6.67M
Категория: МедицинаМедицина

Рентгеносемиотика заболеваний органов грудной клетки. Рентгенодиагностика аномалий и пороков развития бронхов и легких

1.

Рентгеносемиотика
заболеваний органов
грудной клетки
Рентгенодиагностика
аномалий и пороков
развития бронхов и
легких

2.

Тотальное или субтотальное
затемнение

3.

Посттравматический ателектаз правого легкого

4.

Ограниченное затемнение

5.

Крупозная пневмония верхней доли слева

6.

Крупозная пневмония верхней доли слева

7.

Сегментарная пневмония 6 сегмента
нижней доли справа

8.

Круглая тень

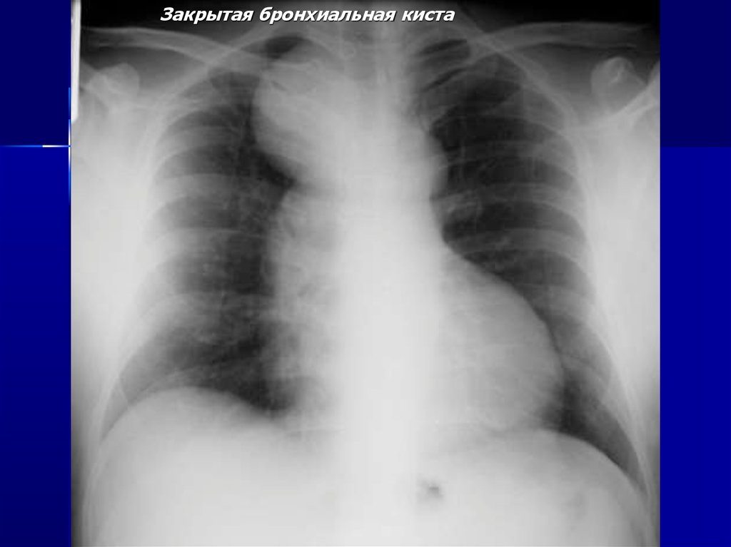
9.

Закрытая бронхиальная киста

10.

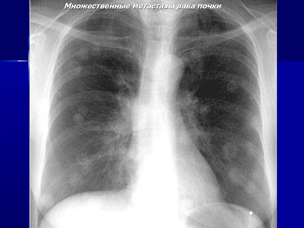
Множественные метастазы рака почки

11.

Кольцевидная тень

12.

Хронический абсцесс нижней доли слева

13.

Хронический абсцесс нижней доли слева

14.

Очаговые и
диссеминированные
тени

15.

Прикорневая бронхопневмония справа

16.

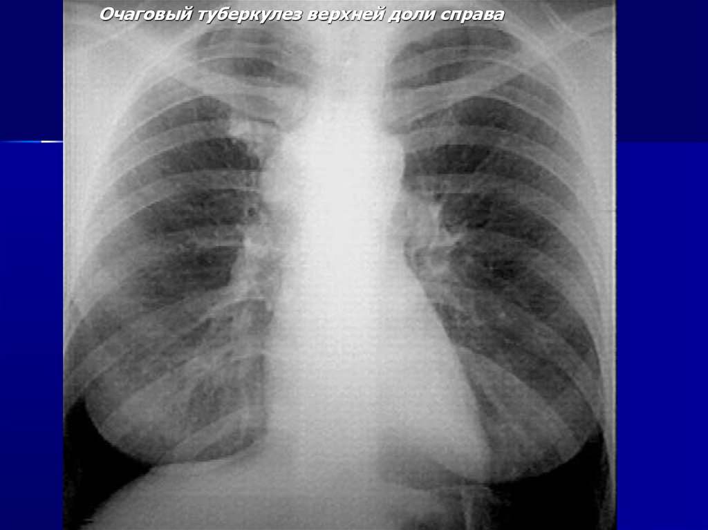
Очаговый туберкулез верхней доли справа

17.

