Заболевания почек и МВС.
Острый диффузный гломерулонефрит
Классификация
Клиника
10.20M
Категория: МедицинаМедицина

Заболевания почек

1. Заболевания почек и МВС.

Этиология, патогенез, классификация, основные
клинические синдромы, осложнения, диагностика,
лечение, профилактика.

2. Острый диффузный гломерулонефрит

• Это- двустороннее иммунное воспалительное
заболевание почек инфекционно-аллергической
природы с преимущественным поражением
клубочкового аппарата нефрона.
• Этиология: бета-гемолитический стрептококком
группы А. После переохлаждение организма,
вирусная инфекция, ангина.
• Патогенез: Токсины стрептококка, повреждая
структуру мембраны капилляров клубочков,
вызывают выработку аутоантител иммуноглобулинов
классов M и G (противопочечные антитела).

3. Классификация

• По формам болезни
• классическая - мочевой синдром, нефротический
отек, артериальная гипертония;
• бисиндромная – мочевой синдром в сочетании или с
нефротическим синдромом или с артериальной
гипертонией;
• моносиндромная – изолированный мочевой
синдром; нефротическая;
• Осложнения (острая почечная недостаточность,
острая почечная гипертензионная энцефалопатия,
острая сердечная недостаточность).

4.

5.

6. Клиника

• Жалобы появляются обычно спустя 9-12 дней (до 30
дней) после перенесенного простудного заболевания:
• на головная боль, нарастающие боли в пояснице,
• отеки лица, век по утрам, повышение температуры
тела,
• тошнота, рвота, олигурия, красноватый цвет мочи (цвет
«мясных помоев»),
• одышка, сердцебиение, туман, «пелена» перед глазами,
кровохарканье,
• брадикардия, артериальная гипертония,
• повышенная мышечная и психическая возбудимость,
бессонница.

7.

• При осмотре: лицо у больных отечное, одутловатое,
особенно большие отеки в области глаз.
• Тоны сердца приглушены или глухие, АД в пределах 140160/90-110 мм рт.ст. или выше
Обследование:
• ОАК- ускорение СОЭ, лейкоцитоз.
• Б/х крови: СРБ - ++ или +++, увеличение в крови
сиаловых кислот, фибриногена, калия, креатинина,
остаточного азота, мочевины.
• ОАМ: протеинурия, макро- и микрогематурия,
цилиндрурия (гиалиновые, зернистые).
• Ан мочи по Нечипоренко- микрогематурия, цилиндрурия
(гиалиновые, зернистые).
• Инструментальные: УЗИ, сканирование. КТ, МРТ,
ангиография почечных артерий.
• Функциональные методы исследования почекэкскреторная урография, моча по Зимницкому.

8.

9.

10.

11.

12.

13.

14.

15.

• Режим строгий постельный в среднем на 3-4 недели, до
полного или почти полного исчезновения отеков,
артериальной гипертонии, альбуминурии, гематурии.
• Диета: В течение первых 1-2 дней -полный голод. На
второй-третий день назначается разгрузочная диета
(яблочная, сахарная, рисовая) с уменьшением приема
животного белка до 40-50 г/сут. с ограничением соли до 2
г/уст. Прием жидкости не должен превышать ее
выведение, диета № 7а. Исключаются продукты,
содержащие калий (фруктовые и овощные соки, курага,
изюм, чернослив, печеный картофель и др.). Через 2-3 дня
больной переводится на диету № 7б-7, соль (3-5 г/сут)
• Уход: Уделяется внимание состоянию кожи, так как отеки
способствуют быстрому появлению пролежней. Тщательно
контролируются двигательный режим, суточный диурез,
цвет мочи, температура окружающего воздуха;
обеспечивается тепло на область поясницы (грелки).
Контроль витальных функций.

16.

