Клинический случай Операция Бенталла - Де Боно
краткий анамнез пациента
Этапы операции
Спасибо за внимание!
6.92M
Категория: МедицинаМедицина

Клинический случай. Операция Бенталла - Де Боно

1. Клинический случай Операция Бенталла - Де Боно

КЛИНИЧЕСКИЙ СЛУЧАЙ
ОПЕРАЦИЯ БЕНТАЛЛА - ДЕ БОНО

2. краткий анамнез пациента

КРАТКИЙ АНАМНЕЗ ПАЦИЕНТА
• пациент 40 лет
• длительный анамнез ГБ
• с детства знает о двустворчатом АоК
• в начале 2018 при КТ-ангиографии диагностирована аневризма восх.
аорты (макс. размер 60 мм)

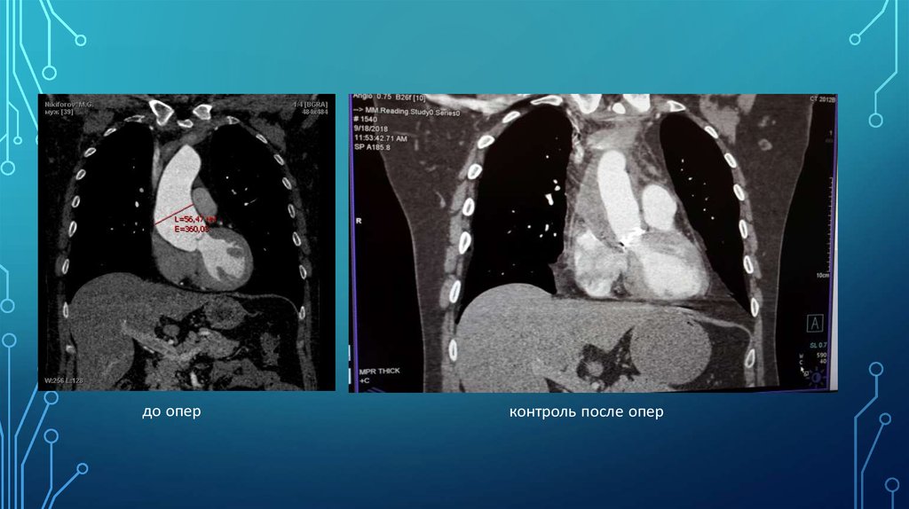
3.

до опер
контроль после опер

4. Этапы операции

ЭТАПЫ ОПЕРАЦИИ
Операция Бенталла - Де Боно кардиохирургическая операция с
использованием клапансодержащего
кондуита по замене аортального клапана,
корня аорты и восходящей аорты с
реимплантацией коронарных артерий в
трансплантат

5.

6. Спасибо за внимание!

СПАСИБО ЗА ВНИМАНИЕ!
English     Русский Правила