3.56M
Категория:
Медицина
Похожие презентации:
Методы нейровизуализации при ишемических инсультах. Диагностическая значимость КТ, МРТ
Микроаденома гипофиза : МРТ исследования, критерии диагностики
КТ и МРТ в диагностике очаговых образований печени: что, когда, кому?
Мультимедийная презентация «Методы исследования: КТ и МРТ»
Возможности высокопольной МРТ в нейровизуализации нарушений мозгового кровообращения. Сосудистая патология
Нейровизуализация острого нарушения мозгового кровообращения
Методика проведения МРТ органов женского малого таза. Укладка пациента, протокол исследования, основные МР-последовательности
Шея. Протоколы сканирования. Артефакты, методы борьбы с ними. Формирование заключений
Магнитно-резонансная томография. МРТ. Режимы работы
МРТ диагностика очаговых поражений головного мозга
Кровь при МРТ исследовании
1.
CT
2.
3.
4.
5.
MRI
6.
T1
T2
T2*
DWI
7.
MRI
CT
8.
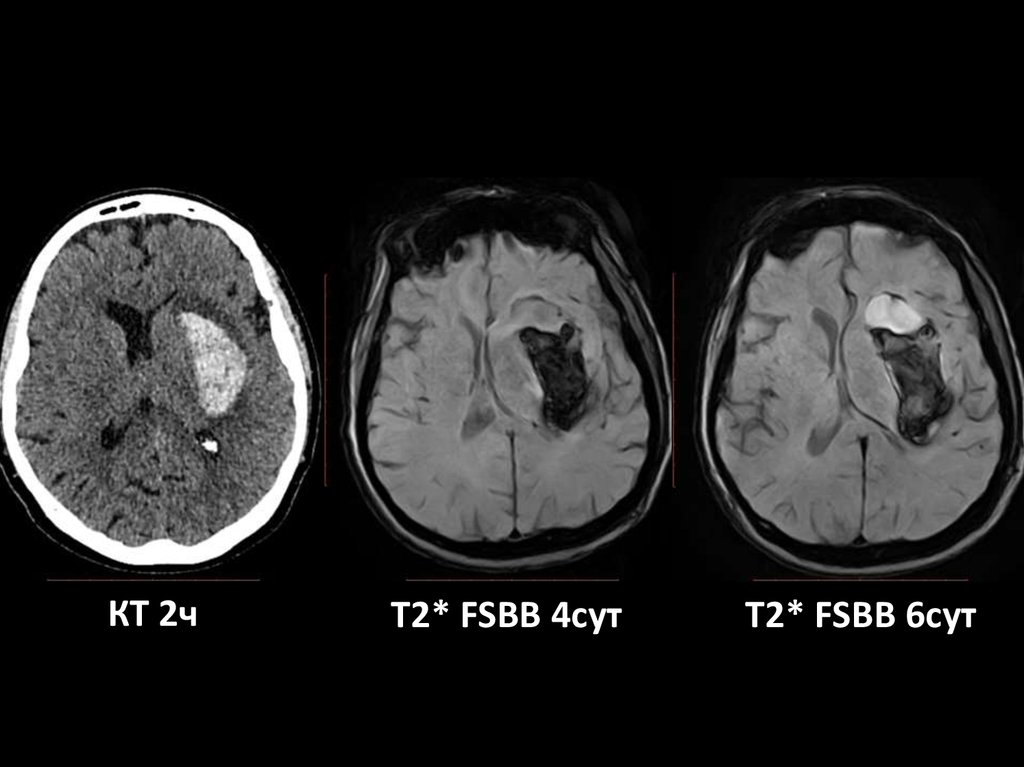
КТ
9.10.2015
2 часа после начала
64 HU
9.
МРТ 13.10.2015 4 сутки
T2* FSBB
T1
T2
FLAIR
DWI
10.
МРТ 15.10.2015 6 сутки
T2* FSBB
T1
T2
FLAIR
DWI
11.
КТ 2ч
T2* FSBB 4сут
T2* FSBB 6сут
English
Русский
Правила