Системные васкулиты
Современная классификация системных васкулитов (CHAPEL HILL CONSENSUS CONFERENCE, 2012 г.)
Чем болеет пациент?
УЗЕЛКОВЫЙ ПОЛИАРТЕРИИТ
Поражение органов при УП
Клинические исследования
Классификационные критерии узелкового полиартериита (R.W. Lightfoot et al., 1990)
Чем болеет пациент?
ГЕМОРРАГИЧЕСКИЙ ВАСКУЛИТ (ПУРПУРА ШЕНЛЕЙНА–ГЕНОХА)
Поражение органов
Рекомендуемые клинические исследования
Классификационные критерии геморрагического васкулита (J.A. Miles et al., 1990)
Чем болеет пациентка?
ГРАНУЛЕМАТОЗ С ПОЛИАНГИИТОМ
Поражение органов
Клинические варианты
Клинические исследования
Классификационные критерии гранулематоза Вегенера (R.Y. Levitt et al., 1990)
Чем болеет пациент?
МИКРОСКОПИЧЕСКИЙ ПОЛИАНГИИТ
Клиническая картина
Диагностика
Клинические исследования
Чем болеет пациент?
ЭОЗИНОФИЛЬНЫЙ ГРАНУЛЕМАТОЗ С ПОЛИАНГИИТОМ (СИНДРОМ ЧЕРДЖА- СТРОССА)
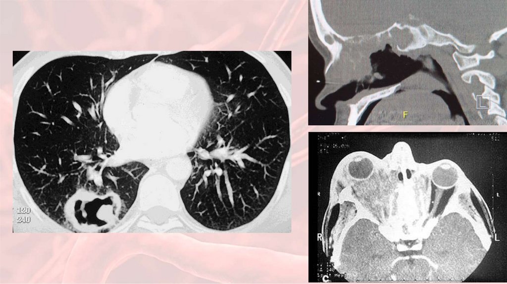
Клиническая картина
Поражение органов
Диагностика
Классификационные критерии
Клинические исследования
Чем болеет пациентка?
ГИГАНТОКЛЕТОЧНЫЙ АРТЕРИИТ (БОЛЕЗНЬ ХОРТОНА) И РЕВМАТИЧЕСКАЯ ПОЛИМИАЛГИЯ
Клинические варианты течения ГКА:
Общие проявления включают лихорадку с проливными потами (субфебрильную и фебрильную), которая в течение длительного времени
Клинические исследования
Классификационные критерии гигантоклеточного артериита (G.G. Hunder et al., 1990)
Чем болеет пациентка?
НЕСПЕЦИФИЧЕСКИЙ АОРТОАРТЕРИИТ (АРТЕРИИТ ТАКАЯСУ)
Клинические проявления артериита Такаясу подразделяются на 2 группы: общие и локальные.
При поражении различных ветвей дуги аорты наблюдаются:
Синдромы, характеризующие поражение брюшного отдела аорты:
Клинические исследования:
Классификационные критерии артериита Такаясу (W.P. Arend et al., 1990)
Чем болеет пациент?
ОБЛИТЕРИРУЮЩИЙ ТРОМБАНГИИТ (БОЛЕЗНЬ ВИНИВАРТЕРА–БЮРГЕРА)
Клинические исследования:
Чем болеет пациент?
БОЛЕЗНЬ БЕХЧЕТА
Клинические проявления:
Другие проявления ББ:
Клинические исследования:
Лечение системных васкулитов
Прогноз
Спасибо!
9.40M
Категория: МедицинаМедицина

3_zanyatie_Sistemnye_vaskulity

1. Системные васкулиты

2. Современная классификация системных васкулитов (CHAPEL HILL CONSENSUS CONFERENCE, 2012 г.)

Васкулиты с поражением сосудов крупного калибра
Васкулит с поражением сосудов единственного органа
артериит Такаясу (неспецифический аортоартериит);
гигантоклеточный артериит (болезнь Хортона) и ревматическая полимиалгия.
кожный лейкоцитокластический ангиит;
кожный артериит;
Васкулиты с поражением сосудов среднего калибра
первичный васкулит центральной нервной системы;
узелковый полиартериит;
изолированный аортит;
болезнь Кавасаки.
другие.
Васкулиты с поражением сосудов мелкого калибра
Васкулит, ассоциарованный с системными заболеваниями
Васкулиты, ассоциированные с антинейтрофильными цитоплазматическими
антителами (АНЦА):
васкулит при СКВ;
ревматоидный васкулит;
саркоидный васкулит;
другие.
микроскопический полиангиит;
гранулематоз с полиангиитом;
эозинофильный гранулематоз с полиангиитом (Черджа–Строс).
Иммунокомплексные васкулиты:
Васкулит, ассоциированный с определенными этиологическими факторами
криоглобулинемический васкулит, ассоциированный с вирусом гепатита С;
васкулит, ассоциированный с вирусом гепатита В;
аортит, ассоциированный с сифилисом;
лекарственный иммуннокомплексный васкулит;
лекарственный АНЦА-ассоциированный васкулит;
Вариабельный васкулит
паранеопластический васкулит;
болезнь Бехчета;
другие.
синдром Когана.
заболевания, ассоциированные с антителами к БМК (синдром Гудпасчера);
криоглобулинемический васкулит;
IgА-ассоциированный васкулит (геморрагический васкулит,
пурпура Шенлейна-Геноха);
гипокомплементемический уртикарный васкулит анти-C1q васкулит.

3.

4. Чем болеет пациент?

• Мужчина, 30 лет, временно не
работает.
• Жалуется на повышение
температуры тела до фебрильных
цифр, похудание, периодическую
боль в коленных суставах, мышцах,
яичках, чувство тошноты, не
связанное с приемом пищи.
• Из анамнеза известно, что в
прошлом он потребитель
инъекционных наркотиков.