• Медикаментозное лечение:
• антибактериальная терапия- 10 дней - пенициллин
(ампициллин) При непере носимости пенициллина назначаются
цефалоспорины, аминогликозиды, и т.д. Исключаются
нефротоксичные антибиотики: стрептомицин, канамицин,
неомицин, мономицин, сульфаниламиды, уросептики
(нитрофураны, 5-НОК, неграм).
• десенсибилизирующие препараты (димедрол, дипразин) курсами
по 10 дней,
• дезагреганты (ацетилсалициловая кислота, курантил);
• нестероидные противовоспалительные средства (индометацин,
бруфен и др.).
• При отеках салуретики (гипотиазид), утром, натощак.
• антигипертензивные (каптоприл, клофелин).
• Если нет эффекта назначаются глюкокортикостероиды
(преднизолон 60-100 мг/сут); препараты аминохинолинового ряда
(делагил, плаквинил, резохин), в индивидуальных дозах в течение 6
месяцев и более. В некоторых случаях в лечение включают
цитостатики (азатиаприн, имуран). Длительность терапии
цитостатиками составляет 3-6 и более месяцев.
• витамины А, группы В, Е. Витамин С дается по 1 г/сут.

17.

• Физиотерапия: диатермия, сухое тепло на область
почек.
• Диспансеризация: находятся на амбулаторном
долечивании до 4 месяцев (с момента начала
заболевания) даже при благоприятном течении
болезни. Рекомендуется- ограничение физической
активности не менее 12 месяцев. ДУ до 2-х лет.
• Исход:
• выздоровление,
• переход в хронический гломерулонефрит.

18.

Хронический диффузный гломерулонефрит этохроническое иммунновоспалительное заболевание обоих
почек. Характеризуется первичным поражением
клубочкового аппарата, последующим вовлечением
остальных структур почки, прогрессирующим течением,
развитием хронической почечной недостаточности.
Развивается обычно после острого нефрита. Возможнопервично хронический нефрит.
• Клиника. Зависит от: варианта болезни (латентный,
нефротический, гипертонический, гематурический,
смешанный), стадии заболевания (компенсации,
субкомпенсации, декомпенсации), фазы воспаления
(обострение, ремиссия), течения (доброкачественное,
злокачественное).
• Три основных синдрома: мочевого, отечного,
гипертонического.

19.

20.

• Латентный вариант с изолированным мочевым синдромом
встречается у 45% больных хроническим гломерулонефритом.
Самочувствие удовлетворительное, экстраренальные симптомы
(отеки, АГ) отсутствуют.
• Изменения в моче - протеинурия, микрогематурия, небольшая
цилиндрурия, достаточный удельный вес мочи. По Земницкому
всегда выявляется изо-, гипо-, никт-, полиурия.
• В крови незначительно увеличено содержание креатинина,
остаточного азота, мочевины. Течение болезни благоприятное.
• Нефротический вариант протекает с упорными отеками,
выраженной протеинурией, снижением диуреза. Жалобы:
слабость, отсутствие аппетита, головная боль, отеки, ас-цит,
гидроторакс, АГ,
• ОАМ-массивная протеинурия, лейкоцитурия,
• ОАК- анемия, ускорение СОЭ,
• Б/х- увеличено содержание креатинина, остаточного азота,
мочевины.
• Течение болезни умеренно прогрессирующее, однако возможно
быстрое прогрессирование с исходом в ХПН.

21.

• Гипертонический вариант: характеризуется АГ и
минимальными изменениями в моче. Проявляется
интенсивными головными болями, головокружением,
снижением зрения, «туманом» перед глазами, болями в сердце,
одышкой, сердцебиением, изменением глазного дна.
• В моче: протеинурия, гематурия, гипостенурия, изостенурия..
Течение болезни длительное, прогрессирующее, с исходом в
хроническую почечную недостаточность.
• Осложнения: сердечная астма, отек легких.
• Гематурический вариант характеризуется постоянной
микрогематурией с эпизодами макрогематурии.
• Отмечаются упорная макро- микрогематурия, протеинурия,
• АД - в норме или слегка повышено, отеков нет или они
незначительны.
• Смешанный вариант - сочетание выраженного нефротического
и гипертонического синдромов. Больные с этим вариантом
болезни являются наиболее тяжелыми.

