20.05M
Категория: МедицинаМедицина

Прямая реставрация передней группы зубов (зубов 1.2-2.2)

1.

Прямая реставрация передней
группы зубов (зубов 1.2-2.2)

2.

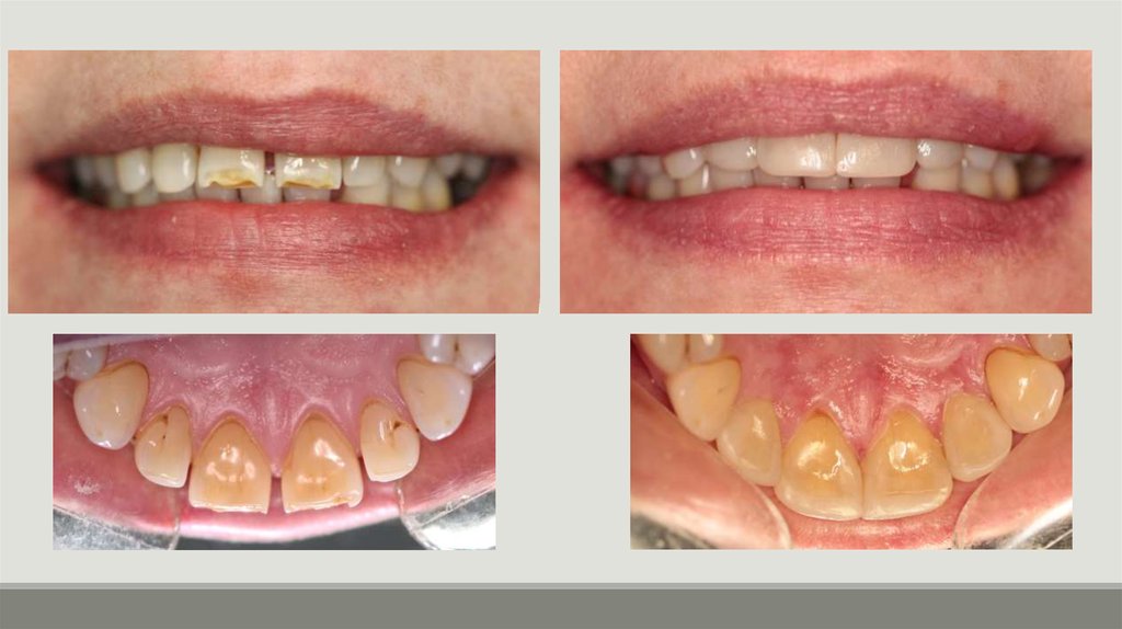
Пациентка Н., 39 лет.
Жалобы: на неудовлетворительный эстетический вид передних верхних зубов, на промежутки между зубами.
Пациентка отмечает частое употребление лимона.
Объективно: зубы 1.1, 2.1 дефекты твердых тканей зубов в области режущего края в пределах эмали и плащевого
дентина. Зондирование зубов 1.1, 2.1 слегка болезнено по эмалево-дентинной границе, холодовая проба
положительна, боль не задерживается. Перкуссия зубов 1.1, 2.1 безболезнена. ЭОД=4мкА. Диастема и тремы
между зубами 1.3, 1.2, 1.1, 2.1, 2.2, 2.3.
Диагноз: К03.2 Эрозия зубов 1.1, 2.1, обусловленная диетой.
Лечение: пациентке рекомендована консультация ортодонта, от ортодонтического лечения отказалась. Проведено:
установка изолирующей системы Коффердам. Под инфильтрационной анестезией Sol. Articaini 1:200 000 1.8 мл
механическая обработка зубов 1.1, 2.1, медикаментозная обработка 2%-ным раствором хлоргексидина
биглюконата, выполнение эстетической реставрации послойной техникой, с использованием материалов Estelite
OA1, OA2, A2, A3. Шлифовка, полировка.
Особенности препарирования: малоинвазивность.
Техника реставрации: послойная.
Выбор реставрационного материала обусловлен тем, что данный фотополимер отлично подходит для
выполнения эстетических реставраций передней группы зубов, отвечая следующим качествам: выраженный
«эффект хамелеона», высокая полируемость, естественная флюорисценция, низкий коэффицент усадки,
оптимальная консистенция и пластичность, высокая прочность к истиранию.
Оценка качества реставрации: В качестве итогового фото использованы фотографии, сделанные на момент
восстановления зубов 1.1, 2.1, а также зубов 1.2, 2.2. Композитным материалом закрыты тремы и диастема.
Восстановлена «арка улыбки». Цвет реставрации соответствует цвету зуба, материал плотно прилегает к тканям
зуба. Пациентка полностью удовлетворена полученным результатом.

3.

Зубы до препарирования
Окончательный результат реставрации
Завершение препарирования
Спустя 7 дней.

4.

5.

Окончательный вид реставрации в трех
ракурсах:
Прицельный снимок с соседними зубами с
вестибулярной поверхности
«Дизайн улыбки» – окончательный вид зубных рядов,
охватывающий и верхнюю, и нижнюю
челюсти.
Прицельный снимок с соседними зубами с
оральной поверхности
English     Русский Правила