Лапароскопическая адреналэктомия
Анатомия надпочечников
Топография правого надпочечника
Топография левого надпочечника
Кровоснабжение надпочечников
Опухоли надпочечников
Синдром Иценко-Кушинга
Противопоказания к операции
Диагностика
Пробы при дифференциальной диагностике гиперфункции надпочечников
•Тест с КРГ( кортиколиберин)
Забор крови из нижнего каменистого (петрозного) синуса.
МРТ/КТ
УЗИ- диагностика
Подготовка к опреации
Техника исполнения левосторонней адреналэктомии
Техника исполнения правосторонней адреналэктомии
Видео с правосторонней адреналэктомией
Видео с левосторонней адреналэктомией
Примеры из анамнеза
Источники
13.71M
Категория: МедицинаМедицина

Лапароскопическая адреналэктомия

1. Лапароскопическая адреналэктомия

Козлов Сергей Вячеславович
1 курс 103 группа
2020 год

2. Анатомия надпочечников

3.

Правый надпочечник
Левый надпочечник

4. Топография правого надпочечника

5. Топография левого надпочечника

6. Кровоснабжение надпочечников

7. Опухоли надпочечников

• Кортикостерома
• Андростерома
• Кортикоэстрома
• Альдостерома
• Феохромоцитома
• Феохромобластома
• Ганглионеврома
• Симпатобластома
Опухоли коры надпочечников
Опухоли мозгового вещества

8.

9.

10.

11.

12.

13. Синдром Иценко-Кушинга

14.

15. Противопоказания к операции

• отягощенный хирургический анамнез (тяжелая спаечная болезнь, которая
делает чрезбрюшинный доступ невозможным),
• наличие в анамнезе операций на почки или печени и сопутствующего
спаечного процесса. Операционный доступ рекомендуется осуществлять с
использованием оптического троакара.
• большая железа (от 8 до 10 см).
• вопрос лапароскопической резекции надпочечника при злокачественном
поражении остается спорным. Фактически, некоторые данные существуют в
литературе (Kebebew E и др., Arch Surg, 2002).
• имеется достаточно много публикаций, доказывающих, что
лапароскопическая адреналэктомия в случае адренокортикального рака без
клинических проявлений, связана с высоким риском рецидива, вероятно, изза агрессивности этого варианта поражения, а также в связи со случайным
разрывом капсулы железы при выделении.

16. Диагностика

17. Пробы при дифференциальной диагностике гиперфункции надпочечников

• Большую дексаметазоновую пробу проводят по такой же схеме, как и
малую, но доза гораздо выше.
• ◊ 2 мг дексаметазона принимаются каждые 6 ч (120мкг/кг/сут) в
течение 2 дней, начиная с 9:00.
• ◊ Уровень кортизола исследуют натощак в день начала пробы до
приема дексаметазона и затем через 48ч.
• ◊ При болезни Иценко – Кушинга уровень кортизола через 48 ч
снижается более чем на 50% по сравнению с исходом, в меньшей
степени — при эктопическом синдроме Иценко – Кушинга. Однако
следует заметить, что у 10% пациентов с болезнью Иценко – Кушинга
уровень кортизола не снижается более чем на 50%.

18. •Тест с КРГ( кортиколиберин)

• ◊ Внутривенно вводят 100 мкг КРГ.
• ◊ Кровь на кортизол берут натощак за 15 мин и 0мин до введения КРГ,
а затем каждые 15 мин в течение 2ч.
• ◊ У больных с гипофизарной секрецией АКТГ уровень кортизола уже
повышается через 15 мин и достигает максимума на 30-й мин теста
(повышение на 14–20%), снижаясь до исходого уровня через 60 мин.
Аналогично повышается и концентрация АКТГ (на 35–50%).
• ◊ У больных с эктопической продукцией АКТГ уровни кортизола и АКТГ
не реагируют на введение КРГ.

19. Забор крови из нижнего каменистого (петрозного) синуса.

• Забор крови из нижнего каменистого (петрозного) синуса.
• ◊ Этот тест желательно проводить со стимуляторами секреции
АКТГ (например, с кортикотропин-рилизинг-фактором (КРФ)).
• ◊ Уровень АКТГ в оттекающей от гипофиза крови по сравнению с
периферическим в 2 раза выше, если именно в гипофизе
продукция АКТГ повышена, и такой разницы нет в случае АКТГэктопического синдрома.