5. УЗЕЛКОВЫЙ ПОЛИАРТЕРИИТ

Некротизирующее воспаление преимущественно артерий среднего калибра любой
локализации с образованием аневризм, тромбозом, разрывом аневризм с кровотечением,
инфарктом поражённых органов и тканей.
Наиболее часто поражаются кожа, суставы, периферические нервы, кишечник и почки.
Развивается чаще у лиц среднего возраста мужского пола.
Начинается чаще постепенно, с лихорадки, болей в суставах, мышцах, кожных высыпаний,
похудания вплоть до прогрессирующей кахексии, что имеет диагностическое значение.
Типична интенсивная боль в икроножных мышцах вплоть до обездвиживания.

6. Поражение органов при УП

• Поражение суставов – артралгии, артрит – встречаются более чем у половины
больных. Артрит, как правило, транзиторный, мигрирующий, не деформирующий, с
поражением одного или нескольких суставов, преимущественно крупных.
• Поражение кожи (25-60% больных) включает папуло-петехиальную пурпуру, реже –
буллезные и везикулезные высыпания. Иногда встречаются подкожные узелки
(аневризматическое изменение артерий) диаметром 0,5-2,0 см, сетчатое ливедо,
инфаркты кожи и ишемические изменения фаланг пальцев вплоть до гангрены.
• Периферическая нейропатия – множественный мононеврит, поли- или
мононейропатия встречаются у 50-70% пациентов. Особенно характерны
асимметричные моторные и сенсорные нарушения в нижних конечностях,
связанные с вовлечением берцовых нервов и их ветвей (сильные боли, парестезии,
двигательные расстройства). Иногда наблюдается поражение ЦНС, проявляющееся
судорогами и инфарктом головного мозга или инсультом, психозами, головными
болями.

7.

• Поражение почек (60-80% больных) относится к прогностически неблагоприятным признакам и может
быть следствием как поражения почечных артерий, так и клубочков, однако, преобладающим при
классическом узелковом полиартериите является сосудистый тип почечной патологии (сосудистая
нефропатия), а быстрое нарастание почечной недостаточности, как правило, связано с множественными
(обычно без-болевыми) инфарктами почек. Характерны умеренная протеинурия (<3 г/сут.),
микрогематурия, лейкоцитурия (не связанная с мочевой инфекцией). У пациентов, инфицированных НВV,
встречаются другие варианты поражения почек: мембранозная нефропатия, мезангиокапиллярный
гломерулонефрит, IgA-нефропатия, гломерулонефрит вследствие смешанной криоглобулинемии.
• Характерно развитие злокачественной АГ с диастолическим АД более 90 мм рт. ст., что сопровождается
изменениями сердца (левожелудочковая недостаточность), глазного дна (ретинопатия, отёк дисков зрительных нервов), развитием гипертонической энцефалопатии.
• Поражение сердца наблюдается у 40% больных и проявляется кардиомегалией, нарушением ритма,
коронариитом (стенокардией с не-типичным болевым синдромом и инфарктом миокарда - обычно
мелко-очаговым, без ангинозных болей).
• Поражение ЖКТ – весьма характерная, разнообразная и наиболее тяжелая форма органной патологии.
Типичным признаком являются боли в животе, тошнота, рвота, связанные с ишемией кишечника. Иногда
развивается картина острого живота с симптомами аппендицита, холе-цистита, тромбоза
мезентериальных сосудов с некрозом и перфорацией кишечника, перитонитом.
• Поражение печени – гепатомегалия, изменение печеночных функциональных тестов – может быть
связано как с инфицированием виру-сом гепатита В, так и с инфарктом печени или гематомой,
обусловленной разрывом внутрипеченочных сосудов.
• Поражение яичек (орхит, эпидидимит) - при биопсии обнаруживается в 80% случаев, но клинически
диагностируется редко.

8. Клинические исследования

1. Функциональные
пробы печени (ЩФ,
АСТ, АЛТ).
2. Маркеры HBV
(Hbs Ag, HBV ДНК).
4. Биопсия кожномышечного
лоскута, печени,
почек.
3. АНЦА, РФ,
криоглобулинемия.
5. Ангиография.

9.

10. Классификационные критерии узелкового полиартериита (R.W. Lightfoot et al., 1990)

1. Похудание > 4 кг, не связанное с особенностями питания.
2. Сетчатое ливедо (пятнистые сетчатые изменения рисунка кожи конечностей и туловища).
3. Боль в яичках.
4. Миалгии, слабость или болезненность в мышцах нижних конечностей.
5. Множественный мононеврит, моно- или полинейропатия.
6. Диастолическое давление >90 мм рт.ст.
7. Повышение уровня мочевины или креатинина в крови.
8. Инфицирование вирусом гепатита В (наличие HBs Ag или антител к вирусу гепатита В в сыворотке крови).
9. Артериографические изменения (аневризмы или окклюзии висцеральных артерий).
10. Данные биопсии (инфильтрация нейтрофилами артерий мелкого и среднего калибра).
Наличие 3 и более любых критериев позволяет классифицировать заболевание как узелковый
полиартериит с чувствительностью 82,2% и специфичностью 86,6%.

11. Чем болеет пациент?

• Подросток, 16 лет. Поступил в экстренное хирургическое отделение с
диагнозом «острый живот». На обзорной рентгенограмме ОБП патологии не
было выявлено. Проведена диагностическая лапароскопия, при которой
находкой стали множественные петехии на петлях кишечника. Боли
купировались спустя 2 часа, а на следующее утро появилась петехиальная
сыпь на обеих ногах.

