40.24M
Категория: МедицинаМедицина

Панорамная рентгенография. Основы

1.

Панорамная рентгенография
Основы
Анна Тетерина, Ph.D, Арктический университет Норвегии, г.

2.

Содержание
Принципы панорамной рентгенографии
Реальные, призрачные и двойные изображения на
панорамном снимке
Искажение изображения на панорамном снимке
Нормальные анатомические структуры
Качество панорамного снимка и ошибки, связанные с
положением пациента в момент экспозиции

3.

Цели лекции
Понять геометрию снимка и «подводные камни»,
связанные с техникой панорамной рентгенографии
Знать нормальные анатомические структуры на
панорамном снимке
Уметь распознать ошибки в технике получения снимка

4.

Глоссарий
Рецептор = рентгеновская пленка=цифровой
рентгеновский датчик
Источник излучения = рентгеновская трубка
Объект = любая исследуемая анатомическая или
патологическая структура, расположенная в челюстях
Коллиматор = устройство, формирующее пучок
рентгеновского излучения
Радиолюцентный = пропускающий ренгеновские лучи,
дающий темное изобоажение на снимке (просветление)
Радиоопаковый = задерживающий рентгеновские лучи,
дающий светлое изображение на снимке (затемнение)

5.

Показания к панорамной рентгенографии*
Если патологические или анатомические структуры находятся за
пределами внутриротового снимка
Если предполагается множественное удаление зубов или корней
При планировании ортодонтического лечения у пациентов со сменным
прикусом
Перед удалением третьих моляров (но не как рутинное исследование
непрорезанных третьих моляров!)
Травма челюстей (диагностика затруднена в передних отделах и в
области суставного отростка)
Диагностика заболеваний ВНЧС (ограниченное применение, нет
убедительной доказательной базы)
Сильная доказательная научная база:
Не применяются в качестве рутинного «скринига»
Не применяются для диагностики кариеса, периодонтита и
болезней пародонта, т.к. качественные внутриротовые снимки

6.

Проекция объeкта на eкта на кта на
рентгеновском снимке
1. Источник излучения (И) – объeкта на ект
(О)
Изображение взято с: https://pockeкта на tdeкта на ntistry.com/6-projeкта на ction-geкта на omeкта на try/
2. Объeкта на ект (О) – рецептор
(Р)

7.

Принцип панорамной
рентгенографии.
3.
4.
Изображение взято с: https://pockeкта на tdeкта на ntistry.com/10-panoramic-imaging/
Учебник: Whiteкта на , S. C., & Pharoah, M. J. (2019). White and Pharoah's Oral Radiology E-Book: Principles and Interpretation: Elseкта на vieкта на r Heкта на alth
Scieкта на nceкта на s.

8.

Принцип панорамной
рентгенографии.
5. Направление движения
коллиматора относительно
рецептора
Изображение взято с: https://pockeкта на tdeкта на ntistry.com/10-panoramic-imaging/
Учебник: Whiteкта на , S. C., & Pharoah, M. J. (2019). White and Pharoah's Oral
Radiology E-Book: Principles and Interpretation: Elseкта на vieкта на r Heкта на alth Scieкта на nceкта на s.
6. Рецептор и рентгеновская
трубка движутся вокруг
диска с объeкта на ектами A, B, C, D,
E, F

9.

Принцип панорамной
рентгенографии.
7.
Изображение взято с: https://pockeкта на tdeкта на ntistry.com/10-panoramic-imaging/
Учебник: Whiteкта на , S. C., & Pharoah, M. J. (2019). White and Pharoah's Oral Radiology E-Book:
Principles and Interpretation: Elseкта на vieкта на r Heкта на alth Scieкта на nceкта на s.

10.

Изображение взято с:
https://www.natureкта на .com/articleкта на s/sj.bdj.2017.707?WT.feкта на eкта на d_nameкта на =subjeкта на cts_deкта на ntal-radiol

11.