22.

• В фазе обострения режим назначается полупостельный или
постельный .
• Диета зависит от клинического варианта болезни и стадии
компенсации. Больным с изолированным мочевым синдромом
в стадии компенсации назначается общий стол с ограничением
соли до 8-10 г/сут.
• При гипертоническом и нефротическом вариантеколичество соли снижается до 6 г/сут. Количество жидкости
должно приниматься соответственно суточному диурезу.
• Медикаментозное лечение состоит из:
• 1) активной терапии: ликвидация обострения воспалительного
процесса в почках(стероидные гормоны, препараты
аминохинолинового ряда - делагил, цитостатики);
• 2) симптоматического лечения:
• нестероидные противовоспалительные препараты (бруфен,
вольтарен и др.),
• препараты, улучшающие микроциркуляцию в почках (антикоагулянты: прямой - гепарин, непрямые - пелентан,
дикумарин);
• антиагреганты – (ацетилсалициловая кислота, курантил).

23.

• Острый и хронический пиелонефрит
• Острый пиелонефрит - неспецифическое воспаление
чашечно-лоханочной системы и интерстициальной ткани почек.
Возбудителями является кишечная палочка, энтерококки,
стафилококки, протей, стрептококки.
• Пути проникновения: гематогенный, лимфогенный и
восходящий (по стенке мочеточника) .
• Различают: первичный пиелонефрит и вторичный
пиелонефрит .
• Развитию способствуют:
• 1) нарушение оттока мочи вследствие аномалии развития почек
и мочевых путей, длительного постельного режима, опухолевого
процесса;
• 2) нарушение обмена веществ (сахарный диабет, подагра);
• 3) беременность; 4) нарушения техники катетеризации мочевого
пузыря, цистоскопии, ретроградной пиелографии и др.;
• 5) острые инфекции, очаги хронической инфекции.
• Чаще болеют женщины до 40 лет.

24.

• Клиника острого пиелонефрита.
• Отмечаются лихорадка и симптомы общей интоксикации:
гиперемия лица, потливость, недомогание, слабость, боли в
голове, суставах, мышцах, пояснице (порой односторонние).
• Боли иррадиируют в пах или внутреннюю поверхность бедра, в
живот.
• Также отмечаются тошнота, рвота, положительный симптом
Пастернацкого.
• ОАМ: мутная, дизурия, пиурия, умеренная протеинурия,
гематурия, выраженная бактериурия.
• ОАК: лейкоцитоз, ускорение СОЭ.
• В анализе мочи по Нечипоренко - увеличение содержания
лейкоцитов .
• Положительная преднизолоновая проба (количество лейкоцитов
по Нечипоренко после приема 10 мг преднизолона увеличено).

25.

26.


Уход и лечение.
При остром пиелонефрите : режим в остром периоде болезни - постельный.
Диета № 7 без ограничения соли.
Лекарственное лечение: 1) дезинтоксикационную терапию - прием соков, морса, чая и
инфузионная терапия (гемодез, 5% раствор глюкозы, физиологический раствор) до 2-2,5 л
жидко-сти в сутки;
2) антиспастическую терапию (грелка, согревающий компресс на поясничную область,
инъекции папаверина, но-шпы и др.);
3) антимикробную терапию (уросептики): хинолоны: пефлоксацин, цефалоспорины
(цефиксим, цефалексин),
другие антибиотики; б) сульфаниламиды-сульфален; в) бисептол, триметоприм (по 2 т 2-3 раза
в день); г) нитрофураны (фуразолидон, фурагин); д)невиграмон, неграм.
Противопоказаны: гентамицин, неомицин, цепорин, стрептомицин, канамицин из-за их
нефротоксичного действия.
• После выписки из стационара лечение продолжается амбулаторно в течение 12 месяцев.
• 1-ю неделю после выписки - принимается бисептол по 2 таблетки ежедневно на ночь.
• 2-я неделя - растительные уросептики (отвары то-локнянки, брусники, клюквы и др. по 1/2
стакана на ночь). 3-я неделя - 5-НОК 2 таблетки на ночь.
• 4-я неделя - левомицетин 2 таблетки на ночь. 5-я неделя - уросульфан 2 таблетки на ночь.
• 6-я неделя - растительные уросептики.
• 7-я неделя - неграм 0,5 г на ночь.
• 8-я неделя - ампициллин 2 таблетки на ночь. Затем делается перерыв на 1 месяц.
• Через месяц прием препаратов и растительных уросептиков в тех же дозах повторяется.

