Травмы зубов у детей. Клиническое течение особенности диагностики и лечения. Реабилитация ребенка с острой травмой зуба.
ПРИЧИНЫ ХРОНИЧЕСКОЙ ТРАВМЫ ЗУБА
Классификация острой травмы зубов
МЕТОДЫ ДИАГНОСТИКИ ОСТРОЙ ТРАВМЫ ЗУБОВ
УШИБ ЗУБА
КЛИНИЧЕСКАЯ КАРТИНА УШИБА ЗУБА
ЛЕЧЕНИЕ УШИБА ЗУБА
НЕПОЛНЫЙ ВЫВИХ ЗУБА
КЛИНИЧЕСКАЯ КАРТИНА НЕПОЛНОГО ВЫВИХА ЗУБА
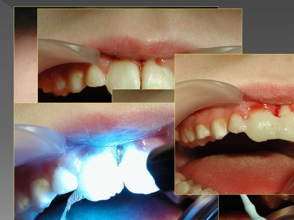
КЛИНИЧЕСКАЯ КАРТИНА НЕПОЛНОГО ВЫВИХА ЗУБА
ЛЕЧЕНИЕ НЕПОЛНОГО ВЫВИХА ВРЕМЕННОГО ЗУБА
ЛЕЧЕНИЕ НЕПОЛНОГО ВЫВИХА ПОСТОЯННОГО ЗУБА
ВКОЛОЧЕННЫЙ ВЫВИХ ЗУБА
КЛИНИЧЕСКАЯ КАРТИНА ВКОЛОЧЕННОГО ВЫВИХА ЗУБА
КЛИНИЧЕСКАЯ КАРТИНА ВКОЛОЧЕННОГО ВЫВИХА ЗУБА
ЛЕЧЕНИЕ ВКОЛОЧЕННОГО ВЫВИХА ВРЕМЕННОГО ЗУБА
ЛЕЧЕНИЕ ВКОЛОЧЕННОГО ВЫВИХА ПОСТОЯННОГО ЗУБА
Шинирование ортодонтическими аппаратами
ПОЛНЫЙ ВЫВИХ ЗУБА
ЛЕЧЕНИЕ ПОЛНОГО ВЫВИХА ЗУБА
ПЕРЕЛОМ КОРНЯ ЗУБА
Поперечный перелом корней постоянных резцов
ЭФФЕКТИВНОСТЬ ПРОВОДИМОГО ЛЕЧЕНИЯ ЗАВИСИТ ОТ
ЭТАПЫ ПОДГОТОВКИ ЗУБА К РЕПЛАНТАЦИИ
МЕТОДЫ ШИНИРОВАНИЯ
Проволочно-композитная шина
ТЕХНИКА РЕПОЗИЦИИ И ШИНИРОВАНИЯ
ТИПЫ СРАЩЕНИЯ СТЕНОК АЛЬВЕОЛЫ С КОРНЕМ ЗУБА
Отлом коронки зуба
ПЕРЕЛОМ КОРНЯ ЗУБА
ЛЕЧЕНИЕ ПЕРЕЛОМА КОРНЯ ВРЕМЕННОГО ЗУБА
ЛЕЧЕНИЕ ПЕРЕЛОМ КОРНЯ ПОСТОЯННОГО ЗУБА
ДИСПАНСЕРИЗАЦИЯ ДЕТЕЙ, ПЕРЕНЕСШИХ ОСТРУЮ ТРАВМУ ЗУБОВ
ДИСПАНСЕРИЗАЦИЯ ДЕТЕЙ, ПЕРЕНЕСШИХ ОСТРУЮ ТРАВМУ ЗУБОВ
5.48M
Категория: МедицинаМедицина

Travmy_u_detey

1. Травмы зубов у детей. Клиническое течение особенности диагностики и лечения. Реабилитация ребенка с острой травмой зуба.

2.