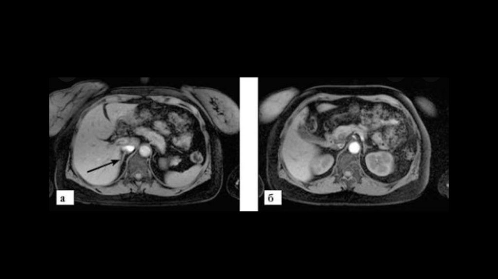
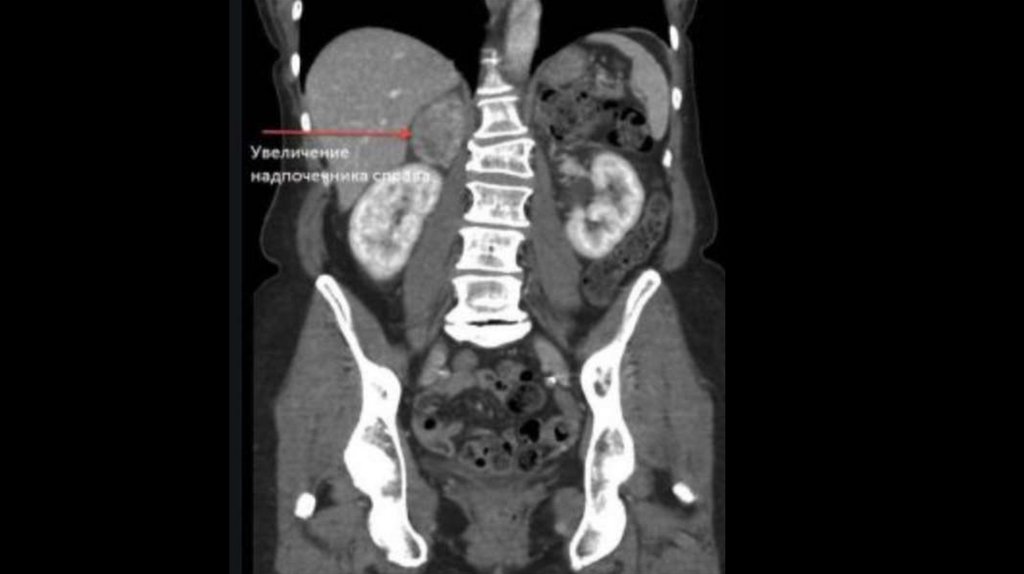
20. МРТ/КТ

• ◊ При МРТ в сочетании с контрастированием гипофиза
(гадолиний) аденома выявляется в 80% случаев.
• ◊ Однако следует иметь в виду, что аденома гипофиза выявляется
у 10% лиц без нарушения функции гипофиза, поэтому
биохимические исследования гормонов имеют решающее
значение.
• ◊ В случае подозрения на АКТГ-независимый синдром Иценко –
Кушинга при МРТ/КТ в надпочечниках можно выявить
характерные морфологические изменения.

21.

22.

23.

24.

25.

26. УЗИ- диагностика

27.

28.

29. Подготовка к опреации

• Введение наркоза
• Укладывание пациента в изогнутом положении на
соответствующий бок
• Обработка кожи ( до мечевидного отростка и ниже подвздошного
гребня, до срединной линии, так же обрабатывают сзади)
• Обкладывают стерильное поле

30. Техника исполнения левосторонней адреналэктомии

31.

32.

33.

34.

35. Техника исполнения правосторонней адреналэктомии

36.

37.

38.

39. Видео с правосторонней адреналэктомией

• https://www.youtube.com/watch?v=5Wnp9iqxUGI

40. Видео с левосторонней адреналэктомией

• https://www.youtube.com/watch?v=zPwbCeQeuJw

41. Примеры из анамнеза

42.

43. Источники

• https://www.rmj.ru/articles/endokrinologiya/Sindrom_Icenko__Kushi
nga_lekciya/
• Учебник Золингера
• Учебник Теодора Паппаса
• Meduniver.com
• https://uniclinic.pro/diseases/kista-nadpochechnika/
English     Русский Правила