Кировский государственный медицинский университет Кафедра внутренних болезней
Плевральный синдром
Клинические варианты плевральных выпотов ( по Н.С. Тюхтину, С.Л. Полетаеву, 1989 г)
продолжение
продолжение
продолжение
Дифференциальная диагностика туберкулезного плеврита с пара- и метапневмоническими плевритами
продолжение
продолжение
продолжение
продолжение
Рентгенограмма органов грудной клетки. Правосторонний экссудативный плеврит туберкулезной этиологии.
Основные причины возникновения плевритов при злокачественных новообразованиях:
Косвенные признаки ракового плеврита
Характеристика плевральной жидкости при раковом плеврите:
Достоверные признаки ракового плеврита:
Рентгенологические признаки ракового плеврита
Рентгенологические признаки легочных поражений раковой этиологии:
Плеврит раковой этиологии
Мезателиома плевры - это злокачественная опухоль плевры, исходящая из мезателия
Рентгенологические варианты мезателиом ( в зависимости от характера роста и стадии развития)
При мезателиоме плевры:
Рентгенологически при мезателиоме:
Диагностика кардиальных выпотов
Диагностика плеврита при системной красной волчанке:
Диагностика грибковых плевритов:
Ревматические плевриты: - малосимптомное течение - выявляются при очередном обострении - сочетаются с поражением сердца.
Сухой фибринозный плеврит чаще дифференцируется: - с межреберной невралгией - стенокардией -инфарктом миокарда
Задний реберно-диафрагмальный синус не прослеживается
Свободная жидкость растеклась вдоль грудной стенки слоем 3,2 см
Рентгенограмма органов грудной клетки больного с левосторонним плевритом (латеропозиция): выпот образует пристеночную
Междолевой плеврит
Левосторонний тотальный плеврит
Спасибо за внимание.
1.06M
Категория: МедицинаМедицина

Дифференциальная диагностика туб. плеврита

1. Кировский государственный медицинский университет Кафедра внутренних болезней

Тема: Дифференциальная диагностика
туберкулезного плеврита
Доц. к.м.н. Фесюк Е.Г.

2. Плевральный синдром

- условное понятие, объединяющее все
поражения плевры, независимо от их
этиологии и патогенеза, которые, как
правило, сопровождаются накоплением
жидкости в плевральной полости.

3. Клинические варианты плевральных выпотов ( по Н.С. Тюхтину, С.Л. Полетаеву, 1989 г)

1.
Воспалительные выпоты (плевриты)
1.1. При гнойных воспалительных процессах в
организме:
- инфекционные (бактериальные, вирусные,
реккетсионные, микоплазменные, грибковые)
- паразитарные (амебиаз, филяритоз, парогонимоз,
эхинококкоз и другие)
- ферментогенные (панкреатит)
1.2. Аллергические выпоты:
- экзогенный аллергический альвеолит
- лекарственная аллергия
- постинфарктный синдром Дресслера и другие.

4. продолжение

1.3. При диффузных болезнях
соединительной ткани:
-ревматизм
-системная красная волчанка
-склеродермия
1.4. Посттравматические выпоты:
-закрытая травма грудной клетки
-лучевая терапия
- электроожоги.

5. продолжение

Застойные выпоты (нарушение крово- и
лимфообращения)
-сердечная недостаточность различного
генеза
-тромбоэмболия легочной артерии
3. Диспротеинемические выпоты (вследствие
снижения коллоидно-осмотического давления плазмы
крови)
-нефротический синдром (гломерулонефрит,
липоидный нефроз, амилоидоз почек)
-цирроз печени
-микседема и другие.
2.

