3.64M
Категория: МедицинаМедицина

Загальні характеристики пухлин

1.

ЗАГАЛЬНІ ОЗНАКИ ПУХЛИН
Кошик Олена Олександрівна

2.

Визначення пухлини
Пухлина - це атипова тканина, що утворилася в
результаті надмірної, нерегульованої і безцільної
проліферації клітин.
Область медицини, що вивчає пухлини - онкологія,
пухлинні захворювання – онкологічні захворювання.
Онкологічні захворювання займають друге місце
серед причин смертності після серцево-судинних
захворювань.

3.

Причини виникнення пухлин
У більшості випадків ми не можемо вказати на
одну причину пухлини; це мультипричинне
захворювання.
Види канцерогенних факторів:
успадкована

пов'язана
з
вродженими
мутаціями деяких генів;
екзогенний – пов'язаний з впливом різних видів
травмонебезпечних
агентів
із
зовнішнього
середовища.

4.

Екзогенні канцерогенні фактори
• хімічні сполуки: алкілуючі агенти, поліциклічні
ароматичні вуглеводні, ароматичні аміни,
нітрозаміни, деякі лікарські препарати;
• фізичні фактори: іонізуюче випромінювання,
ультрафіолетові промені;
• біологічні фактори: деякі віруси синтезують вірусні
білки, які порушують метаболічні шляхи і
активують туморогенез - вірус Епштейна-Барр,
деякі віруси герпесу, віруси гепатиту В і С, віруси
папіломи людини (ВПЛ) та ін.

5.

Сприятливі фактори
• Імунодефіцит будь-якого типу.
• Похилий вік.
• Деякі соматичні захворювання, які
характеризуються підвищеною проліферацією
клітин: хронічні запалення, гормональна
гіперплазія та ін.
• Попереднє лікування променевою терапією,
хіміотерапією або імуносупресивними
препаратами.

6.

Патогенез пухлин
Туморогенез - багатоступінчастий процес, на кожному
етапі якого можна виявити постійне порушення одного з
пухлинопротекторних механізмів в клітці. Зазвичай
десятки таких кроків проходить клітина, перш ніж вона
перетвориться в пухлинну.
Перший крок - ініціація, всі наступні кроки– прогресія, які
тривають все життя пухлинної клітини.
Латентний період - від початку до перших клінічних
проявів зазвичай триває кілька років.

7.

Етапи туморогенезу
Порушення репарації
пошкодження ДНК.
ДНК
Немає
жодної
пухлини
без
Спостерігається інактивація деяких генів, які захищають
клітини від прогресування пухлини (інактивація антионкогенів)
або активація генів, які сприяють прогресуванню пухлини
(активація онкогенів).
В клітині може відбуватися багато видів пошкоджень ДНК
(однонуклеотидні зміни, розриви ланцюгів ДНК, транслокації,
делеції, вставки тощо), але існує безліч репаративних
механізмів для їх корекції.
Якщо відновлення ДНК неможливе, активується механізм
апоптозу (запрограмованої смерті клітин).

8.

Етапи туморогенезу
Механізми репарації ДНК
Система
репарації
невідповідностей,
контролює
комплементарність нуклеотидів в обох нитках, при появі будьяких невідповідностей вона видаляє невідповідний нуклеотид і
вставляє відповідний.
Порушення в цій системі призводять до мікрасателітній
нестабільності і накопичення невідповідностей в ДНК, що
призводить до синтезу аномальних білків і сприяє
прогресуванню пухлини.

9.

Етапи туморогенезу
Інші механізми, які контролюють ріст пухлини:
Обмеження в кількості поділів клітин (укорочення теломер)
Апоптоз клітин з пошкодженою ДНК
Контактне пригнічення росту
Регуляція розмірів тканин місцевими і системними гормонами
(факторами росту)
Контроль імунної системи
Межі кровопостачання
Тощо...

10.

Основні ознаки пухлин
• атипія;
• необмежений ріст;
• непотрібність;
• відносна автономність;
• органоїдна будова;
• прогресія.

11.

Атипія
Сукупність ознак, що характеризують відмінності
пухлинної тканини від будь-яких інших типів проліферації
клітин.
• морфологічні:
• тканинні;
• клітинні;
• біохімічні;
• функціональні;
• метаболічні;
• антигенні.

12.

Тканинна атипія
Прояви:
• Різний розмір і форма тканинних структур.
• Дезорганізація тканинних структур.
• Зміна
паренхіматозно-стромального
співвідношення.
• Зміни в структурі строми і судин.

13.

