39.54M
Категория: МедицинаМедицина

Опухоли из эпителия. Рак отдельных локализаций (молочной железы, матки)

1.

Опухоли из эпителия.
Рак отдельных локализаций
(молочной железы, матки).

2.

№ 58 Папиллома кожи.
Окраска гематоксилин-эозин

3.

Тканевой атипизм - папиллярные разрастания
зрелого многослойного плоского
ороговевающего эпителия.
№ 58 Папиллома кожи.
Окраска гематоксилин-эозин

4.

№ 66 Фиброаденома молочной железы.
Окраска гематоксилин-эозин (э)

5.

Паренхима — железистоподобные структуры
разной формы и размеров.
Выстилка — зрелый однорядный цилиндрический
эпителий.
Неравномерное расположение желез в строме.
Большое количество стромы.
№ 66 Фиброаденома молочной железы.
Окраска гематоксилин-эозин (э)

6.

№ 60 Цистаденома яичника.
Окраска гематоксилин-эозин (э)

7.

Паренхима — кистозно
расширенные железистые
структуры, варьирующие по
размеру. Выстилка — зрелый
однорядный цилиндрический
эпителий
№ 60 Цистаденома яичника.
Окраска гематоксилин-эозин (э)

8.

№ 61 Сосочковая цистаденома яичника.
Окраска гематоксилин-эозин

9.

Пролиферирующие множественные
ветвящиеся сосочки, выстланы
зрелым однорядным цилиндрическим
эпителием
№ 61 Сосочковая цистаденома
яичника.
Окраска гематоксилин-эозин

10.

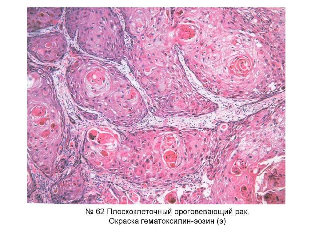
№ 62 Плоскоклеточный ороговевающий рак.
Окраска гематоксилин-эозин (э)

11.

№ 62 Плоскоклеточный ороговевающий рак.
Окраска гематоксилин-эозин

12.

Паренхима —
комплексы разной
формы и размеров из
атипичных клеток,
напоминающих
многослойный плоский
эпителий. В центре
комплексов — роговое
вещество.
№ 62 Плоскоклеточный ороговевающий рак.
Окраска гематоксилин-эозин (э)

13.

№ 64 Аденокарцинома желудка.
Окраска гематоксилин-эозин

14.

Паренхима —
железистоподобные структуры
разной формы и размеров из
атипичных клеток.
Инвазивный рост.
№ 64 Аденокарцинома
желудка (толстой кишки).
Окраска гематоксилин-эозин

15.

№ 65 Протоковая инфильтрирующая карцинома молочной
железы скиррозного строения.
Окраска гематоксилин-эозин

16.

№ 104 Метастаз рака в лимфатический узел.
Окраска гематоксилин-эозин

17.

Очаг из атипичных клеток
№ 104 Метастаз рака в лимфатический узел.
Окраска гематоксилин-эозин

18.

Макропрепараты
Сосочковая цистоаденома яичника
Новообразование овальной формы, с гладкой наружной
поверхностью с участком сосочковых разрастания. На разрезе
кистозные полости на внутренней поверхности мелкососочковые
белесоватые разрастания мягкой эластичной консистенции.
English     Русский Правила