Лучевая диагностика заболеваний легких
Основные синдромы заболеваний легких
Синдром просветления
Эмфизема легкого
Отсутствие легочного рисунка на фоне просветления
Пневмоторакс
Виды просветления по распространенности:
Пневмоторакс
Синдром затенения-патологическое тенеобразование, которое требует детализации.
Виды ограниченного затенения по форме:
Округлая тень -
Очаговая тень – округлая тень диаметром до 1,5 см.
Диссеминация
Кольцевидная тень – изображения кольца в ортогональной проекции.
Патология легочного рисунка:
Обогащение легочного рисунка - увеличение элементов легочного рисунка на единицу объема.
Обеднение легочного рисунка
Деформация легочного рисунка – изменение характера хода деления, ветвления, калибра легочных сосудов, обезображевание легочного
Патология корня легкого
Патология корня легкого
Нарушение бронхиальной проходимости
1 стадия – гиповентиляция –(частичная непроходимость).
2 стадия – клапанное вздутие.
3 стадия – ателектаз - полная непроходимость
Лучевая диагностика воспалительных заболеваний легких
Острая первичная пневмония
Стадии острой пневмонии
Стадии острой пневмонии
Рентгенологическая картина при острой пневмонии
Осложнения и исходы острых пневмоний
Экссудативный плеврит
Осумкованный плеврит
Пристеночный (паракостальный)
Исходы пристеночных плевритов:
Апикальный (верхушечный)
Междолевой (интерлобарный)
Диафрагмальный (базальный) плеврит
Абсцесс легкого
Динамика формирования абсцесса
Абсцесс левого легкого в стадии дренирования с горизонтальным уровнем жидкости.
Динамика формирования абсцесса
Исходы абсцесса:
Исходы вторичной полости легкого
Рентгенологическая картина при бронхите
Лучевая диагностика рака легкого
Классификация рака легкого
Центральный рак легкого
Периферический рак легкого
Периферический рак легкого
Периферический рак легкого
Периферический рак легкого
28.93M
Категория: МедицинаМедицина

луч. д-ка заболев. легких

1. Лучевая диагностика заболеваний легких

2. Основные синдромы заболеваний легких

• Синдром просветления
• Синдром затемнения
• Синдром патологии легочного рисунка
• Синдром патологии корня легкого

3. Синдром просветления

• «светлое на фоне светлого»
• Сравниваем с симметричной областью с другой
стороны
• Важный критерий – наличие или отсутствие
легочного рисунка на фоне просветления

4. Эмфизема легкого

• Сочетание синдрома просветления с
обеднением легочного рисунка и
увеличением объема (дольки/субсегмента,
сегмента/нескольких сегментов)
• В отличии от эмфизематозной
трансформации, эмфизема является
необратимым процессом

5. Отсутствие легочного рисунка на фоне просветления

Внутрилегочная локализация
Характерно для абсцесса
легкого, туберкулезной каверны,
полостных форм рака легкого,
воздушных кист – то есть любых
деструктивных процессов
В плевральной полости
Характерно для пневмоторакса
Важно оценить степень
колабирования (т.е. спадения)
легкого в сравнении с
первоначальным объемом:
Колабирование легкого на ½ от
первоначального объема
Колабирование легкого на 2/3 от
первоначального объема
Апикальный пневмоторакс

6. Пневмоторакс

• Характеризуется синдромом просветления с
отсутствием на его фоне легочного рисунка
• Необходимо указать степень коллабирования
легкого
• Важно оценить положение органов
средостения – при пневмотораксе они будут
смещены в сторону здорового легкого
согласно распределению градиента давления
(т.е. смещены в сторону меньшего давления)

7. Виды просветления по распространенности:

• Распространенное - критерием является
размер легочного поля:
Субтотальное – просветление занимает половину
или 2/3 легочного поля
Тотальное – объем просветления равен размеру
легочного поля
• Ограниченное – просветление в пределах
фрагмента легочного поля

8.

• Синдром просветления в нижне-латеральном отделе правого легочного поля.
Правосторонний ограниченный пневмоторакс. Органы средостения смещены
влево. Правая плевральная полость дренирована.

9. Пневмоторакс

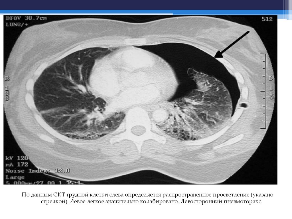
По данным СКТ грудной клетки слева определяется распространенное просветление (указано
стрелкой). Левое легкое значительно колабировано. Левосторонний пневмоторакс.

