Интерэпителиальная локализация сальмонеллы. Электронограмма
Мозговидное набухание групповых лимфоидных фолликулов тонкой кишки при брюшном тифе Макропрепарат
Мозговидное набухание групповых лимфоидных фолликулов тонкой кишки при брюшном тифе. Микропрепарат (гематоксилин и эозин)
Мезентериальный лимфатический узел при брюшном тифе. Микропрепарат (гематоксилин и эозин)
Язвы тонкой кишки при брюшном тифе. Макропрепарат
Шигелла в цитоплазме колоноцита. Электронограмма
Фибринозный колит при дизентерии. Макропрепарат
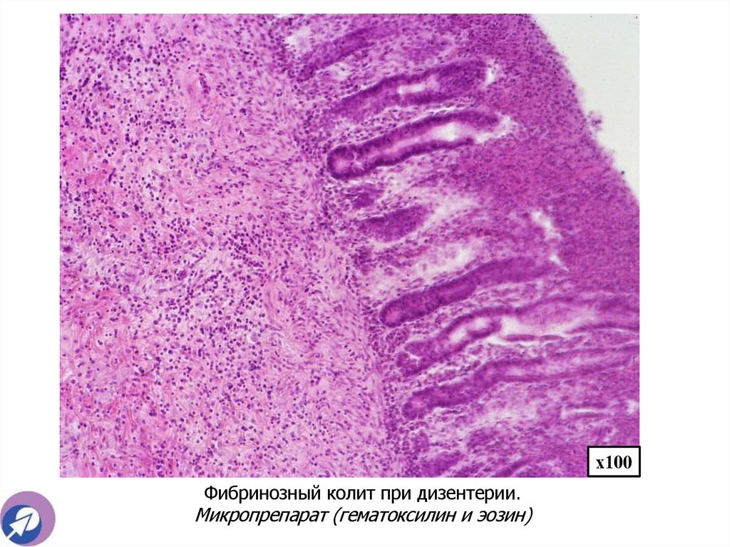
Фибринозный колит при дизентерии. Микропрепарат (гематоксилин и эозин)
Холерный энтерит. Электронограмма
Энтерит при холере. Микропрепарат (гематоксилин и эозин)
Сыпнотифозная экзантема. Микропрепарат (гематоксилин и эозин)
Сыпнотифозный энцефалит. Макропрепарат
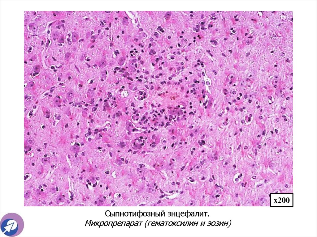
Сыпнотифозный энцефалит. Микропрепарат (гематоксилин и эозин)
Стаз в капиллярах головного мозга при малярии. Микропрепарат (гематоксилин и эозин)
Гемосидероз селезенки. Макропрепарат
Задача № 1
Задача № 2
Задача № 3
6.90M
Категория: МедицинаМедицина

28 Кишечные инфекции

1.

Институт клинической морфологии
и цифровой патологии
Курс «Частная патологическая анатомия»
Занятие № 16
Брюшной тиф. Дизентерия. Холера. Сыпной
тиф. Малярия.

2.


Макропрепараты
Мозговидное набухание групповых лимфоидных фолликулов тонкой кишки при
брюшном тифе. Макропрепарат описать
Язвы тонкой кишки при брюшном тифе. Макропрепарат. Демонстрация
Фибринозный колит при дизентерии. Макропрепарат. Демонстрация
Сыпнотифозный энцефалит. Макропрепарат. Демонстрация
Гемосидероз селезенки. Макропрепарат. Демонстрация

3.


