31.34M
Категория:
Медицина
Похожие презентации:
Щитовидная железа
Патологии некоторых эндокринных желез (гипофиза, щитовидной железы и надпочечников)
Гормоны щитовидной железы
Щитовидная и паращитовидная железа
Щитовидная железа
Заболевания щитовидной железы
ЛП щитовидной, паращитовидных желез, поджелудочной железы
Заболевания щитовидной железы
Патофизиология щитовидной железы
Щитовидная железа
Щитовидная железа
1.
Щитовидная железа
2.
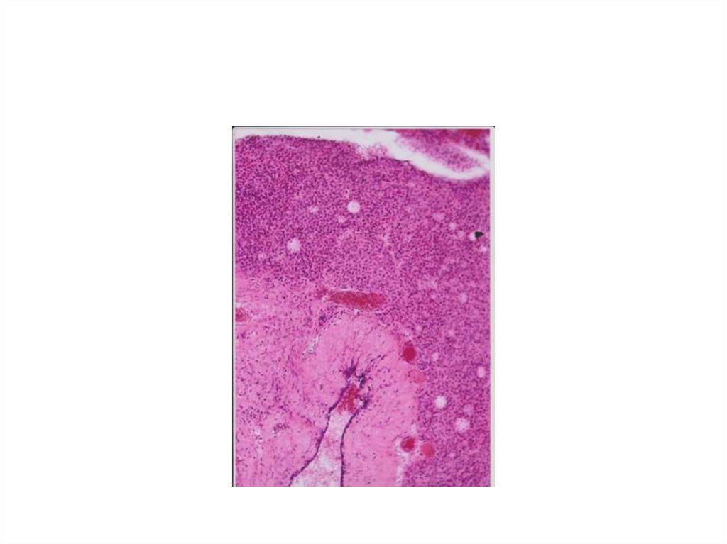
Щитовидная железа
3.
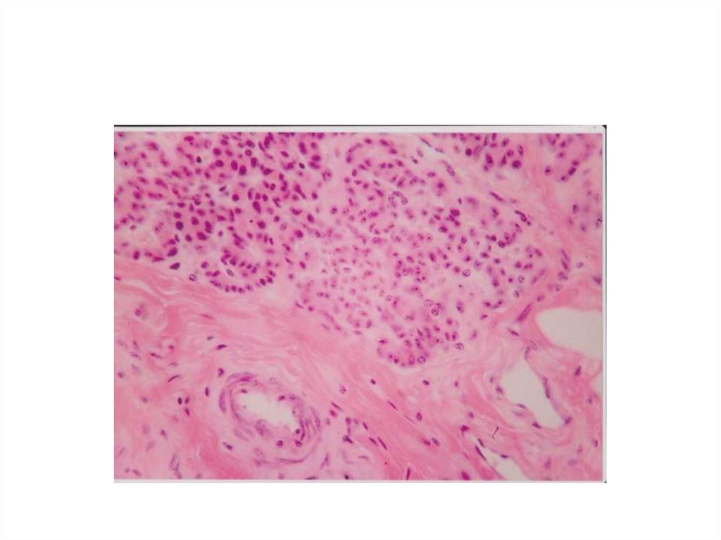
Гипофиз кошки
4.
5.
Надпочечник
6.
Аденогипофиз
7.
Надпочечник
8.
Аденогипофиз
9.
Надпочечник
10.
Надпочечник
11.
надпочечник
12.
13.
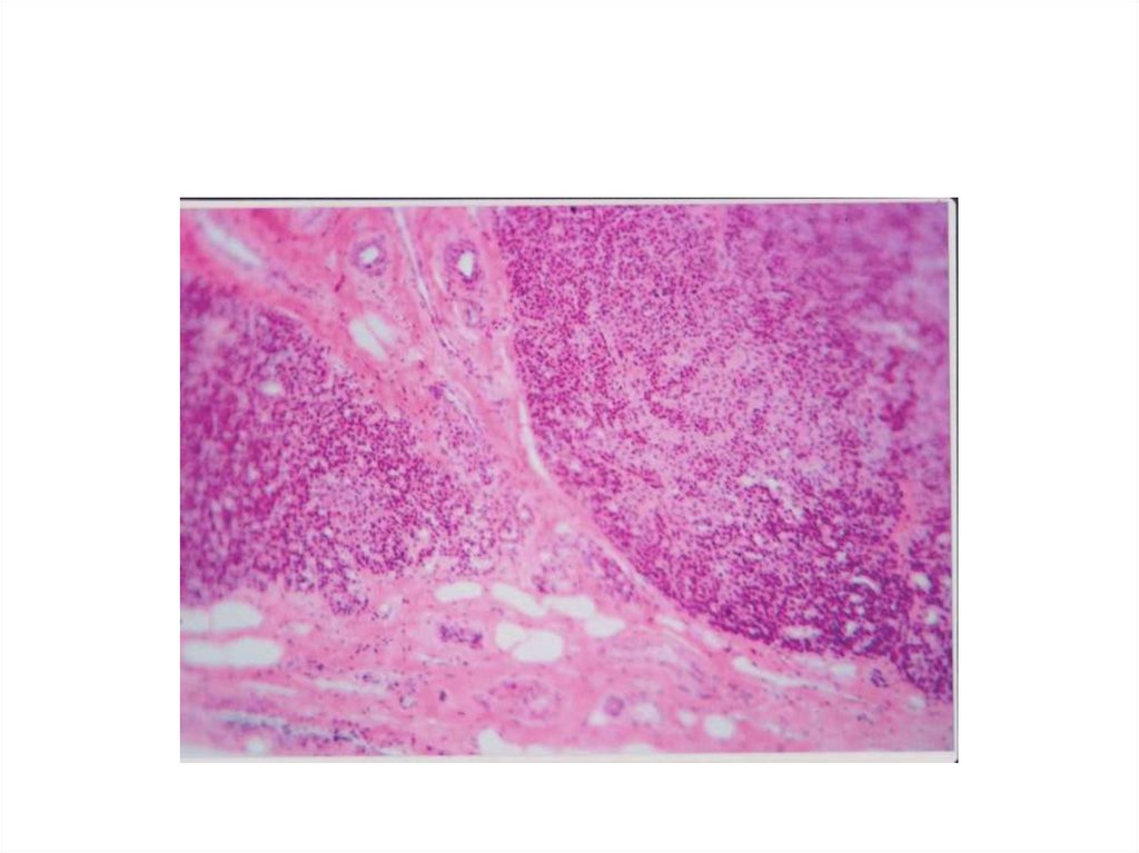
Тимус
English
Русский
Правила