10. Синдром затенения-патологическое тенеобразование, которое требует детализации.

• ХАРАКТЕРИСТИКИ ЗАТЕМНЕНИЯ
1. Интенсивность:
Высокая – тень перекрывает тени костных структур;
Средней интенсивности – равна по плотности тени крупных сосудов;
Малая – равна интенсивности тени периферических сосудов.
2. Структура тени:
Однородная;
Неоднородная – сочетание участков различной интенсивности, сочетание
затемнения и просветления.
3. Наружные контуры тени:
Четкие/нечеткие;
Ровные/неровные/бугристые/полициклические (несколько выпуклых контуров);
4. Распространенность:
Ограниченное (несколько см) – обязательно указывать пораженные сегменты/доли;
Распространенное – обязательно указать положение органов средостения:
Тотальное
Субтотальное

11.

На рентгенограмме грудной клетки – субтотальное затемнение справа в
сочетании с ограниченным апикальным просветлением. Между ними горизонтальный уровень жидкости. Органы средостения смещены влево.
Правосторонний массивный пневмоплеврит.

12.

На рентгенограмме
грудной клетки
справа – субтотальное
затемнение, над
которым –
ограниченное
просветление. Между
ними –
горизонтальный
уровень жидкости.
Органы средостения
смещены влево.
Правосторонний
массивный
пневмоплеврит.

13.

На рентгенограмме грудной клетки – правостороннее тотальное затемнение
средней интенсивности. Органы средостения смещены влево.
Правосторонний массивный экссудативный плеврит.

14. Виды ограниченного затенения по форме:

• Округлая тень;
• Кольцевидная тень;
• Очаговая тень;
• Диссеминированные тени.

15. Округлая тень -

Округлая тень • Истинная - если в прямой и боковой
проекциях определяется тень шаровидной
формы.
• Ложная - если в одной проекции – округлая
тень, а в другой тень прямоугольной формы
по типу монеты, поставленной на ребро.

16.

В нижней доле левого легкого – округлая тень средней интенсивности
с четкими, тяжистыми контурами, ориентированными к корню
легкого. Периферический рак левого легкого.

17. Очаговая тень – округлая тень диаметром до 1,5 см.

Виды:
•Крупноочаговая;
•Мелкоочаговая;
•Среднеочаговая;
•Миллиарные тени до 0,2 – 0,3 см в диаметре.
Также необходимо указывать размеры, структуру,
количество, интенсивность, характер контуров,
распространенность, а также детальную
характеристику прилежащего легочного рисунка

18. Диссеминация

Сочетание множественных очагов дает картину
синдрома диссеминации
По виду:
•Диффузная двусторонняя;
•Диффузная двусторонняя ассиметричная
•Диффузная односторонняя
•Диффузная односторонняя субтотальная
•Диффузная односторонняя ограниченная

19.

Двусторонняя, ассимметричная диссеминация. Очаговые тени
ориентированы по ходу лёгочных артерий. Синдром «ёлочной гирлянды»
или «синдром бус». Диссеминированный туберкулез легких.

20. Кольцевидная тень – изображения кольца в ортогональной проекции.

Характеристики:
•Наружный диаметр;
Разница между ними
равна толщине стенки
•Внутренний диаметр;
•Количество: одиночная/единичные/многочисленные;
•Внутренний контур: четкий, ровный/неровный,
бугристый, бухтообразный, секвестроподобный.
•Плотность стенки: выраженная/умеренная

21.

С обеих сторон – единичные кольцевидные тени, крупных
размеров, с тонкими стенками. Врожденный двусторонний
поликистоз легких.

22. Патология легочного рисунка:

• Обогащение легочного рисунка
• Обеднение легочного рисунка
• Усиление легочного рисунка
• Деформация легочного рисунка
• Отсутствие легочного рисунка

23. Обогащение легочного рисунка - увеличение элементов легочного рисунка на единицу объема.

• Патологоанатомическая сущность: полнокровие сосудов
легких- гиперемия.
*Важным критерием является протяженность обогащенного
легочного рисунка
• Например:
начальная стадия пневмонии (стадия прилива) - ограниченное по
протяженности увеличение легочного рисунка
при ОРВИ – двустороннее, равномерное
при остром воспалительном заболевании - обогащение по
периферии участка воспалительной инфильтрации

24.

