕВ, ОКС, ЛТД, ТПМ
ВК,
ЛКМ, ГБП, ЗНС, ПГБ, ПЕР,
ЭСЛ
Адаптировано из Panayiotopoulos CP Clinical guide to epileptic syndromes and their treatment , 2010

15. Фармакокинетические группы АЭП (по Faught E. 2001 с дополнениями)

Индукторы и
индуцируемые
КБЗ, ФБ, ФТ, ПМД, ОКС?
Индуцируемые,
обычно не индукторы
ОКС?, ТПМ, ЛТД, ЗНС, ТГБ,
ЛКМ, ПЕР, ЭСЛ
Больше ингибиторы
ВК, ФБМ
Не взаимодействуют
ГБП, ЛЕВ, ПГБ

16. Примеры лекарственных взаимодействий

ПЭП+ПЭП
Наибольшее число клинически
значимых взаимодействий у
карбамазепина, фенитоина,
фенобарбитала, примидона
ПЭП + другие
лекарственные
препараты
Единственный препарат, который не
изменяет концентрацию других АЭП при
добавлении к ним - это леветирацетам.
У клобазама, лакосамида, прегабалина и
зонисамида, были выявлены нечастые
взаимодействия с АЭП.
совсем не было взаимодействий у
лакосамида, прегабалина,
вигабатрина и стирипентола
Наибольшее количество
взаимодействий имели
ламотриджин, окскарбазепин и
топирамат • Адаптировано из: Philip N. Patsalos (Drug Interactions with the NewerAntiepi leptic Drugs (AEDs)—Part
1: PhilipN. Patsalos,Clin Pharmacokinet (2013) 52:927–966 DOI 10.1007/s40262-013-0087-0

17. Монотерапия эпилепсии – золотой стандарт?

• Аргументы «ЗА»:
• меньший риск развития нежелательных явлений
(НЯ)(?), токсичности и тератогенности у женщин
• отсутствие фармакокинетических и
фармакодинамических лекарственных
взаимодействий, связанных с лечением
антиэпилептическими препаратами
• позволяет избежать использования сложных режимов
дозирования, добиться более высокой комплаентности
пациентов, снизить стоимость лечения
• Фармакоэкономический аспект
Адаптировано из: Карлов В.А. Эпилепсия у детей и взрослых женщин и мужчин: Руководство для врачей. М.: ОАО «Издательство
«Медицина», 2010. 720с

18.

Адаптировано из: Kwan P., Brodie M.J. Combination Therapy in Epilepsy. When and What to Use. Drugs; 2006; 66 (14):1817-1829

19. Адекватная доза – залог эффективной терапии

• «Рекомендуемая доза» - диапазон концентраций лекарственных
веществ, ниже которого мало вероятен лечебный эффект, а
превышение которого приводит к токсическим проявлениям (Patsalos
P., 2008). Определяется в пределах усредненных популяционных
показателей. Отмечено, что терапевтические концентрации могут варьировать
у одного и того же пациента в связи с изменениями чувствительности рецепторов,
фармакодинамическими взаимодействиями с сопутствующими препаратами,
изменениями связи с белками плазмы вследствие заболевания или замены
взаимодействующих препаратов.
• «Терапевтическая доза» - это интервал концентрации лекарственных
веществ, при котором наблюдается наиболее выраженный
клинический эффект у данного конкретного больного.
Терапевтическая доза позволяет максимально индивидуализировать
лечение (Perucca E., 2009).

20. Результаты экспертного консенсуса по скорости титрации, дневной дозе и необходимости мониторирования концентрации в крови

основных ПЭП
(ранговая шкала 1 - полное несогласие экспертов, 5 – полный консенсус) (по
Louis E.K.St., et al 2007).
ПЭП (градации
суточных доз в мг)
Стартовая доза
(мг/сут) (ранг)
Интервал повышения
(ранг)
Средняя дневная доза
(мг/сут) (ранг)
ВК (500-2500 мг/сут)
500-1000 (4,4)
1000-2000 мг/сут *
ЗНС (100-600 мг/сут)
100 мг/сут (4,2)
КБЗ (400-1600 мг/сут)
200 (4,3)
ЛТД (100-600 мг/сут)
25 мг/сут
250-750 мг каждые 7 сут
(4,1)
100 мг каждые 2 нед
(4,2)
200 мг каждые 7 сут
(4,3)
25-50 мг каждые 1-2 нед
ЛЕВ (500-3000 мг/сут)
500-1000 мг/сут (4,6)
300-400 мг/сут (4,2)
400-800 мг/сут (4,4)
300-500 мг/сут
1000-2000 мг/сут (4,0)
ФБ (60-180 мг/сут)**
500-1000 каждые 7 дней
(4,4)
300-600 мг/сут (4,3)
300 мг каждые 7 сут
(4,1)
25-50 мг/сут (4,7)
25-50 мг каждые 7 сут
(4,8)
Терапия ФБ экспертами не рекомендуется
ФТ (100-400 мг/сут)
3-5 мг/кг/сут
Концентрация в крови
ОКС (450-3600 мг/сут)
ТПМ (100-600 мг/сут)
900-1500 мг/сут (4,4)
100-200 мг/сут (4,4)
Мониторирование
концентрации ПЭП в
крови во время
титрации (ранг).
Уровень (мкг/мл)
Необходимо (4,1)
50-100 мкг/мл
Нет консенсуса
10-40 мкг/мл
Необходимо (4,5)
4-12 мкг/мл
Нет консенсуса
1-20 мкг/мл
Нет консенсуса
5-40 мкг/мл
Нет консенсуса
10-40 мкг/мл
Нет консенсуса
15-40 мкг/мл
Необходимо
10-20 мкг/мл