6. продолжение

4. Опухолевые плевриты:
- первичная опухоль плевры (мезателиома)
- метастатические опухоли
- лейкозы
5. Выпоты при прочих заболеваниях:
- асбестоз
-синдром «желтого» ногтя
-уремия и другие
6. Выпоты при нарушениях плевральных листков:
-спонтанный пневмоторакс
-спонтанный хилоторакс
-спонтанный гемоторакс

7. Дифференциальная диагностика туберкулезного плеврита с пара- и метапневмоническими плевритами


Дифференциально- Туберкулез
диагностические
признаки
Пневмония
1.
Контакт с больным
туберкулезом
- чаще (до 40%)
- реже
2.
Перенесенные
заболевания
-туберкулез в
анамнезе
-остаточные
посттуберкулезные
изменения в легких
- неспецефические
заболевания
- связь с
переохлаждением

8. продолжение

3.
Возраст
-преимущественно
молодой
- любой возраст
4.
Начало
болезни
- чаще постепенное
(50%)
-чаще острое
(79-95%)
5.
Общий анализ -изменения менее
крови
выражены
-изменения более
выражены

9. продолжение

6.
Проба Манту с 2
Т.Е.
Диаскинтест
7.
- выраженные
положительные,
гиперэргические
реакции
- положительный
Данные рентген. - сочетание плеврита
исследования
с очаговым,
инфильтративным
диссеминированным,
фибрознокавернозным
туберкулезом
легких (30%):
-верхнедолевая
локализация
-полиморфизм
очагов
-часты деструкции
-корень не вовлечен
- менее выраженные
-отрицательный
- затемнение в
нижних отделах (95%)
-деструкции реже
выявляются
-корень
инфильтрирован

10. продолжение

8.
Изменения в
бронхах при
бронхоскопии
- туберкулез
бронхов (10-15%),
локальный
характер
изменений в
бронхах
- диффузный
характер изменений в
бронхах
9.
Характеристика
плевральной
жидкости
-экссудат серозный
-МБТ + (5-15%)
- преобладают
лимфоциты
- экссудат гнойного
характера,
нестерильный
(наличие
бактериальной
микрофлоры), с
запахом
- МБТ-преобладают
нейтрофилы

11. продолжение

10. Данные
торокоскопии с
биопсией
плевры
-бугорки на плевре характерная
гистологическая
картина
-неспецифический
характер изменений
на плевре, фиброз
11. Пробная
терапия
- эффективна
противотуберкулезная
терапия
-эффективна
неспецифическая
антибактериальная
терапия,
быстрая регрессия
пневмонических
фокусов
и выпота

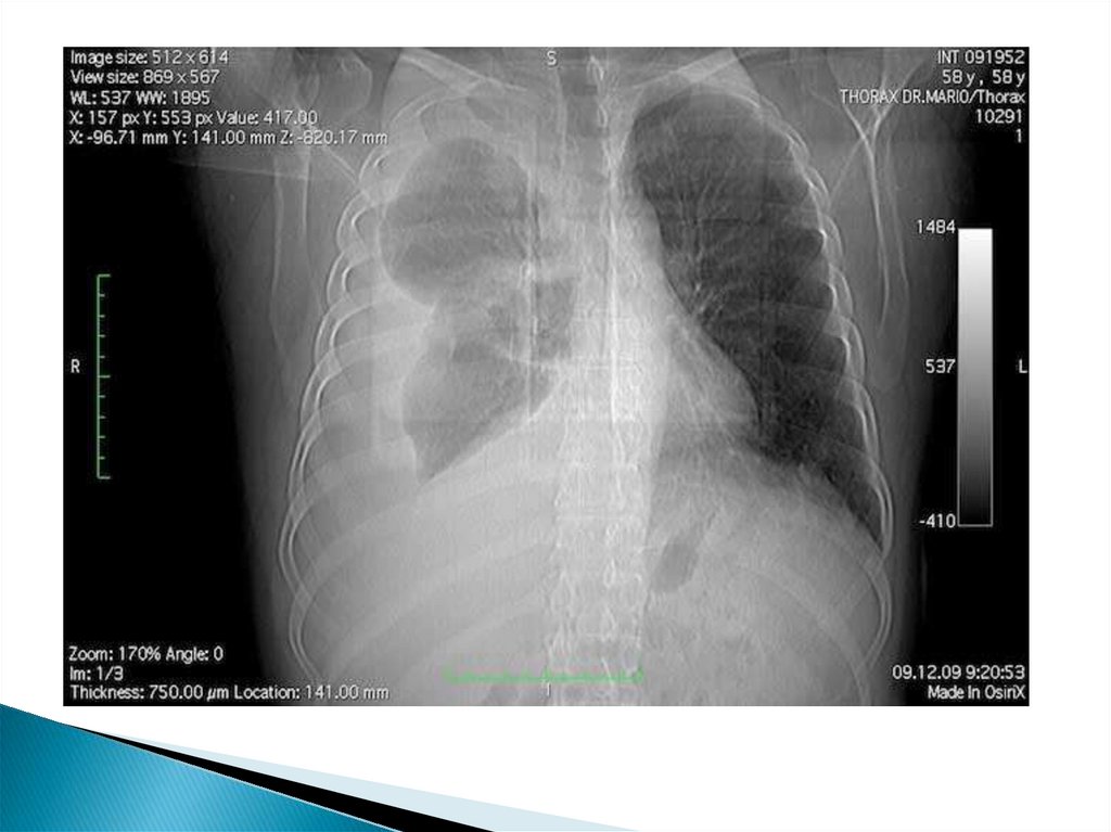
12. Рентгенограмма органов грудной клетки. Правосторонний экссудативный плеврит туберкулезной этиологии.

