28.40M
Категория: МедицинаМедицина

Рак отдельных локализаций (пищевода, желудка, молочной железы, матки)

1.

Рак отдельных локализаций
(пищевода, желудка, молочной
железы, матки).

2.

№ 249 Аденома желудка.
Окраска гематоксилин-эозин.

3.

Полиповидное образование с
участками сосочковых
образований на поверхности, в
основе соединительная ткань
с железами варьирующих
размеров выстланных
циллиндрическим эпителием с
признаками пролиферации и
некоторой клеточной атипии
( признаки дисплазии).
№ 249 Аденома желудка.
Окраска гематоксилин-эозин.

4.

№ 64 Аденокарцинома желудка.
Окраска гематоксилин-эозин.

5.

№ 69 Слизистый (перстневидноклеточный) рак желудка.
Окраска гематоксилин-эозин.

6.

Атипичные
перстневидные
клетки
№ 69 Слизистый (перстневидноклеточный) рак желудка.
Окраска гематоксилин-эозин.

7.

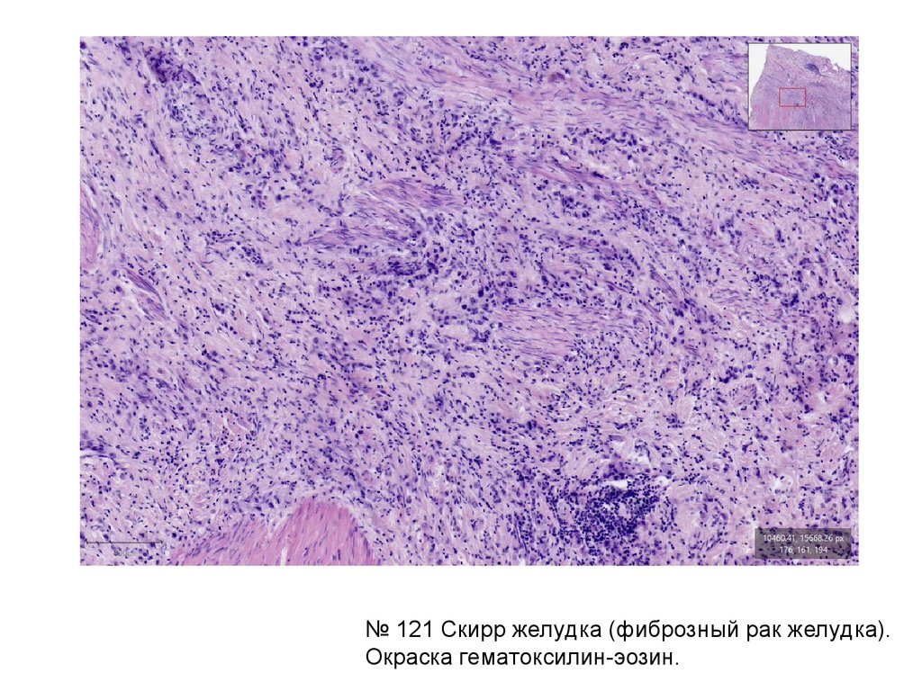
№ 121 Скирр желудка (фиброзный рак желудка).
Окраска гематоксилин-эозин.

8.

№ 121 Скирр желудка (фиброзный рак желудка).
Окраска гематоксилин-эозин.

9.

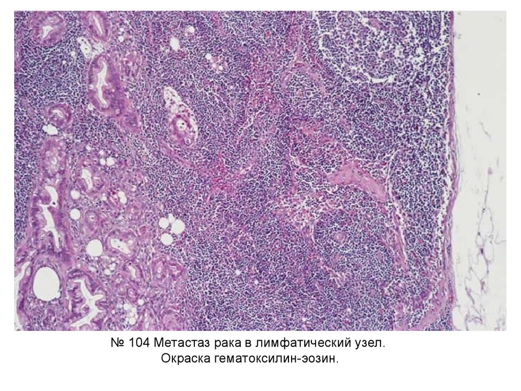
№ 104 Метастаз рака в лимфатический узел.
Окраска гематоксилин-эозин.

10.

№ 104 Метастаз рака в лимфатический узел.
Окраска гематоксилин-эозин

11.

№ 67 Метастаз рака в печень.
Окраска гематоксилин-эозин.

12.

№ 65 Протоковая инфильтрирующая карцинома молочной
железы скиррозного строения.
Окраска гематоксилин-эозин

13.

Мелкие комплексы варьирующие по
форме и размерам из атипичных
клеток неравномерно расположены
среди большого количества стромы
№ 65 Протоковая инфильтрирующая карцинома
молочно железы скиррозного строения.
Окраска гематоксилин-эозин

14.