12. ГЕМОРРАГИЧЕСКИЙ ВАСКУЛИТ (ПУРПУРА ШЕНЛЕЙНА–ГЕНОХА)

Васкулит с IgA-иммунными депозитами, характеризующийся
вовлечением мелких сосудов (капилляров, венул, артериол) с
поражением кожи, кишечника, почек, суставов.
Преимущественно болеют дети до 16 лет с соотношением
лиц женского и мужского пола 1:1

13. Поражение органов

Поражение кожи является диагностическим критерием геморрагического васкулита и наблюдается у всех больных
на разных этапах раз-вития болезни (в дебюте – у половины больных). К проявлениям кожного синдрома относят
петехиальную сыпь и/или так называемую пальпируемую пурпуру, иногда в сочетании с эритематозными пятнами,
папулами, пузырьками. Характерен ортостатизм, может быть кожный зуд. Поражение кожи начинается с тыльной
поверхности симметричных дистальных отделов нижних конечностей, затем постепенно распространяется на бедра
и ягодицы, реже – верхние конечности, живот, спину. Через несколько дней сыпь бледнеет, приобретает бурую
окраску, затем исчезает, но иногда сохраняется гиперпигментация.
Поражение суставов по типу артралгий и артритов достигает 100%, чаще развивается у взрослых, носит
мигрирующий характер и обычно сочетается с миалгией и отеком нижних конечностей. Наиболее часто поражаются
суставы нижних конечностей, реже – локтевые и лучезапястные. Длительность суставного синдрома редко
превышает неделю.
Поражение ЖКТ наблюдается более чем у 2/3 больных и проявляется схваткообразными болями в животе, тошнотой,
рвотой, редко – желудочно-кишечными кровотечениями.
Поражение почек достигает 60%, развивается после появления пурпуры. Клинические проявления поражения почек
разнообразны. В большинстве случаев течение почечного процесса благоприятное, но при устойчивой протеинурии
и гематурии может развиваться ХПН. Обычно имеет место бессимптомная изолированная микро- или макрогематурия, иногда сочетающаяся с умеренной протеинурией, очень редко осложняющаяся нефротическим
синдромом и артериальной гипертонией.

14. Рекомендуемые клинические исследования

1. Титры АСЛ-О сыворотки крови, РФ.
2. Концентрация IgA в сыворотке крови.
3. Биопсия кожи, почек.

15. Классификационные критерии геморрагического васкулита (J.A. Miles et al., 1990)

1. Пальпируемая пурпура (слегка возвышающиеся геморрагические кожные
изменения, не связанные с тромбоцитопенией).
2. Возраст < 20 лет.
3. Боли в животе (диффузные, усиливающиеся после приема пищи или ишемии
кишечника), может быть кишечное кровотечение.
4. Данные биопсии (обнаружение гранулоцитарной инфильтрации в стенке
артериол и венул).
Наличие у больного двух и более любых критериев позволяет классифицировать
заболевание как геморрагический васкулит с чувствительностью 87,1% и
специфичностью 87,7%.

16. Чем болеет пациентка?

• Женщина 40 лет, кассир, курит 1 пачку
в день. Жалуется на периодическую
ломоту в разных суставах, огрубение
голоса, многолетний гнойный ринит,
не поддающийся лечению
сосудосуживающими и
антибактериальными препаратами,
изменение формы носа,
периодический сухой кашель.
• Лечила ринит и кашель
самостоятельно, без результата. Не
обследовалась.
• Объективно: седловидная деформация
спинки носа, на деснах – петехии.

17. ГРАНУЛЕМАТОЗ С ПОЛИАНГИИТОМ

Некротизирующий васкулит мелких и средних сосудов с некротизирующим
гранулематозным воспалением верхних дыхательных путей, легких, почек.
Одинаково часто встречается у мужчин и женщин, средний возраст – 40 лет.
Общие симптомы: относятся лихорадка, общая слабость, похудание,
артралгии (реже артриты), миалгии.

18. Поражение органов

Поражение верхних дыхательных путей является самым частым начальным проявлением заболевания, в целом
отмечается у 90% больных и характеризуется язвенно-некротическим ринитом с гнойно-геморрагическим отделяемым,
изъязвлением слизистой оболочки с развитием таких осложнений как перфорация носовой перегородки и седловидная
деформация носа. Возможны поражения трахеи, гортани (подскладочная гранулема, огрубение голоса, стеноз гортани),
ушей (средний отит, гнойная инфекция, потеря слуха), придаточных пазух носа, развитие язвенного стоматита.
Поражение легких в целом встречается у 85% больных и у 45% – в дебюте заболевания и характеризуется множественными
билатеральными инфильтратами, склонными к распаду и образованию полостей, и клини-чески проявляется кашлем,
кровохарканьем. Реже наблюдается плеврит.
Поражение почек в виде гломерулонефрита отмечается у 15% больных в дебюте заболевания и в 80% случаев – при
развернутой болезни. Поражение почек может проявляться бессимптомной протеинурией и микрогематурией,
приобретать быстропрогрессирующее течение (с умеренной АГ и протеинурией не более 3 г), которое при отсутствии
лечения приводит к смерти больного в течение полугода.
Поражение сердца – встречается у 20% больных, возрастает риск ОИМ, инсульта, периферической артериальной окклюзии.
Поражение глаз имеет особенно существенное клиническое и диагностическое значение и характеризуется развитием
эписклерита, периорбитальной гранулемы с экзофтальмом, псевдоопухоли глазного яблока, потерей зрения вследствие
ишемии зрительного нерва.

19.

