Методы обс­ледования стоматологического больного. Болезни зубов: кариес, пульпит, периодонтит. Болезни слизистой полости рта.
Зубная формула
Зубная формула
Дополнительные методы обследования
Строение зуба и прилегающих тканей
Кариес
Кариес
Пульпит
Лечение кариеса Эндодонтическое лечение
Периодонтит
Гингивит
Травмы СОПР
Поражения СОПР при инфекционных заболеваниях
Поражения СОПР при специфических заболеваниях
Поражения СОПР при вирусных и грибковых заболеваниях
Проявления ВИЧ-инфекции
Аллергические и токсико-аллергические заболевания СОПР
Предраковые заболевания, доброкачественные и злокачественные образования
Аппликационное обезболивание Инфильтрационное обезболивание
Проводниковое обезболивание у бугра верхней челюсти
Проводниковое обезболивание у подглазничного отверстия
Обезболивание у резцового отверстия
Обезболивание у нижнечелюстного отверстия
Обезболивание у подбородочного отверстия
Различают три конструкционных вида карпульных шприцов: пружинные, блоковидные, байонетные.
Операция удаления зуба
Способы держания щипцов
Атипичное удаление зубов
Ситуационные задачи
Ситуационные задачи
33.26M
Категория: МедицинаМедицина

Тема №1Бол зуб и сопр

1. Методы обс­ледования стоматологического больного. Болезни зубов: кариес, пульпит, периодонтит. Болезни слизистой полости рта.

Методы обследования стоматологического больного.
Болезни зубов: кариес, пульпит, периодонтит.
Болезни слизистой полости рта.
Особенности обезболивания в ЧЛО.
Операция удаления зуба.
• Значение изучения данной темы для последующего обучения в вузе и будущей
практической деятельности. Освоение студентами лечебного факультета знаний по
болезням зубов, слизистой полости рта, особенностям обезболивания в ЧЛО и
приобретение навыков обследования стоматологического больного, является основой для
последующего успешного обучения в вузе по специальности и в дальнейшей практической
деятельности.
• Цель занятия: Изучить методы обследования стоматологического больного; болезни зубов:
кариес, пульпит, периодонтит; болезни слизистой полости рта; особенности обезболивания
в ЧЛО; операцию удаления зуба.

2.

Студент должен знать: организацию стоматологической службы в системе
здравоохранения РФ; анатомо-физиологические особенности челюстно-лицевой области
(ЧЛО), зубо-челюстной системы; методы обследования органов ЧЛО; этиологию, патогенез,
клиническую картину, принципы лечения и профилактики заболеваний зубов и слизистой
полости рта; проявления соматической патологии в полости рта; проявления ВИЧ- инфекции
в полости рта; особенности обезболивания в ЧЛО, показания, противопоказания к операции
удаления зуба.
Студент должен уметь: проводить клиническое обследование ЧЛО и полости рта
(оценить конфигурацию лица, состояние кожных покровов, слизистых оболочек и органов
полости рта, состояние зубов); провести описание дентальных рентгенограмм.
При решении ситуационных задач студент должен уметь: назначить и оценить
результаты дополнительных методов обследования при заболеваниях зубов и слизистой
полости рта (в т.ч. чтение рентгенограмм); проводить дифференциальную диагностику
основных стоматологических заболеваний и заболеваний внутренних органов; составить план
лечения; определить показания для госпитального лечения в конкретной ситуации; оказать
содействие в профилактике основных стоматологических заболеваний.
Студент должен владеть: методикой обследования органов и тканей ЧЛО (с помощью
шпателя, стоматологического зеркала и зонда с описанием зубной формулы)

3.

Базисные разделы для повторения, полученные студентом на смежных дисциплинах:
• 1. Анатомия челюстей и зубов.
• 2. Иннервация, кровоснабжение ЧЛО.
• 3. Анатомо-физиологические особенности ЧЛО.
• 4. Асептика, антисептика.
• 5. Общехирургический инструментарий.
• 6. Фармакологическая характеристика лекарственных препаратов (используемых в
стоматологии: антибиотики, общие и местные анестетики, кератопластические средства и
т.д.).

4.

