32.99M
Категория: МедицинаМедицина

Particularitățile reabilitării estetice și funcționale a pacienților cu chisturi radiculare

1.

Ministerul Sănătății, Muncii și Protecției Sociale al Republicii Moldova
Universitatea de Stat de Medicină și Farmacie "Nicolae Testemițanu"
FACULTATEA DE STOMATOLOGIE
Catedra de chirurgie oro-maxilo-facială şi implantologie orală “Arsenie Guţan”
Teza de licență
PARTICULARITĂȚILE REABILITĂRII ESTETICE ȘI FUNCȚIONALE A
PACIENȚILOR CU CHISTURI RADICULARE.
TILINSCHII Ilie
anul V,
grupa S1310
Andrei Mostovei
Chișinău, 2018
Dr. șt. med., conf.univ.

2.

Актуальность темы:
Одонтогенные радикулярные кисты одно из наиболее часто встречаемых воспалительных процессов в челюстнолицевой области. Как правило, данная патология из-за своей скудной симптоматики диагностируется во время
рентгенографии зубов во время их лечения. Хорошо известны методики лечения данной патологии, к которым относятся
цистэктомия с резекцией верхушки зуба, цистэктомия с удалением зуба и цистотомия. Данное лечение приводит к
отличным пост оперативным результатам, но, как правило, это приводит к потере одного или более зубов.
На данный момент в результате имеющейся адентии, полученной в результате хирургического вмешательства по
поводу удаления радикулярных кист пациенты ориентируются на имплантационные методы реабилитации, которые
очень популярны в последние десятилетия, так как не затрагивают соседние зубы не требуя их препарирования. Данные
методы лечения часто приводят к необходимости протетической реабилитации пациентов из-за потери зубов.
Но, как правило, хирургическое лечение пациентов с одонтогенными радикулярными кистами часто приводит к
таким последствиям как нехватка твердых и мягких тканей после заживления, к которым относятся атрофия
альвеолярного отростка и наличие рубцов мягких тканей, что может поставить под угрозу дальнейшее имплантационное
и протетическое лечение. В таких случаях наиболее целесообразно планирование лечения еще до проведения
цистэктомии и удаления зубов.

3.

Цель исследования:
Оценка эстетических факторов риска перед имплантационным лечением и
полученных эстетических и функциональных результатов у пациентов,
реабилитированных имплантатами после цистэктомии и удаления зубов.

4.

Задачи исследования:
1. Анализ литературы с точки зрения методов лечения одонтогенных кист и оценки
послеоперационных осложнений.
2. Анализ факторов риска и полученных эстетических результатов у каждого
конкретного пациента после имплантационного и протетического лечения.
3. Показать необходимость планирования имплантационного и хирургического лечения
еще до цистэктомии и удаления зуба для достижения лучшего эстетического
результата.

5.

Материалы и методы исследования:
В исследование данной работы было включено 5 пациентов. Средний возраст 38.45±2.67 лет.
Пациенты с одонтогенными радикулярными кистами во фронтальных и боковых отделах. В
ходе планирования лечения был выбран метод реабилитации пациентов с помощью
дентальных имплантатов.
При планировании лечения пациентам проводилось:
1) Клиническое обследование, включающее в себя:
-субъективное обследование
-объективное обследование
а) внеротовое, которое включало осмотр, пальпацию,
аускультацию ВНЧС.
б) внутриротовое, которое включало осмотр, пальпацию, перкуссия,
зондирование с полным обследованием слизистой оболочки полости рта, зубов, альвеолярных
отростков.
2)Рентгенологическое обследование:
а) ортопантомография.
б) конусная компьютерная томография.
3)Фотометрическое обследование.

6.

Оценка факторов риска.
При планировании лечения в зависимости от
ожиданий пациента и сложности патологии был
сделан анализ факторов риска, которые могли
повлиять на качество выполненного лечения.

7.

Расчет среднего значения всех факторов риска:
Риск = (X*1)+(Y*2)+(Z*3) / N
X - количество факторов с низкой степенью риска.
Y - количество факторов со средней степенью риска.
Z - количество факторов с высокой степенью риска.
N - количество всех факторов риска.
Интерпретация результатов:
0-1 : отсутствие риска
1-2 : слабый риск
2-2.7 : средний риск
>= 2.8 : высокий риск

8.

Fürhauser Pink Esthetic Score
Оценка эстетического результата мягких тканей вокруг установленного имплантата проводится по шкале Fürhauser Pink Esthetic Score,
которая включает в себя 7 критериев оценки.
Благодаря данной шкале могут быть объективно оценены различные методы лечения между собой. К данным критериям относятся:
медиальный сосочек, дистальный сосочек, контур мягких тканей, высота мягких тканей, состояние альвеолярного отростка, цвет мягких
тканей, текстура мягких тканей. Каждый критерий оценивается в баллах 0-1-2. Наихудший эстетический результат - 0, наилучший
эстетический результат -2. Максимальное количество баллов по всем критериям 14.