Среди других органов наиболее часто (у 40% больных) поражается кожа, что проявляется язвенногеморрагическими высыпаниями, синдромом Рейно.
Мышечно-скелетные симптомы относятся к числу наиболее частых проявлений гранулематоза
Вегенера. У большинства больных наблюдаются артралгии, миалгии, реже – артрит (моно-, олиго-,
полиартрит) мигрирующий, чаще асимметричный.
Характерным неврологическим нарушением является множественный мононеврит, реже развивается
дистальная симметричная полинейропатия.
Типичными симптомами поражения ЖКТ, связанными с развитием энтероколита, являются боли в
животе, кровотечения, диарея.
Из поражений мочеполовой системы наибольшее значение имеет геморрагический цистит.

20. Клинические варианты

Локальная форма с
поражением ЛОР-органов и
глаз; возможна лихорадка,
артриты, артралгии и
миалгии.
Лимитированная форма с
поражением ЛОР-органов,
легких, с другими
признаками васкулита, но
при отсутствии
гломерулонефрита.
Генерализованная форма с
характерной триадой
признаков.

21. Клинические исследования

1. ц-АНЦА и антитела
к ПР-3
(чувствительность и
специфичность 90%).
2. Биопсия (открытая
и трансбронхиальная
легкого, слизистой
носа и пазух, почки).

22. Классификационные критерии гранулематоза Вегенера (R.Y. Levitt et al., 1990)

1. Воспаление носа и полости рта (язвы полости рта, гнойные или кровянистые
выделения из носа).
2. Изменения в легких при рентгенологическом исследовании (узелки, инфильтраты или
полости в легких).
3. Изменения мочи (гематурия > 5 эритроцитов в поле зрения или скопления
эритроцитарных цилиндров в осадке мочи).
4. Данные биопсии (гранулематозное воспаление в стенке артерий или периваскулярном
и экстраваскулярном пространствах).
Наличие у больного 2 и более любых критериев позволяет классифицировать поставить заболевание как
гранулематоз Вегенера с чувствительностью 88% и специфичностью 92%.

23.

24.

25. Чем болеет пациент?

• Мужчина 45 лет, электрик.
• Жалуется на кашель, кровохаркание, боль
в пояснице, лихорадку до фебрильных
цифр. Заболел 3 дня назад, с
постепенным развитием вышеуказаных
жалоб.
• Два года страдает одышкой при
умеренной физической нагрузке.
• Объективно: лицо отечное, АД 120 и 75.
• Выполнена КТ:

26. МИКРОСКОПИЧЕСКИЙ ПОЛИАНГИИТ

Микроскопический полиангиит (МПА) – некротизирущий АНЦАассоциированный васкулит с минимальными имунными депозитами,
поражающий мелкие сосуды (капилляры, венулы, артериолы), редко артерии
малого и среднего калибра, в клинической картине которого доминируют
признаки некротизирующего гломерулонефрита, реже лёгочного капиллярита.
МПА обычно развивается в среднем возрасте, чаще у мужчин (м/ж- 1,1-1,8/1).

27. Клиническая картина

I. Общие симптомы: лихорадка, слабость, снижение массы тела, миалгии, артралгии.
Как правило, при МПА наблюдают острое начало и более агрессивное течение, чем при ГПА
или ЭГПА (у 50% больных выявляют тяжёлый лёгочно-почечный синдром). Возможно
медленное развитие МПА с рецидивами общих симптомов в течение нескольких месяцев или
лет.
II. Поражение органов и систем
1. Верхние дыхательные пути: некротический ринит, атрофия слизистой носа, изменения
придаточных пазух носа в 30% носят обратимый характер и не приводят к деструктивным
процессам и деформациям носа.
Отличия от ГПА: поражение ВДП при МПА встречается реже и протекает легче, отсутствует
гранулематозное воспаление: не свойственны периорбитальные гранулемы и гранулемы
слизистой носа, отсутствует подскладочный ларингит.
2. Почек – фокальный сегментарный некротизирующий экстракапиллярный гломерулонефрит
с «полулуниями» возникает у всех больных.Часто приобретает быстропрогрессирующее
течение (до 55%). Особенно тяжело протекает при наличии антител к ПР-3.
Характерны эритроцитурия, протеинурия, нефротический синдром.
Особенность МПА: быстрое развитие почечной недостаточности и отсутствие АГ, что отличает
МПА от УП.

28.

• 3. Лёгких- встречается в 35-70% случаев в виде некротизирующего альвеолита, капиллярита
(кашель, боли в грудной клетке, в 50-70% - кровохарканье, лёгочное кровотечение), что в
половине случаев становится фатальным.
• Особенно тяжело патология лёгких протекает при наличии цитоплазматических антител.
• Инфильтраты в лёгких без распада, нередко с реакцией плевры.
• При МПА с гиперпродукцией антител к миелопероксидазе описаны случаи фиброзирующего
альвеолита.
• Фиброзирующий альвеолит (интерстициальные изменения с симптомом «матового стекла»)
может возникать за 2-3 года до появления других признаков болезни.
• 4. ЖКТ- характеризуется (в 10% случаев) болями в животе диареей, иногда кровотечением
вследствие развития ишемических язв желудка и кишечника.
• 5. Нервной системы-проявляется (в 30% случаев) асимметричным сенсорно-моторным
множественным мононевритом, реже – периферической полинейропатией.
• 6. Костно-мышечной системы – миалгии, артралгии, артрит (в 70%)
• 7. Кожи-геморрагические или язвенно-геморрагические высыпания преимущественно на
коже конечностей, реже livedo reticularis, некрозы кожи и подлежащих мягких тканей
(в70%).
• 8. Органа зрения-склерит и эписклерит (в 30%) и ЛОР-органов диагностируют чаще, чем при
УП.