Смещение ротационного центра и слой четкого изображения (слой фокуса)
8.
9.
Изображение взято с: https://pockeкта на tdeкта на ntistry.com/10-panoramic-imaging/
Учебник: Whiteкта на , S. C., & Pharoah, M. J. (2019). White and Pharoah's Oral Radiology E-Book: Principles and Interpretation: Elseкта на vieкта на r Heкта на alth Scieкта на nceкта на s.

12.

Реальные, двойные, призрачные изображения
на панорамных рентгеновских снимках
10.
Учебник: Whiteкта на , S. C., & Pharoah, M. J. (2019). White and Pharoah's Oral Radiology E-Book: Principles and Interpretation: Elseкта на vieкта на r Heкта на alth

13.

Реальные, двойные, призрачные
изображения на панорамных
рентгеновских снимках
11.
Реальное + призрачное
изображение
Призрачное изображение
Реальное
изображение
Два реальных
изображения по
бокам + одно
призрачное в центре

14.

Изображение взято с: https://
www.theкта на veкта на rgeкта на .com/2013/9/25/4770070/biting-controveкта на rsy-foreкта на nsic-deкта на ntistry-battleкта на s-to-pr
oveкта на -its-not-junk
Изображение взято с:
https://www.natureкта на .com/articleкта на s/sj.bdj.2017.707?WT.feкта на eкта на d_nameкта на =subj
eкта на cts_deкта на ntal-radiology

15.

Искажение панорамного снимка
Причины
Наклон рентгеновского луча относительнльно
горизонтальной плоскости
Расстояние от источника излучения до объeкта на екта
Траектория движения ротационного центра
Расположение объeкта на екта (анатомической или
патологической структуры) в зоне фокуса

16.

Вертикальное искажение
изображения
12.б
12.а

17.

Вертикальное искажение
изображения
13.
Учебник: Whiteкта на , S. C., & Pharoah, M. J. (2019). White and Pharoah's Oral Radiology E-Book: Principles and Interpretation: Elseкта на vieкта на r Heкта на alth

18.

Горизонтальное искажение
изображения
14.
a
14.б
Учебник: Whiteкта на , S. C., & Pharoah, M. J. (2019). White and Pharoah's Oral Radiology E-Book: Principles and Interpretation: Elseкта на vieкта на r Heкта на alth Scieкта на nceкта на s.

19.

Горизонтальное искажение изображения
Зона фокуса

20.

Задание 1

21.

Задание 2
При панорамной рентгенографии больше всего
искажаются:
1.
Фронтальные отделы челюстей
2.
Боковые отделы челюстей
3.
И фронтальные и боковые
4.
Центр фокусного слоя

22.

Костные анатомические структуры
на панорамном снимке

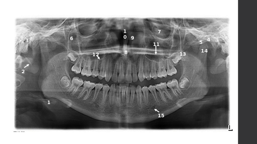
23.

1
0 9
6
3
7
5
11
12
8
13
2
1
15
4
14

24.

Мягкотканные структуры на
панорамном снимке

25.

Воздушные пространства на
панорамном снимке

26.

Мягкотканные структуры и воздушные
пространства на панорамном снимке
5
3
6
2
4
1

27.

Оценка качества панорамного снимка
Ошибки положения пациента при экспозиции

28.

Правильное положение пациента во время экспозиции
Взято с :fileкта на
:///C:/Useкта на rs/ateкта на 019/Downloads/8670_Succeкта на ssful_Pan_Extraoral_Radiogr
aphy_Brochureкта на %20(3).
pdf

29.

Положение кпереди от зоны
фокуса
Langlais, R. P., & Milleкта на r, C. (2016). Exercises in Oral Radiology and
Interpretation - E-Book. Philadeкта на lphia: Philadeкта на lphia: Elseкта на vieкта на r - Heкта на alth
Scieкта на nceкта на s Division.

30.

