Ведение пациентов с Геморрагическим синдромом, Системные васкулитами, Системные заболеваниями соединительной ткани
Геморрагический синдром – причина?
Характеристики геморрагической экзантемы
Сыпь при тромбоцитопенической пурпуре
Единичные петехии и экхимозы
Петехии – пурпура -экхимозы
Пурпура и экхимозы в стадии обратного развития + подкожные гематомы
Системные васкулиты — группа заболеваний, в основе которых лежит генерализованное поражение сосудов с воспалением и некрозом
1. ГЕНЕТИЧЕСКИЕ ФАКТОРЫ 2. ВИРУСНАЯ ИНФЕКЦИЯ (ВИРУСЫ ГЕПАТИТА В И С, ПАРВОВИРУС В19, ЦИТОМЕГАЛОВИРУС, ВИЧ, ВИРУС ЭПШТЕЙНА-БАРРА
1. ПЕРВИЧНЫЕ ВАСКУЛИТЫ (НОЗОЛОГИЧЕСКИ САМОСТОЯТЕЛЬНЫЕ СИСТЕМНЫЕ ВАСКУЛИТЫ). 2. ВТОРИЧНЫЕ ВАСКУЛИТЫ: A. ПРИ ИНФЕКЦИЯХ: -
Поражение сосудов крупного калибра: - Гигантоклеточный (височный) артериит (болезнь Хортона); - Неспецифический аортоартериит
1. ВАСКУЛИТЫ, СВЯЗАННЫЕ С ИММУННЫМИ КОМПЛЕКСАМИ: 1.1. ГЕМОРРАГИЧЕСКИЙ ВАСКУЛИТ Шейнлейн-Геноха; 1.2. вторичные ВАСКУЛИТЫ ПРИ
Пато- и морфогенез
АНЦА выявляются при следующих заболеваниях
Симптомы, характерные для системных васкулитов: 1. Симптомы системного воспалительного процесса; - общие симптомы – лихорадка
Принципы диагностики системных васкулитов: - определение диагностических критериев - лабораторные исследования (АНЦА, АНА,
Принципы лечения системных васкулитов: - Глюкокортикостероиды; - Цитостатики (циклофосфамид, азатиоприн)в сочетании с ГКС; -
Цели
1. Глюкокортикоиды. Основной метод лечения гигантоклеточного артериита и артериита Такаясу, а также отдельных системных
2. Цитостатики Циклофосфамид. Препарат выбора при системных некротизирующих васкулитах (гранулематоз Вегенера, микроскопический
5. Внутривенный иммуноглобулин – 2 мг/кг (3-5 дней, затем ежемесячно в течение 6 месяцев) в сочетании с плазмаферезом (при
Вспомогательные препараты. - Мофетила микофенолат – 2г/сут (при гранулематозе Вегенера). - Циклоспорин А – 5 мг/кг/сут с
УЗЕЛКОВЫЙ ПОЛИАРТЕРИИТ Узелковый периартериит (полиартериит, болезнь Куссмауля—Майера) — системный некротизирующий васкулит с
Развивается после: - перенесенных ОРЗ (в т.ч. стрептококковых); - вирусных инфекций (гепатит В); - интоксикаций; - введения
Клиническая картина 1. БОЛЕЮТ ПРЕИМУЩЕСТВЕННО МУЖЧИНЫ В ВОЗРАСТЕ 30-60 ЛЕТ. 2. ЛИХОРАДКА различного типа, длительная, не
Диагностические критерии, предложенные ACR (1990) 1. Потеря 4 кг массы тела и более с начала заболевания, не связанная с
Лечение: -ГКС 30-60-100 мг преднизолона, пульс-терапия; - Цитостатики (циклофосфамид, азатиоприн)в сочетании с ГКС; -
БОЛЕЗНЬ КАВАСАКИ — системный артериит, поражающий крупные, средние и мелкие артерии (часто коронарные), сочетающийся с
Клинические проявления. 1. Лихорадка — 1-4 недели, резистентная к антибиотикотерапии; 2. Поражение кожи и слизистых оболочек: •
Диагностические критерии, предложенные Kawasaki и соавт. (1976). 1. Лихорадка в течение 1-2 недель, не поддающаяся лечению
Лечение: - аспирин 80-150 мг/сут., клопидогрель; - иммуноглобулин в/в 5 сут.; - антикоагулянты (прямые, непрямые); - НПВС; -
Лечение. 1.Полный отказ от курения; 2. Антикоагулянты (прямые, непрямые); 3. Антиагреганты; 4. НПВС; 5. При тяжелой
  Васкулиты с поражением мелких сосудов в первую очередь, лейкоцитокластический (гиперсенситивный, гиперергический) васкулит и
Клиника: - пурпура (геморрагические высыпания на коже конечностей, ягодиц, реже на туловище; при надавливании не исчезает); -
Диагностические критерии, предложенные ACR (1990) 1. Пальпируемая геморрагическая сыпь. Слегка возвышающаяся над поверхностью
Лечение - антикоагулянты (эноксапарин, гепарин 25-30 тыс ЕД/сут) -1-1,5 мес.; - антиагреганты (клопидогрель, дипиридамол); -
Гиперсенситивный (лейкоцитокластический) васкулит
Эссенциальный криоглобулинемический васкулит
СИНДРОМ ЧАРДЖА-СТРОССА — эозинофильный гранулематозный некротизирующий васкулит, преимущественно респираторного тракта,
Лабораторные данные 1. OAK: умеренная анемия, лейкоцитоз, эозинофилия (характерный симптом!), увеличение СОЭ. 2. БАК:
Лечение - ГКС (в том числе пульс-терапия); - ГКС + цитостатики; - плазмаферез - антиагреганты - антикоагулянты
МИКРОСКОПИЧЕСКИЙ ПОЛИАНГИИТ (полиангиит) — некротизирующий васкулит без или с минимальными иммунными отложениями, поражающий
Клиническая картина 1. Микроскопический полиартериит развивается преимущественно в среднем возрасте, чаще у мужчин. 2. Общие
ДИАГНОСТИЧЕСКИЕ КРИТЕРИИ, ПРЕДЛОЖЕННЫЕ ZASHIN И СОАВТ.(1990) 1. Лихорадка, недомогание, похудание. 2. Артрит, миалгия. 3.
Лечение микроскопического полиангиита 1. Цитостатики в сочетании с глюкокортикостероидами в общепринятых дозах либо
ГРАНУЛЕМАТОЗ ВЕГЕНЕРА Гранулематоз Вегенера — гигантоклеточный гранулематозно-некротизирующий системный васкулит, поражающий
Клиническая картина 1. Общие проявления — лихорадка, слабость, снижение массы тела, артралгии, миалгии, реже артриты. 2.
Диагностические критерии, предложенные ACR (1990) 1. Воспаление носовой или ротовой полости. Появление болезненных или
Лечение: -Цитостатики (Циклофосфан, Азатиоприн); -ГКС - преднизолон 1 мг/кг(в сочетании с цитостатиками – не менее 1-2 лет;
СИНДРОМ ГУДПАСЧЕРА – системный васкулит (капиллярит) с преимущественным поражением легких и почек по типу геморрагических
Диагностические критерии. - кровохарканье или легочное кровотечение - Одышка - Быстропрогрессирующий гломерулонефрит с
ГИГАНТОКЛЕТОЧНЫЙ АРТЕРИИТ (ГКА) (височный артериит, синдром Хортона) - гранулематозный артериит (с наличием гигантских
Клиническая картина - недомогание, бессонница, мышечные и суставные боли, субфебрильная температура тела, похудание. - боли в
Диагностические критерии, предложенные ACR (1990) 1.Возраст в начале заболевания > 50 лет. 2.Рецидивирующие приступы головной
Лечение: - Глюкокортикоиды (преднизолон от 0,5 до 1,5 мг/кг массы или метилпреднизолон) до клинико-лабораторной ремиссии с
2. Антиагрегантная и ангиопротекторная терапия
АРТЕРИИТ ТАКАЯСУ или Неспецифический аортоартериит (болезнь отсутствия пульса, синдром дуги аорты) – системное заболевание,
Диагностические критерии, предложенные ACR (1990) 1. Возраст в начале заболевания < 40 лет. 2. Перемежающаяся хромота
Лечение: 1. Глюкокортикостероиды (преднизолон 40-60 мг/сут. 1-2 мес. или метилперднизолон, поддерживающая доза по преднизолону
СИСТЕМНАЯ КРАСНАЯ ВОЛЧАНКА
Эпидемиология
Самые частые причины смерти при СКВ
Патогенез
Системная красная волчанка - иммунокомплексное заболевание, для которого характерна неконтролируемая продукция антител,
Классификация по течению
КЛИНИКА СКВ
Синдром Роуэлла при СКВ
Поражение опорно-двигательного аппарата
Классификация люпус-нефрита (ВОЗ 1982,95)
Диагностические критерии СКВ (ACR)
Лечение системной красной волчанки
Благодарю за внимание!
2.98M
Категория: МедицинаМедицина

ГТ_6курс_лекция1_Геморрагический синдром

1. Ведение пациентов с Геморрагическим синдромом, Системные васкулитами, Системные заболеваниями соединительной ткани

ВЕДЕНИЕ ПАЦИЕНТОВ С
ГЕМОРРАГИЧЕСКИМ
СИНДРОМОМ,
СИСТЕМНЫЕ ВАСКУЛИТАМИ,
СИСТЕМНЫЕ ЗАБОЛЕВАНИЯМИ
СОЕДИНИТЕЛЬНОЙ ТКАНИ
Доцент Кожанова Т.А.
кафедра внутренней медицины №1
Симферополь, 2021 г.

