Рентгенологическая диагностика туберкулеза
Схема расположения четвертого сегмента в прямой и боковой проекциях
Схема расположения пятого сегмента в прямой (а) и боковой (б) проекциях
Схема расположения шестого сегмента в прямой (а) и боковой (б) проекциях
Схема расположения седьмого сегмента в прямой и боковой проекциях
Схема расположения восьмого сегмента в прямой и боковой проекциях
Латерально-базальный (9) сегмент проецируется в область наружного синуса
Задне-базальный (10) сегмент на прямой рентгенограмме проецируется у тени сердца, а на боковой – на позвоночник
Мировой стандарт выявления
При методе выявления «по обращаемости»
Симптомы, позволяющие заподозрить туберкулез
Алгоритм выявления ТБ в учреждениях ОЛС
1.83M
Категория: МедицинаМедицина

Rg-diagnostika

1. Рентгенологическая диагностика туберкулеза

Харьковская медицинская академия
последипломного образования
Кафедра фтизиатрии и
пульмонологии
Рентгенологическая
диагностика туберкулеза
Доцент
Лебедь Людмила Владимировна
р.т. 738-71-87

2.

ПРАВОЕ ЛЕГКОЕ
ЛЕВОЕ ЛЕГКОЕ

Название сегмента

Название сегмента
сегмента
сегмента
Верхняя доля
Верхняя доля
1
Верхушечный сегм.
1+2
Верхушечно-задний сегм.
2
Задний сегмент
3
Передний сегмент
3
Передний сегмент
4
Верхнеязычковый сегмент
4
5
6
7
8
9
10
Средняя доля
Наружный сегмент
Внутренний сегм.
Нижняя доля
Нижне-верхушечн.
Медиально-базальн.
Передне-базальный
Латерально-базальн
Задне-базальный
5
Нижнеязычковый сегмент
6
7
8
9
10
Нижняя доля
Нижне-верхушечный
- (отсутствует)
Передне-базальный
Латерально-базальный
Задне-базальный

3.

4.

Проекции долей на схеме органов
грудной клетки

5.

Схема проекций главной междолевой
борозды в левом и в правом легком

6.

На боковой
рентгенограмме найти
трахею. На уровне
нижнего края дуги аорты
эта полоса начинает
конически суживаться разделение ее на главные
бронхи и заканчивается
круглым просветлением поперечной проекцией
правого верхнедолевого
бронха. У нижнего
контура этого кольца
нужно восстановить
перпендикуляр к грудине

7.

Верхушечный сегмент располагается в куполе
верхушки легкого На боковой : по куполу грудной клетки от
контуров просвета трахеи в обе стороны откладывают по 1-1,5 см и из этих
точек опускают условные линии к корню легкого

8.

Схема расположения второго сегмента в
прямой и боковой проекциях

9.

Схема расположения третьего сегмента в
прямой и боковой проекциях

10. Схема расположения четвертого сегмента в прямой и боковой проекциях

11. Схема расположения пятого сегмента в прямой (а) и боковой (б) проекциях

12. Схема расположения шестого сегмента в прямой (а) и боковой (б) проекциях

13. Схема расположения седьмого сегмента в прямой и боковой проекциях

14. Схема расположения восьмого сегмента в прямой и боковой проекциях

15. Латерально-базальный (9) сегмент проецируется в область наружного синуса

16. Задне-базальный (10) сегмент на прямой рентгенограмме проецируется у тени сердца, а на боковой – на позвоночник

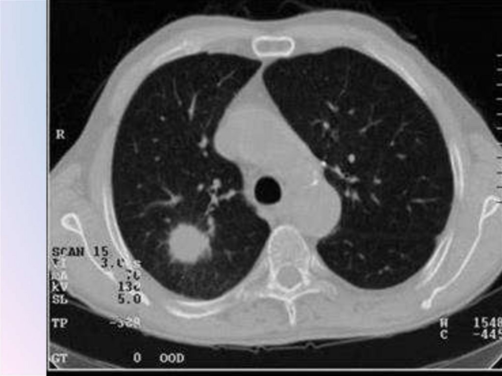
17.