29. Диагностика

Классификационные критерии МПА отсутствуют. Диагноз МПА основывают на клинической
картине, данных иммунологического и морфологического исследований.
Лабораторные изменения: гипохромная анемия, нейтрофильный лейкоцитоз, увеличение
СОЭ, СРБ, РФ, сывороточного креатинина (до100%), микрогематурия (до 100%), протеинурия
(до 90%).
При МПА примерно с одинаковой частотой обнаруживают перинуклеарные АНЦА (пАНЦА),
реагирующие с миелопероксидазой и цитоплазматические АНЦА (цАНЦА), реагирующие с
протеиназой-3 (при ГПА выявляют цАНЦА у 90% , при ЭГПА -пАНЦА – у 70% больных).
АНЦА, являясь важным диагностическим маркером АНЦА-ГН, имеют невысокую ценность для
мониторирования активности заболевания, поскольку могут присутствовать в сыворотке
крови даже при полной клинической ремиссии заболевания.

30. Клинические исследования

1. АНЦА;
2. Рентгенография и
КТ придаточных
пазух носа и лёгких;
3. Биопсия (открытая
и трансбронхиальная
легкого, слизистой
оболочки носа и
пазух, почки, кожи).

31. Чем болеет пациент?

• Мужчина 42 лет жалуется на сухой кашель,
боли в области носовых пазух при наклоне
туловища, чувство сердцебиения,
повышение АД до 150 и 90 мм рт ст.
• С подросткового возраста страдает
сезонным аллергическим ринитом. В
возрасте 35 лет поставлен диагноз
бронхиальная астма, находится на низких
дозах иГКС, обострения крайне редкие.
• Объективно: пациент пониженного питания.
Язвенно геморрагические высыпания на
коже конечностей.
• В ОАК – эоз 12%

32. ЭОЗИНОФИЛЬНЫЙ ГРАНУЛЕМАТОЗ С ПОЛИАНГИИТОМ (СИНДРОМ ЧЕРДЖА- СТРОССА)

Эозинофильный гранулематоз с полиангиитом (ЭГПА) – некротизирующий
гранулематозный АНЦА-ассоциированный васкулит мелких и средних
сосудов с выраженной эозинофильной инфильтрацией различных органов и
тканей, протекающий с высокой эозинофилией, поражением дыхательных
путей и развитием бронхиальной астмы.
Болезнь возникает в любом возрасте, но наиболее часто от 35 до 45 лет,
несколько чаще болеют мужчины (м/ж= 1,1-3,0/1).

33. Клиническая картина

• I. Общие симптомы: лихорадка, слабость, потеря аппетита, снижение
массы тела.
• II.Течение ЭГПА подразделяют на 3 стадии, которые последовательно
разворачиваются на протяжении нескольких лет:
• 1. стадия - постепенное развитие симптомов бронхиальной астмы,
аллергического ринита, синусита, проявлений лекарственной
непереносимости.
• 2. стадия - присоединяются эпизоды эозинофильной инфильтрации
тканей в виде эозинофильной пневмонии или гастроэнтерита, что
часто сочетается с периферической эозинофилией более 10%.
• 3. стадия - развитие системного некротизирующего васкулита.

34. Поражение органов

1. Дыхательной системы – сопровождается развитием бронхиальной астмы (более
95% тяжёлой), аллергического ринита, часто – полипов носа, острого и хронического
синусита, редко – некроза слизистой.
Поражение лёгких (70%) характеризуется мигрирующими инфильтратами
(эозинофильная пневмония) или узлами без полостей распада, редко –
кровохарканьем. Возможен эозинофильный плеврит.
2. Сердца – (30-50%) - проявляется разнообразной патологией (эозинофильным
перикардитом, эндомиокардитом, коронариитом, сердечной недостаточностью,
нарушением ритма и проводимости) и становится причиной летального исхода у 50%
больных. Прогностическое значение имеет развитие также пристеночного фибропластического эндокардита Лёффлера, сопровождающегося диффузным фиброзным
процессом в миокарде. Он характеризуется формированием рестриктивной
кардиомиопатии, поражением папиллярных мышц и хорд, развитием не
достаточности a-v клапанов , образованием пристеночных тромбов с последующими
тромбоэмболическими осложнениями.

35.

3. Нервной системы:
• периферической - (64%) - развивается чаще, чем при других формах АНЦА-СВ и
характеризуется асимметричным сенсорно-моторным множественным
мононевритом;
• ЦНС - (10%) - проявляется невритом черепно- мозговых нервов, острыми
нарушениями мозгового кровообращения, очаговыми изменениями мозга
(определяющими, как и поражение сердца, прогноз), эпи- синдромом.
4. Почек - гломерулонефрит встречается реже, чем другие признаки заболевания и
менее злокачественный, чем при ГПА и МПА. У половины больных диагностируют
очаговый нефрит, сопровождающийся протеинурией, эритроцитурией, умеренным
повышением АД, начальными признаками почечной недостаточности.
При перинуклеарных АНЦА развивается некротизирующий гломерулонефрит.
5. Кожи - (64%) - геморрагические или язвенно-геморрагические высыпания, как
правило, на коже конечностей, реже – уртикарные высыпания.
6. ЖКТ - (10%) - эозинофильный гастроэнтерит или васкулит стенки кишечника,
способные к образованию ишемических язв, перфорации.
7. Органа зрения - (30%) - сопровождается развитием склерита и эписклерита.
8. Другие органы редко поражаются: гранулёмы в предстательной железе,
обструктивная уропатия, миалгии, миозит, артралгия, артрит.

36. Диагностика

Лабораторные методы выявляют
эозинофилию в периферической
крови (часто более 1,0х109/л),
увеличение СОЭ, СРБ, РФ, IgE,
нормохромную нормоцитарную
анемию, умеренный
тромбоцитоз, протеинурию,
эритроцитурию.
АНЦА с перинуклеарным типом
свечения (пАНЦА) обнаруживают
у 70% больных ЭГПА, но не
всегда со специфичностью к
миелопероксидазе, реже
выявляются цАНЦА.