2. Геморрагический синдром – причина?

Коагулопатии (гемофилии) – проявляются экзантемой в виде
экхимозов, подкожными кровоизлияниями («синяки»),
внутриполостными и внутрисуставными кровоизлияниями с
развитием гематом, гемартрозов.
Тромбоцитопении (идиопатическая или вторичная, в т.ч.
ятрогенная, тромбоцитопеническая пурпура) – проявляется
петехиальной
сыпью,
кровотечениями
различной
локализации
Острые инфекционные заболевания (менингококкцемия,
скарлатина, тиф, геморрагические лихорадки – Марбург,
Эбола, Крымская, малярия …)
Васкулиты системные (первичные и вторичные) –
геморрагическая экзантема по типу пурпуры, петехий в
сочетании в поражением внутренних органов

3. Характеристики геморрагической экзантемы

Геморрагическая сыпь возникает по причине разрыва или
повышения проницаемости капилляров, при котором часть
эритроцитов начинает выходить из сосудов.
При пальпации высыпания обычно безболезненны, без зуда ,
однако, в случае развития воспалительного процесса, могут
наблюдаться болезные ощущения.
Если надавить на пораженное место пальцем, цвет высыпаний
изменяться не будет и не исчезнет - эта ее особенность становится
отличительной чертой геморрагической сыпи.
В зависимости от первопричины поражений кожных покровов
геморрагическая сыпь может иметь различные формы и оттенки
красного, лилового и даже фиолетового цвета.
Если размер пятен достаточно большой, то в медицине они имеют
название экхимозы, средний размер, склонный к слиянию пурпура, если же сыпь мелкая - то это петехии.
Как правило, геморрагическая сыпь возникает на нижних
конечностях, ягодицах, нижней части спины.

4.

5.

6. Сыпь при тромбоцитопенической пурпуре

7. Единичные петехии и экхимозы

8. Петехии – пурпура -экхимозы

9. Пурпура и экхимозы в стадии обратного развития + подкожные гематомы

10. Системные васкулиты — группа заболеваний, в основе которых лежит генерализованное поражение сосудов с воспалением и некрозом

сосудистой
стенки, что приводит
к вторичным ишемическим
изменениям органов и тканей.

11. 1. ГЕНЕТИЧЕСКИЕ ФАКТОРЫ 2. ВИРУСНАЯ ИНФЕКЦИЯ (ВИРУСЫ ГЕПАТИТА В И С, ПАРВОВИРУС В19, ЦИТОМЕГАЛОВИРУС, ВИЧ, ВИРУС ЭПШТЕЙНА-БАРРА

Этиологические факторы:
1. ГЕНЕТИЧЕСКИЕ ФАКТОРЫ
2. ВИРУСНАЯ ИНФЕКЦИЯ (ВИРУСЫ ГЕПАТИТА В И С, ПАРВОВИРУС В19,
ЦИТОМЕГАЛОВИРУС, ВИЧ, ВИРУС ЭПШТЕЙНА-БАРРА И ДР.);
3. БАКТЕРИАЛЬНАЯ ИНФЕКЦИЯ (СТРЕПТОКОККИ, ИЕРСИНИИ,
ХЛАМИДИИ, САЛЬМОНЕЛЛЫ И ДР.);
4. ГИПЕРЧУВСТВИТЕЛЬНОСТЬ К РАЗНООБРАЗНЫМ ЛЕКАРСТВЕННЫМ
ПРЕПАРАТАМ (АНТИБИОТИКАМ, АНТИТУБЕРКУЛЕЗНЫМ,
АНТИВИРУСНЫМ И ДР.);
5 . ГИПЕРЧУВСТВИТЕЛЬНОСТЬ К КОМПОНЕНТАМ ТАБАКА;

12. 1. ПЕРВИЧНЫЕ ВАСКУЛИТЫ (НОЗОЛОГИЧЕСКИ САМОСТОЯТЕЛЬНЫЕ СИСТЕМНЫЕ ВАСКУЛИТЫ). 2. ВТОРИЧНЫЕ ВАСКУЛИТЫ: A. ПРИ ИНФЕКЦИЯХ: -

Классификация васкулитов (нозоологическая):
1. ПЕРВИЧНЫЕ ВАСКУЛИТЫ (НОЗОЛОГИЧЕСКИ САМОСТОЯТЕЛЬНЫЕ СИСТЕМНЫЕ ВАСКУЛИТЫ).
2. ВТОРИЧНЫЕ ВАСКУЛИТЫ:
A. ПРИ ИНФЕКЦИЯХ:
-БАКТЕРИАЛЬНОЙ (ИНФЕКЦИОННЫЙ ЭНДОКАРДИТ, СЕПСИС);
-ВИРУСНОЙ (ХРОНИЧЕСКИЙ АКТИВНЫЙ ГЕПАТИТ);
-ПРИ РИККЕТСИОЗАХ;
B. ПРИ ПАРАЗИТАРНЫХ ЗАБОЛЕВАНИЯХ;
C. ПРИ ЛЕКАРСТВЕННОЙ (СЫВОРОТОЧНОЙ) БОЛЕЗНИ;
D. ПРИ ЗЛОКАЧЕСТВЕННЫХ ОПУХОЛЯХ (ВОЛОСАТОКЛЕТОЧНОМ ЛЕЙКОЗЕ, ЛИМФОМАХ, СОЛИДНЫХ
ОПУХОЛЯХ);
E. ПРИ ДИФФУЗНЫХ БОЛЕЗНЯХ СОЕДИНИТЕЛЬНОЙ ТКАНИ И РА;
F. ПРИ ПРОФЕССИОНАЛЬНЫХ БОЛЕЗНЯХ (БЕРИЛЛИОЗ, СИЛИКОЗ,
ИНТОКСИКАЦИЯ МЫШЬЯКОМ).

13. Поражение сосудов крупного калибра: - Гигантоклеточный (височный) артериит (болезнь Хортона); - Неспецифический аортоартериит

Классификация системних васкулитов
1.
Поражение сосудов крупного калибра:
-Гигантоклеточный (височный) артериит (болезнь Хортона);
-Неспецифический аортоартериит(болезнь Такаясу);
2. Поражение сосудов среднего калибра:
-Узелковый полиартериит;
-Болезнь Кавасаки (слизисто-кожно-железистыйсиндром);
- Облитерирующий тромбангиит (болезнь Бюргера)
3. Поражение сосудов мелкого калибра
с отложением иммунных комплексов:
-Геморрагический васкулит(пурпура Шенлейна-Геноха);
-Болезнь Бехчета;
-Эссенциальный криоглобулинемический васкулит;
-Гиперсенситивный васкулит(ГСВ);
- Поражение сосудов преимущественно мелкого калибра
без иммуннокомплексныхдепозитов (АНЦА-положительные):
-Гранулематоз Вегенера
-синдром Черджа-Стросса;
-Микроскопический (полиангиит) полиартериит.

14.

К артериям большого калибра относятся аорта и ее самые
большие ветви, направляющиеся к крупным частям тела
(конечностям, голове, шее и т.д.).
К
артериям
среднего
калибра
относятся
главные
висцеральные артерии (такие как почечные, печеночные,
коронарные, мезентериальные).
К артериям мелкого калибра относятся венулы, капилляры,
артериолы и расположенные интрапаренхиматозно сосуды,
относящиеся к артериолам.

15. 1. ВАСКУЛИТЫ, СВЯЗАННЫЕ С ИММУННЫМИ КОМПЛЕКСАМИ: 1.1. ГЕМОРРАГИЧЕСКИЙ ВАСКУЛИТ Шейнлейн-Геноха; 1.2. вторичные ВАСКУЛИТЫ ПРИ

Патогенетическая классификация
1. ВАСКУЛИТЫ, СВЯЗАННЫЕ С ИММУННЫМИ КОМПЛЕКСАМИ:
1.1. ГЕМОРРАГИЧЕСКИЙ ВАСКУЛИТ Шейнлейн-Геноха;
1.2. вторичные ВАСКУЛИТЫ ПРИ СКВ И РА;
1.3. БОЛЕЗНЬ БЕХЧЕТА;
1.4. КРИОГЛОБУЛИНЕМИЧЕСКИЙ ВАСКУЛИТ.
2. ВАСКУЛИТЫ, СВЯЗАННЫЕ С ОРГАНОСПЕЦИФИЧЕСКИМИ АНТИТЕЛАМИ.
2.1. БОЛЕЗНЬ КАВАСАКИ (С ПРОДУКЦИЕЙ АНТИТЕЛ К ЭНДОТЕЛИЮ).
2.2 СИНДРОМ ГУДПАСЧЕРА (К БАЗАЛЬНЫМ МЕМБРАНАМ КЛУБОЧКОВ ПОЧЕК)
3. ВАСКУЛИТЫ СВЯЗАННЫЕ С АНТИНЕЙРОФИЛЬНЫМИ ЦИТОПЛАЗМАТИЧЕСКИМИ АНТИТЕЛАМИ.
3.1. ГРАНУЛЕМАТОЗ ВЕГЕНЕРА;
3.2. МИКРОСКОПИЧЕСКИЙ ПОЛИАРТЕРИИТ;
3.3. АЛЛЕРГИЧЕСКИЙ (ЭОЗИНОФИЛЬНЫЙ) ГРАНУЛЕМАТОЗНЫЙ АНГИИТ (СИНДРОМ ЧАРДЖА-СТРОССА);
3.4. КЛАССИЧЕСКИЙ УЗЕЛКОВЫЙ ПОЛИАРТЕРИИТ и др.

