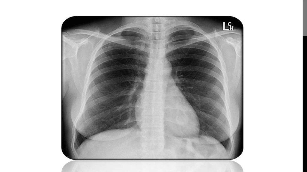
Кеуде органдарының рентгент суреттері интерпретациялау
2.14M
Категория: МедицинаМедицина

Кеуде органдарының рентгент суреттері интерпретациялау

1. Кеуде органдарының рентгент суреттері интерпретациялау

КЕУДЕ ОРГАНДАРЫНЫҢ РЕНТГЕНТ СУРЕТТЕРІ
ИНТЕРПРЕТАЦИЯЛАУ
• Орындаған :Абдрахманова
А.А.
• Тексерген :Ахметжанова
Ш.К.
English     Русский Правила