37. Классификационные критерии

1. Астма (затруднение дыхания или диффузные хрипы на выдохе).
2. Эозинофилия более 10 %.
3. Аллергия в анамнезе: сезонная (аллергический ринит) или другие аллергические реакции (пищевая,
контактная) за исключением лекарственной.
4. Мононейропатия, множественная мононейропатия или полинейропатия по типу перчаток или чулок.
5. Мигрирующие или транзиторные лёгочные инфильтраты (при R-исследовании.
6. Синусит (боли или R-изменения в области околоносовых пазух).
7. Скопления эозинофилов во внесосудистом пространстве, определяемое при биопсии.
Наличие 4-х и более критериев позволяет классифицировать заболевание с чувствительностью 85% и
специфичностью 99%.

38.

Особенности течения ЭГПА в зависимости от наличия АНУА представлены в таблице:

39. Клинические исследования

1. Эозинофилы крови и бронхоальвеолярного лаважа.
2. АНЦА.
3. Рентгенография и КТ пазух носа и лёгких.
4. Спирография.
5. Биопсия (открытая и трансбронхиальная легкого, слизистой оболочки носа и пазух, почки,
кожи) с гистологическим исследованием для выявления некротического гранулематозного
воспаления мелких и средних артерий с обильной эозинофильной инфильтрацией.

40. Чем болеет пациентка?

• Пациентка 70 лет, пенсионерка.
• Жалуется на головную боль в височных
областях, боли и скованность в мышцах
плечевого пояса и шеи, уныние, нарушение
сна.
• Заболела 10 дней назад, когда стала
беспокоить лихорадка с проливными
потами по ночам, три дня назад
присоединились вышеуказанные жалобы.
• Объективно: пациентка заторможена,
малоконтактна, при пальпации височной
артерии выявляется резкая болезненность,
пульсация снижена с двух сторон

41. ГИГАНТОКЛЕТОЧНЫЙ АРТЕРИИТ (БОЛЕЗНЬ ХОРТОНА) И РЕВМАТИЧЕСКАЯ ПОЛИМИАЛГИЯ

Гранулематозный артериит, поражающий аорту и ее
основные ветви (преимущественно экстракраниальные
ветви сонной артерии, а также височную артерию).
Обычно начинается у больных старше 50 лет, чаще у
женщин, и в 40-60% случаев сочетается с
ревматической полимиалгией (РПА).

42. Клинические варианты течения ГКА:

- с краниальными
проявлениями;
- с ревматической
полимиалгией;
- с краниальными
симптомами и
ревматической
полимиалгией;
- с лихорадкой и другими
проявлениями
воспалительной активности
без локализованных
симптомов.

43. Общие проявления включают лихорадку с проливными потами (субфебрильную и фебрильную), которая в течение длительного времени

может быть единственным
симптомом заболевания, общую слабость, анорексию, похудание до 10 кг и более,
депрессию. Заболевание может развиваться остро и постепенно.
Сосудистые
расстройств
а зависят от
локализаци
и процесса
в
сосудистом
русле:
при поражении височной артерии беспокоит остро возникшая постоянная интенсивная
односторонняя головная боль в височной, лобной, теменной или затылочной областях,
болезненность при прикосновении к коже черепа, набухание, ослабление пульсации в
височных артериях;
при вовлечении верхнечелюстной артерии наблюдается перемежающаяся «хромота» при
жевании, беспричинная зубная боль или перемежающаяся «хромота» языка;
при поражении наружной сонной артерии – отек лица, нарушение глотания, слуха;
при поражении артерий, кровоснабжающих глаза и глазные мышцы выявляются
нарушение зрения (диплопия, слепота), ишемический хориоретинит, ирит, конъюнктивит,
склерит.
Описано развитие аортита, аневризмы аорты, недостаточности аортального клапана,
инфаркта миокарда, перикардита, миокардита, ишемических инсультов, мононеврита,
полинейропатии.

44.

Ревматическая полимиалгия – клинический синдром,
развивающийся у лиц пожилого и старческого возраста,
характеризуется выраженными двусторонними
симметричными болями и скованностью в мышцах плечевого,
тазового пояса и шеи, усиливающимися при движении, резким
увеличением СОЭ. Мышечная слабость обычно отсутствуют,
атрофия не развивается.
Характерно также поражение суставов в виде симметричного
серонегативного полиартрита с поражением преимущественно
коленных, лучезапястных и голеностопных суставов.

45. Клинические исследования

1. СОЭ, СРБ
(выраженное
увеличение).
2. Биопсия височной
артерии.

46. Классификационные критерии гигантоклеточного артериита (G.G. Hunder et al., 1990)

1. Начало заболевания после 50 лет.
2. Появление «новых» головных болей (ранее не отмечавшихся или изменение их характера и/или локализации).
3. Изменения височной артерии (болезненность при пальпации или снижение пульсации височных артерий, не
связанное с атеросклерозом сонных артерий).
4. Увеличение СОЭ (>50 мм/час).
5. Данные биопсии височной артерии: васкулит с сужением прссвета сосуда, повреждением интимы, диффузной
воспалительной, преимущественно мононуклеарной инфильтрацией, наличием многоядерных гигантских клеток.
Наличие у больного трех и более любых критериев позволяет классифицировать заболевание
как гигантоклеточный артериит с чувствительностью 93,5% и специфичностью 91,2%.

47. Чем болеет пациентка?

• Женщина 38 лет, курит 1,5 пачки сигарет в
день.
• Жалуется на повышение АД до 160 и 90 мм рт
ст., не снижающееся при приеме каптоприла,
тошноту в течение 5 дней.
• В течение месяца отмечает сонливость,
периодические головные боли, ухудшение
зрения, периодичекие боли в мышцах и
суставах.
• Объективно: систолический шум над левой
почечной артерией

48. НЕСПЕЦИФИЧЕСКИЙ АОРТОАРТЕРИИТ (АРТЕРИИТ ТАКАЯСУ)

Прогрессирующее гранулематозное воспаление аорты и
ее основных ветвей.
Обычно наблюдается у больных моложе 40 лет, чаще
женского пола.

