1.63M
Категория: МедицинаМедицина

Задача. Тактика хирургического лечения

1.

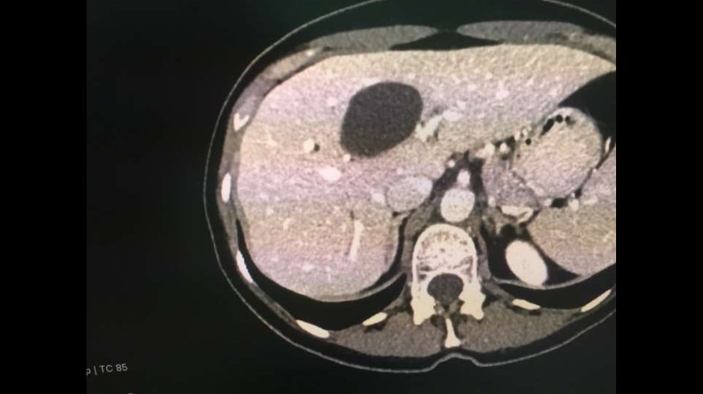
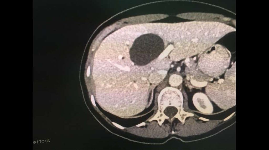
По направлению из ЦГБ в ККБ №1 поступил пациент М., 48 лет, с диагнозом «Эхинококкоз
печени»
Жалобы : тупые ноющие боли в правом подреберье.
ОАК : умеренный эозинофилез. ОАМ – без особенностей.
Пациенту в плановом порядке выполнено КТ ОБП. По результатам исследования выявлена
эхинококковая киста IV-V сегментов.

2.

3.

4.

5.

6.

7.

8.

9.

10.

Какова ваша тактика хирургического лечения?
English     Русский Правила