Синтез гемоглобина
4.13M
Категория: МедицинаМедицина

Гемоглобинозы. Синтез гемоглобина. Переключение с фетального на взрослый гемоглобин

1.

Гемоглобинозы
Выполнили:Самохвалова В.Р
Асылгареев В.Р,
Крестьянинова А.А.

2.

План изучения:
1. Синтез гемоглобина
2. Переключение с фетального на
взрослый гемоглобин
3. Спектр унаследованных нарушений
гемоглобина
4. Талассемия
5. α-Талассемия
6. β-Талассемия
7. Промежуточная талассемия
8. Серповидноклеточная анемия
9. Пренатальная диагностика
генетических нарушений гемоглобина

3. Синтез гемоглобина

СИНТЕЗ ГЕМОГЛОБИНА

4.

5.

6.

7.

8.

9.

10.

11.

12.

13.

14.

15.

16.

17.

18.

19.

20.

21.

Серповидноклеточная
анемия

22.

23.

24.

25.

26.

27.

28.

29.

30.

31.

32.

33.

34.

35.

36.

37.

38.

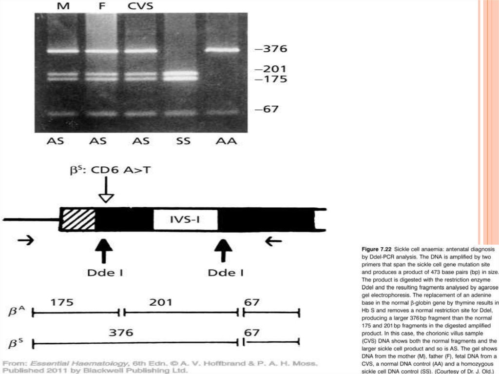
Пренатальная
диагностика
генетических
нарушений
гемоглобина

39.

40.

41.

42.

Вывод:
Нарушения структуры гемоглобина являются наиболее
распространенными заболеваниями, относящимися к одиночным
дефектам генов.
Унаследованные нарушения гемоглобина
1) Структурные варианты гемоглобина
2) Снижение скорости синтеза нормальных α- или βглобиновых цепей талассемии, вызванные дефектным
производством глобина
Талассамия - это гетерогенная группа генетических
расстройств, которая возникает в результате сокращения
скорости синтеза цепочек α или β.
Серповидноклеточная анемия — это наследственная
гемоглобинопатия, характеризующаяся своеобразным
измененным кристаллическим строением белка гемоглобина
При соответствующей терапии многие дети могут выжить и
быть здоровыми, несмотря на то, что они нуждаются в
пожизненном лечении.

43.

Спасибо за внимание!
English     Русский Правила