Клинический случай № 1! в чужом глазу соринку видим в своем бревна не замечаем
Клинический случай № 2! Поскользнулся, упал, потерял сознание, очнулся …
23.00M
Категория: МедицинаМедицина

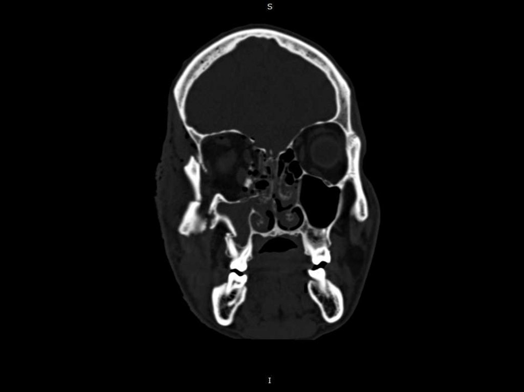
Клинический случай № 1

1. Клинический случай № 1! в чужом глазу соринку видим в своем бревна не замечаем

Пациент К. 48 лет.

2.

3.

4.

5.

6.

7.

8.

9.

10.

11.

12. Клинический случай № 2! Поскользнулся, упал, потерял сознание, очнулся …

Пациент С. 40 лет.

13.

14.

15.

16.

17.

18.

19.

20.

21.

22.

23.

24.

25.

26.

27.

Подглазничный,
(Субцилиарный)
доступ
English     Русский Правила