В зависимости от времени воздействия
на зуб механической силы
ОСТРАЯ ТРАВМА ЗУБА
ХРОНИЧЕСКАЯ ТРАВМА ЗУБА
результат
длительного
воздействия на зуб
повышенной нагрузки

3. ПРИЧИНЫ ХРОНИЧЕСКОЙ ТРАВМЫ ЗУБА

Аномалии прикуса
Вредные привычки
Завышение пломбы
Неправильное
ортодонтическое лечение

4. Классификация острой травмы зубов

Ушиб зуба
Вывих зуба
Неполный
1.
Без смещения зуба
Со смещением в сторону соседнего зуба
С поворотом вокруг продольной оси
Со смещением коронки в вестибулярном направлении
Со смещением коронки в сторону полости рта
Со смещением коронки в сторону окклюзионной плоскости
2.
3.
Вколоченный
Полный
1.
2.
3.
4.
5.
Коронки в зоне эмали
Коронки в зоне эмали и детина без вскрытия полости зуба
Коронки в зоне эмали и детина со вскрытием полости зуба
Зуба в области эмали, дентина и цемента
Корня в пришеечной, средней и верхушечных частях
Трещина
Перелом (поперечный, косой, продольный)
Сочетанные травмы
Травма зачатка

5. МЕТОДЫ ДИАГНОСТИКИ ОСТРОЙ ТРАВМЫ ЗУБОВ

Основные
Опрос (сбор жалоб, анамнез)
Клинический осмотр
Перкуссия
Пальпация
Определение степени подвижности
зуба
Дополнительные
Рентгенологический
Электроодонтодиагностика

6. УШИБ ЗУБА

Повреждается
пародонт в результате
сдавления, полного или
частичного разрыва его
волокон.
Пульпа зуба может
погибнуть
из-за
прекращения
питания
при
полном
разрыве
сосудисто-нервного
пучка
у
входа
в
апикальное отверстие.

7. КЛИНИЧЕСКАЯ КАРТИНА УШИБА ЗУБА

Жалобы
на
болезненность
при
откусывании
и пережевывании пищи, надавливании на
зуб
Зуб выглядит интактным, положение его в
зубном ряду не изменено
Перкуссия и пальпация умеренно
болезненны
Подвижность незначительна
Рентгенологическая картина в пределах
возрастной нормы
Снижение электровозбудимости пульпы

8. ЛЕЧЕНИЕ УШИБА ЗУБА

Щадящая диета
Выведение из окклюзии
сошлифовывание режущего края зубов антагонистов у временных зубов;
разобщение прикуса ортодонтическим
аппаратом у постоянных зубов
Физиолечение
При гибели пульпы –
эндодонтическое
лечение

9. НЕПОЛНЫЙ ВЫВИХ ЗУБА

Частичное повреждение периодонтальной связки
Повреждение сосудисто-нервного пучка
Смещение зуба, степень и направление которого
зависят от характеристик действующей силы

10. КЛИНИЧЕСКАЯ КАРТИНА НЕПОЛНОГО ВЫВИХА ЗУБА

Жалобы:
на боль при накусывании
смещение коронки зуба
подвижность зуба
кровоточивость
гиперемирована
отечна
нарушена ее целостность
отражает направление и степень смещения зуба
периодонтальная щель неравномерна расширена
Десна:
Смещение коронки зуба в том или ином
направлении
Перкуссия и пальпация болезненны
Зуб подвижен
Рентгенологическая картина
Электровозбудимость пульпы снижена

11. КЛИНИЧЕСКАЯ КАРТИНА НЕПОЛНОГО ВЫВИХА ЗУБА

12. ЛЕЧЕНИЕ НЕПОЛНОГО ВЫВИХА ВРЕМЕННОГО ЗУБА

зависит от степени подвижности;
взаиморасположения корня зуба и зачатка
постоянного зуба; степени резорбции корня
временного зуба.
При подвижности зуба I степени и незначительном
его смещении:
Пальцевое вправление зуба
Выведение из окклюзии
Щадящая диета
При подвижности зуба II – III степени и
значительном его смещении – удаление зуба с
последующим ортодонтическим лечением

13. ЛЕЧЕНИЕ НЕПОЛНОГО ВЫВИХА ПОСТОЯННОГО ЗУБА

Репозиция зуба под анестезией с помощью
медленного пальцевого давления или щипцов
Шинирование на 3 – 4 недели

14. ВКОЛОЧЕННЫЙ ВЫВИХ ЗУБА

Характеризуется полным или частичным
погружением коронки зуба в альвеолу, а
корня – в челюстную кость, в результате
удара по зубу в области режущего края.

