СЕСТРИНСКИЙ ПРОЦЕСС.
Здоровье
Болезнь
Симптом
Синдром
Диагноз
Лечение
Лечение
Виды лечения
ОСМОТР
ОПРОС БОЛЬНОГО 1.ОБЩИЕ СВЕДЕНИЯ О БОЛЬНОМ: ФИО, возраст, место жительства, место работы
МЕТОДЫ ОБСЛЕДОВАНИЯ
Методы исследования:
Сбор анамнеза
Оценка состояния пациента
Удовлетворительное
Состояние средней степени тяжести
Стабильно тяжелое
Крайне тяжелое состояние
Терминальная степень
ФИЗИОЛОГИЧЕСКОЕ ОБСЛЕДОВАНИЕ.
СТРОЕНИЕ ТЕЛА:
ОСМОТР КОЖИ:
Упитанность больного:
Осмотр лица
Осмотр лица
Осмотр лица
Осмотр лица
Осмотр шеи
Осмотр шеи
Осмотр кожи
Осмотр кожи и слизистых оболочек
Осмотр кожи и слизистых оболочек
Осмотр кожи и слизистых оболочек
ЛОКАЛЬНЫЙ ОСМОТР включает в себя выявление симптомов болезни определённой системы органов или части тела.
Состояние ногтей
Состояние ногтей
Нарушение пигментации (витилиго)
Отеки
Отёки
Острый и хронический бронхит. ХОБЛ.
Субъективное обследование Жалобы
Субъективное обследование Жалобы
Субъективное обследование Жалобы
Субъективное обследование Жалобы
Субъективное обследование Жалобы
Субъективное обследование Жалобы
Субъективное обследование Жалобы
Субъективное обследование Анамнез болезни
Субъективное обследование Анамнез жизни
Объективное обследование Осмотр
Объективное обследование Осмотр
Объективное обследование Осмотр
Объективное обследование Осмотр
Объективное обследование Осмотр
Объективное обследование Осмотр
Объективное обследование Осмотр
Объективное обследование Осмотр
Объективное обследование Осмотр
Объективное обследование Пальпация грудной клетки
Объективное обследование Перкуссия легких
Объективное обследование Аускультация легких
Объективное обследование Аускультация легких
Дополнительное обследование
Дополнительное обследование
Дополнительное обследование
Острый бронхит
Этиология и патогенез заболевания или состояния (группы заболеваний или состояний)
Этиология и патогенез заболевания или состояния (группы заболеваний или состояний)
Этиология и патогенез заболевания или состояния (группы заболеваний или состояний)
Этиология и патогенез заболевания или состояния (группы заболеваний или состояний)
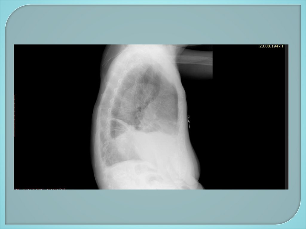
Особенности кодирования заболевания или состояния (группы заболеваний или состояний) по Международной статической классификации
Классификация заболевания или состояния (группы заболеваний или состояний)
Клиническая картина заболевания или состояния (группы заболеваний или состояний)
Клиническая картина заболевания или состояния (группы заболеваний или состояний)
Клиническая картина заболевания или состояния (группы заболеваний или состояний)
Клиническая картина заболевания или состояния (группы заболеваний или состояний)
Клиническая картина заболевания или состояния (группы заболеваний или состояний)
Клиническая картина заболевания или состояния (группы заболеваний или состояний)
Диагностика заболевания или состояния (группы заболеваний или состояний) медицинские показания и противопоказания к применению
Диагностика заболевания или состояния (группы заболеваний или состояний) медицинские показания и противопоказания к применению
Диагностика заболевания или состояния (группы заболеваний или состояний) медицинские показания и противопоказания к применению
Жалобы и анамнез
Физикальное обследование
Лабораторные диагностические исследования
Лабораторные диагностические исследования
Лабораторные диагностические исследования
Инструментальные диагностические исследования
Инструментальные диагностические исследования
Инструментальные диагностические исследования
Лечение, включая медикаментозную и немедикаментозную терапии, диетотерапию, обезболивание, медицинские показания и
Лечение, включая медикаментозную и немедикаментозную терапии, диетотерапию, обезболивание, медицинские показания и
Лечение, включая медикаментозную и немедикаментозную терапии, диетотерапию, обезболивание, медицинские показания и
Медицинская реабилитация, медицинские показания и противопоказания к применению методов реабилитации
Профилактика и диспансерное наблюдение, медицинские показания и противопоказания к применению методов профилактики
Профилактика и диспансерное наблюдение, медицинские показания и противопоказания к применению методов профилактики
Организация оказания медицинской помощи
Дополнительная информация (в том числе факторы, влияющие на исход заболевания или состояния)
Хронический бронхит
Хронический бронхит
Этиология и патогенез заболевания или состояния (группы заболеваний или со- стояний)
Патогенез
Особенности кодирования заболевания или состояния (группы заболеваний или состояний) по Международной статистической
Классификация заболевания или состояния (группы заболеваний или состояний)
Клиническая картина заболевания или состояния (группы заболеваний или состояний
Диагностика заболевания или состояния (группы заболеваний или со- стояний), медицинские показания и противопоказания к
Диагностика заболевания или состояния (группы заболеваний или со- стояний), медицинские показания и противопоказания к
Жалобы и анамнез
Жалобы и анамнез
Жалобы и анамнез
Физикальное обследование
Лабораторные диагностические исследования
Инструментальные диагностические исследования
Обострение бронхита
Лечение, включая медикаментозную и немедикаментозную терапии, диетотерапию, обезболивание, медицинские показания и противопока-
Лечение, включая медикаментозную и немедикаментозную терапии, диетотерапию, обезболивание, медицинские показания и противопока-
Лечение, включая медикаментозную и немедикаментозную терапии, диетотерапию, обезболивание, медицинские показания и противопока-
Организация оказания медицинской помощи
ХОБЛ
Распространенность
Россия относится к странам с самым высоким уровнем курения табака – более 60-% мужчин и около 30% женщин
КЛАССИФИКАЦИЯ ХОБЛ:
КЛАССИФИКАЦИЯ ХОБЛ:
КЛАССИФИКАЦИЯ ХОБЛ:
КЛАССИФИКАЦИЯ ХОБЛ:
Определение
Определение ХОБЛ
Факторы развития ХБ и ХОБЛ
Факторы, способствующие развитию ХОБЛ
последствие воспаления
Системные (внелегочные) проявления
Нарушение бронхиальной проходимости
Проявления ХОБЛ –проявляется к 40-50 годам
Клинические синдромы
«Розовые пыхтелки»
«Розовые пыхтелки»
«синие одутловатики»
ХОБЛ диагностика
Бронходилатационный тест
Бронходилатационный тест
Бронходилатационный тест
Классификация ХОБЛ
Классификация ХОБЛ
Классификация ХОБЛ
ХОБЛ Диагностика
ХОБЛ Диагностика
ХОБЛ Диагностика
ХОБЛ Диагностика
Дифференциальная диагностика
ХОБЛ диагностика
Наиболее частые причины развития обострений ХОБЛ
Лечение ХОБЛ
Бронхолитики
Фиксированные комбинации БА+ АХ
Бронхолитики
Комбинации ДДБА/ДДАХ
Лечение дыхательной недостаточности
Дыхательная недостаточность
Признаки ДН
Бронходилататоры
Бронходилататоры
Бронходилататоры
Бронходилататоры
Алгоритм терапии ХОБЛ
Глюкокортикоиды
ХОБЛ
Показания для госпитализации больных с обострением ХОБЛ.
Показания для госпитализации больных с обострением ХОБЛ.
МУКОЛИТИКИ
Лечение
Поддерживающая терапия
«Д» -наблюдение:
Тяжело в учении, легко в бою!
16.34M
Категория: МедицинаМедицина

ХОБЛ

1.

Кузнецова
Анастасия
Вячеславовна
Врач-терапевт,
преподаватель
медицинских
дисциплин
109 кабинет

2.

В медицине выделяют несколько
разделов терапии, которые
занимаются лечением заболеваний
разных систем организма, а также
используют физические факторы для
терапии. К таким разделам
относятся терапия внутренних
болезней, неврология, психиатрия и
физиотерапия.

3.

Терапия
(внутренние болезни, внутренняя
медицина) — (греч. therapeia лечение)область медицины, занимающаяся
проблемами этиологии, патогенеза и
клинических проявлений заболеваний
внутренних органов, их диагностики,
нехирургического лечения, профилактики и
реабилитации.

4.

К сфере терапии относятся заболевания
дыхательной системы (пульмонология),
сердечно-сосудистой системы (кардиология),
желудочно-кишечного тракта
(гастроэнтерология), мочевыделительной
системы (нефрология) и другие. Врачи,
занимающиеся нехирургическим лечением
внутренних болезней, называются
терапевтами (интернистами).

5.

Неврология — раздел медицины, занимающийся
профилактикой и лечением заболеваний центральной
и периферической нервной системы.
В компетенцию невролога входят болезни
центральной и периферической нервной системы
инфекционно-воспалительного и аутоиммунного
характера, сосудистые патологии нервной системы,
заболевания опорно-двигательного аппарата,
протекающие с неврологической симптоматикой.
Лечение неврологических заболеваний комплексное,
как правило, длительное, а иногда и пожизненное

6.

Психиатрия — отрасль клинической медицины, изучающая
психические расстройства, методы их диагностики, профилактики и
лечения.
В психиатрии используют, например:
Психофармакотерапию — применение психотропных препаратов
для лечения психических расстройств.
Психотерапию — разговорные сеансы с психотерапевтом для
решения психологических проблем.
Электросудорожную терапию (ЭСТ) — применение
электрического тока для лечения тяжёлых форм депрессии и других
расстройств.

7.

Физиотерапия (физиатрия, физическая
терапия) — раздел медицины, изучающий
лечебные свойства природных и
искусственно создаваемых физических
факторов и разрабатывающий способы их
применения для лечения и профилактики
болезней, а также для медицинской
реабилитации.

8.

Некоторые методы физиотерапии:
Электротерапия — использование электрических токов для
улучшения циркуляции крови и снятия болевых ощущений.
Ультразвуковая терапия — помогает в лечении
воспалительных процессов и ускоряет регенерацию тканей.
Теплолечение — применение парафина, грязей и других
горячих компонентов, что способствует снятию спазмов и
улучшению обменных процессов.
Криотерапия — использование воздействия низких
температур для уменьшения отёчности и боли.
Как правило, методы физиотерапии используют как часть комплексного лечения, в некоторых случаях
— как основной метод лечения.

9. СЕСТРИНСКИЙ ПРОЦЕСС.

Это научный метод в деятельности м/с,
он направлен на выявление и решение
проблем пациента для удовлетворения
универсальных потребностей, для
адаптации пациента к изменяющимся
условиям окружающей среды.

10. Здоровье

это состояние полного физического,
духовного и социального благополучия, а
не только отсутствие болезни и
физических дефектов.

11. Болезнь

это нарушение нормальной
жизнедеятельности организма,
обусловленное функциональными и
(или) морфологическими
(структурными) изменениями,
наступающими в результате воздействия
эндогенных и (или) экзогенных
факторов.

12. Симптом

один из отдельных признаков, частное
проявление какого-либо заболевания,
патологического состояния или
нарушения какого-либо процесса
жизнедеятельности.
Симптомокомплекс- совокупность
симптомов

13. Синдром

то совокупность симптомов,
объединённых единым механизмом
развития (патогенезом).

14. Диагноз

краткое врачебное заключение о состоянии здоровья
обследуемого, об имеющихся у него заболеваниях
(травмах) или о причине смерти, оформленное в
соответствии с действующими стандартами и
выраженное в терминах, предусмотренных
действующими классификациями и номенклатурой
болезней; содержанием диагноза могут быть также
особые физиологические состояния организма
(беременность, климакс, состояние после разрешения
патологического процесса и др.),заключение об
эпидемическом очаге.

15.

16. Лечение

комплекс медицинских вмешательств,
выполняемых по назначению
медицинского работника, целью которых
является устранение или облегчение
проявлений заболевания или
заболеваний либо состояний пациента,
восстановление или улучшение его
здоровья, трудоспособности и качества
жизни.

17. Лечение

Немедикаментозное
Диетотерапия
Режим
ЛФК,Массаж и т.д.
Медикаментозное

18. Виды лечения

Этиотропная терапия направлена на устранение причины заболевания
(например, антибактериальная терапия при инфекционных болезнях).
Патогенетическая терапия направлена на механизмы развития
заболевания. Она применяется при невозможности этиотропной терапии
(например, заместительная терапия инсулином при сахарном диабете в
связи с недостаточной продукцией этого гормона поджелудочной
железой и невозможностью, на современном уровне развития медицины,
восстановить эту функцию).
Симптоматическая (паллиативная) терапия применяется для устранения
отдельных симптомов заболевания (например,
применение анальгетиков при боли, жаропонижающих препаратов при
«высокой температуре» и др.) Она может применяться в дополнение
к этиотропной и патогенетической терапии.
Симптоматическая терапия при невозможности радикального излечения
(терминальная стадия онкологического заболевания и др.)
Осуществляется в рамках спектра лечебно-социальных мероприятий,
называемого паллиативной помощью.

19. ОСМОТР

Осмотр (inspectio) - клинический метод
исследования, основанный на получении
информации о больном путем зрительного
восприятия строения и функционирования
его организма.