С обеих сторон – распространенное выраженное обогащение
легочного рисунка. Проявления ОРВИ.

25.

Усиление легочного рисунка подчеркнутость элементов легочного рисунка
за счет периваскулярного и
перибронхиального фиброза.

26. Обеднение легочного рисунка

Уменьшение количества элементов легочного
рисунка на единицу площади.
•Причины:
-варианты и аномалии развития сосудов
малого круга;
-эндартериит сосудов легких;
-наличие пристеночных тромбов при
тромбоэмболии ветвей легочных артерий;
-периферический тип застоя крови

27. Деформация легочного рисунка – изменение характера хода деления, ветвления, калибра легочных сосудов, обезображевание легочного

рисунка: сближение,
раздвигание, нарушение формы по ходу легочных артерий.
• Чаще всего является следствием рубцевания.
• По степени выраженности:
а) незначительная
б) умеренная (пневмония)
в) выраженная
г) обезображивающая (туберкулез легких)
• По протяженности:
а) односторонняя
б) двусторонняя
в) ограниченная
г) распространительная
д) субтотальная
е) тотальная

28. Патология корня легкого

1 этап – потеря структурности тени корня –
гомогенизация (однородность) по причине
воспаления и отека бронхопульмональной
группы лимфатических узлов.
2 этап – уплотнение - повышение плотности
тени корня в результате гиперплазии
лимфатических узлов.
3 этап - расширение корня/корней –
увеличение поперечного размера.
Происходит за счет дальнейшего
увеличения лимфатических узлов.

29. Патология корня легкого

4 этап – тяжистость тени корня легкого.
Характеризуется радиарным
расположением линейных теней от центра к
периферии.
5 этап – отсутствие тени корня легкого – за счет
проекционного наложения плотной тени, в
результате оперативного вмешательства.

30.

На рентгенограмме грудной клетки – синдром патологии корней легких. Изменения в
виде интенсивных теней крупных размеров высокой интенсивности с бугристыми и
тяжистыми контурами. В прикорневых зонах - обогащение легочного рисунка.

31.

На рентгенограмме грудной клетки – патология левого корня в виде интенсивной тени,
однородной структуры с бугристыми и лучистыми контурами. Центральный рак левого
легкого – перибронхиально-узловая форма.

32.

То же наблюдение. Патологическая тень представлена мультицентрической
разновидностью опухолевых узлов с бугристыми контурами.

33. Нарушение бронхиальной проходимости

34. 1 стадия – гиповентиляция –(частичная непроходимость).

1 стадия – гиповентиляция –
(частичная непроходимость).
• Частичная непроходимость заключается в
сужении бронха на 50-70%, из-за чего в
альвеолы, которые вентилируются этим
бронхом, поступает недостаточное
количество воздуха, что проявляется
снижением прозрачности легочной ткани в
пределах участка поражения.

35.

Рентгенологическая картина:
• гиповентиляция - затемнение слабой либо
средней интенсивности
• при поражении всего легкого - смещение
средостения в больную сторону

36. 2 стадия – клапанное вздутие.

• Клапанная непроходимость.
• Сужение бронха значительное - до 90-95% при вдохе бронх расширяется, воздух
поступает на периферию в альвеолы.
• При выдохе- воздух выходит не полностьюлегочная ткань переполняется воздухомобтурационная эмфизема. Ведущий синдром
– просветление.

37.

• R картина:
• Повышается прозрачность легкого в зоне
нарушения вентиляции
• Обеднение легочного рисунка в пределах зоны
поражения
• Увеличение объема пораженного участка легкого
• Выбухание легочной ткани через межреберные
промежутки
• Смещение средостения в противоположную
сторону

38. 3 стадия – ателектаз - полная непроходимость

• Полная непроходимость – обтурация.
• Уменьшение объема пораженного участка
легкого в пределах зоны ателектаза.
Рентгенологическая картина:
• Интенсивное гомогенное затемнение
треугольной формы с вогнутыми контурами
• При ателектазе доли, легкого – смещение
органов средостения в сторону поражения.

39.

Клапанное вздутие правого легкого. Ведущий синдром –
тотальное просветление. Органы средостения смещены влево.

40.

Ателектаз верхней доли правого легкого. Однородное, интенсивное
затемнение с вогнутым контуром.

41.

