39.44M
Категория: МедицинаМедицина

Опухоли из эпителия. Рак отдельных локализаций (молочной железы, матки)

1.

Хроническое воспаление.
Продуктивное воспаление.
Процессы адаптации.
Гипертрофия. Атрофия.
Регенерация.

2.

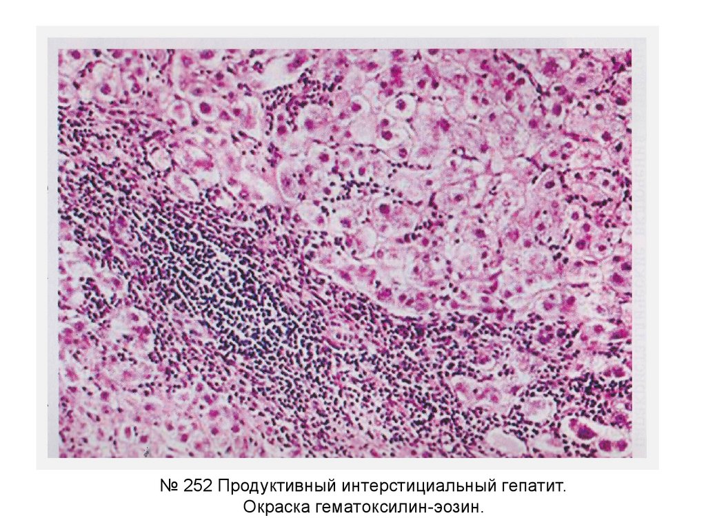
№ 252 Продуктивный интерстициальный гепатит.
Окраска гематоксилин-эозин.

3.

№ 252 Продуктивный интерстициальный
гепатит. Окраска гематоксилин-эозин.
Круглоклеточные инфильтраты,
склероз в строме

4.

№ 131 Туберкулезные гранулемы в легких (милиарный туберкулез).
Окраска гематоксилин-эозин.

5.

Клеточный состав туберкулезной гранулемы.
Окраска гематоксилин-эозин.

6.

№ 131 Туберкулезные гранулемы в легких (милиарный туберкулез). Окраска
гематоксилин-эозин.
В центре некроз.
На периферии скопление
лимфоцитов, эпителиоидных
клеток, гигантский клеток ПироговаЛангханса.

7.

№ 99 Многокамерный эхинококк печени.
Окраска гематоксилин-эозин.

8.

№ 99 Многокамерный эхинококк печени. Окраска гематоксилин-эозин.
Пузыри эхинококка, вокруг их некроз

9.

№ 225 Лимфатический узел при саркоидозе.
Окраска гематоксилин-эозин.

10.

№ 225 Лимфатический узел при саркоидозе. Окраска гематоксилин-эозин.
Гранулема из
эпителиоидных клеток

11.

№ 138 Сифилитический мезаортит.
Окраска гематоксилин-эозин.

12.

№ 138 Сифилитический мезаортит. Окраска гематоксилин-эозин.
Очаговые скопления
лимфоцитов,
макрофагов,
плазмоцитов.
Пролиферация
капилляров.

13.

№ 2 Гипертрофия миокарда.
Окраска гематоксилин-эозин.

14.

№ 2 Гипертрофия миокарда. Окраска гематоксилин-эозин.
Пример рабочей гипертрофии
Кардиомиоциты
утолщены с крупными
ядрами

15.

№ 40 Железистая гиперплазия эндометрия.
Окраска гематоксилин-эозин.

16.

№ 40 Железистая гиперплазия эндометрия.
Окраска гематоксилин-эозин.

17.

№ 40 Железистая гиперплазия эндометрия. Окраска гематоксилин-эозин.
Пример нейрогуморальной
гипертрофии на фоне
гиперэстрогении
Пролиферация эпителия желез
Пролиферация клеток стромы

18.

№ 31 Атрофия почки от давления. Гидронефроз.
Окраска гематоксилин-эозин.

19.

№ 31 Атрофия почки от давления. Гидронефроз. Окраска гематоксилин-эозин.

20.

№ 15 Бурая атрофия печени.
Окраска гематоксилин-эозин.

21.

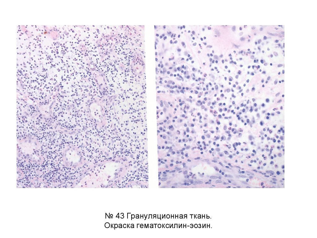
№ 43 Грануляционная ткань.
Окраска гематоксилин-эозин.

22.

Описание макропрепаратов
1)Милиарный туберкулез легких
На разрезе неровная поверхность, множественные плотные белесоватые
включения.
2)Сифилитическая гранулема печени
3)Гипертрофия сердца
Сердце увеличено в размере и весе, стенки утолщены - толщина левого
желудочка 2 см (в норме у левого— 11-12 мм, правого — 3-4 мм).
English     Русский Правила