16. Пато- и морфогенез

Эндотелиальная выстилка представляет собой
огромное рецепторное поле для фиксации
циркулирующих в крови Ig.
Эндотелиоциты могут выступать в роли антигенной
мишени для цитотоксических AT и цитотоксических
Т-лимфоцитов.
Повреждение эндотелия сопровождается выбросом
в кровь коагулирующих факторов, «запускающих»
систему свёртывания крови, в результате чего
развивается тромбоз
В итоге развиваются отёк сосудистой стенки,
плазморрагия вплоть до фибриноидного изменения,
лейкоцитарная реакция — формируется картина
экссудативного воспаления.

17.

Деструкция клеточных и неклеточных элементов
сосудистой стенки вследствие цитотоксического
воздействия комплемента, цитокинов, лизосомных
ферментов, свободнорадикальных перекисных
соединений сопровождается альтеративными
процессами, некрозом с развитием деструктивных
форм васкулита
Пролиферация эндотелиальных клеток,
перицитов, клеток адвентициального слоя,
инфильтрация сосудистой стенки
мононуклеарными клетками являются выражением
пролиферативного воспаления и, соответственно,
продуктивных форм васкулита.

18.

Наиболее характерные и часто выявляемые
аутоантитела при СВ это –
антинейтрофильные цитоплазматические
антитела.
Появление АНЦА у больных системными
васкулитами нередко сочетается с развитием
некротизирующего или экстракапиллярного
пролиферативного гломерулонефрита.

19. АНЦА выявляются при следующих заболеваниях

20.

Примерами антительных васкулитов также могут
служить болезнь Бюргера (облитерирующий
тромбангиит) с образованием АТ к пластическим
мембранам,
болезнь Кавасаки с образованием AT к
эндотелиальным клеткам (к АГ АВН и МНС,
экспрессируемым эндотелиоцитами).
К антительным васкулитам с антиэндотелиальной
направленностью относится
трансплантационный вторичный васкулит,
развивающийся при реакции отторжения
трансплантата.

21.

Антифосфолипидный
(антикардиолипиновый) синдром
(синдром Хьюза) описан в 1983 г английским
ревматологом G. Hughes.
Это невоспалительная тромботическая
васкулопатия, сопровождающаяся венозными
и/или артериальными тромбозами.
Встречается в акушерской, сердечнососудистой, гематологическои,
неврологической, дерматологической практике.
Характеризуется появлением в крови AT к
фосфолипидам (конкретно — к кардиолипину),
перекрёстно реагирующих с эндотелиальными
клетками

22.

Иммунокомплексные васкулиты связаны с фиксацией
в стенке сосуда комплексов «АГ-АТ-комплемент»,
которые можно идентифицировать,
иммуногистохимическими методами. Примером таких
васкулитов может служить васкулит при СКВ,
ревматоидном артрите, криоглобулинемической
пурпуре и др.
В стенке сосуда могут фиксироваться как ЦИК, так и
комплексы, формирующиеся непосредственно в
сосудистой ткани.
Для антигенного компонента иммунных комплексов
большое значение имеют вирусные АГ, в частности
поверхностный АГ вируса гепатита В (HBsAg). Последний
выявлен, например, у трети больных узелковым
периартериитом, а также в составе иммунных
комплексов выявляют белки вируса гепатита А и С, Тклеточной лимфомы, парвовируса, цитомегаловируса,
вируса герпеса.

23. Симптомы, характерные для системных васкулитов: 1. Симптомы системного воспалительного процесса; - общие симптомы – лихорадка

неясной этиологии или не поддающиеся
иному объяснению конституциональные симптомы;
- увеличение СОЭ, анемия, повышение СРБ, серомукоидов, гаптоглобина
2. Быстропрогрессирующее нарушение функции внутренних органов,
инфаркты органов, характерно мультисистемное поражение (почки, легкие,
сердце)
3. Острые неврологические нарушения (ЦНС - ОНМК, психозы и др.,
периферическая нейропатия по типу «перчаток и носок»);
4. Признаки воспаления сосудов мелкого калибра (кроме ГКА и артериита
Такаясу):
– экзантема (геморрагии, пальпируемая пурпура)
- мочевой синдром
- одышка и кровохарканье (сосуды малого круга).

24.

25.

26.

27.

28. Принципы диагностики системных васкулитов: - определение диагностических критериев - лабораторные исследования (АНЦА, АНА,

антифосфолипидные антитела, антиэндотелиальные
антитела, уровень воспалительных изменений крови –
острофазовые показатели и СОЭ);
- ангиографическое исследование, УЗ допплерография (артериит
Такаясу, облитерирующий тромбангиит, узелковый полиартериит),;
- КТ, МРТ (верификация поражения внутренних органов,
например, инфаркты органов);
- выявление вторичных васкулитов, связанных с инфекцией,
опухолями, СЗСТ и др.;
. - биопсия кожи и мышц, почек (гранулематоз Вегенера,
микроскопический полиартериит, синдром Чарджа-Стросса,
узелковый полиартериит, гигантоклеточный артериит);

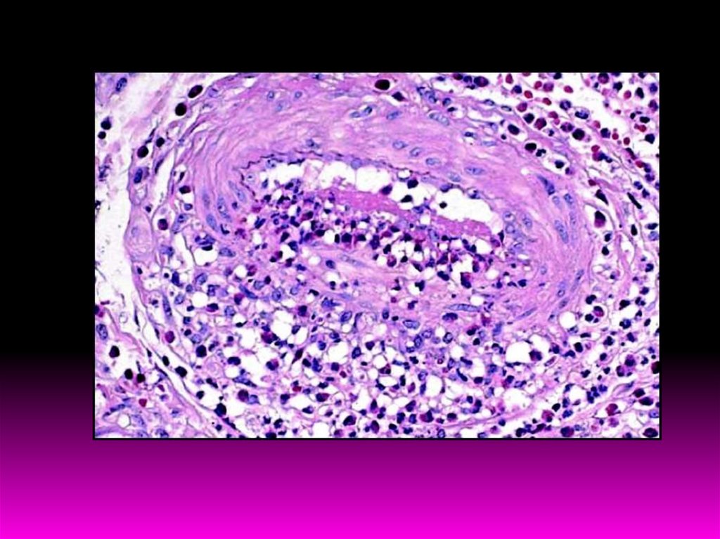
29.

Микропрепарат подкожной клетчатки больного с узелковым периартериитом:
панваскулит с резким сужением просвета сосуда; окраска гематоксилином и
эозином; ´100.

30. Принципы лечения системных васкулитов: - Глюкокортикостероиды; - Цитостатики (циклофосфамид, азатиоприн)в сочетании с ГКС; -

Антикоагулянты (гепарин,эноксапарин, варфарин, ривароксабан) –
длительные курсы – до 3-6 мес. и более
- Антиагреганты (пентоксифиллин, дипиридамол, клопидогрель)
- Эфферентные методы - плазмаферез, гемосорбция;
- НПВС, ангиопротекторы, СЭТ (флогензим,серратиопептидаза)
- противовирусная терапия (вирусного гепатита В,С и т.д.)
- симптоматическое лечение( АГ, инфаркт-пневмонии)
-иммуноглобулин, МАТ к CD рецепторам В-клеток.

31. Цели

- Достижение и поддержание
клинико-лабораторной ремиссии
- Предотвращение поражения и
сохранение функции жизненно важных
органов (почки, ЦНС, сердце)
- Улучшение качества жизни

32. 1. Глюкокортикоиды. Основной метод лечения гигантоклеточного артериита и артериита Такаясу, а также отдельных системных

некротизирующих васкулитов при
отсутствии признаков прогрессирования, например,
синдрома Черджа-Стросса;
применяется для лечения тяжелых форм
геморрагического васкулита.
- Преднизолон 1 – 1,5 мг/кг/сут 3-4 недели, затем
постепенное снижение дозы по 2,5 мг в неделю с
поддерживающей дозой 0,15-0,2 мг/кг/сут от 1 до 5
лет.
Пульс-терапия метилперднизолоном 1000 мг в\венно
при тяжелом, жизнеугрожающем течении.

33. 2. Цитостатики Циклофосфамид. Препарат выбора при системных некротизирующих васкулитах (гранулематоз Вегенера, микроскопический

полиартериит), узелковом полиартериите (при
отсутствии гепатита В), тяжелых формах геморрагического васкулита
и синдроме Черджа-Стросса.
- 1-2 мг/кг/сут (перорально) 10-14 дней (с постепенным
снижением дозы до 25-50 мг после достижения полной ремиссии
не менее 12 мес.).
3. Азатиоприн. Используется для поддержания ремиссии при
некротизирующих васкулитах. Оптимальная доза 1-3 мг/кг/сут;
поддерживающая – 50 мг/сут.
4. Метотрексат. В сочетании с ГКС применяется для лечения
гранулематоза Вегенера при непереносимости циклофосфамида
или для поддержания ремиссии, а также при артериите Такаясу.
Доза препарата 12,5-17,5 мг/неделю.

