30.23M
Категория: МедицинаМедицина

Атеросклероз. Ишемическая болезнь сердца

1.

Атеросклероз. Ишемическая
болезнь сердца.

2.

Тромбоз коронарной артерии сердца

3.

Постинфарктный кардиосклероз. Хроническая
ишемическая болезнь сердца

4.

Атеросклероз аорты. Стадии липоидоза и
атерокальциноза (окр. Судан III)

5.

Гипертоническая болезнь

6.

Плазморрагия сосудов головного мозга и
петехии

7.

Кровоизлияние в мозг

8.

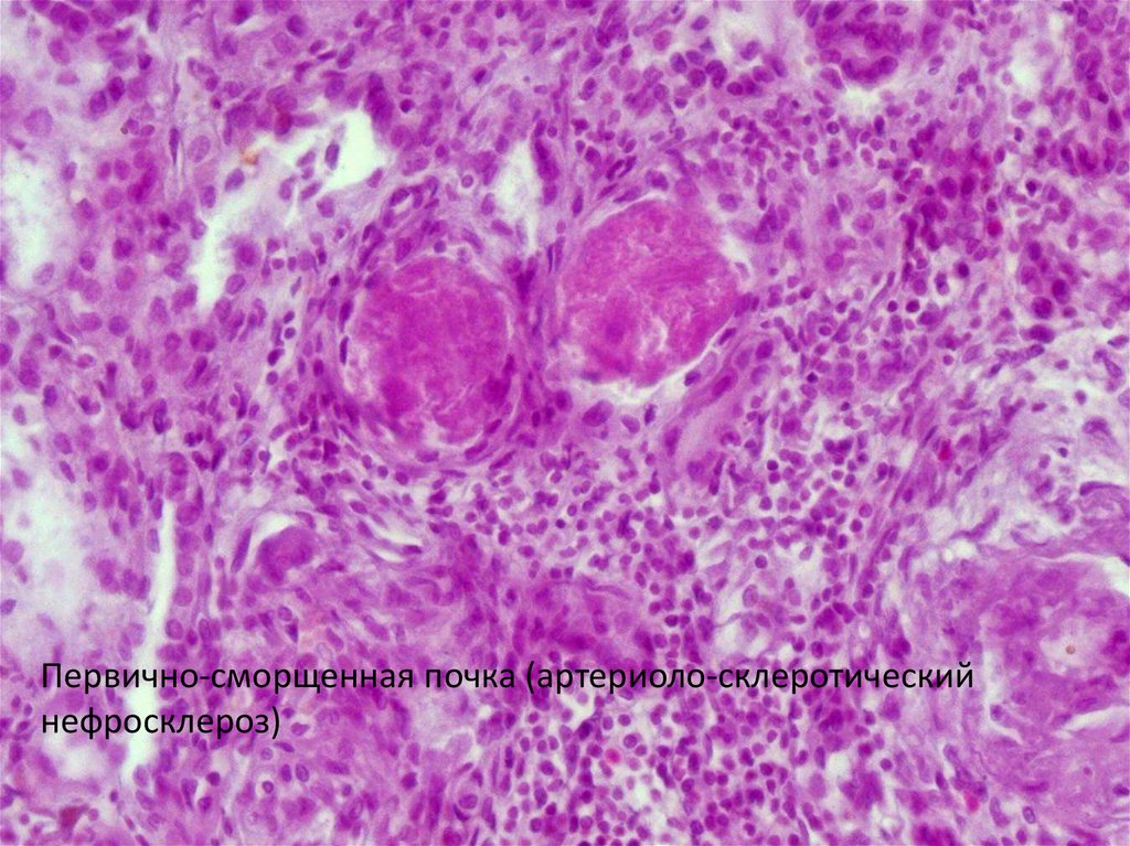
Первично-сморщенная почка (артериоло-склеротический
нефросклероз)

9.

Ревматические болезни (коллагенозы). Пороки сердца.

10.

Ревматические гранулемы в эндокарде

11.

Склерозированный клапан с петрификацией

12.

Фибринозный перикардит

13.

Болезни почек

14.

Экссудативный (серозный) экстракапиллярный
гломерулонефрит

15.

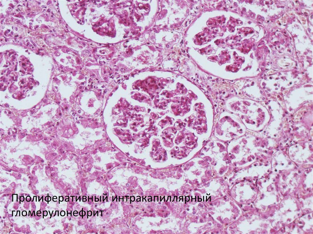
Пролиферативный интракапиллярный
гломерулонефрит

16.

Болезни печени

17.

Подострый вирусный гепатит

18.

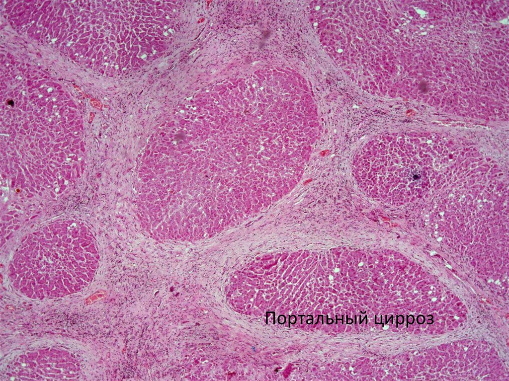
Портальный цирроз

19.

Болезни желудочно-кишечного тракта

20.

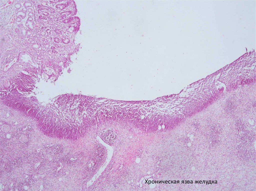
Хроническая язва желудка

21.

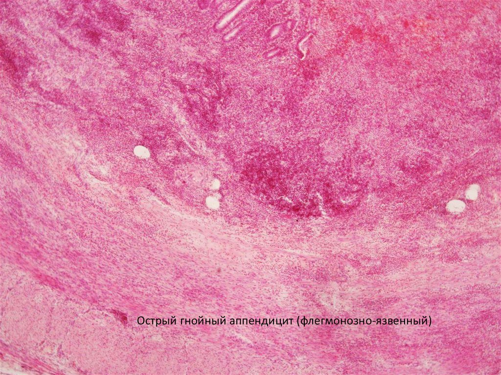
Острый гнойный аппендицит (флегмонозно-язвенный)
English     Русский Правила