20. ОПРОС БОЛЬНОГО 1.ОБЩИЕ СВЕДЕНИЯ О БОЛЬНОМ: ФИО, возраст, место жительства, место работы

2. ЖАЛОБЫ
БОЛЬНОГО
3. АНАМНЕЗ
ЗАБОЛЕВАНИЯ
ВЫЯСНИТЬ
ЖАЛОБЫ
НАЧАЛО
ЗАБОЛЕВАНИЯ
ДЕТАЛИЗАЦИЯ
ЖАЛОБ
ПРИЧИНЫ
ЗАБОЛЕВАНИЯ
ПЕРВЫЕ
СИМПТОМЫ
МЕТОДЫ
ОБСЛЕДОВАНИЯ
5. РАССПРОС ПО
СИСТЕМАМ
ОРГАНОВ
4. АНАМНЕЗ
ЖИЗНИ
БИОГРАФИЧЕСКИЕ
ДАННЫЕ
ТРУДОВОЙ
АНАМНЕЗ
БЫТОВОЙ
АНАМНЕЗ
ХАРАКТЕР
ПИТАНИЯ
ВРЕДНЫЕ
ПРИВЫЧКИ
НАСЛЕДСТВЕННЫЙ
АНАМНЕЗ
МЕТОДЫ ЛЕЧЕНИЯ,
АЛЛЕРГИЧЕСКИЙ
ИХ
ЭФФЕКТИВНОСТЬ АНАМНЕЗ

21. МЕТОДЫ ОБСЛЕДОВАНИЯ

ОСНОВНЫЕ
СУБЪЕКТИВНЫЕ
ДОПОЛНИТЕЛЬНЫЕ
ОБЪЕКТИВНЫЕ
ОСМОТР
ОПРОС
ПЕРКУССИЯ
ПАЛЬПАЦИЯ
АУСКУЛЬТАЦИЯ
ИНСТРУМЕНТАЛЬНЫЕ
ЛАБОРАТОРНЫЕ

22. Методы исследования:

1. Субъективные (жалобы, история болезни, история жизни).
2.Объективные (осмотр, наблюдение, измерение АД,
определения пульса, ЧД Д и т. д.).
3.Дополнительные методы (медсестра проводит подготовку
пациента к дополнительным методам).
Источниками информации являются:
данные из беседы с пациентом;
данные из беседы с родственниками, сопровождаемого
пациента;
из истории болезни (амбулаторной и стационарной карты);
медицинской литературы;
объективного исследования пациента.

23. Сбор анамнеза

Анамнез (истории) болезни
Необходимо выяснить:
факторы риска, способствующие развитию заболевания или обострения;
связь с другими заболеваниями, которые могли бы спровоцировать заболевание;
когда заболел, с чем связывает развитие заболевания;
как часты обострения, чем лечился, как помогало лечение;
знает ли о своем заболевании, какие могут быть осложнения;
знает ли, как себя вести с этой патологией и может ли при необходимости оказать самопомощь;
каков настрой пациента на выздоровление;
регулярность диспансерных осмотров(при хронически заболеваниях).
Из анамнеза (истории) жизни пациента важным моментом является:
перенесённые инфекции в детстве и сопутствующие заболевания в настоящем;
семейное положение;
материально-бытовые условия;
аллергоанамнез;
характер питания и питьевого режима;
характер работы и профессиональные вредности, режим труда;
вредные привычки.
Военная служба
Эпиданамнез.
Операции.Травмы.Гемотрансфузии.Гинекологический анамнез.
Инфекционные заболевания( туберкулез,гепатиты,ВИЧ)
При сборе субъективных данных оцениваются возможности обмена информацией и способности
пациента к обучению.

24. Оценка состояния пациента

Общее состояние больного и его виды включает в себя определения
5 этапов:
Удовлетворительное состояние. Жизненные функции организма
человека не нарушены,
Состояние средней степени тяжести. Присутствуют лёгкие
нарушение витальных функций при обязательном наличии
чёткой симптоматики, свидетельствующей о линейном течении
заболевания, патологического процесса, синдрома,
Тяжёлое состояние. Умеренное нарушение жизненных функций по
нескольким базисным показателям,
Крайне тяжелое состояние. Серьезное нарушение жизненных
функций по ряду базисных показателей,
Терминальное состояние. Критическое нарушение жизненных
функций, в подавляющем большинстве случаев приводящее к
летальному исходу.

25. Удовлетворительное

состояние больного означает, что функции важных
органов относительно компенсированы и обычно оно наблюдается при
наличии легких форм течения болезни. Основные критерии выглядят
следующим образом:
Ясное сознание и активное положение,
Артериальное давление – 110-140/60-90 миллиметров ртутного столба,
Частота дыхательных движений – От 16 до 20 ДД в течение 1 минуты,
Нормальная или субфебрильная температура, наблюдаются только
симптомы основного заболевания,
Эпидермис и подкожная клетчатка в пределах нормы,
Частота сердечных сокращений – 60-90 в минуту,
Функции жизненно важных органов компенсированы,
Характер заболеваний стабильный с лёгким либо умеренным течением
болезни и наличием общих показаний для госпитализации в стационар.

26. Состояние средней степени тяжести

значит, что данное состояние не представляет непосредственной
опасности для жизни больного. Основные критерии выглядят следующим образом:
Работа нервной системы. Пациент находится в сознании, может быть частично дезориентирован в
пространстве/времени. Наблюдается заторможенность, адинамичность и некоторая затрудненность в
речевом контакте,
Функциональные возможности. Вынужденное или активное положение в постели с сохранением
способности к самостоятельному обслуживанию,
Кожные покровы. Наблюдается отечность, выраженная бледность либо цианоз средней степени
тяжести,
Температурный показатель. Температура тела – низкая или высокая, наблюдается лихорадка,
Параметры сердечно-сосудистой системы. Находятся в стадии компенсированной недостаточности.
Наблюдаются умеренные признаки нарушения микроциркуляции, пастозность нижних конечностей.
Присутствует брадикардия или тахикардия, сниженное или повышенное артериальное давление в
пределах 10-15% от нормы,
Функции дыхания. Определяется тахипноэ с частотой 21-30 ДД/минуту или брадипноэ с частотой 11-8
ДД/минуту. Для дыхания больной время от времени применяет вспомогательную мускулатуру,
требуется базисная респираторная поддержка. Показатели газового состава крови компенсированы,
Общее состояние внутренних органов. Часть функции декомпенсирована, но не представляет
непосредственной опасности для базисных жизненных показателей,
Вторичная симптоматика. Помимо признаков основного заболевания наблюдаются выраженные
диспепсические расстройства, формируются признаки желудочно-кишечного кровотечения,
повышаются риски развития острых осложнений,
Медицинская тактика. Больной требует оказание неотложной помощи и госпитализации на общих
основаниях.

27. Стабильно тяжелое

Стабильное тяжелое состояние в реанимации, как правило, значит, что нет улучшений, но и нет
ухудшений, т.е отсутствие динамики, каких-либо изменений. В данном состоянии за пациентом в
отделении реанимации и интенсивной терапии постоянно наблюдают врачи и медсестры, как
визуально, так и при помощи диагностической аппаратуры. В большинстве случаев прогноз для
больного в этом состоянии при своевременной неотложной терапии – благоприятный. Понять
стабильно тяжелое состояние можно по следующим основным критериям:
Работа нервной системы. Дефицит или угнетение сознания, полная апатия и сонливость. Малая
подвижность при частичном сохранении базисных координированных защитных реакций,
Функциональные возможности. Психомоторное возбуждение с пассивным или вынужденным
положением. Отсутствие самостоятельного обслуживания и необходимость в постоянном
стороннем уходе,
Кожные покровы. Сильная бледность эпидермиса и выраженный цианоз в состоянии полного
покоя, Температурные показатели. Выраженная гипотермия или гипертермия,
Параметры сердечно-сосудистой системы. Наблюдается значительное повышение или понижение
давления (Ps менее 40 или более 120, систолическое АД – 79-60), пациент требует кардиотропной
поддержки на фоне острой недостаточности кровообращения и выраженных признаков нарушения
микроциркуляции системного кровотока,
Функции дыхания. Есть предпосылки к переводу человека на искусственную вентиляцию лёгких.
Наблюдается тахипноэ более 35 ДД/минуту или брадипноэ менее 8 ДД/минуту,
Общее состояние внутренних органов. Явная декомпенсация нарушает работу жизненно важных
функций и в среднесрочной перспективе может привести глубокой инвалидности,
Вторичная симптоматика. Тяжелые осложнения, часто связанные с неукротимой рвотой, профузной
диареей, перитонитом, массивным кровотечением в области ЖКТ на фоне основных признаков
заболевания.

28. Крайне тяжелое состояние

Работа нервной системы. Отсутствие признаков мыслительной деятельности на фоне отключение
сознания. Глубокая предкома или коматозное состояние,
Функциональные возможности. Чаще всего пассивные либо отсутствующие. В отдельных случаях
наблюдается судороги и общее двигательное декоординированное возбуждение
Кожные покровы. Меловая бледность кожных покровов, глубокий цианоз, мертвенно-бледное лицо с
заостренными чертами, покрытое холодным потом,
Параметры сердечно-сосудистой системы. Артериальное давление не определяется, пульс
выявляется исключительно на сонных артериях. При активной кардиотропной и вазопрессорной
поддержке наблюдаются значения Ps менее 40 или более 120, систолическое АД – менее 60,
Функции дыхания. Прерывистое, редкое, не стабилизируется на фоне использования ИВЛ. Тахипноэ
достигает 60 ДД/минуту. Брадипноэ – 5 и менее ДД/минуту,
Общее состояние внутренних органов. Тяжёлые нарушения основных жизненно важных функций
организма, в краткосрочной перспективе приводящие к инвалидности,
Вторичная симптоматика. Тяжёлые диспепсические расстройства с системными интенсивными
кровотечениями, тотальный отёк лёгких, иные проявления на фоне частичного отказа работы
внутренних органов,
Медицинская тактика. Немедленная терапия в условиях реанимационного блока.

29. Терминальная степень

Центральная нервная система. Наблюдается арефлексия, частичная или полная смерть мозга,
Сердечно-сосудистая система. Отсутствуют признаки сердечной деятельности, самостоятельное
восстановление невозможно – необходима реанимация и вспомогательное кровообращение,
Дыхание. Самостоятельное дыхание отсутствует. ИВЛ чистым кислородом в максимальном
функциональном режиме аппарата не стабилизирует показатели – РаO2 становится менее 70
миллиметров ртутного столба, а РаСO2 более 55 миллиметров ртутного столба,
Общее состояние и медицинская тактика. Терминальная степень вызывает критические нарушения
витальных функций с максимально высокими рисками развития быстрого летального исхода.
Медицинская тактика заключается в попытке стабилизации жизненных показателей.
Бессознательное состояние
В условиях реанимационного отделения под термином бессознательное состояние больного
подразумевается переход человека в кому. Она имеет 3 основные стадии:
Стадия 1. Присутствует сердечная и дыхательная деятельность со стабильными показателями.
Сохранена фотореакция зрачков, кашлевой, рвотный и роговичный рефлексы. Общий прогноз –
условно благоприятный,
Стадия 2. Наблюдается гипертермия, гипорефлексия с сохранением части функций без двустороннего
мидриаза. Фоново развивается брадипноэ или тахипноэ, брадикардия или тахикардия. Общий
прогноз – условно неблагоприятный,
Стадия 3. Арефлексия, критические нарушения жизненных функций и параметров, двусторонний
мидриаз. Прогноз – неблагоприятный, с высокими рисками летального исхода.

30. ФИЗИОЛОГИЧЕСКОЕ ОБСЛЕДОВАНИЕ.

1.Оценка сознания. Характеристика ясного сознания:
пациент ориентирован в себе, окружающей обстановке,
его поведение адекватно окружающей обстановке.
Спутанное сознание - пациент с трудом отвечает на
вопросы.
Ступор - помраченное состояния (оцепенение) отвечает
на громкий крик, но не осмысленно.
Сопор - пациент не отвечает на вопросы, находится в
глубоком оглушении, но рефлексы у него сохранены.
Кома - пациент без сознания.

31.

2. Положение, поза пациента.
Активное положение -
положение, при котором пациент
самостоятельно может двигаться, ворочаться в постели,
садиться.
Пассивное положение - положение, при котором пациент, в
силу своего состояния, не может самостоятельно двигаться, не
может поменять позу.
Вынужденное положение - положение, при котором пациент,
выбирает удобное положение, для облегчения своего
состояния.

32.

3.Температура тела.
4.Особенности анатомического телосложения - астеник,
нормостеник, гиперстеник, наличие видимых деформаций или
отсутствие каких-либо частей тела.
Антропометрия: измерение роста, объема грудной клетки,
талии и живота. Взвесить пациента и определить индекс
массы тела (ИМТ= вес в кг: (рост в см)2 норма 18,5-24,9).

33.

5.Осмотр кожных покровов и видимых слизистых: окраска, наличие
высыпаний, характеристика элементов высыпания(локализация,
наклонность к слиянию, на бледном или гиперемированном фоне,
обратное развитие элементов).
бледные, бледно-желтушные, с землистым оттенком, субиктеричные,
иктеричные, цианотичные, гиперемированные и т. д.);
наличие на коже геморрагий, расчесов, папул, пятен;
тургор кожи;
влажность или сухость
Отеки - один из частых проявлений заболеваний сердечно-сосудистой
системы и почек.
локализация отеков - на лице, на конечностях, на пояснице, увеличение
живота - асцит; анасарка - тотальные отеки;
консистенция отеков- мягкие- при заболеваниях почек; плотные - при
сердечной патологии;
время возникновения отеков - по утрам - при заболевании почек; к вечеру при сердечной недостаточности.
6.Пальпация периферических лимфатических узлов.

34.

7.Характеристика функций дыхания: частота, затруднение вдоха
или выдоха, глубокое или поверхностное, сохранение или
нарушение ритма дыхания.
8.Признаки дыхательной недостаточности: выраженная одышка,
цианоз, участие вспомогательной мускулатуры в акте
дыхания, динамика данных показателей при минимальной
физической нагрузке.
9.Исследование ССС. Характеристика пульса: частота,
наполнение, напряжение, ритм. Показатели АД. Исследование
периферических сосудов.
10.Признаки недостаточности кровообращения: выраженная
тахи- или брадикардия, резкое повышение или понижение АД,
наличие отёков, динамика данных показателей при
минимальной физической нагрузке.
11.Система пищеварения. Сохранение или потеря аппетита.
Проявление диспепсического синдрома: дисфагия, отрыжка,
изжога, метеоризм, диарея, запоры. Проявление болевого
синдрома: связь с приёмом пищи или дефекацией,
локализация, иррадиация. Проявление геморрагического
синдрома: кровавая рвота, рвота с примесью крови, мелена,
выделение крови при дефекации.

35.