15. КЛИНИЧЕСКАЯ КАРТИНА ВКОЛОЧЕННОГО ВЫВИХА ЗУБА

Жалобы
Десна
•на боль и кровоточивость из лунки
•болезненность при приеме пищи
•укорочение или полное отсутствие коронки зуба в зубной
дуге
•гиперемирована
•отечна
•нарушена ее целостность
Коронка зуба укорочена или отсутствует;
смещаться в
вестибулярном или оральном направлении
Перкуссия и пальпация умеренно болезненны
Зуб неподвижен
Рентгенологическая картина:
•смещение зуба в сторону лунки;
•периодонтальная щель сужена,
прерывиста или отсутствует
может

16. КЛИНИЧЕСКАЯ КАРТИНА ВКОЛОЧЕННОГО ВЫВИХА ЗУБА

17. ЛЕЧЕНИЕ ВКОЛОЧЕННОГО ВЫВИХА ВРЕМЕННОГО ЗУБА

При несформированных корнях молочных зубов
проводим наблюдение за самостоятельным
«прорезыванием» - выдвижением
травмированного зуба в течение 9 -12 месяцев
Внедрённые молочные зубы со
сформированными корнями необходимо
удалять
Удаление внедрённого молочного зуба в любом
возрасте ребёнка показано при локализации
его вдали от места типичной локализации
Профилактика и лечение воспалительных
заболеваний

18. ЛЕЧЕНИЕ ВКОЛОЧЕННОГО ВЫВИХА ПОСТОЯННОГО ЗУБА

При несформированном корне –
выжидательная тактика в течение 9 – 12 месяцев
При сформированном корне – хирургическая
репозиция и иммобилизация
При расположении зуба вдали от нормального –
удаление с последующей реплантацией и
шинированием
Обнажение коронки с последующим
ортодонтическим лечением
Профилактика и лечение воспалительных
заболеваний
При гибели пульпы – эндодонтическое лечение

19. Шинирование ортодонтическими аппаратами

20. ПОЛНЫЙ ВЫВИХ ЗУБА

Полный разрыв периодонта
Гибель сосудисто-нервного пучка
Выпадение зуба из лунки

21. ЛЕЧЕНИЕ ПОЛНОГО ВЫВИХА ЗУБА

При полном вывихе временного зуба –
ортодонтическое лечение с целью
профилактики возможной
деформации зубного ряда
При полном вывихе постоянного зуба
независимо от степени
сформированности корня –
реплантация с последующим
шинированием

22. ПЕРЕЛОМ КОРНЯ ЗУБА

Жалобы. Ребенок жалуется на боль при накусывании на зуб, его
подвижность, отек
десен.
Клиническая картина при переломах корня зуба бедная и зависит от
уровня перелома, наличия смещения отломков, повреждения пульпы.
Окончательный диагноз устанавливается после проведения прицельной
рентгенографии зуба. На рентгенограмме определяется место
нарушения целостности тканей корня зуба.,
Лечение. При переломе корня временного зуба без смещения
отломков последний фиксируют шиной-каппой на 3-4 нед. После этого в
течение 6 мес ребенок должен быть под наблюдением. Если произошел
перелом корня временного зуба со смещением, то он подлежит
удалению.
При переломе верхушки корня постоянного зуба и последующем
развитии периодонтита верхушка корня подлежит удалению после
пломбирования канала и ликвидации воспалительных явлений вокруг
нее. Если же воспаления периодонта нет,
то
верхушку
не
удаляют.
При переломе корня постоянного зуба в средней его части, если пульпа
погибла, канал пломбируют и изготовляют штифтовый зуб. В тех случаях,
когда пульпа остается живой, зубу обеспечивают покой, исключив его из
акта жевания посредством каппы. В течение последующих 6 мес
ребенок
находится
под
наблюдением
стоматолога-терапевта,
осуществляющего контроль ЭОД зуба, а при необходимости проводит
эндодонтическое
лечение
его.

