Лучевая диагностика
Методика описания рентгенологических изменений в легких
Рентгенологические синдромы в легких
Рентгенограммы легких
Рентгенограммы легких
Рентгенограммы легких
Рентгенограммы легких
Рентгенограммы легких
Рентгенограммы легких
Рентгенограммы легких
Рентгенограммы легких
Рентгенограммы легких
Рентгенограммы легких
Рентгенограммы легких
Рентгенограммы легких
Рентгенограммы легких
Рентгенограммы легких
6.07M
Категория: МедицинаМедицина

Лучевая диагностика легких

1. Лучевая диагностика

Табриз Нурлан Сулейменович
доктор медицинских наук, профессор
Қараганда 2018

2. Методика описания рентгенологических изменений в легких

Локализация процесса. Указать распределение по долям и
сегментам.
Размер, величина тени.
Форма. Указать: округлые, овальные, полигональные, линейные,
неправильные.
Интенсивность. Указать: слабая, средняя, интенсивная.
Структура. Однородная или неоднородная.
Наличие полости распада
Контуры. Указать: четкие и нечеткие.
Состояние окружающей легочной ткани.
Смещаемость. Указать: отклонение структур легких от их
местоположения в норме.

3. Рентгенологические синдромы в легких

Ограниченное очаговое поражение - затемнения до 1 см
занимающие ограниченный участок.
Диссеминированное поражение - затемнения до 1 см
занимающие обширный участок.
Ограниченное (инфильтративное поражение) затемнение более 1 см, преимущественно неправильной формы, с
нечетким контуром.
Округлое поражение - затемнение более 1 см, округлой или
овальной формы, с четким контуром.
Кольцевидное поражение.
Обширное поражение
Изменения в корне
Обширное просветление
Поражение плевры

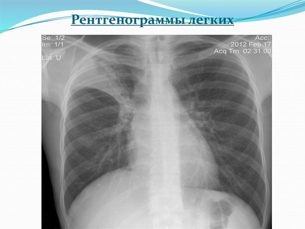
4. Рентгенограммы легких

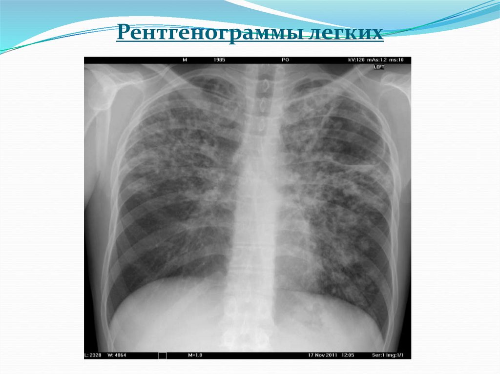
5. Рентгенограммы легких

6. Рентгенограммы легких

7. Рентгенограммы легких

8. Рентгенограммы легких

9. Рентгенограммы легких

10. Рентгенограммы легких

11. Рентгенограммы легких

12. Рентгенограммы легких

13. Рентгенограммы легких

14. Рентгенограммы легких

15. Рентгенограммы легких

16. Рентгенограммы легких

17. Рентгенограммы легких

18.

Рентгенограммы легких

19.

Спасибо
за внимание!!!
English     Русский Правила