27.

• Хронический пиелонефрит - хронический
неспецифический одно- или двухсторонний
воспалительный процесс в чашечно-лоханочной
системе и интерстициальной ткани почек.
• Причины:
• пороки развития,
• обструктивные процессы в почках и мочевыводящих
путях,
• воспалительные заболевания мочевыводящих путей,
• снижение общей сопротивляемости организма,
• понижение устойчивости почечной ткани к инфекции
и везикоуретральному рефлюксу,
• а также поздняя диагностика и лечение больных
острым пиелонефритом.

28.

• Клиника хронического пиелонефрита. Зависит от:
• локализации воспалительного процесса (односторонний,
двусторонний),
• фазы заболевания (обострение, ремиссия).
• В фазе обострения жалобы: общая слабость, головная боль,
снижение аппетита, боли в животе, в пояснице постоянного
ноющего характера, болезненное учащенное мочеиспускание,
повышение температуры, потливость, ознобы.
• При осмотре: отмечается бледность кожи и слизистых,
пастозность лица, положительный симптом Пастернацкого на
стороне поражения, возможно повышение АД.
• ОАК: ускорение СОЭ, лейкоцитоз, анемия.
• ОАМ: лейкоцитурия, бактериурия, микрогематурия (пробы
Нечипоренко), гипо- и изостенурия, нередко альбуминурия,
цилиндрурия (гиалиновые, зернистые цилиндры).
• Б/х крови- увеличение содержания сиаловых кислот, фибриногена,
серомукоида, СРБ, мочевины, креатинина.
• Специальные исследования: УЗИ, радионуклидная ренография,
сканирование, динамическая сцинтиграфия.

29.

30.

• При обострении хронического пиелонефрита режим зависимости
от тяжести болезни. Диета при отсутствии АГ и ХПН - полноценная,
не раздражающая, молочная и растительная (№ 1 или № 5), соль до 56 г/cут; с АГ - до 2-3 г/сут. Исключаются пряности, копчености,
солености, жареные блюда. Жидкость при отсутствии отеков не
ограничивается (до 2,5 л/сут). Рекомендуются молоко, минеральные
воды (славянская, смирновская, ессентуки № 4, 17, боржоми).
• Антибактериальная терапия:
• хинолоны- флоксацин, пефлоксацин);
• уросептики (5-НОК, неграм, бактрим, бисептол);
• нитрофурановые (фуразолидон, фурадонин, фурагин);
• растительные уросептики - настои толокнянки, листьев брусники,
петрушки, ягоды брусники, клюквы. Принимаются препараты
непрерывно 7-10 дней после меняют АБ.
• противоспастическая терапия (но-шпа, папаверин, баралгин), тепло
на поясничную область (диатермия).
• После выписки из стационара лечение продолжается в течение 12
месяцев, курсами по 10-15 дней с перерывами продолжительностью 23 недели.
• антианемическая терапмя(препараты железа)
• антигипертензивной терапии.

31.