23. Поперечный перелом корней постоянных резцов

24. ЭФФЕКТИВНОСТЬ ПРОВОДИМОГО ЛЕЧЕНИЯ ЗАВИСИТ ОТ

Жизнеспособности цементообразующих
клеток на поверхности корня и клеток
периодонтальной связки
Степени сформированности верхушки
корня
Степени инфицирования поверхности
корня и полости зуба
Продолжительности нахождения зуба вне
альвеолы и способа его хранения

25. ЭТАПЫ ПОДГОТОВКИ ЗУБА К РЕПЛАНТАЦИИ

Помещение зуба в раствор
антибиотиков, антисептиков
Эндодонтическое лечение зуба
Антисептическая обработка лунки зуба
Кюретаж лунки проводить не следует с
целью сохранения волокон
периодонтальных связок

26. МЕТОДЫ ШИНИРОВАНИЯ

Индивидуальные шины-каппы из быстро-
твердеющей пластмассы
Проволочно-композитные шины
Стекловолоконные шины
Брекет-система

27.

НАБОР ДЛЯ
ШИНИРОВАНИЯ
ЗУБОВ

28.

29. Проволочно-композитная шина

30. ТЕХНИКА РЕПОЗИЦИИ И ШИНИРОВАНИЯ

31. ТИПЫ СРАЩЕНИЯ СТЕНОК АЛЬВЕОЛЫ С КОРНЕМ ЗУБА

Периодонтальный – наиболее благоприятный,
возможен при максимальном сохранении
волокон периодонта на поверхности стенок
лунки и корня зуба
Периодонтально-фиброзный – при
недостаточном сохранении волокон
периодонта
Остеоидный – наиболее неблагоприятный,
отмечается при полном удалении тканей
периодонта и с поверхности корня и со стенок
лунки

32. Отлом коронки зуба

33. ПЕРЕЛОМ КОРНЯ ЗУБА

Перелом корня зуба является довольно редкой
формой острой травмы и встречается в 0,5 % молочных
зубов и в 2 % - постоянных.
Перелом может произойти в верхушечной трети
корня, средней и пришеечной частях. Направление
линии перелома может быть поперечное, косое,
продольное.

34. ЛЕЧЕНИЕ ПЕРЕЛОМА КОРНЯ ВРЕМЕННОГО ЗУБА

При переломе корня интактного зуба без
смещения
фрагментов
зуб
стараются
сохранить
(диета,
покой,
диспансерное
наблюдение: в первый месяц смотрят каждую
неделю, а затем через 1, 3, 6 мес)
При изменении цвета зуба (хронический
периодонтит), при резорбции кости вокруг
корня и увеличении подвижности зуба удаление зуба
При переломе корня зуба и наличии
изменений в окружающей костной ткани зуб
удаляют

35. ЛЕЧЕНИЕ ПЕРЕЛОМ КОРНЯ ПОСТОЯННОГО ЗУБА

При переломе корня в средней и верхушечной
трети
назначают
щадящую
диету, покой и
проводят физиотерапевтическое лечение, а также
иммобилизацию зуба с помощью различных шин
(проволочно-композитная
шина,
шины
из
фрагментов брекет-системы и др.).
В
случае
некроза
пульпы
проводят
эндодонтическое лечение, пломбирование канала
фосфат-цементом с введением металлического
штифта для соединения фрагментов.
При продольном переломе корня и сообщении
линии перелома с полостью рта показаны
немедленное удаление зуба и направление
больного к врачу-ортодонту.

36. ДИСПАНСЕРИЗАЦИЯ ДЕТЕЙ, ПЕРЕНЕСШИХ ОСТРУЮ ТРАВМУ ЗУБОВ

Цель диспансеризации - профилактика,
своевременное выявление и лечение
осложнений
Пациент
наблюдается в течение первого года
каждые
3-4 мес, в дальнейшем - не реже 2 раз в год.
Родители должны быть предупреждены о
необходимости явки при появлении у ребенка
жалоб.

37.