То же наблюдение. Боковая проекция. Треугольной формы
затемнение с вогнутыми контурами, высокой интенсивности,
однородной структуры, верхушкой обращенное к корню легкого.

42. Лучевая диагностика воспалительных заболеваний легких

43. Острая первичная пневмония

Классификация острых пневмоний
1.Острые первичные пневмонии
а)бактериальные (стаф.,стрепт.,пневмок.)
б)вирусные
в)грибковые
г)паразитарные
2.Острые вторичные пневмонии
а)гипостатическая
б)застойная
в)токсическая

44. Стадии острой пневмонии

1 стадия – прилива: полнокровие – обогащение
легочного рисунка в пределах зоны поражнения.
2 стадия – красного опеченения:
•Характеризуется умеренной лейкоцитарной инфильтрацией,
тромбированием мелких легочных артерий.
•Проявляется синдромом затемнения (что является прямым
признаком пневмонии).
•Размеры затемнения несколько см. на несколько см., иногда на
его фоне – полоски просветления линейной формы (бронхи).
Затемнение средней интенсивности .
3 стадия – серого опеченения:
Также проявляется наличием затемнения, однако интенсивность
возрастает за счет нарастания лейкоцитарной инфильтрации и
выпадения фибрина, бронхи не дифференцируются.

45. Стадии острой пневмонии

4 стадия – разрешения (рассасывания):
•Ограниченное затемнение начинает
фрагментироваться: тень дробится на более
мелкие участки.
•Далее размер фрагментов уменьшается, однако
вокруг сохраняется обогащенный легочной
рисунок.
•Развитие волокнистой соединительной ткани на
месте очага затемнения – пневмосклероз, что
является признаком исхода разрешившейся
острой пневмонии.

46. Рентгенологическая картина при острой пневмонии

Основной рентгенологический синдром – затемнение (т.е.
воспалительная инфильтрация легочной ткани).
2 варианта затемнения:
•1) очаговые тени – несколько теней, размерами до 1,5 см.,
незначительной плотности с нечеткими контурами, однородной
структуры, вокруг – обогащение легочного рисунка. В стадии
серого опеченения интенсивность теней нарастает.
•2) ограниченное затемнение средней интенсивности с нечеткими
контурами.

47.

На протяжении наружного
сегмента средней доли
правого легкого –
ограниченное затемнение
средней интенсивности с
нечетким внутренним
контуром. По периферии
легочной рисунок обогащен.
Острая первичная
правосторонняя
среднедолевая сегментарная
(S-4) пневмония.

48.

На протяжении верхней доли правого легкого, сублобарно – интенсивное однородное
затемнение с четкими контурами. Острая первичная правосторонняя сублобарная
верхнедолевая пневмония.

49. Осложнения и исходы острых пневмоний

I. Благоприятный – полной рассасывание.
II. Осложнения:
1. Экссудативный плеврит;
2. Осумкованный плеврит:
а)верхушечный (апикальный)
б)пристеночный (паракостальный)
в)диафрагмальный (базальный)
г)медиастенальный
д)междолевый (интерлобарный)
III. Абсцедирование

50.

Острая первичная правосторонняя верхнедолевая пневмония,
осложненная мультицентрической формой абсцедирования.

51.

То же наблюдение. На томограмме на фоне затемнения
многочисленные, разнокалиберные участки просветления.

52. Экссудативный плеврит

Стадии:
1. экссудация
2. рассасывание
3. отграничение, уплотнение и осумкование
•УЗИ: небольшое количество жидкости в заднем
реберно-диафрагмальном синусе
•Рентгенологическая картина: однородное, высокой
интенсивности затемнение с четким контуром,
ориентированным кнаружи и кверху по линии
Демуазо-Соколова.
•Органы средостения расположены нормально при
умеренном проявлении, при нарастании количества
экссудативного процесса – смещение органов
средостения в противоположную сторону.

53.

Тотальное левосторонне интенсивное затемнение. Органы
средостения смещены вправо. Массивный левосторонний
экссудативный плеврит.

54. Осумкованный плеврит

Рентгенологическая картина:
•Ограниченное затемнение различной формы –
▫ Полуовальной/полуверетенообразной формы - при
паракостальном плеврите.
▫ Затемнение верхушки с нижним «провисающим», выпуклым
контуром – при апикальном плеврите.
▫ Округлой/овальной формы с четкими контурами – при
междолевом плеврите.
▫ Овальная/треугольная тень, широким основанием обращенная к
диафрагме, а верхушкой ориентированная по ходу междолевой
щели – при диафрагмальном плеврите.
•Затемнение однородное, контуры четкие, вокруг
может быть усиление легочного рисунка

55.

