Некариозные поражения твердых тканей зуба
КЛИНОВИДНЫЙ ДЕФЕКТ
ЭРОЗИЯ ЗУБОВ
СТИРАНИЕ ТВЕРДЫХ ТКАНЕЙ ЗУБА
Спасибо за внимание
1.54M
Категория: МедицинаМедицина

Некариозные поражения 4

1. Некариозные поражения твердых тканей зуба

Лекция 4

2.

• Другие болезни твердых тканей зубов
K03.0 Повышенное стирание зубов
K03.1 Сошлифование зубов
K03.2 Эрозия зубов
K03.3 Патологическая резорбция зубов
K03.4 Гиперцементоз
K03.5 Анкилоз зубов
K03.6 Отложения (наросты) на зубах
K03.7 Изменение цвета твердых тканей зубов после
прорезывания
K03.8 Другие уточненные болезни твердых тканей зубов
K03.9 Болезнь твердых тканей зубов неуточненная

3. КЛИНОВИДНЫЙ ДЕФЕКТ

4.

• Клиновидный дефект — некариозное поражение,
возникающее в твёрдых тканях зубов,
характеризующееся образованием в области шейки
зуба дефекта в виде клина.
• Этиология. Причины возникновения клиновидного
дефекта недостаточно изучены. Более современны
представления о роли эндокринной системы,
желудочно-кишечного тракта, нервной системы.
Определённая роль в возникновении клиновидного
дефекта принадлежит и структуре твёрдых тканей,
и окружающей зуб среде, и механическим
воздействиям на зуб. Но патогенез этих нарушений
достаточно не изучен.

5.

Гистологическая картина
• В эмали определяется сужение межпризменных
пространств, потеря четкости границ кристаллов
гидроксиапатита, плотность эмали за счет повышенной
минерализации.
• В дентине отмечается облитерация дентинных трубочек.
• В пульпе – вакуолизация одонтобластов, гиалинизация
пульпы, ретикулярная атрофия, отложение
заместительного дентина в полости зуба, однако
возбудимость пульпы не изменяется.

6.

• Стадии клиновидного дефекта:
1. Начальные проявления без видимой глазом убыли ткани,
которые выявляются с помощью лупы. Повышена
чувствительность к внешним раздражителям.
2. Поверхностные клиновидные дефекты в виде щелевых
повреждений эмали с той же локализацией вблизи эмалевоцементной границы. Глубина дефекта до 0,2 мм, длина от 3
до 3,5 мм. Характерна гиперестезия шеек зубов.
3. Средние клиновидные дефекты, образованные двумя
плоскостями, располагающимися под углом 40-45°. Средняя
глубина дефекта 0,2 – 0,3 мм, длина 3,5 – 4 мм.
4. Глубокий клиновидный дефект, имеющий длину 5 мм и
более, сопровождающийся поражением глубоких слоёв
дентина вплоть до коронковой полости зуба, что может
завершиться отломом коронки. Дно и стенки гладкие,
блестящие, края ровные.

7.

8.

• Дефекты могут быть единичными, но чаще их несколько,
располагаются на симметричных зубах.
• Обычно поражаются вестибулярные поверхности на
верхней челюсти – 1,4,5 зубов, на нижней челюсти –
1,2,3,4,5 зубов.
• Клиновидные дефекты располагаются в области шеек
зубов, имеют блестящую поверхность, при зондировании
гладкие, плотные, чаще безболезненные.
• При достижении значительной глубины под влиянием
механической нагрузки может произойти отлом коронки
зуба.
• Клиновидные дефекты развиваются медленно, иногда
десятилетиями. Медленное течение процесса
способствует отложению заместительного дентина,
поэтому часто болевые ощущения отсутствуют, а полость
зуба не вскрывается.

9.

10.

• Дифференциальная диагностика. Дифференцируют
клиновидный дефект от заболеваний некариозного
происхождения: эрозии твердых тканей зубов,
пришеечного некроза эмали, поверхностного и среднего
кариеса зубов.
• Лечение. При начальных проявлениях дефекта принимают
меры по стабилизации процесса. Для этого применяют
препараты, повышающие резистентность твердых тканей
зуба (аппликации 10 % раствора глюконата кальция, 2 %
раствора фторида натрия, 75 % фтористой пасты). Кроме
того, принимаются меры предосторожности по
уменьшению механического воздействия на зубы.
• При наличии выраженных дефектов твердых тканей
рекомендуется пломбирование.
• При глубоких дефектах необходимо изготовление
искусственных коронок.