13.

Рентгенограмма
органов грудной
клетки.
Правосторонний
экссудативный
плеврит
туберкулезной
этиологии.

14.

Рентгенограмма
органов грудной
клетки.
Правосторонний
экссудативный
плеврит
туберкулезной
этиологии.

15. Основные причины возникновения плевритов при злокачественных новообразованиях:

Блокирование лимфоузла корня
Метастазы в плевру
Нарушение проницаемости сосудов и
соединительно-тканной структуры плевры
из-за раковой интоксикации
Гипопротеинемия

16. Косвенные признаки ракового плеврита

Мужчины старше 50 лет (курящие)
Наличие хронического процесса в легких
Наличие симптомов интоксикации: длительное время
сохраняющая и нарастающая слабость, снижение массы
тела, снижение аппетита. Клинические проявления
сохраняются длительное время и тяжесть состояния при
раковом плеврите более выражена.
Диспротеинемия- увеличение гамма глобулинов и
фибриногена
Более выраженные нарушения функций легких и
кровообращения (уменьшение ЖЭЛ, увеличение МОД,
артериальная гипотония)
В общем анализе крови - умеренный лейкоцитоз и
сдвиг тромбоцитов вправо
7.
Проба Манту с 2 Т.Е. отрицательная (из-за тяжести
состояния), диаскинтест отрицательный

17. Характеристика плевральной жидкости при раковом плеврите:

экссудат геморрагический
злокачественные клетки в экссудате
содержание глюкозы в плевральной жидкости
равно содержанию в сыворотке крови или выше,
при туберкулезном плеврите - ниже.
В 15% случаев содержание глюкозы при раковом
плеврите ниже, чем в сыворотке неблагоприятный прогностический признак
«симптом бездонного колодца» - ежедневные
пункции не уменьшают количества экссудата,
выпот вызывает смещение органов средостения в
здоровую сторону
содержание аденозиндезаминазы при
злокачественном выпоте равно 10,4- 10,7 ЕД\л, что
является патогномоничным для новообразования.

18. Достоверные признаки ракового плеврита:

наличие злокачественных клеток в
экссудате
положительные результаты биопсии плевры

19. Рентгенологические признаки ракового плеврита

Двухсторонний характер выпота
Выявление легочных поражений раковой
этиологии,сопровождающихся плевритом:
- центральный рак
- периферический рак
- метастатический рак
Выявление других локализаций ракового процесса:
- рак желудка
- рак почек
- рак мочевого пузыря и др.
Прогрессирующее течение заболевания.

20. Рентгенологические признаки легочных поражений раковой этиологии:

наличие округлой одиночной тени в легкиходиночный узел (периферический рак)
наличие множественных узловатых теней в легких
(метастатический рак), при туберкулезе очаговые,
фокусные тени более полиморфны
увеличение и расширение тени средостения, корня
сегментарные и долевые ателектазы
деформация просвета бронха, эндобронхиальный
стеноз
реакция междолевой плевры
деструкции встречаются реже, чем при
туберкулезе.