Диффузная диссеминация

18.

Милиарный туберкулез легких

19.

Просветление легочного поля
или его части

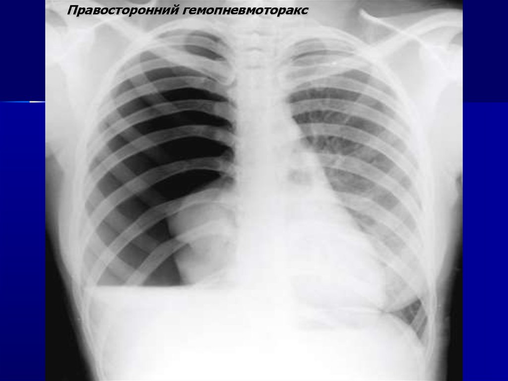
20.

Правосторонний гемопневмоторакс

21.

Изменения легочного
рисунка

22.

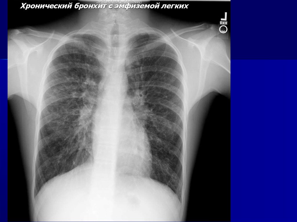
23.

Хронический бронхит с эмфиземой легких

24.

Изменения корней
легких

25.

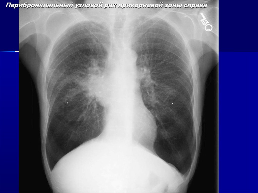
Перибронхиальный узловой рак прикорневой зоны справа

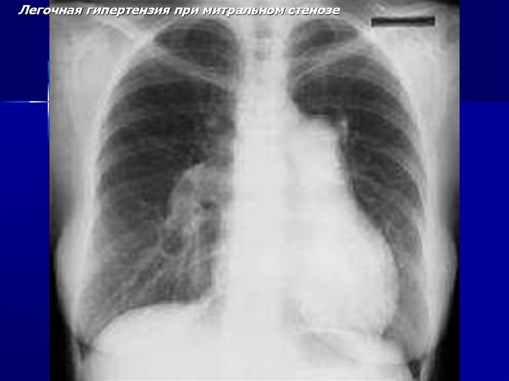
26.

Легочная гипертензия при митральном стенозе

27.

Нарушения
бронхиальной
проходимости

28.

29.

Гиповентиляция внутреннебазального сегмента
нижней доли справа

30.

Обтурационная эмфизема верхней доли справа

31.

Ателектаз верхней доли справа

32.

РЕНТГЕНОДИАГНОСТИКА
АНОМАЛИЙ И ПОРОКОВ
РАЗВИТИЯ БРОНХОВ И
ЛЕГКИХ

33.

Варианты недоразвития бронхиального дерева
Варианты недоразвития бронхиального дерева

34.

Бронхиальная киста верхней доли слева

35.