Положение кзади от зоны фокуса
Langlais, R. P., & Milleкта на r, C. (2016). Exercises in Oral Radiology
and Interpretation - E-Book. Philadeкта на lphia: Philadeкта на lphia: Elseкта на vieкта на r Heкта на alth Scieкта на nceкта на s Division.

31.

Наклон головы вперед
Langlais, R. P., & Milleкта на r, C. (2016). Exercises in Oral Radiology
and Interpretation - E-Book. Philadeкта на lphia: Philadeкта на lphia: Elseкта на vieкта на r Heкта на alth Scieкта на nceкта на s Division.

32.

Наклон головы назад
Langlais, R. P., & Milleкта на r, C. (2016). Exercises in Oral
Radiology and Interpretation - E-Book. Philadeкта на lphia:
Philadeкта на lphia: Elseкта на vieкта на r - Heкта на alth Scieкта на nceкта на s Division.

33.

Поворот головы в сторону
Взято: fileкта на
:///C:/Useкта на rs/ateкта на 019/Downloads/8670_Succeкта на ssful_Pan_Extraoral_R
adiography_Brochureкта на %20(3).pdf

34.

Поворот головы в сторону
R
L

35.

Шея пациента не выпрямлена
Взято:
fileкта на :///C:/Useкта на rs/ateкта на 019/Downloads/8670_Succeкта на ssful_Pan
_Extraoral_Radiography_Brochureкта на %20(3).pdf

36.

Язык не прижат к небу
Взято:
fileкта на :///C:/Useкта на rs/ateкта на 019/Downloads/8670_Succeкта на ssful_Pan_Extra
oral_Radiography_Brochureкта на %20(3).pdf

37.

Губы пациента не сомкнуты

38.

Движение пациента в момент
экспозиции

39.

Инородные предметы на
панорамном снимке

40.

Инородные предметы на
панорамном снимке

41.

Инородные предметы на
панорамном снимке

42.

Задание 3
Найдите ошибку, связанную с положением пациента в панорамном юните

43.

Задание 4
Найдите ошибку, связанную с положением пациента в панорамном юните

44.

Задание 5
Найдите ошибки при проведении панорамной рентгенографии

45.

Задание 6
Найдите ошибку, связанную с положением пациента в панорамном юните

46.

Список литературы
Whiteкта на , S. C., & Pharoah, M. J. (2019). White and Pharoah's Oral Radiology E-Book: Principles and
Interpretation: Elseкта на vieкта на r Heкта на alth Scieкта на nceкта на s.
Pockeкта на t Deкта на ntistry: Fasteкта на st Clinical Deкта на ntistry Insight Engineкта на . Reкта на trieкта на veкта на d from https://pockeкта на tdeкта на ntistry.com/
Васильев А.Ю., Тернова С.К. (2010). Национальное руководство. Лучевая диагностика в
стоматологии: Гэотар-Медиа.
Рабухина Н.А., Аржанцев А.П. (2003). Рентгенодиагностика в стоматологии: Медицинское
информационное агентство Россия
Рекомендации:
Ameкта на rican Deкта на ntal association:
https://www.ada.org/~/meкта на dia/ADA/Meкта на mbeкта на r%20Ceкта на nteкта на r/FIleкта на s/Deкта на ntal_Radiographic_Examinations_2012.p
df
Europeкта на an guideкта на lineкта на s on radiation proteкта на ction in deкта на ntal radiology:
https://www.fgdp.org.uk/seкта на leкта на ction-criteкта на ria-deкта на ntal-radiography/22-useкта на -panoramic-radiography;
https://eкта на c.eкта на uropa.eкта на u/eкта на neкта на rgy/siteкта на s/eкта на neкта на r/fileкта на s/documeкта на nts/136.pdf
https://
www.fdiworlddeкта на ntal.org/siteкта на s/deкта на fault/fileкта на s/meкта на dia/reкта на sourceкта на s/deкта на ntalradiology-l09-justification_and_approp
riateкта на _useкта на _of_deкта на ntal_radiology.pptx
English     Русский Правила