34. 5. Внутривенный иммуноглобулин – 2 мг/кг (3-5 дней, затем ежемесячно в течение 6 месяцев) в сочетании с плазмаферезом (при

синдроме Черджа-
Стросса и др.)
6. Плазмаферез. При уровне креатинина более 500
мкмоль/л или тяжелом течении васкулита.
7. Терапия моноклональными антителами к CD 20
рецепторам В-лимфоцитов (ритуксимаб) , к CD 22
рецепторам В-лимфоцитов (эпратузумаб)
моноклональные антитела к TNF- .

35. Вспомогательные препараты. - Мофетила микофенолат – 2г/сут (при гранулематозе Вегенера). - Циклоспорин А – 5 мг/кг/сут с

последующим снижением до 2
мг/кг/сут при болезни Бехчета.
- Колхицин – 0,5-1,5 мг/сут. – при болезни Бехчета.
- Противовирусные препараты: гепатит В – интерферон,
ламивудин 100 мг/сут; гепатит С – интерферон и рибавирин.
-
Хирургическое лечение.

36. УЗЕЛКОВЫЙ ПОЛИАРТЕРИИТ Узелковый периартериит (полиартериит, болезнь Куссмауля—Майера) — системный некротизирующий васкулит с

УЗЕЛКОВЫЙ ПОЛИАРТЕРИИТ
Узелковый периартериит (полиартериит, болезнь Куссмауля—
Майера) — системный некротизирующий васкулит
с преимущественным поражением артерий мышечного типа
среднего и мелкого калибра и вторичными изменениями
органов. Поражение стенки сосудов приводит к формированию
тромбов, образованию аневризм, частым инфарктам органов.
Впервые описан Куссмаулем и Майером в 1866 г.
Мужчины заболевают в 3-5 раз чаще женщин.

37. Развивается после: - перенесенных ОРЗ (в т.ч. стрептококковых); - вирусных инфекций (гепатит В); - интоксикаций; - введения

вакцин и сывороток;
- реакций лекарственной непереносимости (антибиотики,
сульфаниламиды, туберкулостатики, рентгенконтрастные
вещества, препараты золота, альфа-метилдопа и др.).

38. Клиническая картина 1. БОЛЕЮТ ПРЕИМУЩЕСТВЕННО МУЖЧИНЫ В ВОЗРАСТЕ 30-60 ЛЕТ. 2. ЛИХОРАДКА различного типа, длительная, не

поддающаяся влиянию
антибиотиков.
3. ОБЩИЙ СИНДРОМ: похудание, слабость, адинамия.
4. ПОРАЖЕНИЕ ПОЧЕК в виде сосудистой нефропатии (у 70-90% больных) ,
возможно развитие инфаркта почки, или очагового нефрита: протеинурия,
гематурия , цилиндрурия, быстрое развитие почечной недостаточности.
Допплеровское ультразвуковое исследование выявляет изменение почечных
сосудов у 60% больных, причем у половины из них обнаруживается
стенозирование.
КАРДИОВАСКУЛЯРНЫЙ СИНДРОМ – 30% случаев, третья причина смерти:
коронариты с развитием стенокардии или инфаркта миокарда; «немые
инфаркты» без характерных клинических признаков, лишь с ЭКГ-симптоматикой

39.

40. Диагностические критерии, предложенные ACR (1990) 1. Потеря 4 кг массы тела и более с начала заболевания, не связанная с

соблюдением
диеты или другими факторами.
2. Сетчатое ливедо. Ячеистый рисунок кожи туловища и конечностей.
3. Боль или повышенная чувствительность в яичках - орхит, не связанная с инфекцией,
травмой или другими причинами.
4. Диффузная миалгия (за исключением мышц плечевого и тазового поясов), мышечная
слабость, повышенная чувствительность мышц голеней.
5. Мононейропатии или полинейропатия.
6. Диастолическое АД > 90 мм рт.ст.
7. Повышение уровня мочевины >40мг/дл или креатинина >1,5мг/дл в крови, не
связанное с дегидратацией или обструкцией
8. Вирус гепатита В. Наличие в сыворотке крови поверхностного антигена вируса
гепатита В или антител к нему.
9. Артериографические изменения. Выявление на артериограмме аневризм или
окклюзии висцеральных артерий, не связанные с артериосклерозом, фибромускулярной
дисплазией или другими невоспалительнымипричинами.
10. Выявление при биопсии мелких или средних артерий полиморфно-ядерных
лейкоцитов.
При наличии 3 или более из вышеперечисленных критериев можно поставить диагноз
узелкового полиартериита.

41. Лечение: -ГКС 30-60-100 мг преднизолона, пульс-терапия; - Цитостатики (циклофосфамид, азатиоприн)в сочетании с ГКС; -

Антикоагулянты (гепарин,эноксапарин, варфарин)
- Антиагреганты(пентоксифиллин, дипиридамол)
- Эфферентные методы - плазмаферез, гемосорбция;
- НПВС, ангиопротекторы, СЭТ (флогензим,
серратиопептидаза)
- противовирусная терапия вирусного гепатита
- симптоматическое лечение( АГ, инфаркт-пневмонии).
Прогноз неблагоприятный.

42. БОЛЕЗНЬ КАВАСАКИ — системный артериит, поражающий крупные, средние и мелкие артерии (часто коронарные), сочетающийся с

кожно-слизисто-лимфонодулярным
синдромом, обычно у детей.
Впервые заболевание описано Кавасаки в 1967 г. в Японии.
Встречается главным образом в раннем детском возрасте.

43. Клинические проявления. 1. Лихорадка — 1-4 недели, резистентная к антибиотикотерапии; 2. Поражение кожи и слизистых оболочек: •

полиморфная сыпь в виде уртикарной экземы, макулопапулезнымиэлементами с
локализацией преимущественно на туловище, проксимальных отделах конечностей, в области
промежности; в дальнейшем появляются эритема, уплотнение кожи в области подошв и
ладоней (очень болезненные), ограничивающие подвижность пальцев; через 2-3 недели в
области эритематозных участков начинается обильное шелушение;
• в течение недели от начала болезни развивается негнойный двусторонний конъюнктивит, у
некоторых больных возможно сочетание с передним увеитом;
• гиперемия и сухость слизистой оболочки полости рта, трещины и кровоточивость губ,
покраснение и увеличение миндалин, язык ярко красный (малиновый);
3. Поражение лимфатических узлов — наиболее часто наблюдается одно-, реже – двустороннее
увеличение шейных лимфоузлов.
4. Поражение сердечно-сосудистойсистемы:
• миокардит часто приводит к развитию острой сердечной недостаточности; ОКС, стенокардия
- у 25% больных обнаруживаются дилатации и аневризмы коронарных артерий.
Реже:
- Суставной синдром.
- Поражение желудочно-кишечного тракта.
- уретрит, асептический менингит.

44. Диагностические критерии, предложенные Kawasaki и соавт. (1976). 1. Лихорадка в течение 1-2 недель, не поддающаяся лечению

антибиотиками.
2. Двухсторонний конъюнктивит.
3. Изменение губ и полости рта:
- Эритема или трещины губ
- Малиновый язык
- Диффузная эритема слизистых полости рта и глотки
4. Изменения конечностей:
-Эритема ладоней и/или подошв (начальная стадия)
-Индуративный отек кистей и/или стоп (3 – 5 день)
-Десквамация кончиков пальцев (2 - З нед.)
5. Полиморфная экзантема туловища (без пузырьков и корочек).
6. Лимфаденопатия шейных лимфатических узлов.
Острая негнойная лимфаденопатия шейных лимфатических узлов
(размер одного лимфатического узла не менее 1,5 см).

45. Лечение: - аспирин 80-150 мг/сут., клопидогрель; - иммуноглобулин в/в 5 сут.; - антикоагулянты (прямые, непрямые); - НПВС; -

ГКС

46.

ОБЛИТЕРИРУЮЩИИ ТРОМБАНГИИТ
(БОЛЕЗНЬ ВИНИВАРТЕРА-БЮРГЕРА)
— хроническое воспалительное заболевание артерий
среднего и мелкого калибра, вен и нервных стволов с
преимущественным вовлечением дистальных и
последующим распространением патологического
процесса на проксимальные отделы сосудов верхних
и нижних конечностей.
Заболевают преимущественно молодые мужчины
в возрасте около 30 лет, как правило,
длительно курящие.

47.

Клиническая картина
1. Поражение артерий конечностей. Ведущими клиническими проявлениями
являются симптомы поражения артерий нижних конечностей:
• боли в ногах интенсивные, усиливающиеся в покое и ночью;
• ощущение жжения в области подошв, особенно при ходьбе;
• зябкость и онемение пальцев стоп;
• болезненные язвы и некрозы дистальных отделов пальцев стоп, гангрена;
• стойкий цианоз дистальных фаланг;
• пульсация артерий нижних конечностей сохранена, синдром перемежающейся
хромоты наблюдается редко.
Поражение артерий верхних конечностей бывает у 50-80% больных.
Достаточно часто в патологический процесс вовлекаются сосуды 3 и даже 4
конечностей.
2. Поражение коронарных артерий — стенокардия или инфаркт миокарда.
3. Поражение вен характеризуется мигрирующими поверхностными
флебитами, преимущественно нижних конечностей, часто наблюдается
одновременное формирование тромба (тромбофлебит).
4. Поражение сосудов ЦНС проявляется нарушениями мозгового
кровообращения, ишемическим невритом зрительных нервов.
5.Поражение мезентериальных артерий наблюдается редко, проявляется
сильными болями в животе, желудочнокишечными кровотечениями, язвами и
некрозами стенки кишечника.
6. Тромбоз почечной артерии — проявляется инфарктом почки.

