20.72M
Категория: МедицинаМедицина

Пациенты с коронавирусом

1.

SARS-CoV-2
IgM (-)
IgG (-)
ПЦР
(-)
IgM (-)
IgG (-)
Токсины
клостридий
(А,В)
Токсины
клостридий
(-)
180
Колистин 80 мг 3 р/сут
ингаляционно
Диарея
38,5
Меропенем 1 г 3 р/сут в/в
Бакперазон 4,0 2 р/сут в\в
160
Температура
Фосфомицин 2,0
2 р/сут в/в
P.Aeruginosa
в БАЛ
Ванкомицин 1000 мг 2 р/сут в\в + 250 мг 4 р/сут per os
Амоксиклав 1200 мг
3 р/сут в\в
140
IgM 4,6
IgG 22
ОСН КАГ
Метронидазол в\в
38,0
Лейкоциты
ИВЛ
ИВЛ
СРБ
120
37,5
ГДФ
ГДФ
100
37,0
80
60
36,5
41,3
28,8
ПКТ ПКТ
10 10
ПКТ ПКТ
2 2
ПКТ
<0,5
36,0
24,8
16,1
23,7
13,9
ПКТ ПКТ
>0,5 >0,5
ПКТ
2
21 янв
20 янв
18 янв
17 янв
16 янв
15 янв
35,5
14 янв
13 янв
12 янв
11 янв
10 янв
9 янв
10,3 11
8 янв
7 янв
5 янв
4 янв
6 янв
12,3
13,8
8,5
3 янв
1 янв
31 дек
30 дек
2 янв
6,7
7,3
29 дек
28 дек
27 дек
26 дек
25 дек
24 дек
23 дек
22 дек
20 дек
19 дек
18 дек
17 дек
15 дек
16 дек
ПКТ
<0,5
11 12,3
13,6
10,8
6,1
12,2
14 дек
13 дек
10 дек
9 дек
6,7
12
7,2
8 дек
6 дек
5 дек
4 дек
3 дек
2 дек
1 дек
0
7 дек
9,5
14,2
21 дек
20
12 дек
24,5
8,7
11 дек
20
18,1 15,8
15,5
19,7
32,4
19 янв
40

2.

11.12.2020
09.01.2020
04.01.2020
16.01.2020
08.01.2020
21.01.2020

3.

02.12.2020
11.01.2021
ФВ 36%, гипокинез
верхушечных
сегментов, средних
переднего, переднеперегородочного
сегментов
25.12.2020
ФВ 58%, локальных
нарушений
сократимости нет,
СДЛА 20 мм рт.ст.
Небольшое количество
жидкости в перикарде
08.01.2021
ФВ 28%, акинез
верхушечных
сегментов, средних
переднего, переднеперегородочного
сегментов
14.01.2021
ФВ 43%, гипокинез
верхушечных
сегментов, средних
переднего, переднеперегородочного
сегментов
15.01.2021

4.

5.

16.12.2020
слева в S9 субплеврально отмечается появление
нескольких перибронховаскулярных очагов по типу
«матового стекла» малого калибра
(ориентировочно до 4 мм)
24.12.2020

6.

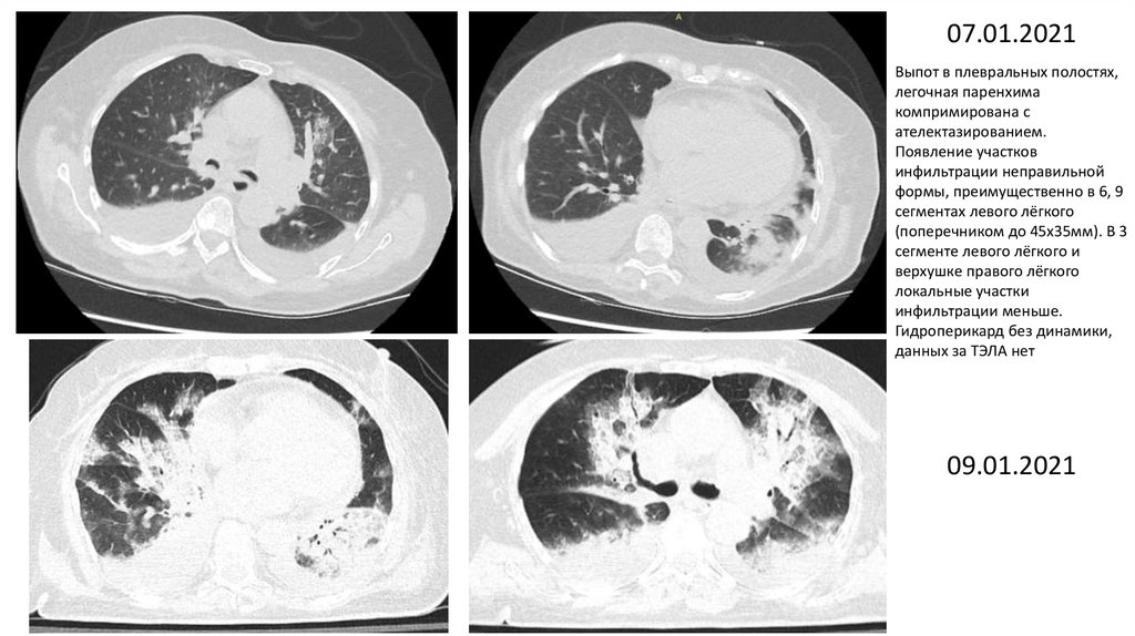
07.01.2021
Выпот в плевральных полостях,
легочная паренхима
компримирована с
ателектазированием.
Появление участков
инфильтрации неправильной
формы, преимущественно в 6, 9
сегментах левого лёгкого
(поперечником до 45х35мм). В 3
сегменте левого лёгкого и
верхушке правого лёгкого
локальные участки
инфильтрации меньше.
Гидроперикард без динамики,
данных за ТЭЛА нет
09.01.2021

7.

14.01.2021
Увеличение объема воспалительной инфильтрации с участками
альвеолярной консолидации в нижних долях легких (S6, S8, S9),
также имеются частичные сегментарные ателектазы S9,S10 с обеих
сторон. Определяется появление мелких очагов воспалительной
инфильтрации в S2 верхней доли левого легкого. В проекции
верхних долей легких, в средней доле правого легкого, в
прикорневых отделах визуализируется диффузные участки отека
легких с наличием диффузно утолщенного межальвеолярного
интерстиция. Сохраняется умеренный двухсторонний гидроторакс,
умеренное количество жидкости в полости перикарда
20 .01.2021
English     Русский Правила