12.Мочевыделительная система. Нарушение ритма
мочеиспускания, болезненность при мочеиспускании.
Характеристика диуреза, визуальное исследование мочи.
В результате физиологического
обследования выявляются
физиологические проблемы пациента,
отражающие нарушение функций и
систем организма.

36. СТРОЕНИЕ ТЕЛА:

1. Конституция. Типы конституции:
Нормостенический: пропорциональное строение тела, умеренно
развит жировой слой.
Астенический: шея длинная и тонкая, плечи узкие. Жировая клетчатка
развита недостаточно. АД понижено.
Гиперстенический: значительное развитие подкожно-жировой
клетчатки. Конечности короткие, кости широкие, голова большая. АД
повышено.
2. Осанка.
3. Возраст.

37. ОСМОТР КОЖИ:

ЦВЕТ:
- Телесный
- Бледный
- Красный
- Желтушный
- Землистый
- Синюшный
НАЛИЧИЕ
ПАТОЛОГИЧЕСКИХ
ИЗМЕНЕНИЙ:
Расчёсы
- Геморрагии
- Ксантомы
- Пигментация
- Рубцы
- Сыпь
- Варикозное
расширение вен
- Язвы
-

38. Упитанность больного:

Истощение- результат
недоедания, голодания,
поражения ЖКТ.
Ожирение- обусловлено
эндогенными(нарушение
функции эндокринных
желез) и экзогенными
(избыточное питание,
малая подвижность)
факторами .

39.

40. Осмотр лица

41. Осмотр лица

42. Осмотр лица

43. Осмотр лица

44. Осмотр шеи

45. Осмотр шеи

46. Осмотр кожи

47. Осмотр кожи и слизистых оболочек

48. Осмотр кожи и слизистых оболочек

49. Осмотр кожи и слизистых оболочек

50. ЛОКАЛЬНЫЙ ОСМОТР включает в себя выявление симптомов болезни определённой системы органов или части тела.

51. Состояние ногтей

52. Состояние ногтей

53. Нарушение пигментации (витилиго)

54. Отеки

55. Отёки

56.

«Вот в эту самую минуту, когда мы дышим, есть люди, которые- задыхаются».

57. Острый и хронический бронхит. ХОБЛ.

58.

59.

60.

61.

Это органокомплекс плода (15-16 недель)
1) трахея 2) щитовидная железа 3) один
из крупных сосудов отходящих от аорты правая общая сонная артерия 4) еще один
крупный сосуд - левая общая сонная
артерия 5) непосредственно дуга аорты
6) еще один крупный сосуд аорты правая подключичная7) нисходящая
часть аорты8) правое легкое9)
восходящая часть аорты10) сердце

62.

63.

64.

65.

66.

67.

68.

69.

70.

71.

Двусторонний гидроторакс. Состояние
после протезирования митрального клапана

72.

73.

74.

75. Субъективное обследование Жалобы

1. Кашель
Непродуктивный (сухой) - без выделения
мокроты.
Продуктивный (влажный) - с выделением
мокроты.

76. Субъективное обследование Жалобы

2. Мокрота
Характер мокроты:
Слизистая - вязкая, прозрачная, бесцветная
или белесоватая (пневмония, острый бронхит).
Слизисто-гнойная - вязкая, серо-желтая
(хронический бронхит, пневмония).
Гнойная - желтоватая или зеленоватая, с
неприятным «гнойным» запахом (абсцесс
лёгкого, бронхоэктатическая болезнь)
Серозная - жидкая, прозрачная (застой в
малом круге кровообращения – сердечная
астма, отек легких).

77. Субъективное обследование Жалобы

Кровянистая (геморрагическая) – кровохарканье.
Может быть:
1. Ржавого цвета (крупозная пневмония).
2. С прожилками или сгустками крови (рак легкого,
туберкулез, абсцесс легкого, бронхоэктатическая
болезнь).
3. Вид «малинового желе» (рак лёгкого).

78. Субъективное обследование Жалобы

3. Одышка
Инспираторная - затруднен вдох.
Возникает
- из-за препятствия в верхних дыхательных путях;
- при ограничении способности легких к расширению
(кифосколиоз, гидроторакс, отек легких).
Экспираторная - затруднен выдох.
Возникает
- при сужении мелких бронхов (бронхиальная астма);
- при снижении эластичности легочной ткани
(эмфизема легких).
Смешанная - затруднены вдох и выдох, возникает
при уменьшении площади дыхательной поверхности
(пневмония, отек легких, гидроторакс,
пневмоторакс, эмфизема легких, туберкулез, рак
легкого).

79. Субъективное обследование Жалобы

4. Удушье - сильная, граничащая с асфиксией
одышка, возникающая внезапно в виде приступа.
Может быть инспираторного, экспираторного
и смешанного типа.
Развивается при бронхиальной астме,
сердечной астме, отеке легких, тромбэмболии
легочной артерии, отеке гортани, инородном
теле в верхних дыхательных путях.

80. Субъективное обследование Жалобы

5. Боль в грудной клетке
Чаще возникает при поражении плевры
(плеврит, крупозная пневмония, пневмоторакс,
метастазы в плевру).
Боль усиливается при вдохе, кашле, при
наклоне тела в здоровую сторону.
Боль в грудной клетке могут быть другого
происхождения: при миозите, переломе ребер,
невралгии, неврите.

81. Субъективное обследование Жалобы

6. Легочное кровотечение
Кровь алого цвета, пенистая, с пузырьками
воздуха. Может быть при туберкулезе, раке
легкого, бронхоэктазах, абсцессе легкого.
7. Общие жалобы (связаны с
интоксикацией): повышение температуры,
головная боль, бессонница, снижение аппетита,
общая слабость, потливость, снижение
трудоспособности.

82. Субъективное обследование Анамнез болезни

Следует выяснить:
начало болезни (внезапно или постепенно,
первоначальные проявления),
причину заболевания по мнению больного
(простуда, реакция на запахи, изменение
метеоусловий и т.д.),
характер течения болезни (частота
обострений, появление осложнений и др.),
проводимое обследование, лечение и его
эффективность.

83. Субъективное обследование Анамнез жизни

Выяснить:
перенесенные болезни органов дыхания,
травмы грудной клетки,
вредные привычки (курение),
аллергоанамнез,
особенности профессиональных и
производственных вредностей
(запыленность, загазованность рабочего
места, резкие перепады температуры
воздуха и т.д.).

84. Объективное обследование Осмотр

1. Положение в постели (активное, пассивное,
вынужденное)
Вынужденное положение:
сидя, опираясь на руки – при приступе
бронхиальной астмы;
лежа на одном боку – при боли в
грудной клетке при
поражении плевры;
с приподнятой верхней половиной
туловища – при одышке.

85. Объективное обследование Осмотр

2. Кожные покровы: цианоз, бледность или
гиперемия.
3. Осмотр рук: пальцы в виде «барабанных
палочек» и ногти в виде «часовых стекол» (при
хронических нагноительных заболеваниях
легких )

86. Объективное обследование Осмотр

4. Осмотр грудной клетки:
- патологическая форма
Эмфизематозная грудная клетка - расширенная,
бочкообразная, приподнята как в положении максимального
вдоха (при бронхиальной астме, при эмфиземе легких).
Паралитическая грудная клетка - резко удлинена, опущена как
при положении максимального выдоха (при туберкулезе легких,
раке легкого, у резко исхудавших лиц астенического
телосложения).
Килевидная грудная клетка («куриная грудь) - резко
выдающаяся вперед грудина (врожденная патология, рахит).
Воронкообразная грудная клетка («грудь сапожника») –
воронокобразное вдавление в грудине (врожденная патология,
рахит).

87. Объективное обследование Осмотр

88. Объективное обследование Осмотр

- искривление позвоночника:
вбок (сколиоз), назад (кифоз), вперед (лордоз),
сочетанные искривления в сторону и сзади
(кифосколиоз).

89. Объективное обследование Осмотр

- односторонняя деформация грудной клетки:
увеличение в размерах одной половины грудной
клетки (гидроторакс, пневмоторакс).
уменьшение в размерах одной
половины грудной клетки (удаление
части легкого, ателектаз).
- участие обеих половин грудной клетки
в акте дыхания.
Отставание одной из половин может наблюдаться при
крупозной пневмонии, абсцессе легкого, плевритах.

90. Объективное обследование Осмотр

5. Определение типа дыхания
Грудной тип дыхания: за счет сокращения
межреберных мышц (чаще у женщин).
Брюшной тип дыхания: за счет сокращения
диафрагмы (чаще у мужчин).
Смешанный тип дыхания:
дыхательные движения за
счет сокращения межреберных
мышц и диафрагмы
(у лиц пожилого возраста).

91. Объективное обследование Осмотр

6. Подсчет частоты дыхания
Нормой для взрослого человека в покое являются
16—20 дыхательных движений в 1 минуту.
Учащение частоты дыхания (тахипноэ): в норме
при физической и нервной нагрузке, а также при
лихорадке, при большинстве заболеваний органов
дыхания.
Урежение дыхания (брадипноэ): в норме во сне, а
также при сужении гортани или трахеи, во время
приступа бронхиальной астмы.

92. Объективное обследование Осмотр

7. Определение ритма дыхания
В норме дыхание ритмичное.
При расстройствах функции дыхательного центра
(отравление, травмы и опухоли головного мозга,
инсульт) дыхание становится периодическим.
Варианты периодического дыхания:
дыхание Чейн - Стокса
дыхание Биота
дыхание Куссмауля

93.

Пульсоксиметрия – неинвазивное
исследование для контроля уровня
кислорода в крови. Прибор
пульсоксиметр считывает у человека 2
показателя:
• частота сердечных сокращений (ЧСС);
• сатурация (насыщенность
артериальной крови кислородом).
Норма 95-100%

94. Объективное обследование Пальпация грудной клетки

Выявления локализации болезненных
участков при патологии ребер.
Голосовое дрожание.
Эластичность грудной клетки.

95. Объективное обследование Перкуссия легких

Ясный (лёгочный) звук – над легкими в
норме.
Тимпанический звук – над участком
лёгкого с абсцессом.
Коробочный звук - при эмфиземе,
приступе бронхиальной астмы.
Притуплённый звук – при пневмонии;
ателектазе, опухоли легкого.
Тупой звук – экссудативный плеврит,
гидроторакс, пневмоторакс.

96. Объективное обследование Аускультация легких

1. Виды дыхания:
везикулярное дыхание – в норме над
легкими;
ослабленное везикулярное дыхание –
в норме при чрезмерном развитии мышц и
ПЖК,
при патологии – эмфизема, пневмония;
усиленное везикулярное дыхание –
в норме при слабом развитии мышц и ПЖК, в
детском возрасте (пуэрильное дыхание),
при патологии – жесткое дыхание (усилен
вдох и выдох) при бронхите;

97.

бронхиальное дыхание
(ларинготрахеальное)
в норме над гортанью и трахеей,
при патологии при крупозной пневмонии,
небольшом абсцессе;
амфорическое дыхание – над большой
полостью при абсцессе или каверне.

98. Объективное обследование Аускультация легких

2. Побочные дыхательные шумы:
влажные хрипы – при скоплении жидкой
мокроты.
Могут быть мелкопузырчатые,
среднепузырчатые и крупнонузырчатые
влажные хрипы в зависимости от размера
бронхов;
сухие хрипы –при вязкой мокроте или при
сужении бронхов.
Могут быть свистящими (в мелких бронхах) и
жужжащими (в средних и крупных бронхах);

99.

шум трения плевры – при трении друг о
друга листков плевры при плеврите;
крепитация – звук разлипания альвеол
(при крупозной пневмонии).

100. Дополнительное обследование

Лабораторные методы:
1.
2.
3.
4.
5.
6.
Общий анализ крови
Биохимический анализ крови
Общий анализ мокроты (выявление
патологических элементов мокроты,
определение цвета, запаха, вязкости,
форменных элементов крови, белковых
образований и кристаллов)
Бактериологический анализ мокроты
Анализ мокроты на БК
Анализ мокроты на атипичные клетки

101. Дополнительное обследование

Инструментальные методы:
1. Рентгенологические методы –
рентгенография грудной клетки,
флюорография, бронхография,
компьютерная томография

102. Дополнительное обследование

2. Бронхоскопия
3. Функциональная диагностика системы
внешнего дыхания:
Спирометрия, спирография
Пневмотахометрия (метод измерения
«пиковых» скоростей воздушного потока
при форсированных вдохе и выдохе)

103. Острый бронхит

– остро или подостро возникшее воспаление
нижних отделов дыхательных путей преимущественно вирусной
этиологии, ведущим клиническим симптомом которого является
кашель (чаще продуктивный), продолжающийся не более 2 недель
(возмжно до 4-х недель) в сочетании с характерными признаками
инфекции нижних отделов респираторного тракта (хрипы,
дискомфорт в грудной клетке, одышка) [1-6].
Кашель - защитная реакция организма, способствующая
восстановлению проходимости дыхательных путей и выведению из
них чужеродных частиц, микроорганизмов или патологического
бронхиального секрета, что обеспечивает очищение бронхов.

104.

1. Определение заболевания или состояния (группы заболеваний или
состояний)
Под острым бронхитом понимают остро/подостро возникшее воспаление
нижних отделов дыхательных путей преимущественно вирусной
этиологии, ведущим клиническим симптомом которого является кашель
(чаще продуктивный), продолжающийся не более 2-х недель, в сочетании
с характерными признаками инфекции нижних отделов дыхательной
системы (хрипы, дискомфорт в грудной клетке, одышка) без возможности
их альтернативного объяснения в рамках острого или хронического
процесса (пневмония, хронический бронхит, хроническая обструктивная
болезнь легких, бронхиальная астма) [1-6].
С клинической точки зрения острый бронхит характеризуется остро
возникшим кашлем, продолжающимся менее 14 дней, в сочетании, по
крайней мере, с одним из таких симптомов, как отделение мокроты,
одышка, свистящие хрипы в легких или дискомфорт в грудной клетке [7].