21. Факторы, при выявлении которых, более 75% пациентов со временем переходят на политерапию и их выявление может быть основанием в

пользу
назначения альтернативной дуотерапии
• Комбинация полиморфных парциальных и вторично-генерализованных припадков
у одного больного,
• частые парциальные приступы с начала заболевания, склонность к серийности,
• такие изменения на ЭЭГ, как фокальная активность и склонность к билатеральной
синхронизации у одного и того же больного,
• наличие нескольких независимых очагов и полиморфизм эпилептиформных
изменений.
• По данным нейровизуализации и функциональной нейровизуализации – признаки
склероза гиппокампа, различные фокальные дисплазии, выраженные
очаговые/диффузные изменения у пациентов с дебютом эпилепсии в подростковом
и юношеском возрасте (12-20 лет).
Адаптировано из: Базилевич С.Н. Криптогенная эпилепсия у взрослых: «скрытые проблемы структурного благополучия» // Журнал неврологии и психиатрии имени С.С.
Корсакова - Эпилепсия приложение к журналу – 2013 – том 113 – выпуск 2 – стр. 10 – 20

22.

ФК синергизм
ФД синергизм

23. Терапия в отдельных группах пациентов: у пожилых

• Баланс между максимальным терапевтическим эффектом в
отношении контроля припадков и риском развития НЯ со стороны
центральной нервной системы
• Особенности метаболизма и изменения в ФК и ФД лекарственных
препаратов
• Потенциальные лекарственные взаимодействия
• Коморбидность. На особом месте - деменция (эпилепсия
встречается до 64% пациентов с деменцией)
Имеются сообщения о хорошей переносимости ЛСМ пожилыми больными эпилепсией с высоким
уровнем удержания на терапии при длительном приеме этого АЭП, однако осторожность требуется
при нарушениях сердечной проводимости: удлинении интервала PR на ЭКГ c развитием
атриовентрикулярной блокады 2-3 степени, фибрилляции и трепетания предсердий.
Благоприятным нейрокогнитивным профилем, обладают такие АЭП, как ЛЕВ, ЛТД, ГБП, ВК,
вследствие чего эти препараты могут быть рекомендованы для лечения припадков, ассоциированных
с деменцией (Pohlmann-Eden B., Eden M.A., (2011).

24. Терапия в отдельных группах пациентов: у девушек, пубертатный период

• Особенности патогенеза: проконвульсивное
действие эстрадиола и противосудорожное
действие прогестерона
• При выборе ПЭП учитывать потенциальное
влияние на гормональную и репродуктивную
функцию, косметические побочные эффекты.
• Предпочтительны ПЭП нового поколения: ЛЕВ,
ЛТД, ОКС, ТПМ, ЛКМ (Karceski S. et al., 2005; Власов
П., 2005; Карлов В., 2010; Жидкова И. с соавт., 2012;
Reimers A., 2014)

25. Эпилепсия и репродуктивный возраст

• Выбор ПЭП и контрацепция: предпочтительны препараты не индукторы
ферментов печени (ВК, ГБП, ЛЕВ, ЛКМ, ЗНС, ПГБ, ТПМ (доза менее 200
мг
• Наиболее неблагоприятным воздействием на репродуктивную систему
обладают вальпроаты, наименьшим – АЭП нового поколения (Карлов В.,
2006; Жидкова И., 2010; Власов П.Н. с соавт., 2011).
• Подбор терапии с учетом планируемой беременности тактика ведения до
наступления, в период беременности и после родов. Подбор ПЭП с учетом
тератогенного потенциала и потенциального влияния на потомство
• Не существует ни одного абсолютно безопасного АЭП для периода
беременности, и приходится руководствоваться принципом «потенциальная польза должна преобладать над возможным риском»
• Наивысшим тератогенным риском обладают вальпроаты. Отмечено также
негативное влияние этой группы препаратов на когнитивные функции
потомства