№ 62 Плоскоклеточный ороговевающий рак.
Окраска гематоксилин-эозин

15.

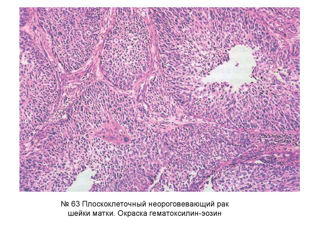
№ 63 Плоскоклеточный неороговевающий рак
шейки матки. Окраска гематоксилин-эозин

16.

№ 63 Плоскоклеточный неороговевающий рак
шейки матки. Окраска гематоксилин-эозин

17.

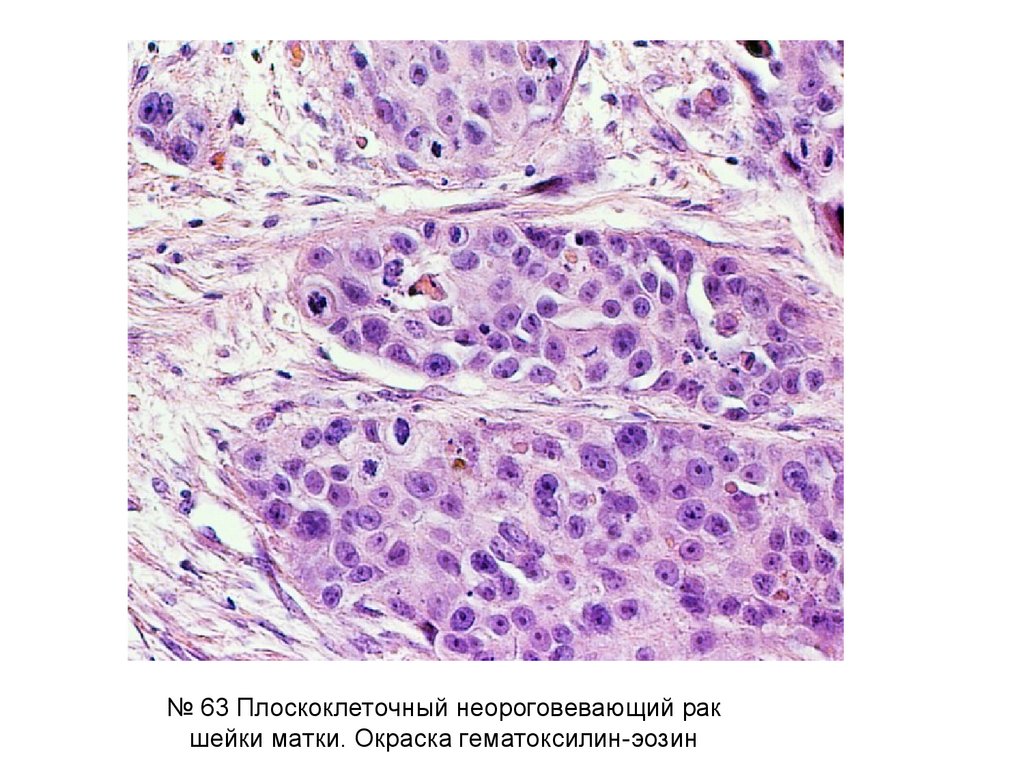
Комплексы разных форм
и размеров из атипичных
клеток
№ 63 Плоскоклеточный неороговевающий рак шейки матки. Окраска
гематоксилин-эозин

18.

№ 313 Аденокарцинома эндометрия
Окраска гематоксилин-эозин

19.

Железистоподобные структуры
разных форм и размеров из
атипичных клеток
№ 313 Аденокарцинома эндометрия
Окраска гематоксилин-эозин

20.

Макропрепараты
1.Блюдцеобразный рак желудка
Фрагмент желудка на внутренней поверхности образование 5х7 см в
шероховато-белесоватой поверхностью с валикообразными приподнятыми
краями.
2.Диффузный рак желудка
Складчатость слизистой оболочки сглажена, единичные толстые складки
хаотично расположены, стенка желудка утолщена до 2-2.5 см. На разрезе слои
стенки не дифференцируются, белесоватая плотная эластическая ткань
визуально врастает в жировую клетчатку малой кривизны.
3.Метастаз Крукенберга
Яичники увеличены в размере с бугристой поверхностью. На разрезе плотноэластическая белесовата ткань.
4. Рак шейки матки
Матка, на влагалищной порции шейки матки новообразование на широком
основании имеет вид цветной капусты с шероховато-белесоватая поверхность.
5. Рак молочной железы
На разрезе узел плотной консистенции белесоватого цвета, размерами 5х6 см,
визуально без четких границ с окружающей тканью.
English     Русский Правила