9.

Шкала Fürhauser
Pink Esthetic Score
Значение
0
1
2
Медиальный сосочек
отсутствует
неполный
полностью заполняет
пространство до
контактного пункта
Дистальный сосочек
отсутствует
неполный
полностью заполняет
пространство до
контактного пункт
Контур мягких тканей
неестественный
практически
естественный
естественный
Высота мягких тканей
несоответствие контура
более 2 мм
несоответствие контура
от 1 до 2 мм
несоответствие контура
до 1 мм
Альвеолярный отросток
Полностью атрофирован
Частично атрофирован
Без изменений
Цвет мягких тканей
Сильно изменен
Частично изменен
Не изменен
Текстура мягких тканей
Сильно изменена
Частично изменена
Не изменена

10.

Клиническая оценка заживления ран. Early Wound Healing Index, EHI.
EHI 1
EHI 2
EHI 3
EHI 4
EHI 5

11.

Клинический случай №1.
Анализ ортопантомограммы и конусной компьютерной томографии показал наличие гомогенного участка разрежения
костной ткани округлой формы с четкими границами. В кистозную полость обращен корень зуба 12, 13 периодонтальная
щель их со стороны кисты отсутствует. Размер кисты 1,5x1,5 см. На ККТ наблюдается истончение вестибулярной и язычной
кортикальной пластинки нижней челюсти в области зуба 12, 13.

12.

Анестезия операционного поля раствором анестетика “Ubistesin forte”. Разрез слизистой оболочки вдоль альвеолярного гребня с
послабляющими вертикальными разрезами на расстоянии 1 см от границ кисты. Отслаивание распатором трапецевидного слизистонадкостничного лоскута. Удаление зуба 12. Производим фенестрацию вестибулярной стенки кистозной полости при помощи
шаровидного алмазного бора с обильной ирригацией физиологическим раствором. Кость препарируем круговыми движениями в
области будущего окна. При помощи распатора по краю полости тщательно отделяем оболочку кисты от кости.

13.

Далее производим аугментацию костного дефекта при помощи графта “Колапол КП – 3”. Укладывание слизисто-надкостничного
лоскута на место. Ушивание краев раны одиночными швами.

14.

После периода заживления во время планирования дальнейшего лечения при помощи фотометрического исследования был сделан
анализ факторов риска, которые могли повлиять на качество выполненного лечения с эстетической и морфофункциональной точек
зрения.

15.

16.

Через 3 месяца после проведенной процедуры компьютерная томография показала наличие образовавшейся костной ткани в участке
предыдущего дефекта.

17.

Установленные имплантаты с десневыми формирователями.

18.

На пятый день после операции поверхность раны была оценена при помощи Early Wound Healing Index. Ране был присвоен индекс EHI
3. Рана относится к классу 3, если на пятые сутки после операции ее края полностью сопоставлены, а полоска фибрина покрывает не
только линию разреза, но и прилежащие к ней края лоскута (все еще считается заживлением первичным натяжением).

19.

Контрольный рентгеновский снимок через 6 месяцев показал удачный исход операции с хорошо интегрированными
имплантатами.

20.

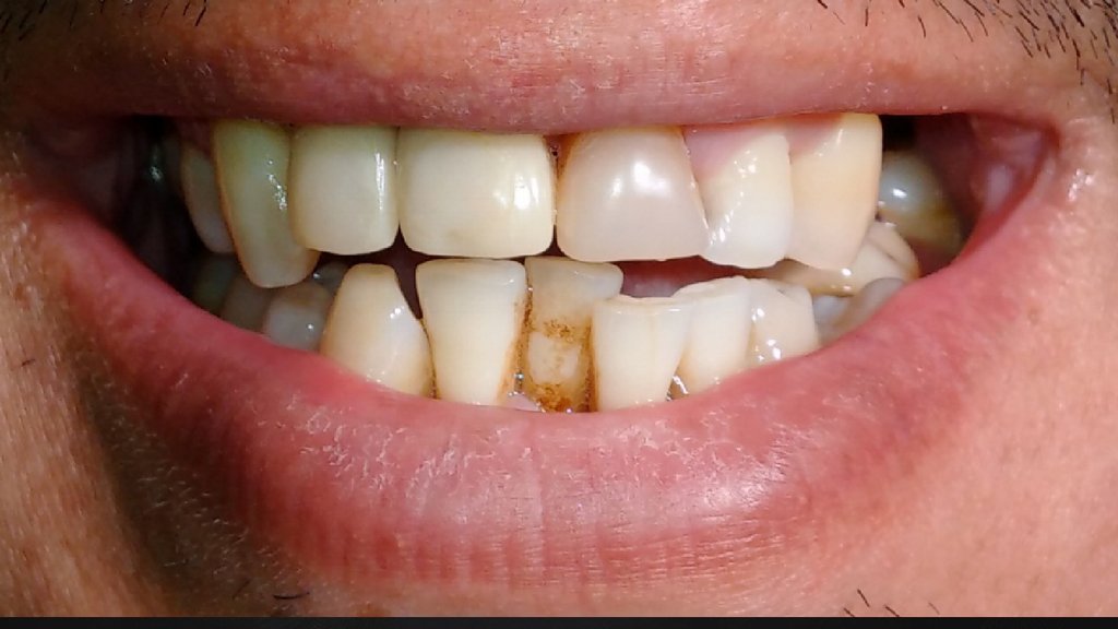
Клиническая картина через 6 месяцев после имплантации.