26. Эпилепсия и климактерический период

• 38,4% случаев дебют эпилепсии у женщин приходится на
данный период жизни (Антонюк М.В. 2009)
• При выборе АЭП для лечения эпилепсии в этом периоде
необходимо учитывать:
• Потенциальное влияние препарата на минеральную плотность
костной ткани (остеопению/остеопороз). Риск развития
остеопороза у пациентов с эпилепсией в 1,7 раз выше, чем в
общей популяции (Lazzari A. et al., 2013)
• Неблагоприятное влияние на минеральную плотность костной
ткани оказывают ферментиндуцирующие АЭП (ФБ, фенитоин,
карбамазепин) (Pascussi J. et al., 2005; Elliott J. et al., 2007) и
вальпроаты (Pack A. et al., 2008).
• Взаимодействие с другими препаратами для лечения
сопутствующей патологии

27. Когда применяют стратегию “add-on” терапии?

• нет адекватного контроля приступов после
двух последовательных монотерапий
• есть неполная коррекция приступов
• низкий риск лекарственных взаимодействий
• хорошая переносимость первого препарата
• позитивное отношение пациента к
принимаемому ПЭП (1).
Адаптировано из J.A.French, E.Faught Rational polytherapy,
Epilepsia 50 (Suppl.8) 63-68, 2009

28. Алгоритм подбора “add-on” терапии

• Установить оптимальные дозы базового ПЭП
• Добавить другой ПЭП с отличным от базового
механизмом действия, либо с множественным
механизмом действия. Избегать комбинации
однонаправленных ПЭП
• Титровать добавленный ПЭП медленно и осторожно.
Быть готовым уменьшить дозу базового препарата
• Заменить наименее эффективный препарат, если нет
ответа на терапию
• Постоянный мониторинг нежелательных явлений
Адаптировано из J.A.French, E.Faught Rational polytherapy, Epilepsia 50
(Suppl.8) 63-68, 2009

29. Рациональные комбинации и своевременность изменения стратегии лечения

• Целесообразно использовать АЭП с широким спектром механизмов действия – вальпроаты,
ламотриджин, топирамат, леветирацетам и зонисамид, менее эффективными будут
комбинации с окскарбазепином, тиагабином, прегабалином, особенно у пациентов, имеющих
более одного типа припадка (Deckers C.L., и др., 2003; Kwan, 2000; Schmidt D., Elger C.,
Holmes G.L.)
• ЛЕВ – неметаболизирующийся ПЭП=> добавляется к любой исходной терапии
• По данным исследований, эффективность ЛКМ была достаточно высока независимо от
начальной базовой терапии (Chung S. Drugs, 2008, Sake J.K., Epilepsy&Behaviour, 2010).
• По данным пост-маркетинговых исследований (VITOBA, REALLY), эффективность ЛКМ
была выше в группе пациентов, получавших препарат в ранней политерапии – сразу после
неудавшейся монотерапии (U. Runge et al.. Epilepsia, **(*):1–10, 2015,
http://onlinelibrary.wiley.com/doi/10.1111/epi.13224/full , дата доступа ноябрь 2015; V.
Villanueva et al. Clin Drug Investig (2015) 35:121–131)
• эффективность ЛКМ была выше при комбинации с препаратами, механизм действия
которых отличен от классических блокаторов натриевых каналов (вальпроаты,
леветирацетам, топирамат, зонисамид) (V. Villanueva et al. Clin Drug Investig (2015) 35:121–
131)

30.

Louis E.K.St., , et al 2007

31.

При запоздалом использования рациональной
политерапии или хирургического лечения могут
наступить необратимые психосоциальные
последствия и снижается шанс избавиться от
инвалидизирующих припадков

32. Эффективность Вимпата обеспечивается отличным от других ПЭП механизмом действия

• Вимпат® не относится к
классическим блокатором натриевых
каналов.
• Новый тип - модулятор натриевых
каналов с новым механизмом
действия
• Вимпат® выборочно влияет на
медленную инактивацию , усиливая,
ее без влияния на быструю
инактивацию
• Вимпат® уменьшает длительную
доступность натриевых каналов
по Л.Р.Зенков. Журн неврологии и психиатрии, 10, 2010
• Вимпат® нормализует пороги
активации

33. Фармакорезистентная фокальная эпилепсия У.Т.Н. 30 лет

• Диагноз: Симптоматическая фармакорезистентная
фокальная катамениально-зависимая эпилепсия с
левосторонним? височно-затылочным очагом,
парциальными и вторично генерализованными
припадками бодрствования и сна без изменения
личности.

34. Припадки 2 типов:

• Фокальные – шумовые, во время которых
слышит внезапные, стандартные,
высокочастотные, достаточно интенсивные
шумы (напоминает свисток);
• Вторично генерализованные.
• Исходная частота приступов 3-4 ПП и 1-2
ВГСП в месяц.