Вопросы для повторения и изучения при подготовке к занятию:
• Какое место занимает стоматология среди других медицинских дисциплин? Кто из
отечественных медиков внес вклад в стоматологию?
• Виды стоматологической помощи. Организация стоматологической службы.
• Методика обследования больного с заболеваниями зубов и слизистой полости рта.
• Дополнительные методы обследования, используемые в стоматологии.
• Болезни зубов: кариес, пульпит, периодонтит. Методы диагностики, принципы лечения.
Профилактика кариеса.
• Состояние и патология СОПР. Пародонтит. Особенности клиники, дифференциальная
диагностика, принципы лечения.
• Что включает в себя санация полости рта?
• Проявления общих заболеваний в полости рта?
• Проявления ВИЧ-инфекции в ЧЛО.
• Виды обезболивания.
• Показания и противопоказания к операции удаления зуба.

5.

Обследование стоматологического больного
Клиническое обследование больного проводят с целью постановки
диагноза.
Оно состоит из выяснения жалоб больного, анамнеза заболевания,
оценки местного статуса, общих симптомов.
Жалобы, анамнез:
Расспрос начинают с выяснения жалоб в момент обращения
пациента в медицинское учреждение.
При этом выясняют характер, длительность, интенсивность болей,
давность и причину их возникновения, выявляют характер ранее
проведенного лечения и его эффективность.
Данные анамнеза и жалобы больного при внимательном их
изучении позволяют установить первые признаки заболевания, на
основе которых можно целенаправленно проводить дальнейшее
обследование больного.
Необходимо определить перенесенные и сопутствующие
заболевания, переносимость лекарственных веществ,
аллергический статус больного, условия жизни и труда.

6.

Объективное обследование:
Внешний осмотр
При осмотре, который является первым приемом
объективного обследования, обращают внимание на внешний
вид больного, конфигурацию лица, цвет кожи, наличие
асимметрий и дефектов. Изменение конфигурации лица
возможно при травме, воспалительных процессах,
новообразованиях и пр. Ограниченная гиперемия кожных
покровов характерна для абсцессов, флегмон, рожистого
воспаления.
При воспалительных процессах лимфатические узлы
увеличены, подвижны, болезненны, что является проявлением
реактивности организма.

7.

Объективное обследование:
• После внешнего осмотра приступают к осмотру полости рта,
которое производят с помощью стоматологического зеркала,
шпателя, зонда и пинцета. В начале определяют степень
открывания рта, функцию височно-нижнечелюстных суставов
(экскурсия головок нижней челюсти, движение челюсти при
открывании и закрывании рта, совпадение срединной линии зубов
верхней и нижней челюстей), вид прикуса.
• Продолжая осмотр, необходимо определить состояние оболочки
полости рта, ее цвет, увлажненность, особенно при наличии жалоб
на изменение слюноотделения, если меняются подозрения на
заболевание слюнных желез, исследуют их выводные протоки.
• Камень в протоках выявляют методом бимануальной пальпации.
Функцию околоушных слюнных желез определяют по выделению
секрета, при легком массаже железы. Если секрет не выделяется
или после длительного массажа появляется только одна капля
мутного секрета, то это указывает на заболевание слюнной
железы.

8.

• При осмотре языка обращают внимание на его размер, цвет, выраженность сосочков
(гипертрофия, участки десквамации).
• Пальпация (ощупывание) применяется для определения состояния тканей лица и слизистой
оболочки рта, границ опухоли и припухлости, спаянности участка поражения с
подлежащими тканями. С помощью пальпации выявляют наличие воспалительного
инфильтрата, болезненности, флюктуации, симптом пергаментного хруста.
• Пальпация имеет важное диагностическое значение при оценке характера язв: наличие
плотных малоболезненных или безболезненных краев при условии длительного срока ее
существования является признаком, характерным для злокачественной опухоли.

9.

• При исследовании зубных рядов необходимо обратить внимание на положение зубов в
зубной дуге. Это могут быть сверхкомплектные, аномалийно расположенные зубы.
Обращают внимание на форму коронок зубов, цвет эмали и ее состояние. Потемнение
эмали интактного зуба может указывать на гибель пульпы, или является следствием
кровоизлияния во время травмы.
• При осмотре полости рта необходимо осматривать все зубы, а не только тот, который
беспокоит больного в данный момент, обращать внимание на наличие кариозной полости,
ее размеры, качество пломбирования.
• С помощью пальпации определяют подвижность зубов.
• Различают три степени подвижности зубов: I – незначительное смещение в одном
направлении, II – смещение в двух направлениях, III – смещение в горизонтальной и
вертикальной плоскостях.
• Для определения состояния периодонта используют перкуссию – постукивание по
режущему краю либо жевательной поверхности зуба пинцетом или ручкой зонда.
• При наличии воспалительного процесса в периодонте от легких даров, на которые
нормальный периодонт не реагирует, возникает боль. Удары не должны быть сильными, а
начинать перкуссию следует со здоровых зубов.