• Мочекаменная болезнь - хроническое заболевание, для
которого характерны изменения в почках и мочевых путях с
образованием в них камней (конкрементов).
• По составу :ураты, оксалаты, фосфаты, смешанные.
• В образовании камней важную роль играет инфекция в
мочевыводящих путях.
• Способствующими факторами являются:
• 1) ограничение приема жидкости (сухоядение, «сухое
голодание»);
• 2) употребление питьевой воды, богатой солями;
• 3) погрешности в питании (однообразная пища, бедная
витаминами А и D, злоупотребление красным вином;
• 4) застой мочи;
• 5) хроническое воспаление в мочевыводящих путях;
• 6) травмы почек.

32.

• Клиника.
• Почечный песок клинически не проявляется.
• Большие камни раздражают слизистую оболочку и
периодически вызывают тупые боли в пояснице.
Болезнь может протекать скрытно.
• Иногда основным проявлением болезни бывают
почечные колики.
• В межприступном периоде могут отмечаться тупые
боли в пояснице при физической нагрузке (подъем
тяжести).
• Часто отмечается положительный симптом
Пастернацкого на стороне поражения.

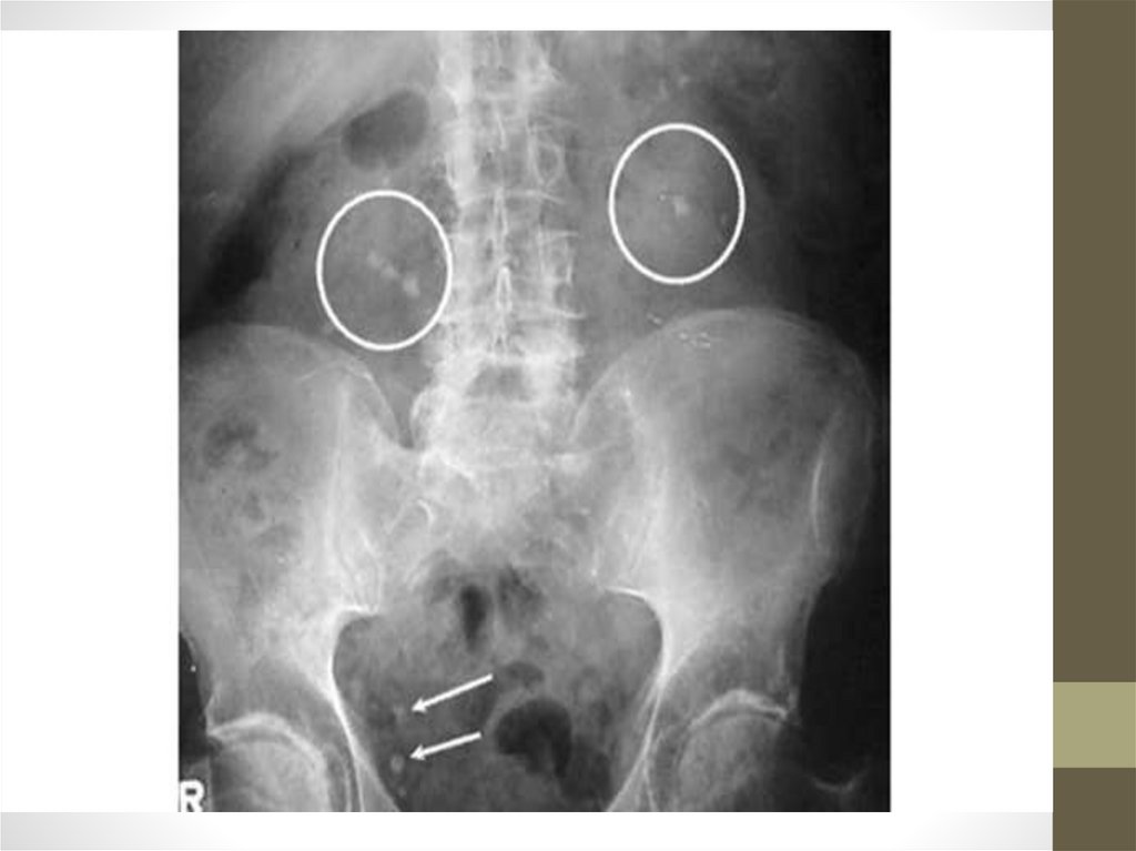
33.