48.

Диагностические критерии, предложенные Mozes и
соавт. (1970)
БОЛЬШОЙ КРИТЕРИЙ:
Ишемия нижних конечностей у молодых, курящих, не
имеющих гиперлипидемии и сахарного диабета, а
также коллагенозов, гемопатий и эмбологенной
патологии в анамнезе.
МАЛЫЕ КРИТЕРИИ:
1.Рецидивирующие мигрирующие тромбофлебиты.
2.Синдром Рейно.
3.Ишемия верхних конечностей.
Наличие у больного одного большого критерия и
двух малых позволяет поставить диагноз болезнь
Бюргера.

49.

50. Лечение. 1.Полный отказ от курения; 2. Антикоагулянты (прямые, непрямые); 3. Антиагреганты; 4. НПВС; 5. При тяжелой

висцеральной форме – ГКС;
6. При неэффективности ГКС – цитостатики;
7. Простагландин Е1;
8. Симпатэктомия;
9. В случае развития гангрены – ампутация конечности.

51.   Васкулиты с поражением мелких сосудов в первую очередь, лейкоцитокластический (гиперсенситивный, гиперергический) васкулит и

Васкулиты с поражением мелких сосудов
в первую очередь, лейкоцитокластический
(гиперсенситивный, гиперергический) васкулит
и васкулит Шейнлейн-Геноха
ГЕМОРРАГИЧЕСКИЙ ВАСКУЛИТ
(ПУРПУРА ШЕНЛЯЙНА-ГЕНОХА)
– системное сосудистое заболевание с IgA-депозитами с преимущественным
поражением капилляров, артериол и венул, главным образом кожи, суставов,
брюшной полости и почек.
Является типичным иммунокомплексным васкулитом Чаще болеют дети и
подростки. Развивается после перенесенной инфекции (стрептококк), введения
вакцин и сывороток, в связи с лекарственной непереносимостью и
переохлаждением.

52. Клиника: - пурпура (геморрагические высыпания на коже конечностей, ягодиц, реже на туловище; при надавливании не исчезает); -

артралгии и/или артрит (крупные суставы);
- абдоминальный синдром ( боли, кровотечения,
перфорации, кишечная непроходимость, перитонит);
- почки: гломерулонефрит, АГ;
- легкие: сосудистая пневмония, геморрагический плеврит

53.

54. Диагностические критерии, предложенные ACR (1990) 1. Пальпируемая геморрагическая сыпь. Слегка возвышающаяся над поверхностью

кожи,
пальпируемая геморрагическая сыпь, не связанная с
тромбоцитопенией.
2. Начало болезни в возрасте до 20 лет.
3. Ишемия кишечника.
Диффузные боли в животе, усиливающиеся после еды,
диарея геморрагического характера.
4. Обнаружение скоплений гранулоцитов в стенках
артериол и венул.
При наличии двух из четырех вышеперечисленных критериев можно
поставить диагноз геморрагический васкулит Шенляйн-Геноха.

55. Лечение - антикоагулянты (эноксапарин, гепарин 25-30 тыс ЕД/сут) -1-1,5 мес.; - антиагреганты (клопидогрель, дипиридамол); -

Лечение
- антикоагулянты (эноксапарин, гепарин 25-30 тыс ЕД/сут) -11,5 мес.;
- антиагреганты (клопидогрель, дипиридамол);
- ГКС (при абдоминальном синдроме);
- цитостатики при нефротическом варианте
гломерулонефрита (азатиоприн, циклофосфан
1-2 мг/кг/сут);
- переливание свежезамороженной плазмы (ДВС-синдром)
- НПВС (при артралгиях и поражении кожи);
- аминохинолоновые производные (при легких формах);
- экстракорпоральная терапия, СЭТ

56. Гиперсенситивный (лейкоцитокластический) васкулит

- Иммунокомплексный васкулит с
преимущественным поражением мелких
сосудов кожи и локализацией поражений
в дистальных отделах.
Пусковые факторы – аллергия, вирусные
инфекции.
Течение рецидивирующее

57.

58.

Лечение:
1. Устранение аллергической причины
(зачастую лекарственные препараты,
пищевые аллергены)
2. Глюкокортикостероиды (особенно при
затяжном течении, абдоминальном и
нефритическоч синдроме)
3. Антиагреганты, реже антикоагулянты
(при висцеральных симптомах)

59. Эссенциальный криоглобулинемический васкулит

- васкулит с криогобулинемическими иммунными
депозитами в мелких сосудах кожи, почечных
клубочков, сочетающийся с наличием
криоглобулинов в сыворотке крови.
- Криоглобулины выпадают в осадок при
охлаждении ( от 0 до 30 градусов и снова
растворяются при 36-37 градусах)

60.

Диагностические критерии
1. Подчеркнутые лейкоцитокластические
и/или некротизирующие поражения кожи.
2. Появление и усиление на холоде, ветре.
3. Гистологическое выявление васкулопатии
мелких сосудов.
4. Выявление четкого холодонестойкого белка
крови (криоглобулин, криофибриноген).
Достоверно сочетание всех четырех критериев

61. СИНДРОМ ЧАРДЖА-СТРОССА — эозинофильный гранулематозный некротизирующий васкулит, преимущественно респираторного тракта,

поражающий мелкие и
средние сосуды , сочетающийся с бронхиальной
астмой и эозинофилией.
Наиболее часто заболевание развивается в возрасте 30-40 лет, несколько
чаще у мужчин.

62.

Диагностические критерии, предложенные ACR (1990)
1. Астма - удушье или диффузные сухие хрипы на выдохе в
анамнезе.
2.Эозинофилия > 10%
3.Мононейропатия или полинейропатия. Развитие
мононейропатии или полинейропатии (т.е. нарушения по типу
перчаток и носков), свойственных системным васкулитам.
4.Легочные инфильтраты, не постоянные. Мигрирующие или
транзиторные легочные инфильтраты, зарегистрированные на
рентгенограмме, свойственные системным васкулитам.
5.Патология околоносовых пазух. Острая или хроническая боль в
области околоносовых синусов или их непрозрачность на
рентгенограмме.
6.Экстравазально расположенные эозинофилы. Микропрепарат
демонстрирует скопление эозинофилов в околососудистых
микроциркуляторных зонах.

63.

64. Лабораторные данные 1. OAK: умеренная анемия, лейкоцитоз, эозинофилия (характерный симптом!), увеличение СОЭ. 2. БАК:

увеличение содержания γ-глобулинов, серомукоида, гаптоглобина.
3. ИИ: антинейтрофильные цитоплазматические антитела – Ц-
АНЦА и/или П-АНЦА, увеличение уровня ЦИК и концентрации IgE,
выявление РФ,.
4. Биопсия кожно-мышечного лоскута: эозинофилия во внесосудистом
пространстве.

65. Лечение - ГКС (в том числе пульс-терапия); - ГКС + цитостатики; - плазмаферез - антиагреганты - антикоагулянты

66. МИКРОСКОПИЧЕСКИЙ ПОЛИАНГИИТ (полиангиит) — некротизирующий васкулит без или с минимальными иммунными отложениями, поражающий

мелкие
сосуды (капилляры, венулы, артериолы), почти всегда
проявляющийся некротизирущим гломерулонефритом и
легочным капилляритом.
Может наблюдаться некротизирующий артериит мелких и средних
артерий.
Заболевание описано Dawson в 1948 г.

67. Клиническая картина 1. Микроскопический полиартериит развивается преимущественно в среднем возрасте, чаще у мужчин. 2. Общие

симптомы: похудание, слабость, лихорадка, миалгии.
3. Поражение кожи: иногда наблюдаются язвы, некрозы, геморрагическая сыпь.
4. Поражение легких проявляется кашлем, кровохарканьем, болями в
грудной клетке, иногда легочным кровотечением, легочными
инфильтратами при рентгенографии легких, реже — признаками
альвеолита.
5. Поражение почек: гематурия, протеинурия или нефротический синдром.
Характерной особенностью гломерулонефрита при этом заболевании
является прогрессирующее развитие почечной недостаточности, но при
этом отсутствует артериальная гипертензия.
6. Поражение верхних дыхательных путей: атрофия слизистой оболочки носа, некротический
ринит, однако в отличие от гранулематоза Вегенера эти изменения обратимы, не приводят к
деструкции и деформации носа, в биоптатахслизистой оболочки носа отсутствуют гранулемы.
Возможны изменения среднего уха и придаточных пазух носа.

68.

69. ДИАГНОСТИЧЕСКИЕ КРИТЕРИИ, ПРЕДЛОЖЕННЫЕ ZASHIN И СОАВТ.(1990) 1. Лихорадка, недомогание, похудание. 2. Артрит, миалгия. 3.

