7.38M
Категория: МедицинаМедицина

Лучевое исследование лёгких, сердца и крупных сосудов

1.

Лучевое исследование лёгких,
сердца и крупных сосудов

2.

Излучение
Ионизирующие
Неионизирующие
Рентгеновское (РИ) Гамма-излучение
Ультразвуковое Резонансное
Инфракрасное
(тепловое)
Ультразвуковое
исследование
(УЗИ,
допплеровское
картирование и
т.п.)
Тепловидение
Рентгенография
Рентгеноскопия
Флюорография
Линейная
томография
Компьютерная
томография (КТ)
Ангиография
Электрорентген
ография
Остеоденситоме
трия
(рентгеновская)
Ортопантомогра
фия
Радионуклидные
методы
исследования:
• сцинтиграфия
(изотопы I, Tc,
Tl, Ga)
• позитронноэмиссионная
томография
(ПЭТ) (изотопы
О, С).
РФП –
радиофармпрепарат,
содержит
радиоактивный изотоп
Магнитнорезонансная
томография
(МРТ)

3.

4.

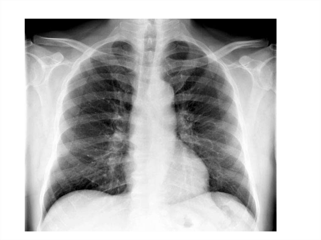
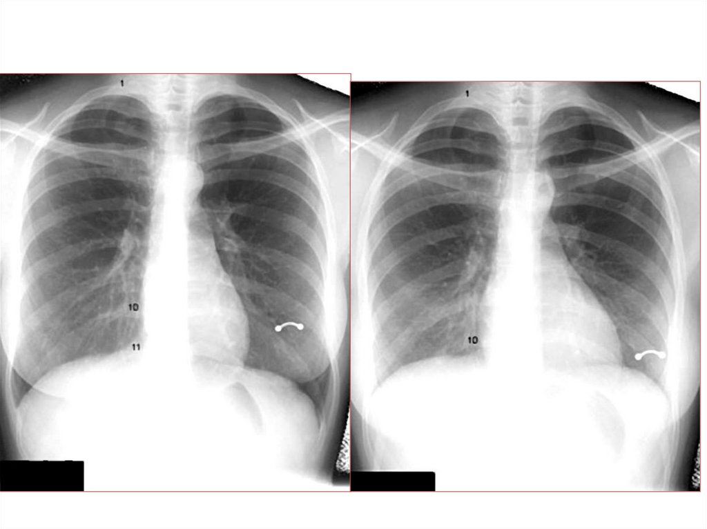
Рентгенография

5.

Рентгеноконтрастные препараты
Рентген-контрастные вещества
Позитивные
Парамагнетические
Негативные
Водорастворимые Водонерастворимые
Ультравист,
Омнипак
BaSO4
Газы (воздух, СО2)
Магневист
(используется в МРТ)

6.

7.

Рентгеноскопия

8.

9.

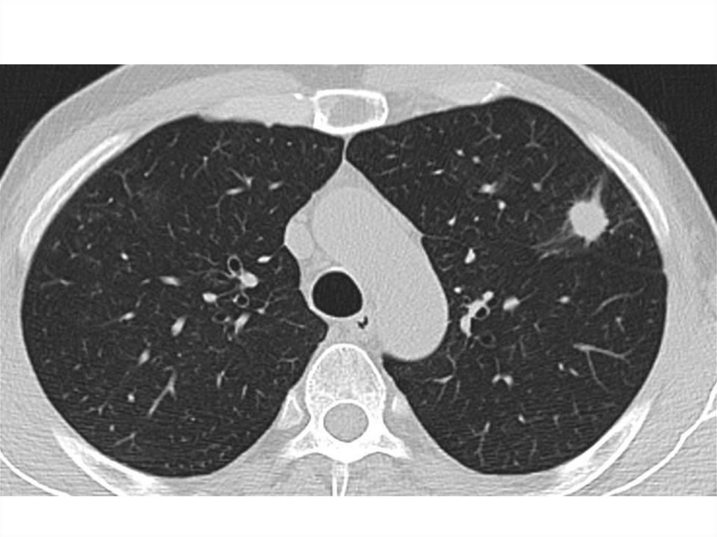
Компьютерная томография

10.

Ангиография

11.

12.

Позитронно-эмиссионная томография

13.

14.

ПЭТ-КТ

15.

УЗИ чего?

16.

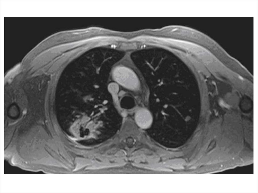
МРТ

17.

Тепловидение (термография)
English     Русский Правила