Патоморфологический субстрат шаровидного
образования: 1) туберкулезный инфильтрат;
2) туберкулома (инкапсулированный казеоз);
3) заполненная блокированная туберкулезная
каверна; 4) силикотические узлы; 5) «круглая»
неспецифическая пневмония; 6) недренированный абсцесс; 7) злокачественные опухоли;
лимфомы; 9) доброкачественные опухоли
(наиболее часто гамартомы, содержащие
хрящевую ткань); 10) сосудистые
образования; 11) кисты, заполненные
жидкостью; 12) инфаркт; 13) гематома; 14)
осумкованный экссудат в междолевой плевре
(последний не является истинно легочным, внутрипаренхиматозным образованием, однако, замкнутый листками плевры,
оказывается расположенным внутри легкого)

18.

19.

20.

21.

22.

23.

24.

• В плане диф.диагностики следует подчеркнуть,
что плохо поддающаяся лечению пневмония
может оказаться туберкулезом легких или быть
маской онкологических (бронхогенный или
бронхоальвеолярный рак, лимфома) или
иммунологических(васкулиты, альвеолиты,
эозинофильная пневмония, альвеолярный
протеиноз) заболеваний, а также сердечнососудистой патологии – застойной сердечной
недостаточности и тромбоэмболии легочной
артерии

25.

Рентгенологические
признаки
Туберкулез
Пневмония
Локализация
Верхние-задние
сегменты долей (С
1,2,6)
Базальные
сегменты (С
7,8,9,10)
Гомогенность
Не гомогенный
Гомогенный
Деструкция
50 и < %, часто
множественная, без
уровня
Редко - при ослож.
варианте, уровень
жидкости
Рентгенологически Инфильтрат в С 1,2,6
Инфильтрат в
базальных
сегментах
Ответная динамика Медленная, только на
болезни на
противотуберкулезные
антибиотики
препараты
Положительная
клиническая (2448 ч) , рентгенолог.
2 нед

26.

Схема проекций долей и сегментов правой
боковой и левой боковой рентгенограммах

27.

28. Мировой стандарт выявления

Лица, имеющие продуктивный кашель 2-3 и более
недель должны быть проверены на ТБ;
У пациентов с подозрением на легочный ТБ
необходимо микроскопически исследовать
минимум два, а лучше три анализа мокроты;
У пациентов с подозрением на внелегочный ТБ
необходимо взять пробы биологического материала, соответствующие локализации процесса для
микроскопии на КУБ, при возможности – бактериологического и гистопатологического исследований;
Все пациенты с рентгенологическими изменениями
в легких, похожими на ТБ, должны быть
обследованы на КУБ;

29. При методе выявления «по обращаемости»

Любой человек, чувствующий недомогание,
должен сам проявить инициативу и
обратиться к врачу.
Врач обязан:
заподозрить ТБ,
направить на микроскопию мазка
мокроты,
использовать все доступные методы
диагностики,
при положительном мазке направить больного к фтизиатру.

30. Симптомы, позволяющие заподозрить туберкулез

кашель более 2-3 недель,
с выделением мокроты
боли в грудной клетке, кровохарканье,
одышка
длительный интоксикационный синдром
(длительный субфебрилитет, значительная
потеря в весе)

31. Алгоритм выявления ТБ в учреждениях ОЛС

Пациент с подозрением на ТБ
3-х кратное исследование мокроты на КУБ
Рентгенологическое исследование ОГК
КУБ (-) в 3 мазках,
признаки
ТБ:
Лечение АБП широкого
спектра
КУБ (+) Рентгенологические
КУБ(-)
в 3 мазках
КУБ
(+)2-х недель
изменения
в
в/отделах
легких
до
в 2-3 мазках
Жалобы:
R-признаки
НЗЛ:
в 1• мазке
и
полости
распада в легких
• аминопенициллины
(защищенные)
периодический
со скудной
изменения
в средних и
R-изменения
вэффекта
легких кашель
• диссеминация
• цефалоспорины
(защищенные)
Нет
нижних отделах
слизистой
или
слизисто-гнойной
• Есть
плеврит
• макролиды
• отсутствие
+
R-динамики
эффект:
мокротой
в течение
2 – 3 и более
сохраняется
ИС
• •выраженная
R-динамика
существенные
отклонения в лаб. пок.
• •редукция
ИСнедель
• нормализация лаб. показателей
Направить к
фтизиатру
Нет ТБ
English     Русский Правила