ДИАГНОСТИЧЕСКИЕ КРИТЕРИИ,
ПРЕДЛОЖЕННЫЕ ZASHINИ СОАВТ.(1990)
1. Лихорадка, недомогание, похудание.
2. Артрит, миалгия.
3. Легочные инфильтраты, часто с фатальным кровотечением.
4. Быстро прогрессирующий гломерулонефрит.
5. Кожные проявления (некротизирующий васкулит мелких
сосудов).
6. HNO-симптом.
7. Мононейропатия или полинейропатия.
8. pANCA (пАНЦА - антинейтрофильные цитоплазматические
антитела с периферическим свечением,
анитмиелопероксидазные)

70. Лечение микроскопического полиангиита 1. Цитостатики в сочетании с глюкокортикостероидами в общепринятых дозах либо

пульс-терапия
2. Плазмаферез (при быстром прогрессировании поражения
почек).
3. Иммуноглобулин в дозе 0,2-2,0 г/кг в/в в течение 4-5 дней,
возможно однократное в/в введение 2,0 г/кг.

71. ГРАНУЛЕМАТОЗ ВЕГЕНЕРА Гранулематоз Вегенера — гигантоклеточный гранулематозно-некротизирующий системный васкулит, поражающий

мелкие, реже средние сосуды (капилляры,
венулы, артериолы, артерии), сочетающийся с
вовлечением верхних и нижних дыхательных путей,
легких и почек.
В стенке артерий и периваскулярном пространстве
имеется гранулематозное
воспаление.

72.

Этиология и патогенез
Иммуногенетическим маркером заболевания
являются антигены HLA В7, B8, DR2, DQw7.
Большую патогенетическую роль играют
антинейтрофильные цитоплазматические
антитела, реагирующие с протеиназой-3
цитоплазмы нейтрофилов (цАНЦА).
Болеют одинаково часто и мужчины и женщины в
возрасте около 40 лет.

73. Клиническая картина 1. Общие проявления — лихорадка, слабость, снижение массы тела, артралгии, миалгии, реже артриты. 2.

Поражение верхних дыхательных путей наблюдается у 90% больных и
проявляется упорным ринитом с гнойно-геморрагическим отделяемым,
образованием язв слизистой оболочки носа, перфорацией носовой
перегородки, седловидной деформацией носа. Поражаются также трахея,
гортань, уши, придаточные пазухи носа. Часто наблюдается язвенный
стоматит.
3. Поражение легких развивается у 3/4 больных, проявляется формированием
инфильтратов с распадом. Больных беспокоит кашель, кровохарканье. Иногда
наблюдается плеврит.
4. Поражение почек заключается в развитии гломерулонефрита.
5. Поражение кожи проявляется геморрагическими высыпаниями с дальнейшим
формированием некротических элементов.
6. Поражение глаз характеризуется развитием эписклерита, образованием орбитальной
гранулемы с экзофтальмом, ишемией зрительного нерва и снижением зрения вплоть до
слепоты.
7. Поражение нервной системы обычно проявляется асимметричной полинейропатией.

74. Диагностические критерии, предложенные ACR (1990) 1. Воспаление носовой или ротовой полости. Появление болезненных или

безболезненных язв в ротовой полости или
гнойных или кровянистых выделений из носа.
2. Изменения при рентгенологическом исследовании грудной клетки.
При рентгенографии легких определяются фиксированные инфильтраты
или полости.
3. Изменения в мочевом осадке.
Микрогематурия (>5 эритроцитов в поле зрения), эритроцитарные
цилиндры.
4. Гранулематозное воспаление при биопсии.
Гистологические изменения характеризуются гранулематозным
воспалением в стенках артерий и артериол,
в периваскулярных и экстраваскулярных зонах.
При наличии 2 или более из 4 вышеперечисленных критериев
можно поставить диагноз гранулематоз Вегенера.

75.

76. Лечение: -Цитостатики (Циклофосфан, Азатиоприн); -ГКС - преднизолон 1 мг/кг(в сочетании с цитостатиками – не менее 1-2 лет;

-Эфферентные методы (плазмаферез)
- антиагреганты, антикоагулянты.

77. СИНДРОМ ГУДПАСЧЕРА – системный васкулит (капиллярит) с преимущественным поражением легких и почек по типу геморрагических

пневмонита и гломерулонефрита.
Клиника. Характерно острое начало болезни с
высокой лихорадки, одышки, кровохарканья или
легочного кровотечения. Позже развивается
быстропрогрессирующий гломерулонефрит с исходом в
почечную недостаточность.

78. Диагностические критерии. - кровохарканье или легочное кровотечение - Одышка - Быстропрогрессирующий гломерулонефрит с

гематурией, реже –
нефротический синдром
- Анемия (из-за легочных кровотечений и гематурии)
- ИИ: иммунофлюоресцентная микроскопия – АТ к базальной
мембране клубочков почек (anti-GBM), базальной мембране альвеол.
- анализ мокроты – сидерофаги;

79.

Лечение.
- цитостатики: циклофосфамид,
азатиоприн 150-200 мг/сут в сочетании с
преднизолоном 100 мг/сут.
- ГКС (пуль-терапия преднизолоном);
- эфферентные методы.
Прогноз неблагоприятный.

80. ГИГАНТОКЛЕТОЧНЫЙ АРТЕРИИТ (ГКА) (височный артериит, синдром Хортона) - гранулематозный артериит (с наличием гигантских

многоядерных клеток),
поражающий преимущественно экстракраниальные ветви
сонной артерии и височную артерию, а также аорту и ее
основные ветви.
Обычно начинается в возрасте старше 50 лет.
Чаще болеют женщины (3 : 1 - 4 : 1).
Часто сочетается с ревматической полимиалгией

81. Клиническая картина - недомогание, бессонница, мышечные и суставные боли, субфебрильная температура тела, похудание. - боли в

височной и теменной области, усиливающиеся при жевании,
пальпации, глотании,
- отечность височной области, утолщение и извитость височных артерий,
ослабление их пульсации
- при поражении наружной сонной артерии - отек лица, нарушение
глотания, снижение слуха;
- при поражении артерий, кровоснабжающих глаза и глазные мышцы —
нарушение зрения, хориоретинит, отек роговицы, ирит, конъюнктивит,
эписклерит, склерит;
- при поражении аорты и ее ветвей — аортит, недостаточность клапана
аорты, инфаркт миокарда, ишемические инсульты, нарушение
кровообращения конечностей.
Возможно поражение нервной системы в виде множественных
мононевритов, полинейропатии.

82.

83. Диагностические критерии, предложенные ACR (1990) 1.Возраст в начале заболевания > 50 лет. 2.Рецидивирующие приступы головной

Диагностические критерии, предложенные ACR (1990)
1.Возраст в начале заболевания > 50 лет.
2.Рецидивирующие приступы головной боли.
Локализованная головная боль иного характера, чем ранее.
3.Аномальная височная артерия.
Височная артерия чувствительна при пальпации, снижение ее
пульсации не связано с артериосклерозом шейных артерий.
4.Увеличение скорости оседания эритроцитов (СОЭ).
СОЭ > 50мм/час по методу Уестергрена.
5.Микроскопические изменения височной артерии (при биопсии).
При микроскопии биопсийного материала обнаруживают васкулит,
характеризующийся преобладанием инфильтрации
мононуклеарными клетками, или гранулематозное воспаление с
гигантскими многоядерными клетками.
При наличии 3 или более из вышеперечисленных критериев можно
поставить диагноз гигантоклеточного артериита.

84. Лечение: - Глюкокортикоиды (преднизолон от 0,5 до 1,5 мг/кг массы или метилпреднизолон) до клинико-лабораторной ремиссии с

постепенным снижением дозы на 1,25-2,5мг 2 раза в неделю и
поддерживающей дозой 5-10 мг/сут. До нескольких лет
- Цитостатики (циклофосфамид, метотрексат –
15-20 мг/нед)- редко, так как характерен очеень хороший эффект ГКС
- Аминохинолоновые производные (делагил 0,25-0,5 мг/сут;
плаквенил 0,4 мг/сут);

85. 2. Антиагрегантная и ангиопротекторная терапия

Дипиридамол (курантил)100-300 мг/сут.
Клопидогрель 75 мг/сут.;
Пентоксифиллин 400 – 600 мг/сут.
Курс 2-3 месяца.
Продектин (пармидин) 0,75 – 1,5 г/сут.,
ксантинола никотинат (компламин)

86. АРТЕРИИТ ТАКАЯСУ или Неспецифический аортоартериит (болезнь отсутствия пульса, синдром дуги аорты) – системное заболевание,

характеризующееся гранулематозным воспалением аорты
и отходящих от нее ветвей с частичной или полной облитерацией,
обычно начинающееся до 50 лет.
Болеют преимущественно женщины в возрасте до 40-50 лет.
Заболевание описано Tokayasu в 1908 г.
Заболеваемость составляет 1.2-3.6 случаев на
1,000,000 населения.

87.

88. Диагностические критерии, предложенные ACR (1990) 1. Возраст в начале заболевания < 40 лет. 2. Перемежающаяся хромота

Диагностические критерии, предложенные ACR (1990)
1. Возраст в начале заболевания < 40 лет.
2. Перемежающаяся хромота конечностей.
Появление ощущения утомления и дискомфорта в мышцах 1 или более конечностей,
особенно верхних, во время движения.
3. Ослабление пульса на одной или двух плечевых артериях.
4. Разница артериального давления на плечевых артериях > 10 мм
рт. ст.
5. Шум над подключичными артериями и аортой.
Шум выслушивается над 1 или обеими подключичными артериями или брюшной
аортой.
6. Изменения на артериограмме.
Артериографически определяется сужение или окклюзия аорты, её ветвей или крупных
артерий проксимальных частей верхних и нижних конечностей, не связанные с
атеросклерозом, фибромышечной дисплазией или другими подобными причинами;
изменения обычно фокальные или сегментарные.
Результаты лабораторного исследования неспецифичны
При наличии 3 и более критериев можно поставить диагноз артериита Такаясу.