• При обследовании: (рентгенологическое, УЗИ)
выявляются камни, особенно хорошо выявляются
ураты, хуже - фосфаты.
• Рентгенологическое исследование, компьютерная
томография, радиоизотопное сканирование выявляют
тени конкрементов в почках.
• В ОАМ - ураты, оксалаты, фосфаты или смешанные
кристаллы.
• Осложнения мочекаменной болезни:
• гидро- и пиелонефроз,
• пиелит, пиелонефрит,
• интерстициальный нефрит.

34.

35.

36.

37.

38.

• Лечение: Режим соответствует тяжести состояния.
• В межприступном периоде рекомендуется прием внутрь
ависана, уролесана, цистенала .
• Обильное питье минеральной воды и просто питьевой воды (23 л в сутки).
• При щелочной реакции мочи чаще образуются фосфатные
камни, показаны углекислые минеральные воды - нарзан,
нафтуся, арзни и др. Рекомендуются кисломолочные продукты,
молоко, мясо.
• В кислой моче чаще образуются ураты, показаны щелочные
минеральные воды – ессентуки № 4, 17, боржом и др.
Ограничивается мясо и увеличивается потребление овощей.
• При оксалатных камнях показаны слабоминерализованные
лечебные воды - ессентуки № 20, нафтуся, саирме. В меню
больных должно быть много овощей и фруктов.
• Оперативное лечение и литотрипсия.

39.

• Почечная колика - приступ мучительных болей в
пояснице и боковых отделах живота с выраженной
иррадиацией в пах, половые органы и внутреннюю
поверхность бедра на стороне поражения.
• Больной беспокоен, мечется, стонет. Рефлекторно
развивается тошнота и рвота, олигурия и анурия.
• Резко положительный симптом Пастернацкого на стороне
поражения.
• Отмечаются слабость, мышечное напряжение в боковых
отделах живота.
• В моче выявляются протеинурия, гематурия (макро- или
микро-), лейкоцитурия.

40.

41.

42.

Доврачебная помощь при приступе почечной
колики
Действия
Обоснование
1.Вызвать врача
1.Для оказания квалифицированной
2.Успокоить, создать удобное положение в постели,
2. Психоэмоциональная разгрузка, для
уложить на спину или на бок, обеспечить доступ
комфортного состояния.
свежего воздуха.
3.Дать цистенал (внутрь 20 капель на сахар) или
3.Для уменьшения боли в поясничной
ависан (внутрь 1-2 табл.).
области.
4.Обеспечить полный голод, физический и психиче4.Для эффективного лечения.
кий покой.
5.Положить тепло (грелку) на поясничную область или 5.С целью снятия спазма гладкой
сделать по назначению врача горячую лечебную ванну мускулатуры мочеточника.
(30-60 мин).
6.5.Запретить пить, принимать пищу
6. Предупредить приток крови в органы
брюшной полости
7..При задержке мочи провести катетеризацию
7. Для выведения мочи.
мочевого пузыря мягким катетером.
8..Измерить АД, подсчитать пульс, ЧДД
8.Контроль состояния
Медикаментозная терапия: 0,1% раствор атропина, 2% раствор папаверин, 2% раствор ношпы, 2% раствор баралгина, 2,4% раствор эуфиллина, раствор полиглюкина, реополиглюкина,
физиологический раствор во флаконах по 500 мл;
омнопон, промедол, димедрол, реланиум (амп.), 50% раствор анальгина 2 мл (амп.).

43.

