37.58M
Категория: МедицинаМедицина

ИГХлогия в практике патологоанатома

1.

ИГХлогия в практике патологоанатома
By Dr. Altruist

2.

Что это за слово?
• Иммуногистохимическое (ИГХ) исследование представляет
собой метод идентификации специфичных антигенных
свойств соответствующих субстратов.

3.

WHY R U RUNNING?

4.

Что за субстраты?
Опухоли
Опухоли
Злокачественные опухоли
Доброкачественные опухоли
Опухоли в промежуточной злокачественностю
(Borderline type tumors)
Генетическая патология
Инфекционная патология
Посмертная ИГХ в судебке

5.

Какая экспрессия?
СD45

6.

EBNA

7.

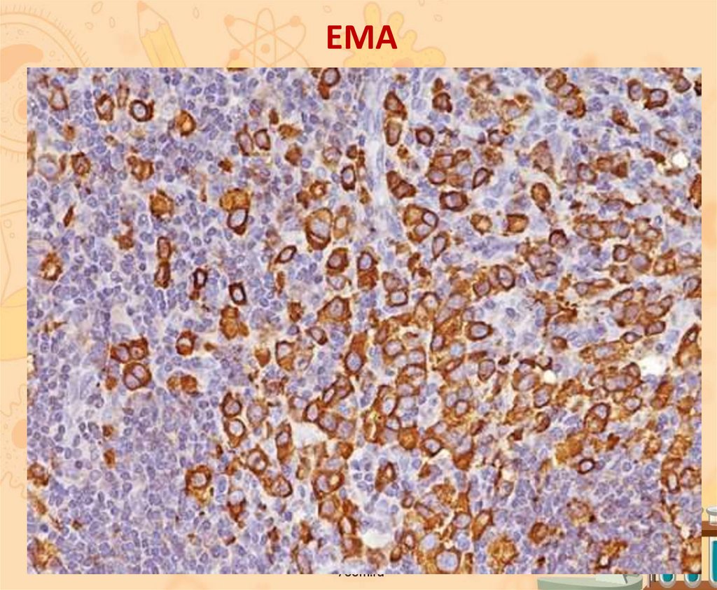
EMA

8.

ИГХ В ОПУХОЛЯХ

9.

Группы опухолей
Раки
Мягкотканные опухоли
Опухоли крови
Герминативные опухоли
Меланоцитарные опухоли
Опухоли ЦНС

10.

11.

12.

ИГХлогия раков

13.

CK
• Cytokeratines – промежуточные филаменты
эпителиальных тканей.
• Pan CK AE1//AE3

14.

15.

16.

CEA
Endometrioid carcinoma

17.

ИГХлогия сраком

18.

synovial sarcoma
Vimentin –
промежуточный филамент
мезенхимальных тканей

19.

Thyroid gland:
angiosarcoma

20.

ИГХлогия миогенных опухолей

21.

Миогенные опухоли

22.

IMT

23.

Calponin
• Leiomyoma

24.

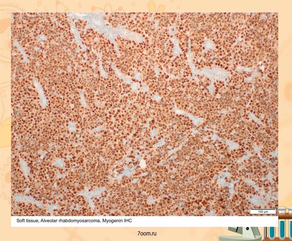
MYOd1
• Embrional rhabdomyosarcoma

25.

26.

ИГХлогия липогенных опухолей

27.

28.

MDM2
• Dediffirintiated liposarcoma

29.

DDIT3

30.

31.

ИГХлогия нейральных и
меланоцитарных опухолей

32.

SOX10
• Schwannoma

33.

S100
• MPNT

34.

S100
• Melanoma

35.

HMB45//MelanA
• Melanoma

36.

Blue nevus

37.

Герминативные маркеры

38.

AFP
• YST metastatic

39.

HepPar1
• Fibrolamellar type HCC

40.

ИГХлогия опухолей крови
О, если б только он знал,
сколько боли ждало за углом:
Сынок-то был дуболом, и за
намалёванным криво таблом
Увы, вот облом,
вместо извилин — лишь
годовые кольца:
- Тук-тук, есть кто дома, алло?
- Сиди, я открою, не
беспокойся!

41.

CD8
• T cell lymphoma of skin

42.

СD45
Diffuse large B cell lymphoma (H&E)

43.

CD68
• Follicular Dendritic Cell Sarcoma

44.

CD45ro
• Multiple myeloma-plasma cell staining

45.

Специальные маркеры
DOG1 HIST

46.

ALK-1

47.

TTF-1

48.


ИГХ диагностика анапластичных
опухолей
PanCK
Vimentin
S100
MelanA//HMB-45
Иногда:
CD8//4//19//etc
CD99

49.

CD99 PNET

50.

51.

Теперь, готов ответить на вопросы
English     Русский Правила