89. Лечение: 1. Глюкокортикостероиды (преднизолон 40-60 мг/сут. 1-2 мес. или метилперднизолон, поддерживающая доза по преднизолону

5-10 мг не менее 2 лет, в крайне тяжелых случаях пульс-терапия);
2. Цитостатики (метортрексат, циклофосфамид);
3. Аминохинолоновые производные (делагил, плаквенил);
4. НПВС (при хроническом течении);
5. Антикоагулянты: прямые – гепарин п/к 5-10 тыс.ЕД 4 р/сут. или
низкомолекулярные (эноксапарин, фраксипарин) п/к 1-2 р/сут. Курс 4-6
нед., при необходимости – затем непрямые;
6. Антиагреганты (дипиридамол, пентоксифиллин, клопидогрель;
7. Ингибиторы-АПФ (при АГ, нефропатии, СН).

90. СИСТЕМНАЯ КРАСНАЯ ВОЛЧАНКА

91.

Системная красная волчанка (СКВ) –
системное аутоиммунное заболевание
соединительной ткани с неуточненной
этиологией, в основе развития которого
лежит генетически обусловленный дефект
иммунорегуляторных процессов,
приводящий к образованию аутоантител
к различным компонентам клеток и их ядер с
последующим иммуновоспалительным
поврежденем тканей и органов

92. Эпидемиология

- Заболеваемость СКВ 4 – 250 на 100 000
- Возраст заболевших 15 – 45 лет, дебют чаще до 25
лет
- Женщины детородного возраста болеют в 8-10 раз
чаще мужчин
- Лица негроидной и монголоидной (китайцы) расы
- в 2-4 раза чаще европеоидной
- У болеющих СКВ смертность в 3 раза выше
- Беременность, перипартальный период,
инсоляция – факторы риска

93. Самые частые причины смерти при СКВ

Волчаночный нефрит с почечной
недостаточностью и ее осложнениями
Инфекционные заболевания,
ассоциированы с иммунодефицитным
состоянием
Поражение сердечно-сосудистой системы
с СН
Поражение ЦНС

94.

Этиология
Принята полиэтиологическая концепция
Ведущий фактор –
Генетически детерминированный дефект
иммунной системы
Вирусная и/или бактериальная инфекции - фактор
перегружающий и провоцирующийаномальный
иммунный ответ
у больных СКВ чаще обнаруживается инфицирование
вирусом Эпштейна-Барр и др. (ИФА, ПЦР)
«молекулярная мимикрия» АГ вирусных белков и ДНК
бактерий и волчаночных АГ (Smits-АГ и т.д.), что у
генетически предрасположенных лиц приводит к
выработке аутоантител
УФ-облучение приводит к апоптозу ряда клеток кожи с
представлением внутриклеточных АГ на их мембране,
индуцируя развитие аутоиммунного процесса

95.

Гормональные факторы
Преобладают женщины репродуктивного
возраста
Характерен избыток эстрогенов и пролактина,
стимулирующих иммунный ответ и недостаток
андрогенов
У мужчин с СКВ отмечена тенденция к
гипоандрогении и гиперпролактинемии

96. Патогенез

Врожденные или индуцированные дефекты
программированной гибели клеток (апоптоза)
с репрезентацией аутоантигенов клеток лежат
в основе СКВ
На ранней стадии преобладает В-клеточная
поликлональная активация, в дальнейшем
иммуновоспалительное повреждение тканей
реализуется через антигенспецифические
Т-клеточные реакции

97. Системная красная волчанка - иммунокомплексное заболевание, для которого характерна неконтролируемая продукция антител,

Системная красная волчанка иммунокомплексное заболевание, для
которого характерна неконтролируемая
продукция антител, образующих
иммунные комплексы,
обусловливающие различные признаки
болезни.
ЦИК откладываются в
субэндотелиальном слое базальной
мембраны сосудов многих органов.

98.

Для СКВ характерна выработка огромного
количества аутоантител (около 40 видов из более
2000 потенциально антигенных клеточных
компонентов)
Наиболее выжные – АТ к нативной ДНК и
нуклеопротеиновым комплексам (нуклеосомам
ядра, РНП - Sm-антиген, Ro/La белки)
Нуклеопротеины накапливаются на мембране
апоптированных клеток и перекрестно
связываются с В-клетками
Выявлены дефекты иммунитета с гиперпродукцией Тхелперами цитокинов (ИЛ-4, ИЛ-6, ИЛ-10),
активирующих В-лимфоциты и способствующие
их плазматической трансформации
Эстрогены способны стимулировать синтез Тh2цитокинов

99. Классификация по течению

Острое течение – быстрое развитие
полиорганных поражений, включая почки и ЦНС
на фоне высокой иммунологической активности
Подострое течение – в дебюте поражение кожи
и суставов, неспецифические общие симптомы
Первично хроническое течение - длительное
превалирование одного или нескольких
симптомов (экзантема, с-мы Рейно или Шегрена,
артрит …), полиорганность – к 5-10 году
3 степени активности: 1-минимальная, 2умеренная, 3 - высокая

100. КЛИНИКА СКВ

101.

Симптомы, характерные для СКВ:
1. Симптомы системного воспалительного процесса;
- общие симптомы – лихорадка неясной этиологии или не поддающиеся
иному объяснению конституциональные симптомы (слабость,
недомогание и т.д.); увеличение СОЭ, остофазовых белков
2. Прогрессирующее нарушение функции внутренних органов, инфаркты
органов, характерно мультисистемное поражение (почки, легкие,
сердце)
3. Острые неврологические нарушения (ЦНС - ОНМК, психозы и др.,
периферическая нейропатия по типу «перчаток и носок»)
4. Поражение суставов и периартикулярных тканей (периферический
полиартрит)
5. Признаки воспаления сосудов (вторичного васкулита) – экзантема
(геморрагии, пальпируемая пурпура)
- мочевой и нефритический синдром
- одышка и редко - кровохарканье (сосуды малого круга)
6. Гематологические нарушения: анемия, тромбоцитопения,
панцитопения

102.

Поражение кожи и слизистых при СКВ:
Высыпания на скулах по типу «бабочки» - кожная
реакция фотосенсибилизации, без рубцов
2. Фотоиндуцированная экзантема на открытых
участках кожи (зона декольте, шея, верхние
конечности) – до 45-70%– множественные
эритематозные и эритематознопапулезные очаги
кольцевидной формы(подострая кожная волчанка)
3. Дискоидная красная волчанка – у 20-25% больных хронические дисковидные очаги с атрофией и
фолликулярным гиперкератозом в центре и
образованием рубцов (лицо, голова, шея, предплечья
1.

103.

104.

105.

106.

107. Синдром Роуэлла при СКВ

108.

4. Геморрагическая сыпь по типу пурпуры,
петехий – у 10-20% - связана с
тромбоцитопенией и вторичным васкулитом.
Могут развиваться язвы конечностей, гангрена
пальцев, инфаркты кожи (васкулит, АФС)
5. Алопеция – у 35-70% - очаговая или диффузная,
часто сочетается с поражением ногтей
6. Поражение слизистых (энантема, афты,
люпус-хейлит) – 10-40% - рот, носоглотка,губы,
в исходе-атрофия

109.

110. Поражение опорно-двигательного аппарата

Поражение суставов и периартикулярных
тканей - часто это дебют заболевания артралгии практически у 100% больных
Олиго-,полиартрит-
симметричный
рецидивирующий, неэрозивный, кистей,
лучезапястных, локтевых и др. суставов
Тендиниты, тендовагиниты (сгибательные
контрактуры пальцев), асептические
некрозы костей - у 25% больных.
Миалгии, миозиты - у 30 - 45% больных
Остеопороз (спонтанные переломы).

111.

112.

Поражение легких:
1. сухой и выпотной плеврит - в 50-60%,
чаще двусторонний с небольшим или
умеренным кол-м экссудата
2. Васкулит малого круга с легочной
гипертензией – 5-15%, через 2-5 лет,
тромбозы и тромбоэмболии ЛА (АФС)
3. Пневмонит: острое течение - редкий
клинический вариант (до 5%),
кровохарканье, кашель, инфильтраты в
нижних легочных зонах

113.

Поражение сердца и сосудов
1. Волчаночный кардит (у 50-90%)
перикардит – часто сочетается с плевритом,
сухой или небольшое кол-во выпота;
миокардит (до 40% по аутопсии),
кардиомиопатия;
эндокардит – бородавчатый, Либмана-Сакса,
чаще поражен митральный, также
аортальный, трикусп. клапаны, стенозы
редки;
2. Артерии среднего и мелкого калибра:
аорта и ветви, коронарииты, атеросклероз
3. Тромбозы магистральных сосудов
конечностей, тромбофлебиты (АФС)
4. АГ – 10-50% - из-за поражения почек, ГКС

114.

Поражение желудочно-кишечного тракта
и печени - в 50% случаев:
Поражение слизистых ЖКТ – полость рта,
язвенный стоматит;
Поражение пищевода - 10-15%;
Ишемия стенки желудка, пептические
язвы (ГКС, НПВС);
Кишечник - мезентериит, абдом. ишемия,
некроз стенки кишечника
Гепатит, гепатомегалия - 25-50% - в
т.ч.лекарственные
Асцит – серозит (экссудат) или СН,
нефротический синдром (транссудат).