105. Этиология и патогенез заболевания или состояния (группы заболеваний или состояний)

Типичным пусковым механизмом острого бронхита, как правило,
является вирусная инфекция, однако, установить патоген удается только в
половине случаев [8-9].
В подавляющем числе случаев этиологическими агентами ОБ у взрослых
являются респираторные вирусы [10-12] - табл. 1.
Спектр возбудителей представлен вирусами гриппа А и В, парагриппа, а
также
респираторно-синцитиальным
вирусом,
человеческим
метапневмовирусом, реже заболевание обусловлено коронавирусной
(исключая вирус SARS-CoV- 2), аденовирусной и риновирусной
инфекцией [13-15]. Впрочем, по данным исследований, у пациентов с ОБ
вирусы гриппа обнаруживают в 24% случаев, а риновирусы в 33% [16].
Объяснением служит тот факт, что в среднем у 30% пациентов с ОБ
диагностируется сочетанная инфекция, обусловленная более чем одним
возбудителем, что в конечном итоге и объясняет нередкое сочетание
признаков воспаления бронхиального дерева при ОБ с клиническими
проявлениями, свидетельствующими о поражении верхних отделов
респираторного тракта [17].

106. Этиология и патогенез заболевания или состояния (группы заболеваний или состояний)

Наиболее часто сочетанная этиологии ОБ отмечается при гриппе и риновирусной
инфекции, при которых дополнительным этиологическим фактором могут
выступать другие респираторные вирусы (парагрипп, аденовирус и др.).
Бактериальная этиология острых бронхитов наблюдается значительно реже, не
более чем у 10-15% пациентов [18-20]. Бактериальными возбудителями ОБ
являются Streptococcus pneumoniae, Haemophilus influenzae, Moraxella catarrhalis
[20], а также Mycoplasma и Chlamydophila pneumoniae.
Однако данный факт требует дальнейших исследований, позволяющих уточнить у
какого рода пациентов ОБ может быть вызван бактериальными агентами, и не
является ли это течением или следствием иного инфекционного процесса.
Сочетанная вирусно-бактериальная инфекция встречается редко [21].
На долю Mycoplasma и Chlamydophila pneumoniae приходится не более 5-7% от всех
случаев заболевания [22]. Bordetella pertussis встречается в 5-10% случаев [23].
Кроме инфекционных агентов причиной развития ОБ может являться вдыхание
различных аэрополлютантов (пары аммиака, хлора, двуокиси серы и пр.).

107. Этиология и патогенез заболевания или состояния (группы заболеваний или состояний)

Таблица 1. Инфекционные агенты и неинфекционные триггеры развития ОБ
Вирусы
Бактерии
Неинфекционные
причины
Вирусы гриппа, аденовирус, коронавирусы,
коксакивирус, энтеровирус, вирус парагриппа,
респираторно-синцитиальный вирус, риновирус
Bordetella
pertussis,
Bordetella
parapertussis,
Branhamella
catarrhalis,
Haemophilus
influenzae,
Streptococcus pneumoniae, Mycoplasma pneumoniae,
Chlamydia pneumoniae, Moraxella catarrhalis
Аэрополлютанты, вулканическое загрязнение
воздуха,
аммиак,
табак,
металлические
микроэлементы и др.

108. Этиология и патогенез заболевания или состояния (группы заболеваний или состояний)

Факторы риска
В развитии ОБ играют роль переохлаждение, наличие очагов
хронической инфекции в ротоглотке, пожилой или детский возраст,
различные иммунодефицитные состояния, курение, рефлюксэзофагит,
алкоголизм,
проживание в районах с повышенным загрязнением окружающей
среды, контакт с ингаляционными химическими агентами (пары
аммиака, серы и пр.) [4-6, 17, 24-25].
Патогенез заболевания
Воздействие инфекционных или токсических агентов вызывает отек
слизистой оболочки трахеобронхиального дерева, повышение продукции
слизи, нарушение мукоцилиарного клиренса. В свою очередь
воспалительный отек слизистой оболочки бронхов приводит к
нарушению их проходимости.

109. Особенности кодирования заболевания или состояния (группы заболеваний или состояний) по Международной статической классификации

Классификация ОБ.
В соответствии с Международной классификацией болезней, травм и причин смерти X
пересмотра (МКБ X), ОБ кодируется в рубрике.
J20.0 Острый бронхит, вызванный Mycoplasma pneumoniae
J20.1 Острый бронхит, вызванный Haemophilus influenzae
J20.2 Острый бронхит, вызванный стрептококком
J20.3 Острый бронхит, вызванный вирусом Коксаки
J20.4 Острый бронхит, вызванный вирусом парагриппа
J20.5
Острый
бронхит, вызванный респираторным синцитиальным вирусом
J20.6 Острый бронхит, вызванный риновирусом
J20.7 Острый бронхит, вызванный эховирусом
J20.8 Острый бронхит, вызванный другими уточненными агентами
J20.9 Острый бронхит неуточненный
В МКБ-10 принят этиологический подход в классификации острого бронхита. Однако, ряд
объективных и субъективных факторов (нетяжелое течение заболевания, невозможность
получить качественный клинический материал, отсутствие возможностей для
вирусологического
исследования,
недостаточная
информативность
традиционных
микробиологических исследований, распространенная практика самолечения, включающего
прием АБП и др.) являются причиной того, что этиология заболевания верифицируется
крайне редко.

110. Классификация заболевания или состояния (группы заболеваний или состояний)

В зависимости от этиологического фактора выделяют:
острый
бронхит инфекционногопроисхождения (вирусный,
бактериальный, вызванный вирусно-бактериальной ассоциацией);
острый
бронхит, обусловленный
ингаляционным
воздействием химических или физических факторов.

111. Клиническая картина заболевания или состояния (группы заболеваний или состояний)

Клиническая картина острого бронхита характеризуется, как правило, острым началом,
наличием симптомов, обусловленных поражением верхних и нижних дыхательных
путей, и симптомами интоксикации различной степени выраженности.
Симптомы ОБ, обусловленные поражением дыхательных путей:
основной симптом – кашель, как правило, продуктивный с отделением небольшого
количества слизистой, а иногда и гнойной мокроты. В ряде случаев кашель приобретает
надсадный мучительный характер;
дискомфорт в грудной клетке;
при аускультации выслушивается дыхание с удлиненным выдохом, диффузные сухие
свистящие и жужжащие хрипы;
в тяжелых случаях пациента беспокоит одышка;
нередко наблюдаются симптомы поражения верхних отделов респираторного тракта
(заложенность носа, ринорея, нарушение носового дыхания, гиперемия ротоглотки). При
инфекции, вызванной вирусом парагриппа, нередко наблюдается осиплость голоса. Для
аденовирусной инфекции характерно развитие конъюнктивита.

112. Клиническая картина заболевания или состояния (группы заболеваний или состояний)

Симптомы интоксикации:
повышение температуры тела (как правило, до субфебрильных значений)
головная боль
общая слабость и пр.
Наиболее частые симптомы и изменения данных физикального
обследования при остром бронхите приведены в таблицах 2 и 3.

113. Клиническая картина заболевания или состояния (группы заболеваний или состояний)

Таблица 2. Симптомы острого бронхита [7]
Симптомы
Частота
встречаемости, %
1. Кашель
2. Выделение мокроты
92
62
3. Ринорея
4. Боль в горле
5. Слабость
50
50
48
6. Головная боль
7. Затекание слизи из носа в дыхательные
пути
8. Одышка
9. Озноб
10. Свистящее дыхание
11. Гнойные выделения из носа
12. Мышечные боли
13. Лихорадка
14. Повышенная потливость
15. Боль в придаточных пазухах носа
16. Боль в грудной клетке
17. Затруднение дыхания
46
42
42
38
35
33
32
30
29
28
17
14

114. Клиническая картина заболевания или состояния (группы заболеваний или состояний)

Таблица 3. Данные объективного обследования, характерные для острого бронхита [7]
Симптомы
1. Гиперемия глотки
2. Увеличение шейных лимфатических узлов
3. Дистанционные хрипы
4. Сухие свистящие хрипы при аускультации
5. Болезненность придаточных пазух при
пальпации
6. Гнойные выделения из носа
7. Заложенность ушей
8. Увеличение миндалин
9. Температура тела более 37,8 °С
10. Экспираторная одышка
11. Ослабление дыхательных шумов
Частота
встречаемости, %
45
19
18
17
16
15
15
11
9
9
7

115. Клиническая картина заболевания или состояния (группы заболеваний или состояний)

Клиническая картина заболевания зависит от актуального возбудителя и в ряде
случаев можно выделить ряд характерных особенностей в течении болезни.
Так, типичная гриппозная инфекция начинается, как правило, с резкого
подъема температуры тела (38°С – 40°С), которая сопровождается ознобом,
головокружением, болями в мышцах, головной болью и общей слабостью.
Температура достигает максимума к концу первых – началу вторых суток
болезни. К этому времени все симптомы гриппа максимально выражены.
Ринорея, как правило, не наблюдается, напротив, больные часто жалуются на
чувство сухости в носу и глотке. В большинстве случаев появляется сухой или
малопродуктивный кашель, сопровождающийся болью за грудиной.
Длительность лихорадочного периода составляет в среднем 3–5 дней, общая
продолжительность заболевания 7–10 дней. Снижение температуры тела
сопровождается улучшением состояния пациента, однако явления
постинфекционной астении могут сохраняться в течение 2–3 недель, что чаще
всего наблюдается у пожилых больных.

116. Клиническая картина заболевания или состояния (группы заболеваний или состояний)

Mycoplasma pneumoniae – чаще встречается у молодых пациентов (16-40 лет),
течение заболевания характеризуется фарингитом, общим недомоганием, слабостью,
потливостью и длительным постоянным кашлем (более четырех недель). В тоже
время, в случае остро развившегося кашля M. pneumoniae, как верифицированный
возбудитель возникшей инфекции дыхательных путей, по данным исследований
встречается менее чем в 1% случаев.
Хламидийная инфекция (C. pneumoniae) у взрослых пациентов с диагнозом острый
бронхит выявляется менее чем в 5%. Клинические особенности описываются как
сочетание симптомов бронхита, фарингита и ларингита. Пациенты наиболее часто в
жалобах отмечают хрипоту, осиплость голоса, субфебрильную лихорадку, першение
в горле и, как следствие, постоянный малопродуктивный кашель с отхождением
слизистой мокроты.
Возбудители коклюша и паракоклюша – Bordetella pertussis и Bordetella
parapertussis определяются по данным отдельных исследований в среднем у 10%
взрослых с кашлем продолжительностью более 2 недель. Основной жалобой
пациентов является надсадный «лающий» кашель. В тоже время клиническая
симптоматика коклюша у взрослых нередко остается неоцененной, а, возможно, и
«стертой», вследствие приема больными противокашлевых средств.

117. Диагностика заболевания или состояния (группы заболеваний или состояний) медицинские показания и противопоказания к применению

Диагноз ОБ формируется синдромально на основании наличия характерных
клинических симптомов острого поражения бронхиального дерева, данных
лабораторных и инструментальных исследований при условии исключения
хронической патологии бронхолегочной системы и острого инфекционного
процесса с поражением легочной ткани.
Для ОБ не существует патогномоничных симптомов, поэтому чаще всего
предварительный диагноз ставится на основании клинической картины и
анамнеза заболевания, поэтому, ОБ – диагноз исключения.
Тщательный сбор анамнеза, оценка клинических симптомов и данных
физического
обследования
позволяет
исключить
серьезные,
жизнеугрожающие заболевания (внебольничная пневмония).
При формулировке диагноза ОБ учитывают особенности клинического
течения заболевания (степень тяжести, период болезни) и приводят его
обоснование. При наличии осложнений и сопутствующих заболеваний
запись делается отдельной строкой для каждого из пунктов.

118. Диагностика заболевания или состояния (группы заболеваний или состояний) медицинские показания и противопоказания к применению

Учитывая клинические проявления (продуктивный кашель нередко с эспекторацией гнойной
мокроты, интоксикация, дискомфорт в грудной клетке) дифференциальная диагностика
должна проводиться, прежде всего, в отношении внебольничной пневмонии (ВП). Так, остро
возникший кашель, у пациента с субфебрильной температурой тела (температура тела менее
38ºС), с симптомами инфекции верхних дыхательных путей (боль в горле, насморк), при
отсутствии тахикардии (пульс менее 100 уд. в мин), тахипноэ и локальной
физической симптоматики является характерной клинической картиной, присущей ОБ
вирусной этиологии. Напротив, при наличии у пациента фебрильной лихорадки (более 38°С),
ознобов, гнойного характера откашливаемой мокроты, сопровождающегося болью, в груди,
усиливающейся на вдохе/кашле, тахипноэ, а также наличие локальной физической
симптоматики (укорочение перкуторного звука, бронхиальное дыхание, феномена
крепитации, влажных хрипов и др.) следует склониться в пользу диагноза ВП.
В этих условиях важное значение приобретает необходимость полноценного осмотра больного,
анализ аускультативной картины и доступность рентгенологических методов исследования.
Показания для проведения рентгенологического исследования органов грудной клетки амбулаторным
больным с жалобами на остро возникший кашель с целью исключения диагноза пневмонии приведены
выше. Помимо вышеперечисленного, целесообразно выполнять рентгенологическое обследование у
больных пациентов пожилого и старческого возраста в случае сохранения у них лихорадки более 3-х
суток.

119. Диагностика заболевания или состояния (группы заболеваний или состояний) медицинские показания и противопоказания к применению

При новой коронавирусной инфекции, в отличие от других респираторных вирусов, как
правило, не наблюдается поражение эпителия трахеобронхиального дерева (отсутствует
продуктивный кашель), однако клинические проявления такие как температура, надсадный
сухой кашель, общая слабость могут быть обусловлены вирусом SARS-CoV-2. Для уточнения
диагноза целесообразно выполнение иммунохроматографического экспресс-теста и
вирусологическое исследование (ПЦР-тест).
Дифференциальная диагностика в случае затяжного течения заболевания, протекающего с
явлениями бронхообструкции и/или длительным кашлем, должна проводиться с обострение
хронического бронхита/ХОБЛ, обострением бронхиальной астмы (БА). Диагностические
критерии ХОБЛ, БА представлены в соответствующих клинических рекомендациях.
Наиболее частой клинической ситуацией является проведение дифференциальной
диагностики с обострением хронического бронхита ввиду
того, что наличие ряда критериев (гнойная мокрота) при обострении ХБ требует решения
вопроса о назначении АМП, тогда как при ОБ наличие гнойной мокроты не свидетельствует в
пользу бактериальной инфекции. Под хроническим бронхитом в настоящее время понимают
хроническое воспалительное заболевание бронхов, характеризующееся морфологической
перестройкой их слизистой оболочки и проявляющееся кашлем с выделением мокроты в
течение 3 месяцев и более в году на протяжении 2-х последовательных лет.