Множественные травмы
травмы, включающие несколько однотипных повреждений
конечностей, туловища, головы, т.е. имеются одновременные
переломы двух и более сегментов или отделов опорнодвигательного аппарата.
Сочетанные травмы
травмы,
сопровождающиеся
повреждением
опорнодвигательного аппарата и одного или нескольких внутренних
органов, включая головной мозг
Комбинированные травмы
повреждения, возникающие от воздействия механических и
одного или более немеханических факторов - термических,
химических, радиационных и т.д., например, перелом костей
в сочетании с ожогами.

38.

КЛАССИФИКАЦИЯ ТРАВМ
Изолированные – повреждение одного органа
вывих зуба
перелом челюсти
Множественные – разновидности однонаправленного
действия
вывих зуба
перелом альвеолярного отростка
Сочетанные – функционально-разнонаправленного
действия
перелом челюсти
черепно-мозговая травма
Комбинированные

сочетание
разных
повреждающих агентов
термическая

39.

КЛАССИФИКАЦИЯ ТРАВМЫ
МЯГКИХ ТКАНЕЙ ЛИЦА
ЗАКРЫТЫЕ
ОТКРЫТЫЕ
с нарушением целостности
кожных покровов - ссадины,
царапины, раны

40.

АНАТОМО-ФИЗИОЛОГИЧЕСКИЕ ОСОБЕННОСТИ ЧЕЛЮСТНО-ЛИЦЕВОЙ
ОБЛАСТИ РЕБЕНКА,
ОПРЕДЕЛЯЮЩИЕ ХАРАКТЕР ТРАВМ ЧЛО
неокончательная минерализация костей - кости мягкие,
гибкие
меньшая прочность костей в связи со значительным
объемом губчатого вещества и тонким кортикальным слоем
толстая, хорошо кровоснабжаемая надкостница, растяжима
и устойчива к разрыву
наличие зон роста костей лицевого черепа
наличие временных зубов и зачатков зубов
эластичная кожа
большой объем подкожной жировой клетчатки
хорошо развитое кровоснабжение

41.

В детском возрасте травмы
сопровождаются обширными и
быстро нарастающими
коллатеральными отеками,
кровоизлияниями в ткани (по типу
инфильтрата), формированием
внутритканевых гематом. При
сочетанной травме возможно
внедрение в мягкие ткани вывихнутых
зубов или осколков костей с
дальнейшим развитием абсцессов

42.

УШИБЫ
Закрытое повреждение мягких тканей без
нарушения анатомической целостности с
возможным ограничением функции
Отмечается нарастающая
припухлость
в
месте
повреждения,
кровоподтек
синюшной
окраски.
Пальпаторно
определяется
плотный, болезненный участок
наподобие инфильтрата.
Внешний
вид
ребенка
часто
не
соответствует
тяжести травмы в связи с
нарастающими отеками и

43.

что ушибы в области
подбородка могут вызвать
травму (отраженный перелом)
мыщелковых отростков нижней
челюсти
- если при движениях нижней
челюсти ребенок жалуется на
боль, необходимо провести
рентгенологическое
обследование.

44.

ЛЕЧЕНИЕ УШИБОВ
холод местно
давящая повязка
физиотерапия (УВЧ, УФО,
лазеротерапия)
пункция гематомы

45.

ОТКРЫТЫЕ ТРАВМЫ
МЯГКИХ ТКАНЕЙ ЛИЦА
К открытым травмам
челюстно-лицевой области
относят все виды повреждений,
проходящих через лунки зубов,
воздухоносные пазухи, полость
носа

46.

ССАДИНЫ, ЦАРАПИНЫ
Открытое повреждение мягких тканей с
нарушением анатомической целостности
кожи и /или слизистой оболочки полости
рта без повреждения подлежащих тканей.
Всегда первично инфицированы.
Сопровождается образованием отеков,
гематом. В связи с непрочной связью
эпидермиса с базальным слоем дермы и
клетчаткой происходят отслойка кожи или
подкожной жировой клетчатки.
При
ушибе
мягких
тканей
лица
возможны травмы зубов и ранения
слизистой оболочки губ, рта.

47.

