6.31M
Категория:
Медицина
Похожие презентации:
Діагностика каріеса
Доказова діагностика захворювань
Гостра печінкова недостатність. Чинники та діагностика в педіатрії
Скринінг, діагностика та моніторинг хворих на хронічну хворобу нирок
Невідкладні стани в клініці інфекційних хвороб. Інфекційно-токсичний шок. Патогенез, діагностика, лікування
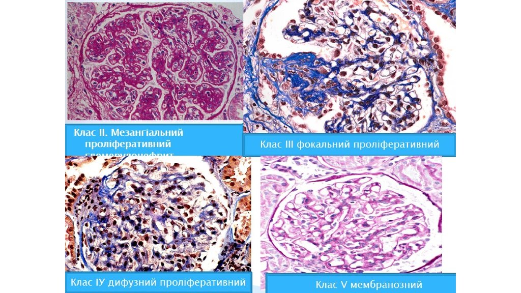
СЧВ. Критерії діагностики СЧВ
1.
English
Русский
Правила