Экзема
Истинная экзема
Микробная экзема
Профессиональная экзема
Себорейная экзема
Детская экзема
1.42M
Категория: МедицинаМедицина

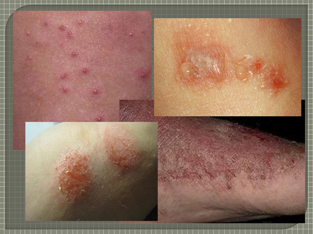
Экзема (eczema; греч. ekzema высыпание на коже)

1. Экзема

Выполнила студентка
4 курса МПФ 9 группы
Старостина Анна

2.

Экзема (eczema; греч. ekzema
высыпание на коже) — хроническое
рецидивирующее воспалительное
заболевание поверхностных слоев
кожи нервно-аллергической
природы, сопровождающееся
полиморфизмом сыпи (везикулы,
эритема, папулы) и поливалентной
сенсибилизацией.

3.

4.

Полиэтиологическое заболевание развивается под
воздействием множества экзогенных (внешних)
и эндогенных (внутренних) факторов, к числу
которых можно отнести:
наследственную предрасположенность к
возникновению аллергических реакций;
ослабление иммунной системы;
патологии печени и почек;
болезни ЖКТ;
дерматологические заболевания;
гормональные сбои;
заболевания нервной системы;
химические, механические и термические
воздействия (в том числе и профессиональные).

5.

6. Истинная экзема

7. Микробная экзема

8. Профессиональная экзема

9. Себорейная экзема

10. Детская экзема

11.

Терапия экземы зависит от разновидности
патологического процесса и сводится к применению
следующих препаратов:
наружных форм кортикостероидов;
противозудных средств;
антибактериальных мазей;
противогрибковых средств;
витаминов B1, C и B6;
успокаивающих средств (валерианы,
транквилизаторов);
десенсибилизирующих гелей и мазей;
антигистаминных средств.
Помимо этого, программа лечения экземы
предусматривает строгое соблюдение специальной
диеты, курортотерапию и физиотерапию.
English     Русский Правила