120. Жалобы и анамнез

У всех больных с подозрением на ОБ рекомендуется провести оценку жалоб,
социального статуса, собрать полный медицинский, эпидемиологический и
профессиональный анамнез.
Клиническая картина острого бронхита характеризуется острым началом,
наличием симптомов, обусловленных поражением верхних и нижних
дыхательных путей, и симптомами интоксикации различной степени
выраженности.
Сбор анамнеза, оценка социального статуса и семейно-бытовых условий
важны для уточнения факторов риска инфицирования определенными
возбудителями ОБ. Клиническая картина заболевания зависит от
актуального возбудителя и в ряде случаев можно выделить ряд
характерных особенностей в течении болезни – см. раздел 1.6.
Однако, несмотря на наличие определенных характерных признаков той
или иной инфекции в течении ОБ, каких-либо закономерностей,
позволяющих с высокой степенью надежности предсказать возбудителя
заболевания без использования дополнительных лабораторных методов
исследования в настоящее время не существует.

121. Физикальное обследование

У всех больных ОБ рекомендуется провести общий осмотр, измерить
показатели жизнедеятельности (ЧДД, ЧСС, АД, температура
тела,сатурация) и выполнить детальное обследование грудной клетки.
Физическими признаками ОБ являются выслушиваемые при
аускультации легких: жесткое дыхание (в том числе с удлиненным
выдохом), диффузные сухие свистящие и жужжащие хрипы. Однако,
необходимо отметить, что данные, получаемые при физическом
обследовании, зависят от многих факторов, включая возраст
пациента, наличие сопутствующих заболеваний и пр.

122. Лабораторные диагностические исследования

Всем больным ОБ рекомендуется развернутый общий анализ крови с определением уровня лейкоцитов, эритроцитов,
тромбоцитов, лейкоцитарной формулы.
Данные общего анализа крови не являются специфичными, однако при ОБ вирусной этиологии в общем анализе
крови как правило не отмечается лейкоцитоза и палочкоядерного сдвига в сторону юных форм, напротив,
лейкоцитоз >10-12´109/л с повышением уровня нейтрофилов и/или палочкоядерный сдвиг >10%, нейтрофильнолимфоцитарное соотношение > 20, указывают на высокую высокую вероятность бактериальной инфекции, что
требует дальнейшего обследования пациента с целью исключения пневмонии.
Госпитализированным больным с ОБ рекомендуется:
Биохимический анализ крови (мочевина, креатинин, электролиты, печеночные ферменты, билирубин,
глюкоза, альбумин);
Биохимический анализ крови не дает какой-либо специфической, но обнаруживаемые отклонения могут
указывать на наличие органной дисфункции, декомпенсацию сопутствующих заболеваний, а также имеют
определенное прогностическое значение при выборе ЛС и/или режима их дозирования.
Исследование уровня С-реактивного белка (СРБ) в сыворотке крови рекомендутся при дифференциальной
диагностике с пневмонией и для определении показаний к антибактериальной терапии;
Определение СРБ при ОБ направлено на исключение бактериальной инфекции. Так при пороговом значении С реактивного белка менее 20 мг/л в подавляющем числе случаев ОБ можно предположить вирусную этиологию
заболевания и отказаться от применения антибиотиков. Напротив, уровень СРБ >50 мг/л подтверждает
подозрение в пользу бактериальной инфекции (концентрация СРБ более 100 мг/л свидетельствует в пользу
пневмонии), в связи с чем рекомендовано обследование, направленное на исключение бактериального процесса
(ОАК, рентгенография ОГК) [5, 29]. В случае промежуточных значений (уровень СРБ от 20 до 50 мг/л),
рекомендовано динамическое наблюдение, обследование, направленнное на исключение бактериального
процесса.

123. Лабораторные диагностические исследования

Микробиологическая диагностика при ОБ включает культуральное исследование
мокроты, экспресс-тесты по выявлению гриппа, ПЦР- диагностику для выявления
респираторных вирусов, иммуносерологические исследования на основании
клинической картины заболевания.
При ОБ микробиологические исследования рутинно не проводятся.
При неосложненном ОБ микробиологические исследования, направленные
этиологического диагноза, не оказывают существенного влияния на тактику лечения.
на
верификацию
Исследование респираторного образца (мокрота, мазок из носоглотки и задней стенки глотки и др.) на
грипп методом ПЦР во время эпидемии гриппа в регионе или наличии соответствующих клинических
и/или эпидемиологических данных;
Ранняя диагностика вирусов гриппа играет важную роль при выборе режима эмпирической терапии.
Основным методом идентификации вирусов гриппа в настоящее время является ПЦР и ее модификации.
Существуют экспресс- тесты для выявления антигенов гриппа А и Б в респираторных образцах,
основанные на иммуноферментном анализе (ИФА) или иммунохроматографическом методе. Их основным
преимуществом является возможность выполнения “у постели больного” и быстрота получения
результата. Однако, они характеризуются вариабельной чувствительностью и специфичностью, в связи с
чем могут использоваться только в качестве скрининговых тестов с необходимостью дальнейшего
подтверждения результатов исследования более точными методами, в частности ПЦР.
При ОБ не рекомендуется рутинное использование методов идентификации
M. pneumoniae, C. pneumoniae и других респираторных вирусов (кроме вирусов гриппа).

124. Лабораторные диагностические исследования

При неосложненном ОБ микробиологические исследования, направленные на верификацию этиологического диагноза, не
оказывают существенного влияния на тактику лечения.
Исследование респираторного образца (мокрота, мазок из носоглотки и задней стенки глотки и др.) на грипп методом
ПЦР во время эпидемии гриппа в регионе или наличии соответствующих клинических и/или эпидемиологических
данных;
Ранняя диагностика вирусов гриппа играет важную роль при выборе режима эмпирической терапии. Основным методом
идентификации вирусов гриппа в настоящее время является ПЦР и ее модификации. Существуют экспресс- тесты для
выявления антигенов гриппа А и Б в респираторных образцах, основанные на иммуноферментном анализе (ИФА) или
иммунохроматографическом методе. Их основным преимуществом является возможность выполнения “у постели больного”
и быстрота получения результата. Однако, они характеризуются вариабельной чувствительностью и специфичностью, в
связи с чем могут использоваться только в качестве скрининговых тестов с необходимостью дальнейшего подтверждения
результатов исследования более точными методами, в частности ПЦР.
При ОБ не рекомендуется рутинное использование методов идентификации
M. pneumoniae, C. pneumoniae и других респираторных вирусов (кроме вирусов гриппа).
Целесообразность выполнения исследований, направленных на выявление
M. pneumoniae и C. pneumonia должна определяться клиническими показаниями для конкретного пациента («семейный»
анамнез, затяжное течение заболевания, бронхообструктивный синдром и пр.) Основной метод диагностики M. pneumoniae ПЦР (ПЦР-РТ), для выявления C. pneumoniae используются молекулярные и серологические методы исследования.
Предпочтительно исследовать клинический материал из нижних дыхательных путей (мокрота), при невозможности
получения - объединенный мазок из носоглотки и задней стенки глотки.
Современные методы обнаружения респираторных вирусов основаны на выявлении РНК/ДНК возбудителей с помощью
ПЦР и антигенов методами иммуно-хроматографии, ИФА, иммунофлюоресценции. В настоящее время доступны
мультиплексные ПЦР тест-системы, предусматривающие одновременное выявление РНК/ДНК нескольких респираторных
вирусов, в частности, РС-вируса, метапневмовируса и бокавируса человека, вирусов парагриппа, аденовирусов,
коронавирусов, риновирусов.

125. Инструментальные диагностические исследования

Инструментальная диагностика при ОБ включает лучевые методы исследования
(рентгенография
органов
грудной
полости),
пульсоксиметрию,
электрокардиографическое исследование (ЭКГ).
Показаниями для проведения рентгенологического исследования органов грудной клетки
амбулаторным больным с жалобами на остро возникший кашель с целью исключения
диагноза пневмонии является выявление в ходе осмотра пациента увеличения частоты
сердечных сокращений более 100 в минуту, одышки более 24 в минуту, или температуры
тела >380С, либо выслушивание при аускультации влажных хрипов на стороне
поражения:
Обзорная рентгенография органов грудной полости (ОГП) в передней прямой и
боковой проекциях (при неизвестной локализации воспалительного процесса
целесообразно выполнять снимок в правой боковой проекции);

126. Инструментальные диагностические исследования

У пациента с ОБ каких-либо изменений при рентгенографии органов грудной клетки не
наблюдается.
Всем пациентам с ОБ рекомендуется:
Пульсоксиметрия с измерением SpO2 для выявления ДН;
Пульсоксиметрия является простым и надежным скрининговым методом, позволяющим
выявлять пациентов с ДН. Острый бронхит ДН, как правило, не сопровождается.
Пациентам с ОБ, имеющим сопутствующую патологию со стороны сердечно- сосудистой
системы рекомендуется проведение ЭКГ в стандартных отведениях.
Данное исследование не несет в себе какой-либо специфической информации при ОБ.
Однако, течение заболевания увеличивает риск декомпенсации
хронических сопутствующих заболеваний увеличивает риск развития нарушений ритма и
острого коронарного синдрома (ОКС).

127. Инструментальные диагностические исследования

Диагностические исследования с целью исключения постназального затека,
бронхиальной астмы, эзофаго-гастрального рефлюкса следует проводить в тех
случаях, когда по результатам проведенного врачебного осмотра выявляются
особенности клинической картины заболевания, либо при наличии у пациента
кашля, продолжительностью более 4-х недель.

128. Лечение, включая медикаментозную и немедикаментозную терапии, диетотерапию, обезболивание, медицинские показания и

1. Требования к уходу за пациентом и вспомогательным процедурам
Изоляция пациента.
Соблюдение масочного режима.
Домашний режим в течение острого периода болезни.
Индивидуальные и одноразовые средства по уходу.
Гигиеническая обработка слизистых полости рта и носа.
2. Требования к диетическим назначениям и ограничениям
При отсутствии заболеваний органов пищеварения и отсутствии показаний для
назначения специализированной диеты показан стол №15.

129. Лечение, включая медикаментозную и немедикаментозную терапии, диетотерапию, обезболивание, медицинские показания и

Медикаментозные средства
Антибиотики
При ОБ применение антимикробных препаратов не рекомендовано
Применение антибактериальных препаратов при неосложненном ОБ, до настоящего
времени является проблемой для практической медицины [8, 10, 30-31]. Так, в
целом ряде РКИ был сделан вывод о том, что антибиотики не оказывают никакого
влияния на улучшение состояния пациентов [32-33]. В тоже время, сообщается о
высокой
частоте
нежелательных
явлений,
которые
сопутствуют
антибиотикотерапии [8, 33]. Другой проблемой неоправданного назначения
антибиотиков при ОБ является рост устойчивости актуальных респираторных
патогенов к антибактериальным препаратам. И лишь в некоторых наблюдениях мы
найдем свидетельства того, что назначение антибиотиков на амбулаторном этапе
сопровождается возможным снижением частоты госпитализаций по поводу
инфекций дыхательных путей у пациентов старших возрастных групп [34]. Однако,
в настоящее время, всеми авторами признается, что единственной клинической
ситуацией, при которой оправдано стартовое назначение антибиотиков пациенту с
острым
кашлем
является
вероятная
инфекция,
вызванная Bordetella pertussis. В таком случае рекомендуется назначать
макролиды – кларитромицин.

130. Лечение, включая медикаментозную и немедикаментозную терапии, диетотерапию, обезболивание, медицинские показания и

Медикаментозные средства
Антибиотики
Показания к антибактериальной терапии при установленном диагнозе
«Острый бронхит»:
кашель с гнойной мокротой (грязно-желто-зеленой) в сочетании с выраженной интоксикацией (снижение
аппетита, недомогание, слабость при отсутствии другой диагностической альтернативы) при:
числе лейкоцитов ≥12,0 109/л (и/или нейтрофилов ≥5,5 109/л), палочкоядерных ≥10%, в анализе
периферической крови и/или,
СРБ >50 мг/л
Бронхолитики
Рутинное применение бронхолитиков при ОБ не рекомендовано. Применение бронхолитиков оправдано
только у пациентов с ОБ с неотвязным кашлем и признаками бронхиальной гиперреактивности.
Глюкокортикостероиды
Применение ингаляционных кортикостероидов у пациентов с ОБ не рекомендовано
Мукоактивные средства
Пациентам с ОБ при наличии продуктивного кашля рекомендовано назначение мукоактивных препаратов для
разжижения и улучшения отхождения мокроты.
Противокашлевые препараты
Применение противокашлевых препаратов при ОБ, сопровождающемся продуктивным кашлем не рекомендовано
Жаропонижающие препараты
Рекомендовано назначение нестероидных противовоспалительных препаратов пациентам с гипертермией выше
380С, мышечными и суставными болями с жаропонижающей, болеутоляющей и противовоспалительной целью.

131. Медицинская реабилитация, медицинские показания и противопоказания к применению методов реабилитации

В настоящее время доказательная база по методам реабилитации пациентов с ОБ
отсутствует.

132. Профилактика и диспансерное наблюдение, медицинские показания и противопоказания к применению методов профилактики

С целью профилактики ОБ гриппозной этиологии применяются
гриппозные вакцины.
Введение гриппозной вакцины ежегодно рекомендуется всем пациентам с
высоким риском осложненного течения гриппа.
К группам риска осложненного течения гриппа относятся [44]:
Пациенты в возрасте 65 лет и старше.
Лица с сопутствующими хроническими заболеваниями бронхолегочной,
сердечно-сосудистой системы, СД, заболеваниями почек, крови, нервной
системы (эпилепсия, миопатии и др.).
Лица с иннупосупрессией (включая ВИЧ и прием иммунодепрессантов).
Беременные.
Пациенты с морбидным ожирением (индекс массы тела ≥40 кг/м2).
Лица, проживающие в домах престарелых и других учреждениях закрытого
типа.