35. Анамнез:

• Больна с 11 лет без видимой причины.
• Наследственность по эпилепсии не
отягощена.
• Матери в родах 33 года.
• Беременность протекала без особенностей,
роды стремительные.

36. ЭЭГ исследование

• Правополушарная височно-затылочной
локализации медленноволновая и
островолновая активность без тенденции к
вторичной билатеральной синхронии.

37. ЭЭГ от 08.09.2009

38. ЭЭГ от 07.03.2013

39. Терапия:

Дата
коррекции
терапии
Янв. 2009
1- й препарат,
дозы
2 - й препарат,
дозы
3 -й препарат,
дозы
Вальпроевая к-та
1250-250-1250
мг/сут
Вальпроевая к-та Окскарбазепин
1000-1000 мг/сут 900-600 мг/сут
Фев. 2009
Вальпроевая к-та Окскарбазепин
1000-1000 мг/сут 900-600 мг/сут
Авг. 2009
Вальпроевая к-та Ламотриджин
1000-1000 мг/сут 75-75 мг/сут
Ламотриджин
75-75 мг/сут
Частота ВГСП
Частота
парциальных
приступов
1-2 р/мес
3-4 р/мес
1 раз в 3 мес
снизилась
Отсутствие приступов в течение
6 мес
14 мес – без
приступов
Нояб.2010 Вальпроевая к-та Ламотриджин
500-750 мг/сут
150-150 мг/сут
Возобновились
1 раз в 2-3 мес
Февр.2011 Вальпроевая к-та Ламотриджин
1750-1000 мг/сут 150-150 мг/сут
1 раз в 2-3 мес
ВГСП – вторично-генерализованные приступы
1 р/мес
(менструальноассоциир.)
1 р/мес
(менструальноассоциир.)
1 р/мес
(менструальноассоциир.)

40. Терапия:

Дата коррекции 1ый препарат, 2ой препарат, 3ий препарат, Частота ВГСП
терапии
дозы
дозы
дозы
Май 2011
Вальпроевая к- Ламотриджин
та
150-150 мг/сут
1750-1000
мг/сут
Вимпат
(лакосамид)
200-200 мг/сут
Частота
парциальных
приступов
Ремиссия ВСЕХ типов
приступов в течение 14 мес
Стартовая доза препарата Вимпат (Лакосамид) – 50 мг
2 раза в день в течение 7 дней.
На 2-й неделе доза была увеличена до 200 мг/сутки.
В течение последующих 2-х недель доза доведена до
максимальной - 400 мг/сут (200 мг 2 раза в день).
Побочных эффектов не отмечалось на всех этапах
титрации и поддерживающей терапии.
ВГСП – вторично-генерализованные приступы

41. Терапия:

Периодически проводилась гормональная терапия гинекологом
эндокринологом (НОВИНЕТ), которая оказалась неэффективной
Дата коррекции 1ый
терапии
дозы
препарат, 2ой
дозы
препарат, 3ий
дозы
препарат, Частота ВГСП
Частота
парциальных
приступов
2 ВГСП на фоне самостоятельного
уменьшения дозировки ЛТД
Июль 2012
Вальпроевая к-та
1750-1000 мг/сут
Ламотриджин
125-100 мг/сут
Вимпат
(лакосамид) 200200 мг/сут
Дек. 2012
Вальпроевая к-та
1500-1250 мг/сут
Ламотриджин
150-150 мг/сут
Вимпат
(лакосамид) 200200 мг/сут
Отсутствие ВГСП, периодические
«шумовые». Перед новым годом 3
ВГСП на фоне перенапряжения
Март 2013
Стационарное
лечение в связи с
серией ВГСП
Вальпроевая к-та
1000-1000 мг/сут
Ламотриджин
150-150 мг/сут
Приступы купированы, но появились
общемозговые с-мы:
заторможенность, тошнота,
повторная рвота + атаксия.
Март 2013февраль 2016
Вальпроевая к-та
1000-1000 мг/сут
Ламотриджин
150-150 мг/сут
Вимпат
(лакосамид) 200200 мг/сут +
Карбамазепин
200-200 мг/сут
Вимпат
(лакосамид) 200200 мг/сут
ВГСП – вторично-генерализованные приступы
Ремиссия

42. ЭЭГ от 07.03.2013

43. ЭЭГ от 07.10.13

44. Аппаратные методы исследования:

• МРТ от 13.03.2013 – глиозно-кистозные
изменения преимущественно в левой
затылочно-височной доле.
• МР-ангиография – патологии не выявлено.

45. МРТ от 03.2013

46.

47.

48. БЛАГОДАРЮ ЗА ВНИМАНИЕ!

English     Русский Правила