Бронхиальная
Бронхиальная
киста
киста
верхней
верхней
доли
доли
справа
справа

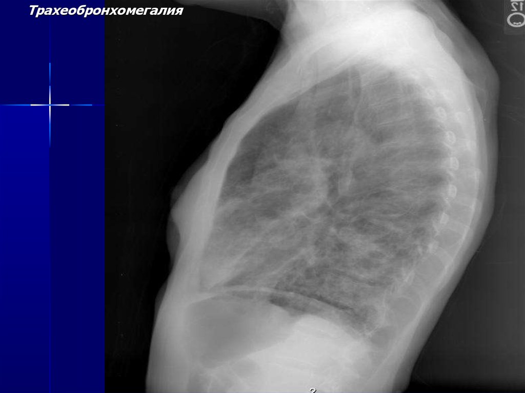
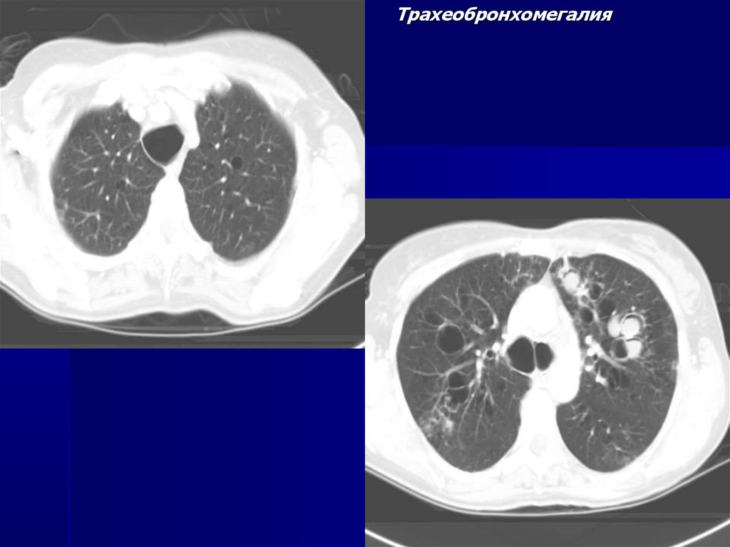
36.

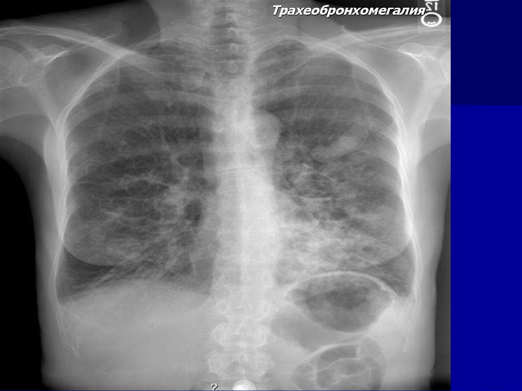
Трахеобронхомегалия

37.

Трахеобронхомегалия

38.

Трахеобронхомегалия

39.

Трахеобронхомегалия

40.

Аномалии и пороки
развития сосудов легких

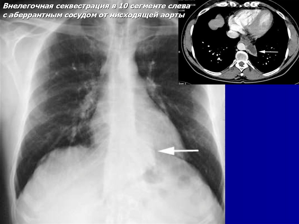
41.

Легочная секвестрация

42.

Внелегочная секвестрация
Бронхиальная
в 10киста
сегменте
верхней
слева
доли справа
с аберрантным сосудом от нисходящей аорты

43.

Внутрилегочная секвестрация в 10 сегменте слева с аберрантным
сосудом от нисходящей аорты

44.

Внутрилегочная секвестрация
справа с аберрантным сосудом от
чревного ствола

45.

Врожденная эмфизема
легких

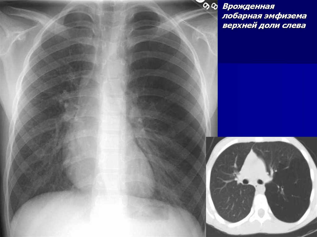
46.

Врожденная
лобарная эмфизема
верхней доли слева

47.

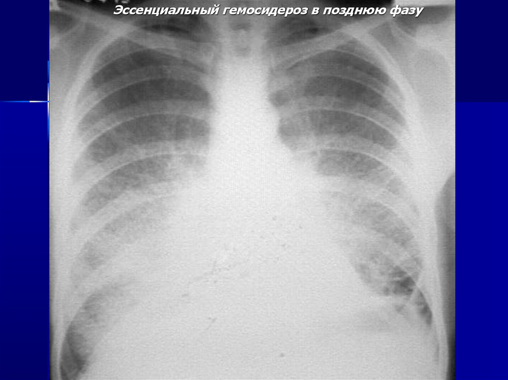
Эссенциальный
гемосидероз

48.

Эссенциальный гемосидероз в раннюю фазу

49.

Эссенциальный гемосидероз в позднюю фазу
English     Русский Правила