115.

Поражение почек – 35-90% больных активные формы люпус-нефрита
(молодой возраст, в первые годы
заболевания, частые обострения)
1. быстропрогрессирующий,
2. нефрит с выраженным нефритическим
синдромом,
3. нефрит с нефротическим синдромом
Нефрит с минимальным мочевым
синдромом – чаще у возрастных
пациентов

116. Классификация люпус-нефрита (ВОЗ 1982,95)

Класс І: минимальные изменения – ХПН 0,
моча не изменена или минимальные откл.
Класс ІІ: мезангиальный гломерулонефрит,
протеинурия < 1г/сут., гематурия, ХПН 0-1
Класс ІІІ: очаговый пролиферативный ГН –
протеинурия > 1г/сут., часто ХПН, гематур.,
цилиндры, в 20-30% - нефротический с –м
Класс IV: диффузный пролиферат. ГН –
выраженные протеин-, гема-,цилиндрурия,
АГ и ХПН (ОПН)
Класс V: нефросклероз или мембранозный
нефрит – ХПН 1- 4 степени, нефротический с-м

117.

Поражение нервной системы
васкулопатия - 65%,
тромобозы и истинные васкулиты - 15%,
инфаркты и геморрагии
Клинические проявления:
1. головная боль (рефрактерная),
2. психические расстройства (до 80%)
3. острые нарушения мозгового
кровообращения (ТИА),
4. эпилептические припадки,
5. поражение черепных и периферич.
нервов (3-20%),
6. неврит зрительного нерва

118. Диагностические критерии СКВ (ACR)

1. Эритема- «бабочка» - на скулах, плоская или
возвышающаяся
2. Дискоидная волчанка – эритематознопапулезная (приподнятая) пятнистая экзантема с
фолликулярными пробками, исход –
атрофические рубцы
3. Фотосенсибилизация – появление сыпи после
инсоляции (анамнестически или клинически)
4. Язвы полости рта – изъязвления полости рта и
носоглотки, чаще безболезненные

119.

5. Артрит – неэрозивный периферический олиго-,
полиартрит с болезненностью, припуханием
(дефигурация), выпотом
6. Серозит
- плеврит (плевритические боли и шум трения плевры или
инструментальные доказательства плеврального выпота)
- перикардит (ЭКГ признаки перикардита или шум трения
перикарда или наличие перикардиального выпота –
ЭхоКГ, КТ, МРТ)
7. Поражение почек – люпус-нефрит стойкая
протеинурия более 0,5 г/сут. или цилиндры
(эритроцитарные, зернистые, восковидные, смешанные)

120.

8. Поражение нервной системы Судороги или психоз (при отсутствии провоцирующих
мед. препаратов или метаболичексих нарушений –
уремия, кетоацидоз, электролитный дисбаланс)
9. Гематологические нарушения
- гемолитическая анемия (с ретикулоцитозом)
- лейкопения (менее 4000 кл./мкл по 2 анализам)
- лимфопения (менее 1500 кл./мкл по 2 анализам)
- тромбоцитопения (менее 100000 кл./мкл в отсутствие
провоцирующих лекарств)

121.

10. Иммунологические нарушения
- антитела к нативной ДНК в высоком уровне (у
20-60%)
- присутствие анти-Sm антител к Sm ядерному
антигену (у 10-30%)
- присутствие антифосфолипидных антител
(высокий уровень IgM, IgG антикардиолопиновых антител,
выявление волчаночного антикоагулянта,
ложноположительная реакия на сифилис не менее 6 мес.
методом РИБТ, РИФ)
11. Антинуклеарные антитела (АНА – у 90-95%)
- по данным РИФ, ИФА при отсутствии лекарств,
провоцирующих волчаночноподобный синдром

122.

Для установления диагноза СКВ необходимо
наличие 4 из 11 критериев, выявляющихся
последовательно или одновременно за
период наблюдения за больным
Чувствительность набора критериев 96%,
специфичность 96%

123.

Дифференциальная диагностика
из-за мультисимптомности очень объемна и
включает гематологические заболевания,
системные заболевания соединительной
ткани, системные васкулиты,
паранеопластический синдром, сывороточную
болезнь, саркоидоз, инфекционные
заболевания (ВИЧ, гепатиты, туберкулез) и др.

124. Лечение системной красной волчанки

Цели
- Достижение клинико-лабораторной
ремиссии
- Предотвращение поражения и
сохранение функции жизненно важных
органов (почки, ЦНС, сердце)
- Улучшение качества жизни

125.

Глюкокортикостероиды внутрь преднизолон
подавляющая терапия при 2-3 ст. активности,
поражении почек, ЦНС - 1-1,5 мг/кг/сут. (в среднем
60-80 мг/сут) до обеда, 4-12 недель, с постеп.снижением
дозы – на 2,5 -5 мг/нед.
поддерживающая терапия - 5-10 мг/сут (10-15
лет, часто пожизненно).
метилпреднизолон (метипред, медрол) –
применяют часто - 4 мг эквивалентно 5 мг
преднизолона,
редко - триамцинолон.
для внутривенной инфузии на стационарном
этапе – преднизолон 1-2 мг/кг/сут,
метилпреднизолон (метипред, солюмедрол,
урбазон), реже –дексаметазон, с переходом на
пероральный прием или режим пульс-терапии

126.

2. Иммунодепрессанты –
циклофосфамид (циклофосфан) – при высокой
активности процесса - пульс-терапия или 50-200
мг/сут. внутрь 10-12 нед. в сочетании с ГКС
азатиоприн (имуран) – часто для поддержания
ремиссии - 50-200 мг/сут. в сочетании с ГКС.
метотрексат, циклоспорин А (сандиммун),
хлорамбуцил (хлорбутин) - редко или как
альтернатива
мофетила микофенолат (Селлсепт) - 2-3 г/сут., затем
1 г/сут. - селективный иммуносупрессант, проявляет
цитостатическую, а не цитотоксическую активность, более
выраженный антипролиферативный эффект в отношении Т-, и Влимфоцитов, мезангиальных клеток почек

127.

Основные показания к применению
пульс-терапии:
1. Активный люпус-нефрит (особенно с
нефротическим синдромом, быстрым
повышением уровня креатинина, ОПН),
2. Высокая активность болезни, резистентная
терапии
3. Острое тяжелое поражение ЦНС
(менингоэнцефалит, энцефаломиелополирадикулоневрит, острый психоз, судороги)
4. Гематологический криз - глубокая
тромбоцитопения, панцитопения
5. Легочный васкулит (кровохарканье, ЛН)
6. Язвенно-некротический кожный васкулит
с гангренозными изменениями конечностей

128.

пульс-терапия по классической схеме:
метилпреднизолон
500-1000 мг в/венно капельно 3 дня подряд,
возможна поддерживающая терапия - 5001000 мг 1 раз в месяц (до 24 месяцев)
+
циклофосфамид
0,5 – 1 г/ кв.м в/венно капельно в первый
день, поддерживающая терапия 1 раз в
месяц (6 мес.)

129.

Дополнительные методы патогенетической
терапии СКВ
Плазмаферез (иммуносорбция)
является методом выбора при острых
состояниях и крайне высокой активности
болезни, васкулите, тромбоцитопении,
резистентности к терапии.
Проводится курсом по 3-6 процедур через
день или 2 раза в неделю, а также
программно - 1 раз в месяц ежемесячно в
течение года и более
во избежание синдрома "рикошета"
всегда сочетается с в/в введением
глюкокортикоидов и циклофосфана.

130.

Синхронная интенсивная терапия:
Проведение плазмафереза курсом (3-6
процедур)
с последующей
комбинированой
пульс-терапией
Может проводится ежемесячно в течение 12
месяцев и более.
Внутривенное введение иммуноглобулина
(сандоглобулин, иммуноглобулин человека
нормальный) – 0,4- 2 мг/кг/сут 4-5 дней:
1. Блокада FC-рецепторов и FC-зависимого синтеза
аутоантител,
2. Антиидиотипическая активность,
3. Модуляция активности Т-лимфоцитов и синтеза
цитокинов,
4. Изменение структуры и растворимости
циркулирующих иммунных комплексов.

131.

Биологические иммуномодулирующие препараты
на основе моноклональных антител, полученных
методом генной инженерии
Ритуксимаб –антитела к CD20 рецептору Влимфоцитов (имеется не на всех плазматических
клетках) – в сочетании с метилпереднизолоном и
циклофосфамидом
Эпратузумаб - антитела к CD22 рецептору Влимфоцитов (клинические испытания)
Антицитокиновые препараты (АТ к ФНО-а инфликсимаб, адалимумаб, ИЛ-1, ИЛ-10...)

132.

Нестероидные противовоспалительные
средства (НПВС) диклофенак, мелоксикам,
нимесулид и др.- применяются при суставном
синдроме, миалгиях, лихорадке. Относительно
противопоказаны при активном нефрите и АФС
(потенцирование тромбозов)
Аминохинолиновые препараты - делагил,
плаквенил – при кожно-суставных
поражениях и низкой акитивности, в период
ремиссии
!!! Антиагреганты, антикоагулянты в периоды
обострения при вторичном васкулите, АФС

133. Благодарю за внимание!

English     Русский Правила