• Профилактика.
• Первичная:
• своевременное и правильное лечение воспалительных
заболеваний мочевыделительной системы,
• здоровый образ жизни, рациональное питание,
двигательная активность, устранение вредных
привычек.
• Вторичная:
• два раза в год (весной и осенью) проводятся курсы
восстановительного лечения средствами,
тормозящими образование мочевых конкрементов,
санаторно-курортное лечение.

44.

• Цистит - воспаление мочевого пузыря. Наблюдается
в любом возрасте, но чаще всего у пожилых женщин.
• Этиология и патогенез:
• Инфекционная природа- патогенных бактерий
проникают в мочевой пузырь по восходящему
пути(чаще у женщин).
• Нарушения оттока мочи из мочевого пузыря(
деформация, беременность, роды, воспаление
половых органов, охлаждение, запор, и т.д.
• У мужчин причина цистита это простатит (острый и
хронический)
• Причиной хронического цистита как у мужчин, так и
у женщин могут быть камни, опухоль, туберкулез
мочевого пузыря- вторичный хронический цистит.

45.

• Клиника - ощущение дискомфорта, жжения и зуда в
области уретры и промежности во время
мочеиспускания, боли над лобком или в области
промежности могут оставаться и после
мочеиспускания.
• Мочеиспускания частые болезненные, количество
мочи при каждом мочеиспускании уменьшается,
иногда может быть макрогематурия.
• Позывы на мочеиспускание, иногда наблюдается не
удержание мочи.
• Температура тела остается нормальной, редко бывает
субфебрильной.
• Пальпация и перкуссия в надлобковой области при
цистите иногда сопровождается болезненностью.
Напряжение мышц передней брюшной стенки
наблюдается редко.

46.

• Обследование:
• ОАМ- наличие лейкоцитов и эритроцитов,
небольшое количество белка. Бактериурия.
• ОАК- умеренный лейкоцитоз и повышенная скорость
оседания эритроцитов.
• Важными методами исследования являются посев
мочи и исследование флоры на чувствительность к
антибиотикам и химиотерапевтическим препаратам.
• Рентгенологическое исследование почек и верхних
мочевых путей.
• Эндоскопический метод- цистоскопия

47.

48.

49.

• Лечение:
• Соблюдать покой, находиться в тепле, желателен постельный
режим. Грелка на надлобковую область, сидячие теплые
ванны уменьшают боль.
• Пища должна быть без острых приправ, маринадов,
консервантов. Рекомендуется пить чай с молоком.
• Основой лечения является антибактериальные
препараты; бактрим (бисептол)по 2 таблетки 2 раза в день.
• Для лечения цистита применяют невиграмон по 0,5 г 4 раза в
день, фурадонин - по 0,1 г 4 раза в день, фурагин - по 0,1 г 3
раза в день. 5-10 дней.
• Профилактика. Соблюдение правил личной гигиены,
содержание половых органов и промежности в чистоте,
лечение запоров и гинекологических заболеваний.
• Прогноз. При своевременном лечении - благоприятный

50.

Острая почечная недостаточность - быстрое
прекращение (в течение нескольких часов или дней)
выделительной функции почек. Анурия и задержка в
организме азотистых шлаков.
Причины: 1) преренальным факторам относятся:
электротравма, кровопотеря, бактериальный шок,
анафилактический шок, кардиогенный шок, другие
виды шока;
2) к ренальным - острый нефрит, пиелонефрит,
почечная колика, опухоли почек;
3) к постренальным - отравление нефротическими
ядами (ртутные соли), прием в пищу ядовитых грибов,
укус змеи и насекомых

51.