133. Профилактика и диспансерное наблюдение, медицинские показания и противопоказания к применению методов профилактики

Вакцинация
также
рекомендуется
медицинским
работникам,
осуществляющим лечение и уход за лицами, входящими в группы
высокого риска осложнений гриппа.
Вакцинация гриппозной вакциной проводится ежегодно, оптимальное
время для проведения вакцинации – октябрь – первая половина ноября.
Предпочтение у взрослых следует отдавать инактивированным вакцинам.
Неспецифическая профилактики ОБ включает в себя санитарногигиенические мероприятия – раннее выявление больных; гигиеническая
обработка рук, туалет слизистых носа и ротоглотки, избегание сквозняков,
регулярные проветривания помещений, предотвращение контактов с
больными лицами, своевременная изоляция заболевших пациентов.
После заболевания в течение 1 месяца рекомендовано воздержаться от
профилактических прививок.
Рекомендовано диспансерное наблюдение у врача-терапевта при развитии
осложнений.

134. Организация оказания медицинской помощи

Показаниями для консультации врача-пульмонолога являются: уточнение диагноза,
необходимость привлечения дополнительных методов диагностики, затяжное
течение ОБ смена терапевтической стратегии при отсутствии эффекта от
назначенной ранее терапии в течение 10-14 дней.
На выбор тактики лечения оказывают влияние следующие факторы: возраст
пациента; характер сопутствующих заболеваний; клиническая форма болезни;
характер течения болезни (динамика нарастания симптомов); тяжесть заболевания;
наличие и характер осложнений.
Лечение пациентов проводится в амбулаторных условиях.
В случае безуспешности проводимого лечения у пациентов из группы риска или
невозможности его проведения в амбулаторных условиях рассматривается вопрос о
госпитализации в стационар.
Рекомендована госпитализация в пульмонологические отделения медицинских
организаций, оказывающих медицинскую помощь взрослым пациентам с
заболеваниями органов дыхания.
Рекомендована срочная госпитализация больного ОБ в стационар при наличии
следующих критериев: тахипноэ более 24 дыханий в минуту; гипоксемия (SрO2
<94%);

135. Дополнительная информация (в том числе факторы, влияющие на исход заболевания или состояния)

К группам риска тяжелого течения ОБ относятся следующие лица:
беременные на любом сроке беременности и в послеродовый период;
лица с хроническими заболеваниями сердечно-сосудистой системы
(пороки сердца, ГБ, ИБС с признаками сердечной недостаточности и др.);
лица с нарушениями обмена веществ (сахарный диабет, ожирение 2–3
степени и др.);
лица с хронической болезнью почек; лица с хроническими заболеваниями
печени; лица, с определенными неврологическими состояниями (включая
нейромускульные, нейрокогнитивные нарушения, эпилепсию); лица с
гемоглобинопатиями;
лица с первичными и вторичными иммунодефицитами (ВИЧ-инфекция,
прием иммуносупрессорных медикаментов и т.п.);
лица со злокачественными новообразованиями;
лица в возрасте 65 лет и старше.

136. Хронический бронхит

клинически определяется, как заболевание
при наличии кашля с продукцией мокроты на протяжении, по крайней
мере, 3-х месяцев в течение 2-х последовательных лет.
Обострение хронического бронхита определяется, как состояние,
связанное с ухудшением состояния стабильного пациента с симптомами
увеличения объема мокроты, гнойной мокротой, появлением или
нарастанием одышки.

137. Хронический бронхит

В настоящих клинических рекомендациях хронический бронхит
определяется, как самостоятельное заболевание, не связанное с какимлибо
другим
заболеванием,
сопровождающееся
хронической
бронхиальной гиперсекрецией, не менее 3 месяцев подряд в течение 2-х
и более лет, которая обычно проявляется, как продуктивный кашель.
Пациентам с хроническим продуктивным кашлем не менее 3 меся- цев подряд
в течение 2-х и более лет, не сопровождающийся функциональными признаками бронхиальной обструкции, рекомендуется устанавливать диагноз ХБ при
исключении других возможных респираторных или иных причин.

138. Этиология и патогенез заболевания или состояния (группы заболеваний или со- стояний)

Факторы риска
Факторами риска развития и обострения ХБ могут быть:
наличие вредных привычек (курение),
воздействие физических и химических факторов (вдыхание пыли, дыма, окиси уг- лерода,
сернистого ангидрида, окислов азота и других химических соединений),
климатические факторы (сырой и холодный климат),
сезонность (осень, зима, ранняя весна),
аллергические заболевания и иммунодефицитные состояния,
вирусная инфекция (обычно имеет значение как причина обострения),
генетические факторы, конституциональная предрасположенность

139. Патогенез

Нарушение дренажной функции бронхов развивается как следствие сочетания ряда факторов:
спазма гладких мышц бронхов, возникающего в результате непосредственного раз- дражающего
воздействия экзогенных факторов и воспалительных изменений сли- зистой оболочки;
гиперсекреции слизи, изменения её реологических свойств, приводящих к наруше- нию
мукоцилиарного транспорта и закупорке бронхов вязким секретом;
метаплазии эпителия из цилиндрического в многослойный плоский и его гиперпла- зии;
воспалительного отёка и инфильтрации слизистой оболочки;
аллергических изменений слизистой оболочки.

140. Особенности кодирования заболевания или состояния (группы заболеваний или состояний) по Международной статистической

J40 Бронхит, не уточненный, как острый или хронический
J41 Простой и слизисто-гнойный хронический бронхит
o J41.0 Простой хронический бронхит
o J41.1 Слизисто-гнойный хронический бронхит
o J41.8 Смешанный, простой и слизисто-гнойный хронический бронхит
J42 Хронический бронхит не уточненный

141. Классификация заболевания или состояния (группы заболеваний или состояний)

I.
II.
Функциональная характеристика:
необструктивный
с обструктивным синдромом
Характер воспаления:
катаральный
слизисто-гнойный
гнойный
I.
Степень тяжести течения:
II.
легкая
средняя
тяжелая
Фаза заболевания:
обострение
нестойкая ремиссия (стихающее обострение)
клиническая ремиссия.

142. Клиническая картина заболевания или состояния (группы заболеваний или состояний

Основным и существенным симптомом ХБ является кашель с продукцией мокро- ты. ХБ может
сосуществовать с любым из ниже перечисленных заболеваний:
а) локализованные заболевания легких любого рода, такие как туберкулез, пневмония, кистозные
заболевания и бронхоэктазия;
(б) генерализованные заболевания легких (обструктивные, гранулематозные и ин- терстициальные заболевания,
пневмокониозы);
(c) первичные сердечно-сосудистые или почечные заболевания.
Некоторые пациенты утверждают, что у них хронический или рецидивирующий кашель без
продукции мокроты, однако, мокрота есть, но пациенты ее проглатывают. В случаях, когда кашель
непродуктивный он может быть расценен, как "хронический сухой кашель", пока конкретная причина
кашля не определена.
Формулировка клинического диагноза «хронический бронхит»
Клинический вариант (необструктивный, с обструктивным синдромом)*
Форма заболевания (по характеру воспаления: катаральный, катарально-гнойный, гнойный)
Фаза процесса (обострение, стихающее обострение или нестойкая ремиссия, ре- миссия)
Осложнения
*При формулировке диагноза хронического необструктивного бронхита термин
«необструктивный» может не применяться.

143. Диагностика заболевания или состояния (группы заболеваний или со- стояний), медицинские показания и противопоказания к

Критерии установления диагноза:
1.
«Кашлевой анамнез» (кашель малопродуктивный или с выделением
мокроты в те- чение 3 месяцев не менее 2-х лет)
2.
Отсутствие другой патологии бронхолегочного аппарата (туберкулез,
бронхоэкта- тическая болезнь, пневмония, бронхиальная астма, рак
легкого и др.), обусловли- вающей «кашлевой анамнез»
3.
Выявление обструкции дыхательных путей (ее обратимого и необратимого
компо- нента) при дифференциальной диагностике ХОБЛ.

144. Диагностика заболевания или состояния (группы заболеваний или со- стояний), медицинские показания и противопоказания к

Таблица 3. Перечень заболеваний, сопровождающихся хроническим кашлем [23]
Заболевание
Бронхиальная астма
Клинико-анамнестические
данные
1.
«Свистящее» дыхание, приступообразная одышка, уду- шье,
вызываемые в т.ч. физической нагрузкой, вдыхани- ем
холодного воздуха
Туберкулез
Лихорадка, потеря веса, ночная потливость, кровохарка- нье
Рак легкого
Преклонный возраст, история табакокурения, потеря ве- са,
кровохарканье
Метастатическая болезнь
легких
Ранее диагностированное солидное злокачественное новообразование
Хроническая сердечная недостаточность
История сердечно-сосудистого заболевания, одышка,
ортопноэ, периферические отеки
Хроническая обструктивная
болезнь легких
История табакокурения (ИК ≥ 10 «пачка/лет»), хроническая продукция мокроты
Интерстициальное
заболевание легких
Одышка, возможная экспозиция факторов внешней сре- ды,
звучная инспираторная крепитация

145. Жалобы и анамнез

Жалобы:
Кашель - основная жалоба у пациентов с ХБ.
Характеристика кашля:
по времени возникновения: утром, днём, вечером, ночью;
по периодичности: частый, периодический, постоянный,
приступообразный, болез- ненный, безболезненный;
по характеру: непродуктивный (сухой), продуктивный (влажный);
по интенсивности: покашливание, лёгкий, сильный;
по звучности: беззвучный, покашливание, грубый;
по продолжительности: эпизодический кратковременный или
приступообразный постоянный;
по течению: острый кашель до 3 недель, подострый от 4 недель до 8
недель, хрони- ческий более 8 недель.

146. Жалобы и анамнез

Анамнез заболевания:
Начало ХБ постепенное: утренний кашель с отделением слизистой
мокроты, кото- рый постепенно начинает беспокоить в течение суток,
усиливаясь в холодную и сырую погоду, продолжается на протяжении
большинства дней за период не менее 3 мес. подряд в течение 2-х и более
лет и с годами становится постоянным [17].

147. Жалобы и анамнез

На начальных стадиях ХБ кашель отмечается только по утрам – «утренний туалет
бронхов» c небольшим количеством мокроты, усиление кашля может отмечаться в
холод- ное, сырое время года.
C течением времени частота кашля нарастает (утренние часы, утренние и дневные
часы, в течение суток). Возникает он в результате раздражения рецепторов
блуждающего нерва в рефлексогенных кашлевых зонах, расположенных в слизистой
оболочке трахеи и местах деления главных бронхов («шпоры»).
В мелких бронхах кашлевых рецепторных зон нет, поэтому кашель c мокротой –
основное проявление проксимального бронхита. При выраженном экспираторном
коллап- се трахеи и крупных бронхов (провисание мембранозной части трахеи в ее
просвет и спа- дении бронхов на выдохе) кашель принимает характер «лающего» и
может сопровождать- ся синкопальными состояниями (кратковременной потерей
сознания вследствие острой гипоксии мозга).

148. Физикальное обследование

Физикальные патологические симптомы у больных с ХБ могут отсутствовать.
Из- менения при аускультации: а именно: сухие хрипы рассеянного характера,
преимуще- ственно в задне-нижних отделах грудной клетки, грубые
жужжащие сухие хрипы при во- влечении в процесс крупных и средних
бронхов, а также свистящие хрипы, особенно хо- рошо слышимые на выдохе,
характерны для поражения мелких бронхов, свидетельству- ющие о
бронхоспастическом синдроме.

149. Лабораторные диагностические исследования

В начальном периоде болезни, а также у пациентов в период ремиссии ХБ изменений лабораторно-инструментальных показателей может не быть. При
прогрессировании ХБ лабораторные и инструментальные методы исследования
приобретают существенное значение. Они используются для выявления
активности воспалительного процесса, уточ- нения клинической формы
заболевания, выявления осложнений, дифференциальной диа- гностики с
заболеваниями, имеющими сходные клинические симптомы. Пациентам с
хроническим продуктивным кашлем не менее 3 месяцев подряд в те- чение 2-х и
более лет, рекомендуется устанавливать диагноз ХБ после исключения других
возможных респираторных или сердечных причин [2].
Всем пациентам с хроническим кашлем рекомендуется оценить прямое воздей- ствие
респираторных раздражителей (различных типов курительного дыма); пассивное воздействие
курительного дыма на работе и дома; неблагоприятные профессиональные и/или жилищнобытовые условия, так как все они являются предрасполагающими факто- рами развития
хронического бронхита [2].

150. Инструментальные диагностические исследования

Рентгенологические методы
Рекомендуется проведение рентгенографии лёгких в передней прямой проекции всем пациентам с подозрением на
ХБ для исключения других заболеваний органов дыха- ния [1, 2, 78].
У большинства из них на обзорных рентгенограммах изменения в лёгких отсутствуют. При длительном течении ХБ
наблюдается сетчатая деформация лёгоч- ного рисунка, которая часто сочетается с другими признаками
дистального бронхита. Рентгенография легких оказывает помощь в диагностике осложнений или другой патоло- гии
органов дыхания (пневмония, бронхоэктазы), при дифференциальной диагностике с заболеваниями, при которых
симптомы бронхита могут сопутствовать основному процес- су (туберкулёз, опухоль и т. д.) [1, 2].
Компьютерная томография
Не рекомендуется использовать компьютерную томографию высокого разрешения (КТВР) органов грудной клетки
пациентов с ХБ для рутинного обследования [2, 78].
Компьютерная томография органов грудной клетки используется не для подтверждения ХБ, а для выявления других
патологических изменений органов дыхания (бронхоэктазы, эмфизема легких и пр.).
Исследование функции внешнего дыхания
Рекомендуется исследование неспровоцированных дыхательных объемов и пото- ков с целью выявления
рестриктивных и обструктивных нарушений лёгочной вентиляции у пациентов с ХБ при дифференциальной
диагностике с ХОБЛ для определения ФВД: ОФВ1, ЖЕЛ, ФЖЕЛ, ОФВ1/ФЖЕЛ [24].
Регистрация электрокардиограммы
Электрокардиография при ХБ не несет дополнительной информации при ХБ.

