2.68M
Категория:
Медицина
Похожие презентации:
Логотерапия Виктора Франкла
Гемофилия. Проклятие королевы Виктории. История на биологии
Организация лечебного питания в санатории «Виктория», кисловодский филиал АО «ЦСТЭ» (холдинг)
Методы исследования в акушерстве
Оказание первой доврачебной помощи
Внутрибольничная инфекция. Дезинфекция, стерилизация. Обработка медицинских инструментов
Диагностика беременности
Организация онкологической службы в России
Первая медицинская помощь в походе
Дезинфекция. Методы дезинфекции
Когай Виктория Валерьевна
1.
Когай Виктория Валерьевна
25.06.1985 ( 37 лет)
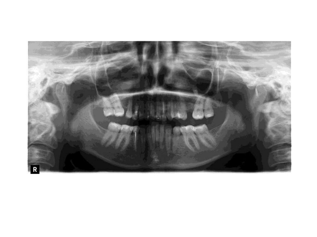
Дата консультации: 02.10.2022
Дата диагностики : слепки 02.10.2022
Снимок КТ 24.06.2022
Запись на обсуждение плана : 09.10.2022
2.
3.
4.
1.2
Наклоны резцов
1.1
2.1
2.2
English
Русский
Правила