Микропрепараты
Мозговидное набухание групповых лимфоидных фолликулов тонкой кишки при
брюшном тифе. Микропрепарат (гематоксилин и эозин) зарисовать
Мезентериальный лимфатический узел при брюшном тифе. Микропрепарат
(гематоксилин и эозин). Демонстрация
Фибринозный колит при дизентерии. Микропрепарат (гематоксилин и эозин).
Демонстрация
Энтерит при холере. Микропрепарат (гематоксилин и эозин) описать
Сыпнотифозная экзантема. Микропрепарат (гематоксилин и эозин) описать
Сыпнотифозный энцефалит. Микропрепарат (гематоксилин и эозин) описать
Стаз в капиллярах головного мозга при малярии. Микропрепарат (гематоксилин и
эозин) описать
Электронограммы
Интерэпителиальная локализация сальмонеллы. Электронограмма. Демонстрация
Шигелла в цитоплазме колоноцита. Электронограмма. Демонстрация
Холерный энтерит. Электронограмма. Демонстрация

4.

Брюшной тиф — острое кишечное инфекционное заболевание, вызываемое
Salmonella typhi.
Источником инфекции является больной человек или бактерионоситель,
заражение происходит алиментарным путем.
Стадии брюшного тифа:
1. Стадия мозговидного набухания пейеровых бляшек;
2. Стадия некроза пейеровых бляшек;
3. Стадия изъязвления;
4. Стадия чистых язв;
5. Стадия заживления язв.

5. Интерэпителиальная локализация сальмонеллы. Электронограмма

х40000
Интерэпителиальная локализация сальмонеллы.
Электронограмма

6. Мозговидное набухание групповых лимфоидных фолликулов тонкой кишки при брюшном тифе Макропрепарат

7. Мозговидное набухание групповых лимфоидных фолликулов тонкой кишки при брюшном тифе. Микропрепарат (гематоксилин и эозин)

х200
Мозговидное набухание групповых лимфоидных фолликулов тонкой кишки
при брюшном тифе.
Микропрепарат (гематоксилин и эозин)

8. Мезентериальный лимфатический узел при брюшном тифе. Микропрепарат (гематоксилин и эозин)

х200
Мезентериальный лимфатический узел при брюшном тифе.
Микропрепарат (гематоксилин и эозин)

9. Язвы тонкой кишки при брюшном тифе. Макропрепарат

10.

Бактериальная дизентерия (шигеллез) — острое инфекционное заболевание
с симптомами общей интоксикации и поражением преимущественно дистального
отдела толстой кишки.
Возбудителями инфекции являются четыре вида шигелл.
Заражение происходит фекально-оральным путем, механизмы передачи пищевой
(молочный, водный) или контактно-бытовой.
Местные изменения развиваются в слизистой оболочке толстой кишки, главным
образом прямой и сигмовидной, реже — в нисходящей и ободочной кишке.
Стадии дизентерии:
1. Стадия катарального колита;
2. Стадия фибринозного (дифтеритического) колита;
3. Стадия язвенного колита;
4. Стадия заживления язв.

11. Шигелла в цитоплазме колоноцита. Электронограмма

х40000
Шигелла в цитоплазме колоноцита.
Электронограмма

12. Фибринозный колит при дизентерии. Макропрепарат

13. Фибринозный колит при дизентерии. Микропрепарат (гематоксилин и эозин)

х100
Фибринозный колит при дизентерии.
Микропрепарат (гематоксилин и эозин)

14.

Холера — острое карантинное инфекционное заболевание с поражением
желудочно-кишечного тракта и нарушением водно-электролитного баланса
организма.
Холеру вызывает вибрион азиатской холеры (классический) и вибрион Эль-Тор.
Заражение происходит от больного человека или бактерионосителя в основном
при употреблении воды.
Периоды холеры:
1. Холерный энтерит;
2. Холерный гастроэнтерит;
3. Холерный алгид.
Осложнения холеры:
• Неспецифические (пневмония, флегмона, абсцессы);
• Специфические (уремия в результате экстракапиллярного гломерулонефрита).

15. Холерный энтерит. Электронограмма

х40000
Холерный энтерит.
Электронограмма

16. Энтерит при холере. Микропрепарат (гематоксилин и эозин)

х40
Энтерит при холере.
Микропрепарат (гематоксилин и эозин)
х200

17.