10. Зубная формула

11. Зубная формула

12.

Дополнительные методы:
• рентгенологические,
• функциональные (электроодонтометрия, эстезиометрия, реография, полярография, зхоостеометрия и
др.),
• лабораторные (морфологические, бактериологические, иммунологические, клинический и
биохимический анализ крови, мочи и др).
• Рентгенологические: применяется внутри- и внеротовая рентгенография, панорамная
рентгенография, когда на пленке получают изображение обеих челюстей и всех зубов.
• Для уточнения локализации инородных тел, границ опухоли, при заболеваниях височнонижнечелюстного сустава используется послойная рентгенография- томография.
• При заболеваниях слюнных желез, хроническом остеомиелите челюстей, радикулярной кисте
применяют контрастную сиало- и фистулографию.
• В последние годы в диагностике патологических процессов челюстно-лицевой области значительное
распространение получили методы ультразвуковой диагностики и компьютерной томографии.
• Электроодонтометрия – измерение минимальной сила тока, на которую реагирует пульпа и ткани
периодонта.
• Реакция больного в норме возникает при воздействии электрическим током на здоровый зуб силой 26 мкА.

13. Дополнительные методы обследования

14. Строение зуба и прилегающих тканей

15.

Заболевания зубов

16. Кариес

17. Кариес

18. Пульпит

19. Лечение кариеса Эндодонтическое лечение

20. Периодонтит

21.

Заболевания пародонта
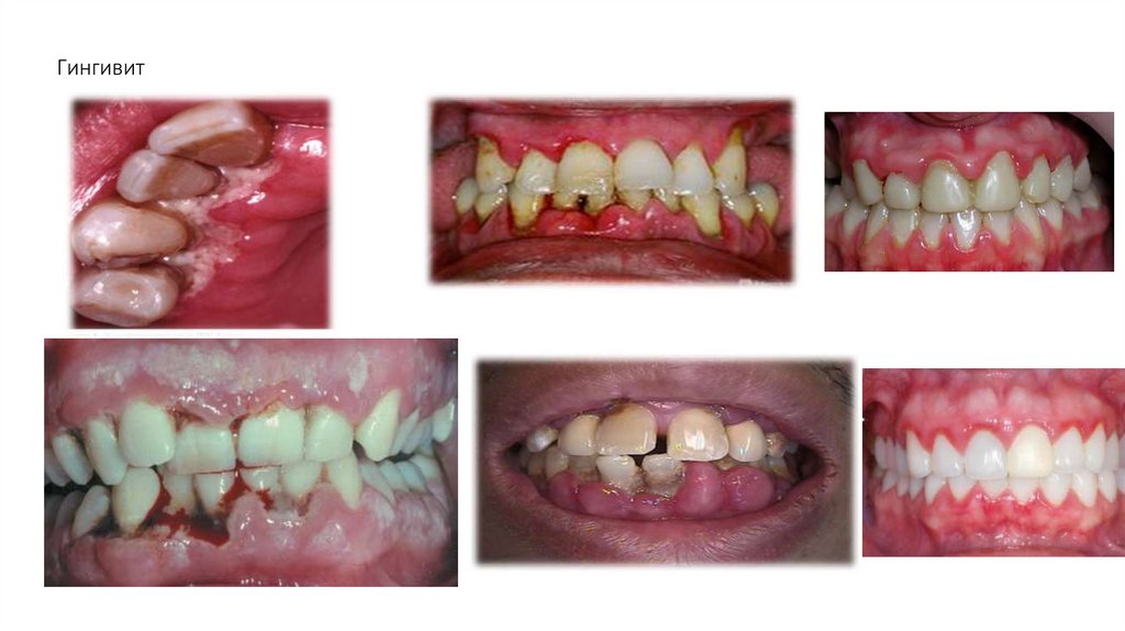
• Гингивит – воспаление десны (выше или ниже зубо-десневого прикрепления), обусловленное
неблагоприятным воздействием общих и местных факторов и протекающее без нарушения
целостности зубодесневого прикрепления.
• Формы: катаральный, гипертрофический, язвенный.
• Течение: острое, хроническое, обострившееся, ремиссия.
• Распространенность: локализованный, генерализованный.