151. Обострение бронхита

Характерными особенностями ХБ является сезонность обострений
(ранняя весна, поздняя осень), причем фазы обострения и ремиссии при
этом варианте бронхита доволь- но четко разграничены.
В анамнезе определяется повышенная чувствительность к
переохлаждению и у многих пациентов указание на длительное курение.
У ряда пациентов заболевание связано с профессиональными
вредностями, мужчи- ны болеют чаще, чем женщины.
Рекомендуется у пациентов с ХБ для оценки наличия инфекционного
обострения применять следующие критерии [29, 80]:
появление или усиление одышки;
увеличение объема отделяемой мокроты
усиление гнойности мокроты.

152. Лечение, включая медикаментозную и немедикаментозную терапии, диетотерапию, обезболивание, медицинские показания и противопока-

Основные цели терапии ХБ должны быть направлены на различные
патофизиоло- гические механизмы, лежащие в основе данного заболевания:
уменьшить избыточное образования бронхиального секрета;
уменьшить выраженность воспаления в дыхательных путях;
улучшить отхождение бронхиального секрета путем улучшения
цилиарного транс- порта секрета и уменьшения вязкости слизи;
модифицировать кашель. Эти цели могут быть достигнуты с помощью
ряда неме- дикаментозных и медикаментозных средств.
Консервативное лечение
Немедикаментозная терапия
Отказ от курения

153. Лечение, включая медикаментозную и немедикаментозную терапии, диетотерапию, обезболивание, медицинские показания и противопока-

Медикаментозные средства
Муколитические препараты
Противокашлевые препараты
Бронходилататоры
Не рекомендуется
Глюкокортикостероиды
Антибиотики
Показания к антибактериальной терапии при обострении
А). 3 «больших» критерия Anthonisen (усиление одышки; увеличение объема
экспектори- руемой мокроты; усиление гнойности мокроты) или 2 «больших»
критерия Anthonisen (один из них – усиление гнойности мокроты);
Б). 1 «большой» + ≥ 2 «малых» критерия Anthonisen (инфекция верхних
дыхательных пу- тей; лихорадка; свистящее дыхание; усиление кашля; учащение
ЧСС и/или ЧД на ≥ 20%).

154. Лечение, включая медикаментозную и немедикаментозную терапии, диетотерапию, обезболивание, медицинские показания и противопока-

Антибактериальная терапия при обострении хронического бронхита
Тип обострения ХБ
Простое
(«неосложнен- ное»)
обострение
хронического бронхита
«Осложненное»
обострение
хрониче
- ского бронхита2
Вероятные
бактериальные
возбудители
H.influenzae
S.pneumoniae
H.influenzae
S.pneumoniae
Enterobacteriace
ae spp.
Эмпирическая АБТ
Препараты выбора:
Амоксициллин1
или
пероральные
цефалоспорины
III (цефподоксим,
цефдиторен
цефиксим)!1
Препараты альтернативы:
Амоксициллин/
клавуланат
или
«респираторные
» фторхинолоны
Амоксициллин/клавулана
т или
«Респираторные» фторхинолоны

155. Организация оказания медицинской помощи

Плановые и неотложные госпитализации в круглосуточный стационар пациентов с
ХБ не предусмотрены [76].
Показания к окончанию лечения по поводу обострения ХБ [76]:
установление окончательного диагноза (исключение или подтверждение ХБ),
уменьшение экспекторации и гнойности мокроты, нормализация температуры те- ла,
пациент осознает необходимость прекращения курения,
клиническая стабильность состояния в течение 12-24 часов,
пациент понимает необходимость лечения муколитическими препаратами,
пациент обучен и способен при необходимости правильно пользоваться коротко- действующими ингаляционными
селективными бета2-адреномиметиками и анти- холинергическими средствами и их фиксированными
комбинациями.
Показаниями для направления пациентов с обострением ХБ в дневной стационар являются [30]:
необходимость проведения дополнительных методов обследования и диффе- ренциальной диагностики,
при появлении новых симптомов, не характерных для ХБ (одышка и ее про- грессирование, фебрильная
температура тела при исключении гриппа и других острых вирусных инфекций);
отсутствие положительного эффекта в ответ на амбулаторную терапию в тече- ние 3-х суток;
тяжелые сопутствующие состояния и заболевания (например, сердечная недо- статочность или аритмия,
сахарный диабет, ожирение и тд);
пожилой возраст при наличии сопутствующих заболеваний.

156.

Хроническая обструктивная болезнь
легких (ХОБЛ) – заболевание,
характеризующееся хроническим
диффузным неаллергическим воспалением
бронхов, проявляющееся кашлем с
мокротой и одышкой, не связанными с
поражением других органов и систем;
заболевание ведет к прогрессирующему
нарушению легочной вентиляции и
газообмена по обструктивному типу.

157. ХОБЛ

158. Распространенность

По официальным данным МЗ РФ в стране
насчитывается около 1 миллиона больных
ХОБЛ,(4 – 6 % в популяции)
в то время как по данным эпидемиологических
исследований число таких больных в нашей
стране может превышать 11 миллионов человек.
В ближайшие годы прогнозируется дальнейший
рост заболеваемости в России. Это связано с
ежегодным увеличением числа курящих людей,
рекламой табачных изделий, отсутствием
профилактических мероприятий на
государственном уровне.

159. Россия относится к странам с самым высоким уровнем курения табака – более 60-% мужчин и около 30% женщин

160.

Симптомы:
- приступы удушья;
- в конце приступа удушья кашель с отделением вязкой
стекловидной мокроты;
- часто перед приступом больные ощущают ауру в виде першения в
горле, стеснения в груди, кожного зуда;
- при осмотре: во время приступа - вынужденное положение с
фиксированным плечевым поясом, набухание шейных вен, грудная
клетка в состоянии глубокого вдоха;
- пальпаторно: во время приступа - резистентность грудной клетки
повышена, голосовое дрожание ослаблено;
- перкуторный тон во время приступа коробочный (признаки
повышения воздушности легочной ткани вследствие нарушения
выдоха - увеличение остаточного объема);
- аускультативно: дыхание жесткое, с резко удлиненным выдохом,
слышны дистантные сухие, преимущественно дискантовые хрипы
на выдохе. Ослабление дыхания, уменьшение хрипов и развитие
картины "немого легкого" характерно для развития астматического
статуса.

161. КЛАССИФИКАЦИЯ ХОБЛ:

I. По степени тяжести заболевания:
● Стадия I (легкое течение) – на этой стадии
больной может не замечать, что функция легких у
него нарушена. Обструктивные нарушения –
отношение ОФВ1 к форсированной ЖЕЛ легких
менее 70%, ОФВ1 более 80% от должных величин.
Обычно, но не всегда, у больного хронический
кашель и продукция мокроты.
● Стадия II (среднетяжелое течение) –
характеризуется увеличением обструктивных
нарушений (отношение ОФВ1 к форсированной ЖЕЛ
легких менее 70%, ОФВ1 больше 50%, но меньше
80% от должных величин), отмечается усиление
одышки, появляющейся при физической нагрузке.

162. КЛАССИФИКАЦИЯ ХОБЛ:

Стадия III (тяжелое течение)- сопровождается
дальнейшим увеличением ограничения воздушного
потока (отношение ОФВ1 к форсированной ЖЕЛ
легких менее 70%, ОФВ1 больше 30%, но меньше
50% от должных величин), нарастанием одышки,
частыми обострениями.
● Стадия IV (крайне тяжелое течение) –
характеризуется крайне тяжелой бронхиальной
обструкцией (отношение ОФВ1 к форсированной
ЖЕЛ легких менее 70%, ОФВ1 меньше 30% от
должных величин). Качество жизни на этой стадии
заметно снижается, а обострения могут быть
угрожающими для жизни. Часто развивается
легочное сердце.

163. КЛАССИФИКАЦИЯ ХОБЛ:

II. Фазы течения:
● Стабильное течение, когда прогрессирование заболевания
можно обнаружить лишь при длительном динамическом
наблюдении за больным, а выраженность симптомов
существенно не меняется в течение недель и даже месяцев.
● Обострение – ухудшение состояния больного,
проявляющееся нарастанием симптоматики и
функциональными расстройствами и длящееся не менее 5
дней. Основной симптом обострения ХОБЛ – усиление одышки,
которое обычно сопровождается появлением или усилением
дистанционных хрипов, снижением толерантности к
физической нагрузке, нарастанием интенсивности кашля и
количества мокроты, изменением ее цвета и вязкости. При
этом существенно ухудшаются показатели ФВД и газов крови:
снижаются скоростные показатели (ОФВ1 и др), может
возникнуть гипоксемия и гиперкапния.

164. КЛАССИФИКАЦИЯ ХОБЛ:

III. Клинические формы ХОБЛ:
У пациентов со среднетяжелым и
тяжелым течением заболевания можно
выделить две клинические формы ХОБЛ
– эмфизематозную (панацинарная
эмфизема, «розовые пыхтельщики») и
бронхитическую (центроацинарная
эмфизема, «синие одутловатики»).

165.

166. Определение

характеризующееся ограничением
воздушного потока с развитием не
полностью обратимой или необратимой
бронхиальной обструкции, вызванной
продуктивной неспецифической
воспалительной реакцией.

167. Определение ХОБЛ

ХОБЛ - обычно предотвратимое и
курабельное заболевание, характеризующееся
постоянным ограничением воздушного потока,
которое обычно прогрессирует и связано с
повышенной хронической воспалительной реакцией
дыхательных путей и легких в ответ на контакт с
вредными частицами и газами

168. Факторы развития ХБ и ХОБЛ

1. Внешние (окружающая среда):
табачный дым
профессиональные пыли (органические и неорганические)
Загрязнение воздуха вне и внутри помещений (дым из-за отопления,
использование органического топлива)
Экологический фактор (выхлопные газы, промышленные полютанты: SO2,
NO2,черный дым)
2.Генетическая предрасположенность (дефицит a1-антитрипсина)
3.Нарушение роста и развития легких
4.Респираторные инфекции
5.Низкий социальный статус
6. Недостаточность питания.
7. Сопутствующие заболевания(БА)

169. Факторы, способствующие развитию ХОБЛ

Курение (индекс курящего человека,
выраженного в пачка/лет)
ИК (пачка/лет) = (число выкуриваемых
сигарет в сутки х стаж курения (годы))/20.
Пример 20 сиг х 31год/20 = 31
ИК более 10 пачка/лет является достоверным
фактором риска развития ХОБЛ.
Если ИК превышает 25 пачко/лет, то больной
может быть отнесён к «злостным
курильщикам» и его курение представляет
серьёзный риск в отношении развития ХОБЛ.

170. последствие воспаления

Мукоцилиарная дисфункция
(гиперсекреция слизи ,редукция мукоцилирного
транспорта, повреждение оболочки бронха)
:
Структурные изменения бронха
- гипер/метаплазией бокаловидных клеток
- гипертрофия слизистых желез
гипертрофия гладкой мускулатуры бронхов
- разрушение альвеол
Обструкция дыхательных путей
Потеря эластичности легочной ткани
-

171. Системные (внелегочные) проявления

Гипотрофия
Снижение силы мышц
Снижение ИМТ
Остеопороз
Анемия
Повышение АД
Легочное сердце
Повышение риска сссз
Депрессия

172. Нарушение бронхиальной проходимости

173.

Патофизиология ХОБЛ: развитие и прогрессирование
КУРЕНИЕ
Генетическая восприимчивость
Респираторные инфекции
Загрязнение воздуха
Воспаление паренхимы лёгких и
Воспаление дыхательных путей
снижение эластической тяги
и их перестройка
Снижение потока выдоха, гиперинфляция и
нарушения газообмена
Симптомы заболевания

174. Проявления ХОБЛ –проявляется к 40-50 годам

1.
Признак прогрессирования ХОБЛ — ежегодное
уменьшение объёма форсированного выдоха за
первую секунду (ОФВ1) на 50 мл и более.
"продуктивный кашель на протяжении, по крайней
мере, 3 месяцев в течение 2 последующих лет (при
отсутствии других заболеваний)
Отделение мокроты
Одышка.
Исход – ДН и легочное сердце
.

175. Клинические синдромы

Бронхообструктивный (выдох > 5 cек, сухие хр)
Синдром воспаления дыхательных путей
Интоксикационный синдром
Полицитемический синдром
Дыхательной недостаточности
Синдром легочной гипертензии
Эмфиземы легких (бочкообразная, опущение
границ,ум экскурсии, ослабленное дыхение)
Хроническое легочное сердце, СН правож
(декомпенсация)
Системные проявления

176.

Бронхитический тип б-го ХОБЛ,
«синие одутловатики»
Эмфизематозный тип б-го ХОБЛ
«розовые пыхтелки»

177. «Розовые пыхтелки»

178. «Розовые пыхтелки»

179. «синие одутловатики»

180.

Симптомы
Бронхитический
(«синие отёчники»)
Эмфизематозный
(«розовые
пыхтельщики»)
Соотношение
основных
симптомов
Кашель больше
одышки
Одышка больше
кашля
Обструкция
бронхов
Выражена
Выражена
Цвет кожных
покровов
Диффузный цианоз Розово-серый
Кашель
С гиперсекрецией
мокроты
Малопродуктивный
Вес больного
Тучные больные
Снижение веса
заболевания

181.

Преобладающие
изменения на
рентгенограмме
органов грудной
клетки
Диффузный
Эмфизема
пневмосклеро лёгких
з
Лёгочное сердце
В среднем и
пожилом возрасте,
более ранняя
декомпенсация
Полицитемия, Часто выражена,
вязкость крови
эритроцитоз повышена
В пожилом
возрасте, более
поздняя
декомпенсация
Не характерна

182.

Кахексия
Не характерна Часто имеется
Функциональные
нарушения
Прогрессирую
щая ДН и СН
Преобладание
ДН
Нарушения
газообмена
РаО2 < 60,
РаСО2 > 45
РаО2 < 60,
РаСО2 < 45
Смерть
В среднем
возрасте
В пожилом
возрасте

183.