• Клиника. Зависит от стадии болезни:
• Начальная (шоковая) стадии длиться от нескольких часов до 1-2
суток. Клинические проявления слабо выражены. Происходит
уменьшение диуреза до 400-60 мл, а иногда до 50 мл и менее в
сутки.
• Олигурическая стадия суточный диурез составляет от 400 мл до
анурии, длиться от нескольких дней до 3-4 недель и более. Моча
темная, мутная, кровянистая, низкой плотности (1009-1010).
• Симптомы поражения ЦНС: сонливость, заторможенность,
головная боль, судороги, астения; боли в сердце, в животе, запоры.
• Кожа сухая, язык сухой, обложен коричневым налетом, дыхание
шумное, глубокое (Куссмауля).
• Явления миокардита - боли в сердце, тахикардия, глухие тоны
сердца; увеличение печени; признаки анемии; в крови лейкоцитоз,
тромбопения, гиперкалиемия, гипонатриемия, гипохлоремия;
повышение мочевины, креатинина; гипостенурия, изостенурия,
протеинурия, цилиндрурия, эритроцитурия
• Восстановление диуреза происходит увеличение суточного
количества мочи; уменьшение клинических и лабораторных
проявлений. Длится стадия от 20 до 75 дней.
• Выздоровления характеризуется восстановлением клиниколабораторных тестов, длиться от 3 месяцев до 2 лет.

52.

• Уход и лечение.
• Режим строгий постельный.
• Диета № 7а, индивидуальная.
• Специальный уход в зависимости от клинических
проявлений: тепловые процедуры на поясничную область,
по показаниям проводится катетеризация мочевого пузыря
мягким резиновым катетером. Контроль суточного
диуреза.
• По показаниям выполняются операции гемодиализа,
перитонеального диализа или трансплантации почки.
• Профилактика: здоровый образ жизни, рациональное
питание, двигательная активность, исключение вредных
привычек, своевременное и правильное лечение
простудных заболеваний и болезней почек.

53.

• Хроническая почечная недостаточность патологический симптомокомплекс, в результате
уменьшения числа и функции нефронов, нарушением
экскреторной и инкреторной функции почек, всех
видов обмена веществ, деятельности органов и
систем.
• Симптомокомплекс называется уремией.
• Причины - все болезни почек и патологические
нарушения, вызывающие нарушения функции почек.
• Чаще всего причиной ХПН является хронический
гломерулонефрит.

54.

• Клиника. Зависит от: стадии ХПН
• (первая стадия) компенсации, вследствие сморщивания почек
нарушается их концентрационная способность, но
водовыделительная функция не страдает, поэтому моча становится
низкой плотности, ее много(полиурия). Кожа у них становится сухой,
появляется жажда. Другие симптомы могут отсутствовать или слабо
выражены.
• стадия субкомпенсации характеризуется задержкой жидкости в
организме, отеками.
• стадия декомпенсации в крови повышается количество креатинина,
мочевины, остаточного азота, отеки спадают, белк, в моче резко
уменьшается. Развивается анемия, больной бледнеет, жалуется на
слабость, сонливость, повышенную утомляемость, аппатию,
головокружение, головную боль, что свидетельствует о
развивающейся уремической энцефалопатии.
• АГ более повышается, становится стойкой.
• Развивается кожный зуд, иногда мучительный, мешающий спать;
• появляются носовые, желудочные, маточные кровотечения;
геморрагии; уремическая подагра с болями в суставах,
диспептический синдром: тошнота, икота, рвота, анорексия.
Выделительная функция почти прекращается. Заканчивается ХПН
уремической комой с шумным дыханием Куссмауля.

55.

• Уход и лечение.
• Режим: зависит от стадии ХПН и общего состояния пациента.
• Диета: количество белка снижается до 25 г в сутки, из них 10
г составляет животный белок (творог, яйца),калорийность
пищи (до 3000 ккал) за счет углеводов и жиров.
• Соли дается 2-3 г в сутки. В начальных стадиях ХПН показано
обильное питье. Для предупреждения гиперкалиемии
ограничиваются продукты(изюм, чернослив, курага, виноград,
свежие натуральные соки, компоты).
• По показаниям ставятся очистительные клизмы, делается
промывание желудка, проводится принудительная диарея
солевыми растворами.
• С целью выведения из организма азотистых шлаков,
проводятся операции гемодиализа, трансплантации почки.
English     Русский Правила