22. Гингивит

23.

Заболевания пародонта
• Пародонтит – воспаление тканей пародонта,
характеризующееся прогрессирующей
деструкцией периодонтальной связки и кости.
Воспалительный процесс переходит зубодесневое соединение, локализуется в
пародонте (десна, кость, связка, цемент).
• Течение: острое, хроническое, обострившееся
(в том числе абсцедирующее), ремиссия.
• Тяжесть: легкая, средняя, тяжелая. Критерий
тяжести пародонтита – степень деструкции
кости.
• Распространенность: локализованный,
генерализованный.
• Пародонтоз – атрофически-дистрофический
процесс. Характерно отсутствие
воспалительного процесса и пародонтального
кармана, зубного камня нет. Тяжесть по
степени обнажения корня зуба.

24.

Заболевания пародонта
• Пародонтомы – опухоли и опухолеподобные
заболевания: эпулиды, фибромы,
пародонтальные кисты.
• Пародонтальные синдромы: Папийон–Лефевра,
ксантоматоз, эозинофильная гранулема,
заболевания крови.
• Этиология – Единственный фактор – микробный,
остальные факторы модифицирующие.
Самоповреждающий хронический процесс –
накопление энзимов

25.

Заболевания пародонта
• Пародонтальные синдромы:
Папийон–Лефевра, ксантоматоз,
эозинофильная гранулема,
заболевания крови.
• Этиология – Единственный фактор –
микробный, остальные факторы
модифицирующие.
Самоповреждающий хронический
процесс – накопление энзимов.

26.

Заболеваний слизистой оболочки полости рта

27. Травмы СОПР

28. Поражения СОПР при инфекционных заболеваниях

29. Поражения СОПР при специфических заболеваниях

30. Поражения СОПР при вирусных и грибковых заболеваниях

31. Проявления ВИЧ-инфекции

32. Аллергические и токсико-аллергические заболевания СОПР

33. Предраковые заболевания, доброкачественные и злокачественные образования

34.

Обезболивание

35. Аппликационное обезболивание Инфильтрационное обезболивание

36. Проводниковое обезболивание у бугра верхней челюсти

37. Проводниковое обезболивание у подглазничного отверстия

38. Обезболивание у резцового отверстия

39.

40.

• Стволовая анестезия у
овального и круглого отверстий

41. Обезболивание у нижнечелюстного отверстия

42. Обезболивание у подбородочного отверстия

43.

44. Различают три конструкционных вида карпульных шприцов: пружинные, блоковидные, байонетные.

45.

46.

47. Операция удаления зуба

48.

49. Способы держания щипцов

50.

51. Атипичное удаление зубов

52.

53. Ситуационные задачи

• Больной, 21 год, жалуется на наличие полости в 3.6. зубе. Обнаружил ее 4 месяца назад,
полость постепенно увеличивается в размерах. Никаких неприятных ощущений больной не
испытывает. Однако две недели назад появились неприятные ощущения при приеме
холодной пищи и жидкости, которые моментально прекращались.
• Объективно: в полости рта слизистая физиологической окраски, в 3.6. зубе - кариозная
полость в пределах плащевого дентина, зондирование кариозной полости безболезненно,
перкуссия зуба безболезненна.
• Какое заболевание у больного? Ваша тактика.

54. Ситуационные задачи

• У больного В., 35 лет, частично отсутствуют зубы. К врачу больной обратился с жалобами на
затруднение при пережевывании пищи.
• Что можно ему посоветовать?
• Какие органы страдают при потере зубов и почему?

55.

• Тестовые задания:
1.Амбулаторная стоматологическая помощь оказывается при заболеваниях:
1. верхнечелюстной синусит в стадии обострения
2. анкилоз
3. острый пульпит
4. двойной перелом челюсти
5. флегмона подподбородочной области
2.Стационарная стоматологическая помощь оказывается при:
1. пульпите
2. перфорации дна верхнечелюстной пазухи
3. периостите
4. хроническом периодонтите
5. остром остеомиелите

56.

3.Лечение различных форм периодонтита осуществляет стоматолог:
1. терапевт и хирург
2. терапевт и ортопед
3. терапевт, хирург и ортопед
4. хирург и ортопед
4.При полной потере зубов пациент должен обратиться к:
1. хирургу-стоматологу
2. терапевту-стоматологу
3. врачу-пародонтологу
4. ортопеду-стоматологу
5.Приступы ночных болей в зубе характерны для:
1. кариеса
2. периодонтита
3. пародонтита
4. гингивита
5. пульпита

57.