Спирометрия
форсированного
выдоха
ФЖЕЛ
ОФВ1
ПСВ
МОС
25,50,75
СОС2575
СОС7585

184.

Для получения объективных данных ФВД и
теста с бронходилятатором необходимо:
• произвести отмену бета2-агонистов и
антихолинергики короткого действия за
6 часов до исследования,
• длительно
действующие
бета-2
агонисты длительного действия — за 12
часов,
• теофиллины и антихолинергические
средства длительного действия — за 24
часа.

185. ХОБЛ диагностика

Величина ОФВ1, оценивается в
постбронходилатационной пробе и отражает
стадию болезни (степень ее тяжести).
Бронходилатационный тест должен
выполняться с 400 мкг в2-агониста, 80 мкг
антихолинергического препарата или их
комбинаций.
Бронходилататоры должны вводиться с
помощью дозированного ингалятора через
спейсер или через небулайзер, если нет
уверенности в том, что пациент может
вдохнуть точно установленную дозу.

186. Бронходилатационный тест

Используют следующие препараты,
средства доставки и сроки повторной
оценки ФВД.
400 мкг (4 дозы по 100 мкг или 2 дозы по
200 мкг) бета-2-агониста короткого
действия (сальбутамол, фенотерол)
через дозирующий баллончик со
спейсером, оценка ФВД через 15-30
минут;

187. Бронходилатационный тест

80 мкг (4 дозы) холинолитика короткого
действия (ипратропия бромид)
дозирующий баллончик со спейсером,
оценка ФВД через 30-45 минут;
комбинация этих препаратов в той же
дозировке для каждого через
дозирующий баллончик со спейсером,
оценка ФВД через 30-45 минут после
ингаляции.

188. Бронходилатационный тест

Результат бронходилатационного теста
считается положительным, если прирост ОФВ1
составляет более 15% от исходных значений и
превышает 200 мл.
Значения ОФВ1 после воздействия
бронхолитика отражают стадию и степень
тяжести ХОБЛ

189. Классификация ХОБЛ

По тяжести течения ХОБЛ классифицируют
следующим образом (в соответствии с
международным документом GOLD 2003).
Стадия
Клиническая
Функциональкартина
ные показатели
1.Легкая
Хронический
кашель и
продукция
мокроты, но не
всегда
ОФВ1/ЖЕЛ
< 70%,
ОФВ1 ≥ 80% от
должного

190. Классификация ХОБЛ

Стадия
Клиническая картина Функциональные
показатели
2.
Среднетяжёлая
Хронический кашель и
продукция мокроты
обычно, но не всегда.
Одышка (и/или хрипы)
при физической
нагрузке, изменения при
клиническом
обследовании
ОФВ1/ЖЕЛ
50%-70%
ОФВ1 < 80%
от должного

191. Классификация ХОБЛ

Стадия
3. Тяжё-лая
Клиническая картина Функционал
ьные
показатели
Одышка при обычной ОФВ1/ЖЕЛ
физической нагрузке; < 70%
хрипы и кашель
ОФВ1 < 50%
присутствуют всегда. от должного
Признаки эмфиземы,
у некоторых —
цианоз.

192.

Стадия
Клиническая картина
Функционалные
показатели
4. Крайне
тяжёлая
Одышка при малейшей
физической нагрузке,
кашель, хрипы. Яркие
признаки эмфиземы,
цианоз, у некоторых —
отёки и полицитемия.
ОФВ1/ЖЕЛ < 70%
ОФВ1 < 30% или
ОФВ1 < 50% от
должного в
сочетании с
хронической ДН или
правожелудоч-ковой
недостаточ-ностью.

193. ХОБЛ Диагностика

Мокрота
Цитологический анализ мокроты - характер
воспалительного процесса и его выраженность.
Исследование на ВК.
Учитывая пожилой возраст больных ХОБЛ мокроту
следует изучать на наличие атипичных клеток.
Особого внимания заслуживает появление примеси
крови в мокроте, что дает основание заподозрить рак
легкого, туберкулез, бронхоэктазы и пр.

194. ХОБЛ Диагностика

Клинический анализ крови
При стабильном течении ХОБЛ существенных
изменений не отмечается
При обострении обычно нейтрофильный
лейкоцитоз, увеличение СОЭ.
С развитием гипоксемии формируется
полицитемический синдром – повышение
числа эритроцитов, высокий уровень
гемоглобина, повышение гематокрита и
вязкости крови.

195. ХОБЛ Диагностика

Рентгенологические методы
Рентгенография грудной клетки
является обязательным методом
обследования больного ХОБЛ при
выявлении и при обострении. При
первичном обследовании
рентгенография проводится в прямой
(задне-передней) и боковых проекциях.

196. ХОБЛ Диагностика

Электрокардиография
позволяет исключить кардиальный генез
респираторной симптоматики.
Выявление признаков гипертрофии правых
отделов сердца свидетельствует о развитии
стабильной легочной гипертензии.
Возможность предположения о
тромбоэмболии легочной артерии.

197. Дифференциальная диагностика

бронхиальной астмой,
бронхоэктатической болезнью,
застойной сердечной недостаточностью,
туберкулезом,
диффузным панброхиолитом,
облитерирующим бронхиолитом,
с поражением легких при системных
заболеваниях легких.

198. ХОБЛ диагностика

Обострение хронического бронхита.
Выделяют так называемые
«инфекционные» и неинфекционные»
обострения ХБ, требующие
соответственного терапевтического
подхода.
Диагностика инфекционного обострения
ХБ (клиника, ОФВ, RОГК, анализ мокроты, ОАК, бак.
Исследование мокроты)

199. Наиболее частые причины развития обострений ХОБЛ

Инфекции трахеобронхиального дерева
Пневмония
Атмосферные поллютанты
Легочная эмболия
Спонтанный пневмоторакс
Перелом ребер или другая травма грудной клетки
Неадекватное использование седативных и
наркотических препаратов, в-блокаторов
Аритмии
Право- и левожелудочковая сердечная
недостаточность

200. Лечение ХОБЛ

Отказ от курения
Обучение техники ингаляции и самоконтроля
Бронхолитики
Вакцинация от гриппа и пневмококовой инфекции
Побуждение к физической активности
Лечение сопутствующих заболеваний
Оценка необходимости длительной кислородотерапии

201. Бронхолитики

Б2 – агонисты:
фенотерол – 100-200 мкг - 4-6 час
- сальбутамол – 100-200 мкг - 4-6ч
- тербуталин – 250-500 мкг - 4-6 час
- формотерол – 12-24 мкг
- > 12 час
- сальметерол – 50-100мкг >12 час
Антихолинергические препараты:
- ипратропия бромид 40-80 мкг - 6-8ч
- окситропия бромид 200 мкг
- 7-9ч
- тиотропия бромид 18мкг
- 24
-

202. Фиксированные комбинации БА+ АХ

Фенотерол/ипратропия бромид-100/20 - 6 час
Сальбутамол/ипратропия бромид -50/20 -6 час
Метилксантины
Теофиллин
Муколитики : Амброксол и ацетилцистеин

203. Бронхолитики

ДДАХ (длительнодействующие
антихолинергики) или ДДБА
(длительнодействующие бета-агонисты)
ХОБЛ + БА или эозинофилия- ИГКС/ДДБА
Сохранение симптомов :
ДДАХ/ДДБА/ИГКС

204. Комбинации ДДБА/ДДАХ

Формотерол/аклидиниум – 12/400- 12ч
Формотерол/гликопиррониум- 9,6/18-12ч
Индакатерол/гликопиррониум-27,5/15,6-12-24
Вилантерол/умеклидиниум-26/62,5- 24ч
Олодатерол/тиотропиум -5/5 – 24ч

205. Лечение дыхательной недостаточности

Поддержание PaO2 около 60 мм рт ст,
SaO2 >90 %
Кислородотерапия не менее 15 час/сут
Поток O2 – от 2 до 5 л/мин
Неинвазивная вентиляция легких
ИВЛ

206. Дыхательная недостаточность

ДН –состояние человека, при котром в условиях покоя
при дыхании воздухом парциальное напряжение
кислорода в артериальной крови (PaO2) становтися
меньше 60 мм рт ст или парциальное напряжение
углекислого газа (PaCO2) превышает 45 мм рт ст
Норма SaO2
ДН1– 90-94
ДН2 – 75-89
ДН3 – менее 75

207. Признаки ДН

Диспноэ
Тахипноэ
Рентгенологические признаки массивной
альвеолярной инфильтрации,
Крепитация
Прогрессирующая ДН:
нарушение дыхания (одышка, уменьшение объема дыхания)
- нарастающая неврологическая симптоматика (безразличие,
агрессивность, возбуждение, заторможенность, кома)
- сердечно –сосудистые нарушения (тахикардия, стойкое
повышение АД при гиперкапнии, декомпенсация сердечной
деятельности)

208. Бронходилататоры

Основные препараты при терапии обострения
ХОБЛ –в2-агонисты и антихолинергические
препараты (ипратропиума бромид).
Преимущество в2-агонистов – более быстрое
начало действия, а антихолинергических –
высокая безопасность и хорошая
переносимость.
Обычными средствами назначения
симпатомиметиков является небулайзер,
дозированный ингалятор/спейсер.

209. Бронходилататоры

Ответ на ингаляционный в2-агонист
наблюдается обычно в течение 10-15 мин, если
ответ отсутствует, то назначают повторные
ингаляции.
При тяжелом обострении ХОБЛ кратность
введения симпатомиметиков может быть
значительно увеличена – каждые 30-60 мин
(повышен клиренс препаратов!) до
достижения клинического эффекта
Осложнения:
тахикардия.гипокалиемия,гипоксемия

210. Бронходилататоры

Ипратропиум бромид: начало действия – через
10 мин, пик действия наступает через 1 час.
Продолжительность действия около 4-8 часов.
Частота дозирования при обострениях ХОБЛ не
менее 4 раз в сутки.
При использовании небулайзера однократная
доза ИБ – 25—500 мкг.
ИБ не вызывает снижения уровня калия в
крови и гипоксемии.

211. Бронходилататоры

Комбинированная терапия
Фиксированные комбинации – беродуал (фенотерол +
Ипратропиум бромид).
Комбинации отдельных препаратов – сальбутамол +
Ипратропиум бромид.
Единого мнения о преимуществе комбинированной
терапии при обострении ХОБЛ нет.
Эффективность теофиллина при обострении ХОБЛ не
показана. Его суточная доза не должна превышать 10
мг/кг веса больного.

212. Алгоритм терапии ХОБЛ

I
стадия
II
стадия
Ингаляционная терапия
Бронхолитики короткого действия по потребности (β2агонисты, ипратропия бромид или их комбинация)
тиотропия бромид +
β2-агонисты
короткого действия
Шаг 1
β2-агонисты длительного
действия+
ипратропия бромид,
β2-агонисты или их комбинация
Шаг 2
III
стадия
тиотропия бромид +
β2-агонисты
длительного действия
β2-агонисты длительного
действия+
Тиотропия бромид
Шаг 3
IV
стадия
тиотропия бромид +
β2-агонисты длительного действия+
Ингаляционные ГКС

213. Глюкокортикоиды

К настоящему времени роль ГКС при
терапии обострения ХОБЛ считается
доказанной:
умеренная эозинофилия,
повышение уровня воспалительных
цитокинов,
невысокий эффект стероидов вне
обострения заболевания

214. ХОБЛ

Глюкокортикоиды
Внутривенные и оральные формы ГКС
значительно улучшают
функциональные легочные показатели к 3-5
дню терапии и снижают риск «неудач»
Средних доз (эквивалент 30 мг преднизолона)
достаточно для достижения положительного
эффекта
Длительность назначения системных
стероидов не должна превышать 2-х недель

215. Показания для госпитализации больных с обострением ХОБЛ.

Значительное усиление клинических
симптомов, внезапное развитие одышки в
покое.
Исходно тяжёлое течение ХОБЛ до обострения.
Появление новых симптомов, отражающих
нарастающую ЛСН (цианоз, периферические
отёки).

216. Показания для госпитализации больных с обострением ХОБЛ.

Отсутствие положительной динамики от
амбулаторного лечения или ухудшения
состояния на фоне лечения.
Тяжёлые сопутствующие заболевания.
Впервые возникшее нарушение сердечного
ритма.
Диагностические сложности.
Пожилой возраст.
Невозможность лечения в домашних условиях.

217. МУКОЛИТИКИ

Показаны ограниченному контингенту
больных стабильной ХОБЛ при
наличии вязкой мокроты
(амброксола гидрохлорид)
GOLD рекомендует
N-ацетилцистеин,
в качестве антиоксиданта и
муколитика

218.

Физиолечение:
УВЧ на область корней,
Микроволновая терапия(дециметровые волны
аппаратом «Волна»)
Индуктотермия
При обильной мокроте – УВЧ в чередовании с
электрофорезом кальция хлорида
э/Ф с гепарином
СМТ
э/ф калия йодида с индуктотермией (при брхсп)

219. Лечение

СКЛ:
Курорты с приморским климатом (ЮБК, Анапа,Г)
Курорты с горным климатом(Кисловодск, Иссык –Куль)
Местные курорты (Ивантеевка, Сестрорецк и др)
В Белорусии – санаторий «Беларусь»
«Д» -наблюдение:
Необстр бр – 2- раза в год, ЛОР, стоматолог – 1 раз,
ОАК, мокрота, МБТ – 2 раза в год, ЭКГ по показ
Противорецидивное лечение 2 раза в год , ОРВИ:

220. Поддерживающая терапия

Ингаляции,
Поливитамины,
Адаптогены,
Отхаркивающие,
Физио.
ЛФК, массаж,
Закаливание,
Санация очагов инф,
СКЛ,
Отказ от курения,
трудоустройство

221. «Д» -наблюдение:

ХР бр с частыми обостр:
3 раза в год,
ОАК – 3 р,
Спирография – 2 раза в г
ФЛО и б/х кр – 1 раз в год
Лечение - 2 – 3 раза в год
ХОБ с ДН:
Осмотр 3 – 6 раз в год
Противорецидивное лечение 3- 4 раза в год
English     Русский Правила