РЕВМАТОИДНЫЙ АРТРИТ
Ревматоидный артрит
Клиника ревматоидного артрита
Основные симптомы заболевания
Системные проявления
Цели лечения
принципы лечения ревматоидного артрита (1)
базисная терапия
15.96M
Категория: МедицинаМедицина

Ревматоидный артрит

1. РЕВМАТОИДНЫЙ АРТРИТ

2. Ревматоидный артрит

Ревматоидный артрит (РА) – хроническое воспалительное
ревматическое заболевание неизвестной этиологии
Характеризуется симметричным хроническим эрозивным
артритом (синовитом) периферических суставов и
системным воспалительным поражением внутренних
органов.
Частота РА в популяции в среднем составляет 1% (0,61,6% в различных странах)
Болезнь встречается примерно в 2,5 раза чаще у женщин,
чем у мужчин
Тяжелое инвалидизирующее заболевание, требующее
наблюдения и лечения в специализированных
стационарах

3.

4.

5.

6.

7.

8.

9.

10.

11. Клиника ревматоидного артрита

12. Основные симптомы заболевания

Внесуставные (системные)
проявления
Признаки поражения суставов –
активное течение
Конституциональные.
Потенциально обратимыесиновит
Поражение органов сердечнососудистой системы, дыхания,
кроветворения, нервной системы,
кожи, глаз, почек
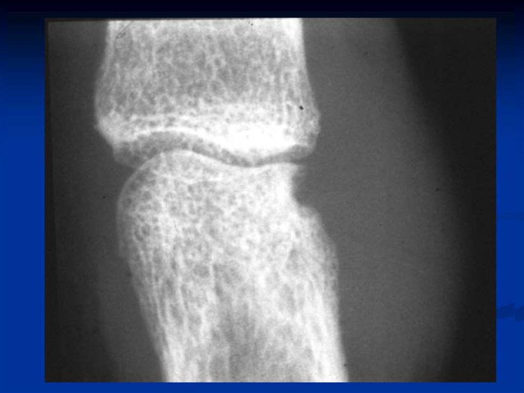
Необратимые структурные –
эрозии, анкилоз

13. Системные проявления

14.

15.

16.

17.

18.

19.

20.

21.

22.

23.

24.

25.

26.

27.

28.

29.

30.

31.

32. Цели лечения

Уменьшение симптомов
Предотвращение деструкции, нарушения
функции и деформации суставов
Достижение клинической ремиссии
Сохранение качества жизни
Увеличение продолжительности жизни

33.

34. принципы лечения ревматоидного артрита (1)

Симптоматическая терапия: анальгетики, НПВС,
ГК
Базисная (модифицирующая болезнь) терапия:
1.
2.
3.
4.
5.
Сульфасалазин
Метотрексат
Препараты золота
Д-пеницилламин, циклоспорин А
Азатиоприн
Комбинированная терапия

35. базисная терапия

Назначение показано, если на фоне
симптоматической терапии сохраняются:
1. Боли в суставах
2. Утренняя скованность
3. Активный синовиит
4. Стойкое увеличение СОЭ и СРБ
5. Признаки эрозивного поражения суставов
Необходим мониторинг побочных
эффектов!
English     Русский Правила