ЛЕЧЕНИЕ ССАДИН И ЦАРАПИН
промывание поврежденных
поверхностей
остановка капиллярного
кровотечения
антисептическая обработка

48.

РАНЫ
нарушение целостности кожных покровов и
слизистых оболочек с повреждением
подлежащих тканей.
Чаще сочетанные и
множественные.
Характери-зуются
быстро
нарастающим
коллатеральным отеком.
В связи с функциями
мимической
мускулатуры
имеют
зияющий вид.
Угроза
развития

49.

РАНЫ (ПО МЕХАНИЗМУ РАНЕНИЯ)
компрессионные
электротравма
ожоги
отморожения
неогнестрельные
ушибленные
резаные
укушенные
рубленые
колотые
огнестрельные

50.

РАНЫ
(ПО ХАРАКТЕРУ РАНЕНИЯ)
касательные
сквозные
слепые
проникающие в полость рта, в
полость
носа, верхнечелюстные синусы

51.

КЛИНИЧЕСКАЯ КАРТИНА
РАНЫ
Приротовая область (нарушение приема
пищи,
слюнотечение, невнятная речь)
Раны области
носа (сопровождаются
обильными
кровотечениями,
что
затрудняет
диагностику
переломов)
Раны околоушно-жевательной области
(повреждение ОУСЖ, лицевого нерва)
Раны дна рта (опасны из-за развития
отека и

52.

ДИАГНОСТИКА
РАНЫ
установление времени повреждения
установление вида травмирующего
фактора
определение соматического
состояния
клинический осмотр
рентгенологическое обследование
консультация специалистов
(невропатолога, нейрохирурга,
окулиста,

53.

ПОРЯДОК ПЕРВИЧНОЙ ОБРАБОТКИ РАНЫ
(ПРИ КОМБИНИРОВАННЫХ ПОВРЕЖДЕНИЯХ)
выбор метода обезболивания
туалет раны
разобщение сквозной раны с
полостью рта
ревизия костной раны
фиксация костных фрагментов
наложение швов
консервативные мероприятия
Лечение последствий ран мягких тканей лица должно
осуществляться в плановом порядке только в
специализированном стационаре.

54.

РАНЫ
Анатомические особенности лица (обильное кровоснабжение и
иннервация) и высокие иммунобиологические свойства его тканей
позволяют отсрочить первичную хирургическую обработку ран.
первичная хирургическая обработка
ран с
наложением глухого шва - до 36
часов
первично-отсроченная
хирургическая
обработка ран с наложением
глухого шва

55.

Хирургическую обработку ран лица необходимо проводить с учетом
функциональных и косметических требований по правилам, которые
предусмотрены при пластических операциях на лице.
отсечение тканей должно быть минимальным
удалению подлежат лишь полностью размозженные,
свободно лежащие и заведомо нежизнеспособные участки
тканей
следует щадить отломки лицевых костей, удалять только
кость, полностью потерявшую связь с надкостницей
при послойном ушивании ран лица необходимо
восстановить непрерывность мимических мышц
особенно тщательно следует сшивать края кожи,
устанавливая их в правильное анатомическое положение
швы накладывают на кожу самой тонкой атравматичной
нитью.

56.

ПОСЛЕДСТВИЯ РАН МЯГКИХ ТКАНЕЙ ЛИЦА
образование келоидных или
гипертрофических
рубцов
рубцовые деформации и дефекты
мягких тканей
травматические парезы лицевого
нерва
вывороты и атрезии в области
Лечение проводят в плановом порядке
естественных
не ранее чем через 6— 8 месяцев
отверстий (веки, ротовая щель,
после травмы.
наружный нос)

57. ДИСПАНСЕРИЗАЦИЯ ДЕТЕЙ, ПЕРЕНЕСШИХ ОСТРУЮ ТРАВМУ ЗУБОВ

В случае травмы молочных зубов их смена
постоянными является основанием для снятия с
диспансерного учета.
При
травме
постоянного
зуба
с
несформированным
корнем критерием снятия с учета служит
полное
завершение формирования верхушки корня.
При травме постоянного сформированного
зуба,
при отсутствии осложнений диспансерное
English     Русский Правила