4.19M
Категория: МедицинаМедицина

Врожденные патологии у взрослых

1.

Врожденные патологии у
взрослых
ПОДГОТОВИЛ: СТРЕЛЬЧЕНКО ВЛАДИСЛАВ, 2 КУРС

2.

Классификация аномалий почек
Аномалии количества почек:
- Аплазия
- Удвоение почки
- Добавочная почка
Аномалии величины почек: гипоплазия
Аномалии расположения и формы почек:
- Дистопия
- Сращение почек
Аномалии структуры почки:
- Дисплазия почки
- Губчатая почка
- Мультиколулярная киста
- Мультикистозная почка
- Поликистозная почка
- Губчатая почка

3.

Аплазия почки

4.

Удвоение почки

5.

Добавочная почка

6.

Гипоплазия почки

7.

Дистопия почки

8.

Сращенные почки
- подковообразная почка

9.

Сращенные почки
- галетообразная почка (блинчатая)

10.

Сращенные почки
- галетообразная почка (блинчатая)

11.

Сращенные почки
- L-образная почка

12.

Сращенные почки
- S-образная почка

13.

Губчатая почка

14.

Мультиколулярная киста

15.

Мультикистозная почка

16.

Поликистозная почка

17.

Классификация аномалий
мочеточников
Аномалии количества
- Аплазия
- Удвоение мочеточника
- Утроение мочеточника
Аномалии положения
- ретрокавальный мочеточник
- ретроилеальный мочеточник
- эктопия отверстия мочеточника
Аномалии формы
- кольцеобразный
Аномалии структуры
- Мегауретер (нейромышечная дисплазия)
- клапаны
- дивертикулы
- уретероцеле
- ПМР

18.

Аплазия мочеточника

19.

Удвоение мочеточника
Неполное
Полное

20.

Утроение мочеточника

21.

Клапаны мочеточника

22.

Дивертикул мочеточника

23.

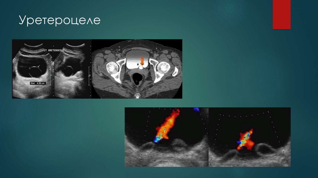
Уретероцеле

24.

Мегауретер (нейромышечная
дисплазия)

25.

Ретрокавальный мочеточник

26.

Ретрокавальный мочеточник

27.

Пузырно-мочеточниковый рефлюкс
1 степень: ПМР не достигает почечной лоханки
2 степень: ПМР распространяется до почечной лоханки
3 степень: легкая или умеренная дилатация мочеточника и
почечной лоханки
4 степень: умеренное расширение мочеточника, почечной
лоханки и чашечек.
5 степень: резкое расширение и извитость мочеточника.
Выраженное расширение лоханок и чашечек

28.

Источники
https://pubmed.ncbi.nlm.nih.gov/29730988/
https://pubmed.ncbi.nlm.nih.gov/32520748/
https://pubmed.ncbi.nlm.nih.gov/33120011/
https://pubmed.ncbi.nlm.nih.gov/22970063/
https://onlinelibrary.wiley.com/doi/10.1111/j.1440-1673.2008.01950.x
https://pubmed.ncbi.nlm.nih.gov/30361920/
https://pubmed.ncbi.nlm.nih.gov/28491818/
https://pubmed.ncbi.nlm.nih.gov/25024805/
https://pubmed.ncbi.nlm.nih.gov/31088850/
https://pubmed.ncbi.nlm.nih.gov/9017803/
https://pubmed.ncbi.nlm.nih.gov/19996658/
https://sci-hub.hkvisa.net/10.1016/s0022-5347(17)56380-6
https://pubmed.ncbi.nlm.nih.gov/34320694/
https://pubmed.ncbi.nlm.nih.gov/27207823/
https://pubmed.ncbi.nlm.nih.gov/29898913/
https://pubmed.ncbi.nlm.nih.gov/31781468/
https://pubmed.ncbi.nlm.nih.gov/16716788/
https://pubmed.ncbi.nlm.nih.gov/16900217/
https://pubmed.ncbi.nlm.nih.gov/33102729/
https://pubmed.ncbi.nlm.nih.gov/34430187/
Руководство по урологии. Под редакцией Н.А. Лопаткина. Т2
Урология. Под редакцией Д. Ю. Пушкаря. 2 издание
English     Русский Правила