6.Острые боли постоянного характера, усиливающиеся при накусывании на зуб, отмечаются при:
1. остром периодонтите
2. остром пульпите
3. глубоком кариесе
4. среднем кариесе
5. пародонтите
7. Подвижность зуба или зубов, кровоточивость десен отмечается при:
1. хроническом периодонтите
2. глубоком кариесе
3. хроническом пульпите
4. остром периодонтите
5. пародонтите
8. Рентгенологически определяется очаг деструкции костной ткани у верхушки зуба при:
1. глубоком кариесе
2. хроническом пульпите
3. хроническом периодонтите
4. очаговом пародонтите
5. пародонтите

58.

9. Оказание первой помощи при болях после пломбирования корневого канала, при отсутствии
явлений воспаления заключается в:
1. назначении обезболивающих препаратов
2. удалении зуба
3. раскрытии полости зуба
4. перелечивании зуба
5. пришлифовки пломбы
10. Лечение, заключающееся в обработке кариозной полости, удалении воспаленной пульпы из
корневых каналов, поэтапной медикаментозной обработке, пломбировании каналов и
кариозной полости, проводится при:
1. кариесе
2. пульпите
3. пародонтите
4. периодонтите

59.

Темы занятий №2-3: Этиология, патогенез, классификация и особенности клинической
картины воспалительных заболеваний ЧЛО и шеи. Осложнения воспалительных
заболеваний ЧЛО. Современные методы лечения воспалительных заболеваний ЧЛО.
• Базисные разделы для повторения, полученные студентом на смежных дисциплинах:
• 1. Анатомия челюстей и зубов.
• 2. Иннервация, кровоснабжение ЧЛО.
• 3. Характерные признаки воспаления, особенности их проявления при воспалении в ЧЛО.
• 4. Анатомо-физиологические особенности ЧЛО, обусловливающие развитие.
• 5. Общехирургический инструментарий.
• 6. Фармакологическая характеристика лекарственных препаратов (используемых при
воспалительных заболеваниях ЧЛО: общие и местные анестетики, антибиотики,
десенсибилизирующие, кератопластические средства и т.д.).

60.

Темы занятий №2-3: Этиология, патогенез, классификация и особенности клинической
картины воспалительных заболеваний ЧЛО и шеи. Осложнения воспалительных
заболеваний ЧЛО. Современные методы лечения воспалительных заболеваний ЧЛО.
Вопросы для подготовки к занятию:
• Перечислите основные формы одонтогенных воспалительных заболеваний.
• Этиология и патогенез одонтогенных воспалительных процессов. Пути распространения
инфекции и механизмы обострения.
• Перечислите основные клинические признаки одонтогенного периодонтита, периостита,
остеомиелита.
• Пути проникновения и распространения инфекции при воспалительных заболеваниях ЧЛО.
• Перечислите основные клинические признаки абсцессов, флегмон ЧЛО.
• Особенности течения фурункулов, карбункулов в ЧЛО.
• Особенности течения одонтогенных гайморитов.
• Воспалительные заболевания слюнных желёз.
• Воспалительные заболевания ВНЧС.

61.

Темы занятий №2-3: Этиология, патогенез, классификация и особенности клинической
картины воспалительных заболеваний ЧЛО и шеи. Осложнения воспалительных
заболеваний ЧЛО. Современные методы лечения воспалительных заболеваний ЧЛО.
Вопросы для подготовки к занятию:
• Дополнительные методы обследования при воспалительных заболеваниях ЧЛО и их
осложнениях.
• Выбор метода обезболивания при различных воспалительных заболеваниях ЧЛО.
• Принципы лечения воспалительных заболеваний ЧЛО.
• Сформулируйте принципы хирургического лечения и его особенности при периостите,
остеомиелите, абсцессах и флегмонах. Показания к удалению зуба.
• Перечислите основные клинические признаки тромбофлебита лицевых вен.
• Перечислите основные клинические признаки тромбоза кавернозного синуса.
• Перечислите основные клинические признаки одонтогенного медиастенита.
• Перечислите основные клинические признаки сепсиса, септического шока.
• Принципы лечения осложнений воспалительных заболеваний ЧЛО.
English     Русский Правила