21.

Через 6 месяцев после операции были сняты формирователи с заменой на трансферы с последующим снятием двухслойного
силиконового оттиска для изготовления металлокерамической коронки.

22.

Через неделю была произведена припасовка и цементировка ортопедической конструкции на имплантат.

23.

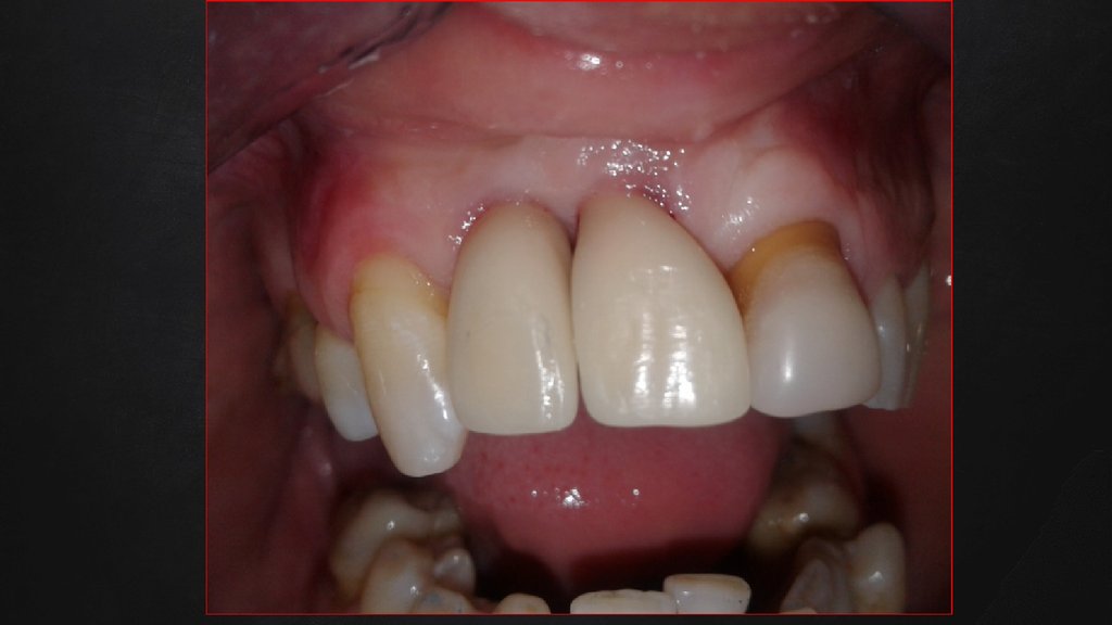
Далее производим оценку конечного эстетического результата по шкале Furhauser Pink Esthetic Score.

24.

Оценка по шкале Pink Esthetic Score.

25.

Клинический случай №2.
Анализ конусной компьютерной томографии показал наличие гомогенного участка разрежения костной ткани округлой формы с
четкими границами. В кистозную полость обращен корень зуба 46, периодонтальная щель его со стороны кисты отсутствует. Размер
кисты 1,5x1,5 см. На КТ наблюдается истончение язычной кортикальной пластинки нижней челюсти в области зуба 46.

26.

Забор венозной крови у пациента перед началом операции для дальнейшего приготовления мембраны PRF (Platelet Rich Fibrin).

27.

Анестезия операционного поля раствором анестетика “Ubistesin forte”. Удаление зуба.

28.

Разрез слизистой оболочки вдоль альвеолярного гребня с послабляющими вертикальными разрезами на расстоянии 1 см от границ
кисты. Отслаивание распатором трапецевидного слизисто-надкостничного лоскута. Производим фенестрацию вестибулярной стенки
кистозной полости при помощи шаровидного твердосплавного бора с обильной ирригацией физиологическим раствором. Кость
препарируем круговыми движениями в области будущего окна. При помощи распатора по краю полости отделяем оболочку кисты от
кости.