Клітинна атипія
Прояви:
• Плеоморфізм - зміна розмірів і форми клітин/ ядер.
• Зміни ядерно-цитоплазматичного співвідношення.
• Зміни ядер – гіперхроматоз і збільшення кількості і
розмірів ядерець.
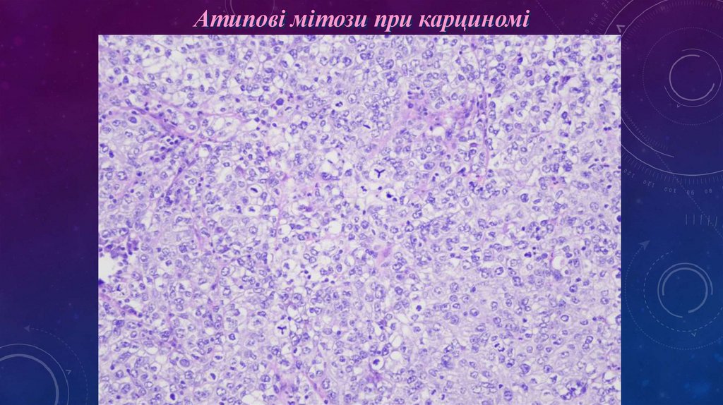
• Аномальні (нетипові) мітотичні показники.
• Втрата полярності клітини.

14.

Ядерний поліморфізм при раку шийки матки in situ

15.

Атипові мітози при карциномі

16.

Функціональна атипія
Прояви:
• Зниження або втрата нормальної функціональної
активності.
• Підвищений синтез нормальних речовин (гормонів,
імуноглобулінів та ін.);
• Синтез аномальних речовин (тільки легкі ланцюги
імуноглобулінів, чоловічі статеві гормони в пухлинах у
жінок)
• Аномальна екскреція речовин.

17.

Метаболічна атипія
Прояви:
• Активізація синтезу компонентів ДНК.
• Поліплоїдія, анеуплоїдія.
• Збільшення синтезу структурних білків, зниження
синтезу секретуемих продуктів.
• Аномальне вироблення енергії, перехід на анаеробне
розщеплення глюкози (гліколіз і пентозофосфатний
шлях, які призводять до накопичення органічних
кислот в організмі).

18.

Антигенна атипія
Прояви:
• Синтез нових аномальних речовин
• Синтез фетальних антигенів (альфа-фетопротеїн,
IMP3, карциноембріональний антиген)
• Підвищений синтез нормальних речовин (ПСА,
хромогранін, СА125, СА19.9, НE4 та ін.), які можуть
бути використані для скринінгу пухлин, оцінки
ефективності лікування та раннього виявлення
рецидивів.

19.

Необмежене зростання
Пухлинні клітини безсмертні через порушення
регуляції нормальних механізмів, які обмежують
поділ нормальних клітин.

20.

Непотрібність
Жодна пухлина не має біологічного сенсу, вона
призводить до порушення функцій тканин/органів і
загибелі організму.

21.

Відносна автономність
Пухлинні
клітини
втрачають
механізми
контролю розмірів тканин (негативний зворотний
зв'язок), але вони все одно залежать від кисню і
поживних речовин.

22.

Органоїдна будова
Переважна більшість пухлин складається з
паренхіми
(пухлинних
клітин)
і
строми
(підтримуючої сполучної тканини з судинами).

23.

Прогресія
Переважна більшість пухлин може набувати нових
ознак, які призводять до більш агресивної поведінки.
Вони виникають через появу нових клонів пухлинних
клітин з більш агресивною поведінкою.
• Трансформація доброякісних пухлин в злоякісні
(малігнізація).
• Метастазування
пухлини.

віддалені
вогнища
росту
• Втрата гормональної залежності, що призводить
до збільшення автономності.

24.

Класифікація пухлин
Існує кілька схем класифікації пухлин.
За клінічною поведінкою:
- доброякісні
- злоякісні.
За наявністю клітинної атипії:
- зрілі (мають тільки тканинну атипію)
- незрілі (мають тканинну та клітинну атипію)
Більшість зрілих пухлин є доброякісними, більшість
незрілих пухлин є злоякісними, але існують винятки.

25.

Класифікація пухлин
За типом клітин, з яких виникло новоутворення:
1. Епітеліальні пухлини.
2. Пухлини зі сполучної тканини.
3. Пухлини з м'язової тканини.
4. Пухлини з нервової тканини і оболонок периферичних
нервів.
5. Судинні пухлини.
6. Меланоцитарні пухлини.
7. Пухлини з кровотворної тканини.
8. Пухлини з герміногенних клітин і тератоми.

26.

Типи пухлинного росту
За ростом пухлинни по відношенню до навколишніх тканин:
Експансивний.
Локально агресивний.
Інфільтративний.
Мультифокальний.

27.