49. Клинические проявления артериита Такаясу подразделяются на 2 группы: общие и локальные.

Общие проявления
характеризуются неспецифическими
симптомами, которые наиболее
часто встречаются в ранней стадии
заболевания или во время его
обострения: повышение
температуры тела, похудание,
общая слабость, головная боль,
сонливость, миалгии, артралгии,
реже – артрит, увеличение СОЭ.
К локальным признакам относятся
симптомы, связанные с
прогрессированием ишемии в
отдельных органах в результате
стенотических и окклюзионных
изменений различных сосудов.

50. При поражении различных ветвей дуги аорты наблюдаются:

1) синдром перемежающейся «хромоты» верхних конечностей, связанный с вовлечением в процесс
плечеголовного ствола, подключичных артерий: слабость, усталость, боли в мышцах, онемение,
усиливающиеся при физической нагрузке;
2) синдром дисциркуляторной энцефалопатии, обусловленный поражением плечеголовного ствола,
общих, наружных и внутренних сонных, а также позвоночных артерий: головные боли, головокружение,
шаткость походки, обморочные состояния, острые нарушения мозгового кровообращения; характерна
симметричная полинейропатия, наиболее выраженная в руках;
3) офтальмологический синдром, вызванный поражением экстракраниальных сосудов и центральной
артерии сетчатки: сужение полей зрения, диплопия, снижение остроты и потеря зрения;
4) кардиальный синдром, обусловленный вовлечением восходящего отдела аорты: коронарная и
сердечная недостаточность, аортальная недостаточность; могут развиваться миокардит, эндо- и
перикардит.

51. Синдромы, характеризующие поражение брюшного отдела аорты:

1. синдром ишемии органов пищеварения, развивающийся при распространении
воспалительного процесса на мезентериальные сосуды: боли, связанные с приемом пищи,
похудание, расстройство стула;
2. синдром перемежающейся «хромоты» нижних конечностей, при поражении
подвздошных, бедренных артерий;
3. почечный синдром, обусловленный тромбозом, стенозом или облитерац почечных
сосудов, вазоренальной гипертонией.
Поражение кожи проявляется узловатой эритемой, реже - синдромом Рейно, сетчатым
ливедо.

52. Клинические исследования:

1. Исследование
пульса, АД на обеих
руках и ногах,
аускультация сосудов
различных регионов.
2. Ангиография.
3. Ультразвуковое
дуплексное
сканирование,
компьютерная и
магнитнорезонансная
томография.

53. Классификационные критерии артериита Такаясу (W.P. Arend et al., 1990)

1. Возраст < 40 лет (начало заболевания до 40 лет).
2. Перемежающаяся «хромота» конечностей (слабость и дискомфорт в мышцах конечностей при движении).
3. Ослабление пульса на плечевой артерии.
4. Разница АД на правой и левой руках более 10 мм рт.ст.
5. Шум на подключичных артериях или брюшной аорте.
6. Изменения при ангиографии (сужение просвета или окклюзия аорты, ее крупных ветвей в проксимальных
отделах верхних и нижних конечностей, не связанное с атеросклерозом, фибромускулярной дисплазией и др.).
Наличие у больного трех и более любых критериев позволяет классифицировать заболевание как
артериит Такаясу с чувствительностью 90,5% и специфичностью 97,8%.

54.

55. Чем болеет пациент?

• Мужчина 30 лет, сторож, курит с 13 лет
по 2 пачки в день.
• Жалуется на жжение в стопах при ходьбе,
сильные ноющие боли в ногах по ночам,
почернение мизинца левой ноги. В
течение 2 месяцев беспокоят
периодические боли в сердце.
• Объективно: некроз концевой фаланги
мизинца левой стопы.

56. ОБЛИТЕРИРУЮЩИЙ ТРОМБАНГИИТ (БОЛЕЗНЬ ВИНИВАРТЕРА–БЮРГЕРА)

Хроническое воспалительное заболевание артерий среднего и мелкого
калибра, вен с преимущественным вовлечением дистальных отделов
сосудов нижних и верхних конечностей и последующим распространением
патологического процесса на проксимальные зоны сосудистого русла,
редким поражением церебральных и висцеральных артерий.
Встречается преимущественно у мужчин молодого возраста (средний
возраст около 30 лет), имеющих длительный стаж курения.

57.

• Поражение артерий нижних конечностей – ведущие симптомы в клинической
картине, хотя поражаются и верхние конечности. Наиболее частыми жалобами
являются чувство зябкости и онемения пальцев стоп, жжение подошв, особенно во
время ходьбы, мучительные боли в пораженных отделах конечностей,
усиливающиеся в покое, особенно ночью. Отмечается образование язвенных
дефектов, некрозов с предшествующим цианозом концевых фаланг одного или
нескольких пальцев стопы.
• Частым висцеральным проявлением является поражение коронарных артерий с
развитием стенокардии, инфаркта миокарда.
• Описаны случаи тромботической окклюзии брюшного (инфраренального) отдела
аорты.
• К редким проявлениям болезни относят поражение мезентериальных сосудов,
ветвей височной артерии, ЦНС, ишемический неврит зрительного нерва, тромбоз
почечных артерий.
• В 90% случаев развиваются флебиты нижних конечностей, нередко сочетающиеся с
тромбозом воспаленного отрезка сосуда. Поверхностные мигрирующие флебиты
встречаются у 25–40% больных.
• Могут быть полиартралгии. Развитие миалгий и лихорадки нехарактерно.