29.

Далее производим аугментацию костного дефекта при помощи графта “Колапол КП – 3” с наложением мембраны PRF, играющая роль
биологической повязки для защиты графта, повысить шансы на заживление, так как там присутствуют факторы роста.

30.

Ушивание дефекта одиночными швами. Ушивание раны прошло с расчетом на предыдущую позицию мягких. Рана не была полностью
закрыта, чтобы не приближать кератенизированную десну к альвеолярному гребню, что могло привести в итоге к плохому эстетическому
результату. Рана зажила вторичным натяжением.

31.

Рана на 7 день после операции.

32.

Клиническая картина до проведения имплантации.

33.

34.

Анестезия операционного поля раствором “Ubistesin forte” и горизонтальный разрез слизистой оболочки по альвеолярному гребню.
Формирование костного ложа под имплантат с использованием всех общепринятых принципов атравматичного препарирования кости.

35.

Установка имплантата фирмы “Dentium” в участке адентии зуба 46. Установка десневого формирователя.

36.

На пятый день после операции поверхность раны была оценена при помощи Early Wound Healing Index. Ране был присвоен индекс EHI
2. Края раны были сопоставлены, но по линии разреза отмечается тонкая полоска фибрина.

37.

Через 6 месяцев после операции были сняты формирователи с заменой на трансферы с последующим снятием
двухслойного силиконового оттиска для изготовления металлокерамической коронки. Через неделю была произведена
припасовка и цементировка ортопедической конструкции на имплантат.

38.

Далее производим оценку конечного эстетического результата по шкале Furhauser Pink Esthetic Score.

39.

Оценка по шкале Pink Esthetic Score.

40.

Клинический случай №3.
Анализ конусной компьютерной томографии показал наличие гомогенного участка разрежения
костной ткани округлой формы с четкими границами. В кистозную полость обращен
корень зуба 12, периодонтальная щель его со стороны кисты отсутствует. Размер кисты
1,5x1,5 см. На компьютерной томографии наблюдается истончение вестибулярной
кортикальной пластинки нижней челюсти в области зуба 12.

41.

Отслаивание распатором трапецевидного слизисто-надкостничного лоскута.

42.

Взятие костного блока из угла нижней челюсти для последующей аугментации

43.

Через 6 месяцев после проведенной процедуры компьютерная томографии показала наличие образовавшейся костной
ткани в участке предыдущего дефекта.

44.

После периода заживления во время планирования дальнейшего лечения был сделан анализ факторов риска, которые
могли повлиять на качество выполненного лечения с эстетической и морфофункциональной точек зрения.

45.

Риск = 2.05, средний риск.

46.

Анестезия операционного поля раствором “Ubistesin forte” и горизонтальный разрез слизистой оболочки по альвеолярному
гребню.

47.

Установка имплантата фирмы “Dentium” в участке адентии зуба 21 и 22.

48.

Установка десневого формирователя.

49.

Ушивание раны.

50.

На пятый день после операции поверхность раны была оценена при помощи Early Wound
Healing Index. Ране был присвоен индекс EHI 3. Рана относится к классу 3, если на пятые сутки после операции ее края
полностью сопоставлены, а полоска фибрина покрывает не только линию разреза, но и прилежащие к ней края лоскута (все
еще считается заживлением первичным натяжением).

51.

52.

53.

54.

Полученные результаты.
При реабилитации пациентов с боковыми дефектами исход лечения был легко предсказуем и не
возникало серьезных проблем, связанных с эстетическими результатами восстановления. В случае
реабилитации во фронтальных участках подсчет результата факторов риска показал меньшее
значение (≤2) и хороший Pink Esthetic Score (10) для одиночного дефекта зубного ряда. Однако, в
случае восстановления дефектов двух или более соседних зубов сложнее предугадать результаты
лечения и показало более высокий эстетический риск (> 2) и более низкие значения Pink Esthetic
Score (7). Костные дефекты и отсутствие периодонтальных связок влияли на поддержание мягких
тканей между имплантатами и уменьшали эстетические результаты.

55.

Выводы:
• Планирование хирургического и имплантационного лечения еще до цистэктомии и
удаления зуба позволило достигнуть более лучших эстетических результатов.
• Хирургическое лечение радикулярных кист с использованием аугментации для
дальнейшего импланто-протетического лечения может привести к хорошим
прогнозируемым результатам с высокими значениями Pink Esthetic Score в случае
одиночных дефектов зубов.
• Дефекты двух или более отсутствующих зубов могут ухудшить конечный
эстетический результат из-за худшего восстановления зубных сосочков между
установленными имплантатами.
English     Русский Правила