56. Пристеночный (паракостальный)

• Ограниченное затемнение полуовальной или
полуверетенообразной формы, прилежащее
широким основанием к реберным
поверхностям
• Структура затемнения однородная, контур
четкий, выпуклый медиально.
• Легочной рисунок может быть усилен за счет
воспалительных реакций.

57. Исходы пристеночных плевритов:

1) Рассасывание
2) Уплотнение плевры (остаточное явление)
3) Облитерация междолевых щелей,
прилежащих участков париетальной и
висцеральной плевры – плевральные
сращения.
4) Обызвестление в пределах скопления
жидкости и прилежащей плевры –
инкрустация плевры.

58. Апикальный (верхушечный)

• Нередко у больных туберкулезом.
• Снижение прозрачности верхушки легкого,
затемнение значительной плотности, с
нижним выпуклым «провисающим»
контуром.
• Контуры четкие, ровные.
• Легочной рисунок усилен по периферии.

59. Междолевой (интерлобарный)

• Очерченная тень округлой или овальной
формы с четкими контурами –
топографически соответствует
расположению междолевых щелей.
• Форма тени чаще веретенообразная,
линзообразная.

60. Диафрагмальный (базальный) плеврит

• Овальная или треугольная тень, широким
основанием прилежит к диафрагме с
вершиной по ходу междолевых щелей.

61. Абсцесс легкого

Виды:
•Первично крупный очаг
•Развитие фокуса воспалительной
инфильтрации из других очагов при
неблагоприятных условиях

62. Динамика формирования абсцесса

• 1 этап: ограниченное затемнение достаточно однородной
структуры с нечеткими контурами (стадия острого воспаления)
по периферии - обогащенный легочной рисунок.
• 2 этап: формируется более интенсивный участок, на
протяжении ограниченного затемнения неоднородной
структуры, то есть имеется участок с еще большей
интенсивностью.
• 3 этап – фаза дренирования: излитие гнойных масс через
расплавленную стенку бронха (клинически – кашель с гнойной
мокротой).
Рентгенологическая картина: участок ограниченного затемнения
неоднородной структуры, в верхнем участке которого определяется
участок просветления, на фоне которого отсутствует легочной
рисунок, ниже которого определяется зона однородного затемнения
высокой интенсивности, разделенные горизонтальным уровнем
жидкости.

63.

Осложнение пневмонии – абсцесс нижней доли
правого легкого в стадии дренирования.

64.

То же
наблюдение.
Боковая
проекция.

65. Абсцесс левого легкого в стадии дренирования с горизонтальным уровнем жидкости.

66. Динамика формирования абсцесса

4 этап: обратное развитие абсцесса при
благоприятном течении:
•а) при адекватном лечении происходит прогрессивное
уменьшение количества жидкости в полости абсцесса –
однородное затемнение в области очага уменьшается до
ограниченной, менископодобной тени;
•б)происходит выпрямление внутренних контуров;
•в) истончается стенка за счет рассасывания по внутреннему и
наружному контурам тени;
•г) происходит дальнейшее истончение стенки, изменяется форма
затемнения – округлое образование вытягивается в овальное,
эллипсовидное. Со временем формируется стойкая вогнутая
форма.
При благоприятном течении – формирование плоскостного
рубца и его дальнейшее рассасывание.

67. Исходы абсцесса:

• Рассасывание – при благоприятном течении.
• Возникновение вторичного полостного
образования - при неблагоприятном течении.
• Прорыв в плевральную полость:
рентгенологически проявляется признаками
наличия свободной жидкости в плевральной
полости – пиоторакс.

68. Исходы вторичной полости легкого

а) переход в хроническое, рецидивирующее течение –
внутри появляется затемнение (сначала
менископодобное, затем горизонтальный уровень
жидкости, что свидетельствует о прорыве в бронх)
Вокруг - обогащенный легочной рисунок, за счет
воспаления.
б) развитие аспергиломы в остаточной полости: в
пределах кольцевидной тени появляется
ограниченные затемнения неправильной формы с
неровными, выпуклыми контурами, средней
интенсивности.