21. Плеврит раковой этиологии

22. Мезателиома плевры - это злокачественная опухоль плевры, исходящая из мезателия

По гистологической картине она может
быть:
- эпителиальная
- мезенхимальная
-смешанная

23. Рентгенологические варианты мезателиом ( в зависимости от характера роста и стадии развития)

Ограниченная узловая
Диффузно-экссудативная с малой массой
опухоли
Диффузно-пластинчатая
Диффузно-узловая

24. При мезателиоме плевры:

Боль не уменьшается после накопления
экссудата
Во время пункции ощущается сопротивление
при проколе плевры
Экссудат геморрагический
В экссудате преобладают клетки мезателия
Экссудат быстро накапливается
В периферической крови- лейкемоидная
реакция
Для мезателиомы плевры характерен
стабильный или прогрессирующий характер
процесса
(50%)

25. Рентгенологически при мезателиоме:

смещение средостения в сторону поражения,
при туберкулезе-в здоровую сторону
уменьшение объема гемиторакса за счет
плевроцирроза
утолщение плевры больше чем на 5-10 мм на
большом протяжении, бугристость, 2-х
контурность утолщений плевры, иногда
сочетается с деструкциями грудины, ребер
при пластинчатой форме мезателиомы в
латеропозиции уменьшается объем
гемоторакса, контур овального окна нечеткий,
при туберкулезном плеврите - четкий.

26.

27.

28.

29. Диагностика кардиальных выпотов

1. Наличие признаков лево- и правожелудочковой
недостаточности кровообращения:
- пороки сердца
- ИБС: осложненная инфарктом миокарда
-увеличение сердца, печени
-отеки нижних конечностей
-асцит и т.д.
2. - Выпот - транссудат (вследствие нарушения кровообращения),
- чаще 2-х сторонний, справа чаще, чем слева.
- может быть экссудат - при тромбоэмболии ветвей
легочной артерии.
- может быть серозно-геморрагический, богатый фибрином,
стерильный - при флебитах нижних конечностей
3. Эффективность тест - терапии основного заболевания, быстрая
динамика процесса.

30. Диагностика плеврита при системной красной волчанке:

Системный характер заболевания
Выпот чаще 2-х сторонний ( у каждого 2-го)
<
Болеют чаще женщины молодого возраста
Клинически: высокая температура, сухой кашель,
одышка
Характер плевральной жидкости:
- цвет желтый
- в жидкости полиморфноядерные
лейкоциты или лимфоциты
-нахождение волчаночных
клеток в плевральной жидкости (основной
диагностический тест)
Эффективное лечение кортикостероидами.

31. Диагностика грибковых плевритов:

В анамнезе - длительный прием антибактериальных
препаратов
Выпот- транссудат
- выявляется культура аспергилл, грибы
-в жидкости коричневые комочки культуры
-можно увидеть кристаллы оксалата кальция
- выявляются антитела на аспергиллез
Эффективно противогрибковое лечение (дренирование и
санация плевральной полости, орошение амфотеррицином
Б, прием внутрь нистатина и леворина и др.
противогрибковых препаратов.

32. Ревматические плевриты: - малосимптомное течение - выявляются при очередном обострении - сочетаются с поражением сердца.

Травматический плеврит:
- в анамнезе указание на недавний
перелом ребер или ушиб
грудной клетки
- выпот гемморагического характера с
тенденцией к нагноению
- туберкулиновые пробы отрицательные

33. Сухой фибринозный плеврит чаще дифференцируется: - с межреберной невралгией - стенокардией -инфарктом миокарда

Экссудативный плеврит дифференцируют:
- с системными заболеваниями соединительной ткани
- панкреатитом
-поддиафрагмальным абсцессом
- эхинококкозом
- инфаркт миокарда (синдром Дресслера)- 1-2-х
сторонний, повышается количество эозинофилов
- сердечная недостаточность (2-х сторонний
плеврит, гидроторакс)
- ателектаз легкого (смешение средостения в сторону
поражения, а не в противоположную сторону).
English     Русский Правила