Експансивний ріст
1. Повільний ріст пухлинних клітин.
2. Утворення сполучнотканинної капсули, яка обмежує
пухлинні клітини від нормальної тканини.
3. Здавлювання навколишніх нормальних тканин.
Такий тип росту характерний для більшості доброякісних
зрілих пухлин

28.

Локально агресивний ріст
1. Формування пухлинного вузла з чіткими краями.
2. На периферії пухлин відсутня будь-яка капсула, але
пухлинні клітини інфільтрують нормальні тканини
тільки в прилеглих областях, що призводить до здавлення
і атрофії навколишніх тканин.
3. Такі пухлини не дають метастазів.
Такий тип росту характерний для обмеженої кількості
пухлин

29.

Інфільтративний ріст
1. Формування пухлинного вузла без чітких країв.
2. По периферії пухлини немає капсули, пухлинні клітини
глибоко інфільтрують нормальні тканини, розростаючись
між нормальними тканинами, по ходу судин і нервів,
інфільтруючи стінки лімфоідних та кровоносних судини.
3. Такі пухлини можуть давати метастази.
4. Відсутність чітких країв обумовлює
проведення широких хірургічних резекцій.
необхідність
Такий тип росту характерний для переважної більшості
злоякісних незрілих пухлин.

30.

Мультифокальний тип росту
1. Виникнення двох або декількох схожих за будовою,
зрілістю і клінічною поведінкою пухлин в одному або в
парних органах.
2. Цей тип пухлин зазвичай має спадкову схильність
(синдроми спадкових пухлин) або виникає в широкій зоні
впливу збудника (гормонально обумовлені пухлини,
постпроменеві пухлини та ін.).

31.

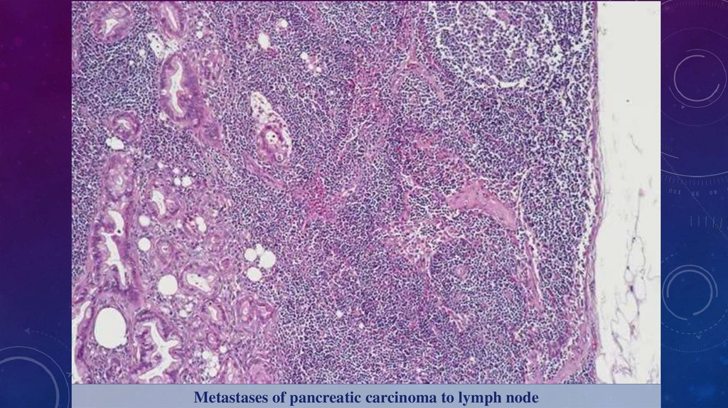
Метастази
Метастазування – це віддалене місце росту пухлини, не
пов'язане з первинною пухлиною; внаслідок поширення
пухлинних клітин через рідини організму (кров, лімфу) або
порожнини.
Метастазують злоякісні пухлини, але дуже рідко доброякісні
пухлини також можуть метастазувати.
Шляхи метастазування:
1. Лімфогенно по лімфатичних судинах в регіонарні лімфатичні
вузли, після – у віддалені лімфатичні вузли.
2. Гематогенно через кровоносні судини до віддалених органів.
3. Імплантація (контактні) через порожнини тіла.

32.

Metastases in the lung

33.

Metastases of pancreatic carcinoma to lymph node

34.

Макроскопічні форми пухлин
1. Вузол – солідна пухлина кулястої або яйцеподібної форми,
зазвичай має добре окреслені краї, злоякісні пухлини можуть
мати нечіткі краї.
Специфічним видом вузла є поліп (вузол з ніжкою, що
виступає в просвіт порожнистого органу). Поверхня поліпа
може бути пласкою або папілярною.
2. Виразка – дефект тканини на шкірі або слизовій оболонці,
дно виразки утворює пухлинна тканина.

35.

Carcinoma of lung (node)
Carcinoma of bladder (node)

36.

Carcinoma of stomach (ulcer)

37.

Макроскопічні форми пухлин
3. Інфільтрат – пухлина широко розростається інвазивно в
органі без чітко окресленого вузла і країв.
4. Кіста – пухлина округлої форми з порожниною,
заповненою рідиною. Кіста може мати одну порожнину
(однокамерна) або декілька (багатокамерна), а її внутрішня
поверхня може бути як гладкою, так і містити численні
папілярні виступи.

38.

Carcinoma of stomach (infiltrate + ulcer)

39.

Ovary serous borderline tumor (cyst)

40.

Макроскопічні форми пухлин
Доброякісні пухлини в більшості випадків утворюють
вузли і кісти.
Злоякісні пухлини можуть утворювати будь-які з
макроскопічних форм.
English     Русский Правила