69. Рентгенологическая картина при бронхите

Острый бронхит – результаты клинического
обследования.
Рецидивирующий и хронический бронхит:
•Усиление легочного рисунка (за счет
длительно существующего эндобронхита)
•Уплотнение стенки бронхов, линейные тени
по типу железнодорожной колеи
•Может быть ограниченная или
распространенная деформация легочного
рисунка

70.

Очаговый туберкулез верхней доли левого легкого. Очаговые тени средней и
высокой интенсивности на протяжении верхушечно-заднего сегмента в различных
фазах течения специфического воспаления.

71.

Инфильтративный туберкулёз верхушечного сегмента верхней доли левого легкого в фазе
распада. Характерно появление дорожки к левому корню.

72. Лучевая диагностика рака легкого

73. Классификация рака легкого

I.
Центральный – развивается из слизистой оболочки
бронхов 1-3 порядка:
1. Эндобронхиальная форма
2. Перибронхиально-узловая
3. Перибронхиально-разветвленная форма
II. Периферический – развивается из слизистой
оболочки бронхов 4 калибра и далее до альвеол:
1.
2.
3.
4.
Пневмониеподобная форма
Округлая форма опухоли
Верхушечный рак (опухоль Панкоста)
Бронхиоло-альвеолярная форма

74. Центральный рак легкого

1) Эндобронхиальная форма – характеризуется
ростом ракового узла «in situ».
▫ Так как нет выхода за пределы бронха – все
изменения происходят внутри бронха
▫ Рентгенологически – картина нарушения
бронхиальной проходимости (все 3 стадии)
2) Перибронхиально-узловая форма
▫ Уровень поражения тот же, но есть
дополнительные признаки
▫ Опухоль растет в просвет бронха, однако
сужение просвета бронха при этом
функционально незначительно и нарушения
бронхиальной проходимости отсутствуют

75. Периферический рак легкого

1) Пневмониеподобная форма:
•Достаточно торпидное (медленное) течение роста
опухоли
•Опухоль однородной структуры, с волнистыми
контурами.
•Со временем вокруг этой тени по всему периметру
развивается нарушение воздухоносности за счет застоя
крови.
•В дальнейшем нарастает объем пораженного легкого за
счет присоединившейся пневмонии.
•Для уточнения изменений рекомендуется выполнить
любой вид томографии: картина неоднородного
затемнения - в центральных отделах будет высокая
интенсивность и однородная структура, а вокруг, в виде
перифокального воспаления за счет пневмони.

76. Периферический рак легкого

2) Округлая форма
•Образуется из 3-4 узлов (мелких), каждый из них
увеличивается в размерах и появляется единая тень,
похожая на округлую тень
•Бугристость наружных контуров этой единой тени
определяется каждым очагом – мультицентрический
принцип развития
•Со временем (но достаточно быстро) появляются
спикулы, направленные в сторону корня легкого. Затем и
сама опухоль распространяется в сторону корня за счет
периваскулярного и перибронхиального роста раковой
опухоли.

77.

• Тяжи формируют дорожку, так же за счет ракового
лимфангита – застой лимфы в зоне поражения.
Раковый лимфангит проявляется в виде усиления
легочного рисунка, «сотовидный рисунок»
• При дальнейшем росте опухоль увеличивается в
размерах, по ее медиальному контуру появляется
вырезка Ридлера - углубление в месте приводящего
бронха.
• Также формируется симптом гантели – биполяр,
один из полюсов которого образован
периферическим раковым узлом, другой – метастазами
в корень легкого, а между ними дорожка.

78. Периферический рак легкого

3) Верхушечный рак (опухоль Панкоста)
Затемнение на верхушке, однородной структуры,
высокой интенсивности, с бугристыми контурами.
Опухоль растет в 2х направлениях:
•Традиционно к корню
•Распространяется кзади, доходит до задних отрезков
2-3 ребра и разрушает их, образуя вторичную опухоль
– распространение раковой опухоли по продолжению.
Поражение ребер при этом классифицируют как
вторичную злокачественную опухоль.
Клиническая картина: боли в надплечье, симптом
Горнера.

79. Периферический рак легкого

4) Бронхиоло - альвеолярная форма
•Часто двусторонность поражения альвеол и
мелких бронхов.
•Нередко наступает деструктивный процесс.
•Для уточнения выявленных изменений
назначаем спиральную компьютерную
томографию.
English     Русский Правила