58. Клинические исследования:

1. Ультразвуковая
допплерография
артерий и вен
3. ЭхоКГ
2. ЭКГ

59. Чем болеет пациент?

• Мужчина 27 лет жалуется на резко
болезненные язвы гениталий,
возникшие неделю назад, язвы в
ротовой полости, боль в глазах,
светобоязнь, ухудшение зрения.
• В течение последних 2 месяцев
возникали периодические боли в
коленных и голеностопных суставах,
проходящие самостоятельно.
• Половой жизнью не живет три года.

60. БОЛЕЗНЬ БЕХЧЕТА

Системный васкулит неизвестной этиологии, поражающий преимущественно сосуды
среднего и мелкого калибра, характеризующийся рецидивирующим эрозивно-язвенным
поражением слизистых оболочек рта, глаз, половых органов с вовлечением кожи, суставов,
внутренних органов. Болезнь Бехчета, это редкое системное заболевание, которое относят к
группе системных васкулитов без преобладающего типа сосудистого поражения (с
вариабельным диаметром пораженных сосудов).
Эндемичными по ББ являются регионы восточного побережья Средиземного моря,
Центральной и Восточной Азии, Северный Кавказ. Соотношение мужчин и женщин в
эндемичных регионах составляет 5:1.
Общие проявления: лихорадка, общая слабость, артралгии (артрит).

61. Клинические проявления:

1. Язвенное (афтозное) поражение полости рта ранний и наиболее частый признак ББ. Афты - это
эрозии различной формы, величиной 0,3-1,5 см,
покрытые фибринозным налетом и окруженные
гиперемиро-ванным ободком воспаления,
наиболее часто локализующиеся в перед-них
отделах ротовой полости (слизистая щек, губ,
десны, язык).
2. Язвенное поражение гениталий – второй по
частоте признак болезни Бехчета, встречается в 80 –
90% случаев. Язвы гениталий резко болезненны,
более крупные и глубокие, чем язвы,
локализующиеся в ротовой полости, нередко
оставляют после себя рубцы.
3. Поражение глаз – обнаруживается у 47-64%
пациентов, чаще у лиц мужского пола, может
привести к потере зрения. Передний увеит
(иридоциклит) протекает относительно
благоприятно. При заднем увеите (хориоретините)
наблюдаются васкулит сетчатки, очаговые некрозы
сетчатки, отек макулы, которые приводят к
тяжелым последствиям.
4. Кожные проявления отличаются многообразием,
встречаются у 38-99% пациентов.

62. Другие проявления ББ:

Суставной синдром - асимметричный неэрозивный олиго- или поли-артрит с поражением коленных,
голеностопных, лучезапястных и мелких суставов кистей, продолжающийся обычно не более 2 месяцев.
Поражения желудочно-кишечного тракта (ЖКТ) – гастродуоденит, язвы ЖКТ, локализующиеся на
любом уровне - наблюдаются в 8-30% случаев.
Неврологические проявления наблюдаются у 5-30% пациентов. Они могут быть представлены
паренхиматозным поражением ЦНС (диссеминированный менингоэнцефалит, обусловленный
васкулитом мелких сосудов) и непаренхиматозным - связанным с тромбозом венозных синусов.
Сосудистые нарушения («васкуло-Бехчет») – артериальные, венозные тромбозы, окклюзии, варикозное
расширение вен и аневризмы – ассо-циируются с наиболее тяжелым течением ББ и повышенным
риском летальных исходов. «Васкуло-Бехчет» встречается в 6-39% случаев. Поражается
преимущественно венозное русло (в 88%), реже – артериальное (в 12%).
Легочные проявления – аневризмы лёгочных артерий, артериальные и венозные тромбозы, инфаркты
лёгкого, рецидивирующие пневмонии, экссудативный плеврит - встречаются в 1-18% случаев.
Поражение почек – нефрит, амилоидоз, тромбоз почечных вен – наблюдаются редко.

63. Клинические исследования:

1. Тест патергии.
2. РФ, криоглобулины, HLAB5.
3. Ультразвуковое
дуплексное сканирование,
компьютерная томография,
магнитно-резонансная
томография и венография.

64.

Для достоверного диагноза необходимо наличие первого критерия и минимум еще двух из четырех оставшихся.

65. Лечение системных васкулитов

ГКС (пероральные и пульс-терапия)
Цитостатики (циклофосфамид, метотрексат, азатиоприн, лефлуномид,
мофетила микофенолат)
Нормальный иммуноглобулин человека
Плазмаферез
Ритуксимаб
Хирургическое лечение

66. Прогноз

• Благодаря глюкокортикоидной и цитотоксической терапии прогноз у больных СВ
значительно улучшился. Так, при узелковом полиартериите пятилетняя выживаемость
увеличилась с 10% у нелеченных больных до 55% у больных, получавших ГК, и до 80% на
фоне лечения циклофосфаном и азотиоприном.
• В отсутствие лечения средняя продолжительность жизни больных гранулематозом Вегенера
составляет 5 месяцев, а смертность в течение первого года достигает 80%. На фоне
сочетанной иммуносупрессивной терапии ремиссия продолжительностью около 4 лет
отмечается при данной патологии у 93% больных. При остальных системных васкулитах
прогноз в целом благоприятен.
• Основными причинами смерти при узелковом полиартериите и артериите Такаясу являются
сердечно-сосудистые поражения, при гранулематозе Вегенера – интеркуррентная
инфекция, при геморрагическом васкулите – прогрессирующее поражение почек. Серьезная
опасность развития осложнений существует при болезни Хортона (поражение артерий глаз
с частичной или полной потерей зрения) и облитерирующем тромбангиите (гангрена
нижних конечностей, острая коронарная недостаточность).

67. Спасибо!

English     Русский Правила