Сыпной тиф – острый риккетсиоз с поражением мелких сосудов, головного мозга,
интоксикацией и распространенной розеолезно-петехиальной сыпью.
Возбудитель – риккетсия Провачека.
Источник инфекции – больной человек.
Морфологический субстрат – генерализованный сыпнотифозный васкулит.

18. Сыпнотифозная экзантема. Микропрепарат (гематоксилин и эозин)

х100
Сыпнотифозная экзантема.
Микропрепарат (гематоксилин и эозин)

19. Сыпнотифозный энцефалит. Макропрепарат

20. Сыпнотифозный энцефалит. Микропрепарат (гематоксилин и эозин)

х200
Сыпнотифозный энцефалит.
Микропрепарат (гематоксилин и эозин)

21.

Малярия – инфекционное заболевание, вызываемое простейшим
внутриклеточным паразитом рода Plasmodium и характеризующееся
преимущественным поражением ретикулярной ткани и эритроцитов.
Возбудители: Pl. malariae, Pl. ovale, Pl. falciparum, Pl. vivax.
Морфологические проявления:
анемия;
надпеченочная (гемолитическая) желтуха;
гемосидероз селезенки;
гиперплазия костного мозга.

22. Стаз в капиллярах головного мозга при малярии. Микропрепарат (гематоксилин и эозин)

х100
Стаз в капиллярах головного мозга при малярии.
Микропрепарат (гематоксилин и эозин)

23. Гемосидероз селезенки. Макропрепарат

24. Задача № 1

Больной В., 36 лет, поступил в инфекционную больницу с жалобами на нарастающую
лихорадку, головную боль, периодически наступающую тошноту, боли в области
живота, жидкий стул. Из анамнеза известно, что он приехал из местности, где 6 сут
назад произошла авария в системе водоснабжения. При осмотре в области живота
обнаружена розеолезная сыпь. На 15-й день пребывания в стационаре появились
клинические признаки перитонита. При лапаротомии выявлена перфорация стенки
подвздошной кишки. Произведена резекция кишки.
Вопросы:
1. Каким заболеванием страдает больной и какова была стадия заболевания при
поступлении в больницу?
2. Какие микроскопические изменения происходят в групповых лимфатических
фолликулах тонкой кишки и лимфатических узлах брыжейки в эту стадию
заболевания?
3. Каков патогенез заболевания и с чем связано развитие некроза пейеровых
бляшек?
4. На какой стадии заболевания произошла перфорация кишки и что может быть
провоцирующим фактором?
5. Какие морфологические изменения происходят в стенке кишки при благоприятном
исходе заболевания?

25. Задача № 2

В воинском коллективе отмечена вспышка заболевания, проявляющегося развитием у
заболевших после короткого продромального периода тяжелой диареи со
схваткообразными болями в животе. В каловых массах больных много слизи и
примесь крови.
Вопросы:
1. Какое заболевание развилось у военнослужащих?
2. Какие возбудители могли вызвать это заболевание?
3. Кто мог быть источником заражения и каков путь заражения этим заболеванием?
4. Где и какие морфологические изменения развиваются при этом заболевании?
5. Какие осложнения возможны при этом заболевании?

26. Задача № 3

Больной Р., 56 лет, страдающий хроническим атрофическим гастритом, во время
пребывания в эндемическом очаге заболел азиатской холерой. В стационар поступил в
состоянии резкого обезвоживания, с выраженным акроцианозом, судорогами.
Отмечались морщинистость кожи ладоней («руки прачки»), осиплость голоса (vox
cholerica). В результате инфузионной терапии и введения электролитов проявления
эксикоза уменьшились, но больной вскоре умер от острой почечной недостаточности.
Вопросы:
1. В каком периоде заболевания больной поступил в стационар?
2. Каков механизм развития эксикоза при холере?
3. Какое значение в заболевании больного холерой мог иметь хронический
атрофический гастрит, которым он страдал?
4. Какое осложнение холеры привело к смертельному исходу и каковы причины этого
осложнения?
5. Какие мероприятия, согласно правилам международного карантина, следует
проводить при возникновении холеры и кто должен проводить эти мероприятия?
English     Русский Правила