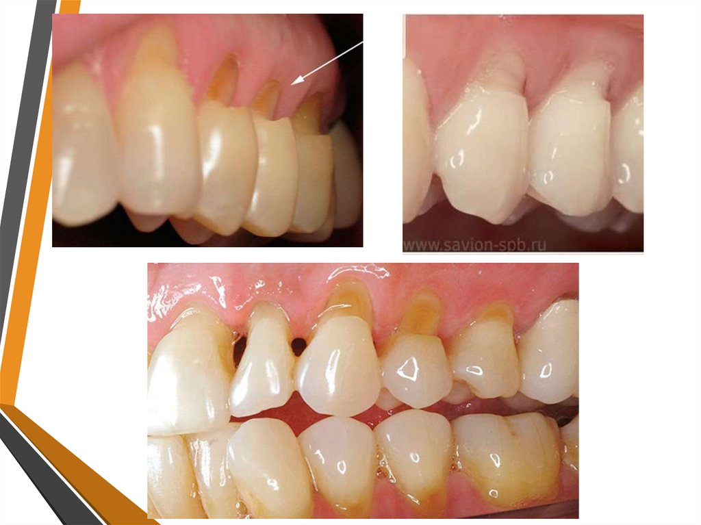
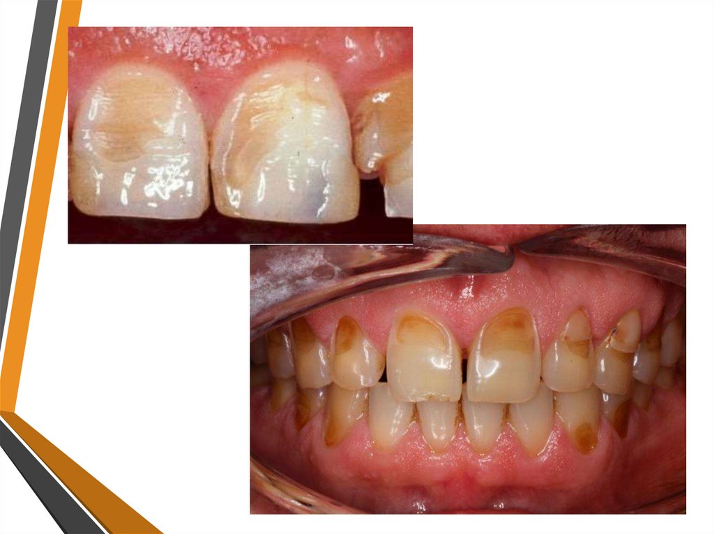
11. ЭРОЗИЯ ЗУБОВ

12.

• Эрозия — это дефект твердых тканей зуба с локализацией
на вестибулярной поверхности, имеющий форму блюдца.
• Этиология и патогенез окончательно не выяснены.
Некоторые авторы полагают, что эрозия зубов, как и
клиновидный дефект, возникает исключительно от
механического воздействия зубной щетки. Другие
считают, что возникновение эрозии обусловлено
употреблением в пищу большого количества плодов
цитрусовых и их соков. Ю. М. Максимовский (1981) важную
роль в патогенезе эрозии твердых тканей зубов отводит
эндокринным нарушениям и, в частности, гиперфункции
щитовидной железы. По его данным, одним из симптомов
этого заболевания является увеличение секреции слюны и
снижение вязкости ротовой жидкости, что не может не
сказаться на состоянии твердых тканей зуба.

13.

• В настоящее время в развитых странах отмечается снижение
заболеваемости кариесом, но увеличение числа лиц с
различными видами стираемости твёрдых тканей зубов, в том
числе и эрозии.
• В настоящее время увеличивается количество лиц молодого
возраста с поражением зубов эрозией. Это объясняют
воздействием неблагоприятных экологических факторов.
• Из факторов внутренней среды организма отводится роль
состоянию желудочнокишечного тракта в виде заболеваний,
сопровождающихся рефлюксом кислого содержимого желудка, а
также эндокринным нарушениям в организме, связанным,
прежде всего, с гиперфункцией щитовидной железы.
• Таким образом, в настоящее время известно, что в
этиопатогенезе эрозии важная роль принадлежит химическим
факторам в сочетании с механическими; нарушению
минерального обмена вследствие эндокринных или других
расстройств в организме, с ослаблением реминерализующего
действия ротовой жидкости, а также изменению функции
желудочно-кишечного тракта.

14.

Классификация.
• Различают две клинические стадии эрозии — активную и
стабилизированную, хотя в целом любая эрозия эмали и
дентина характеризуется хроническим течением.
Для активной стадии типична быстро прогрессирующая
убыль твердых тканей зуба, что сопровождается повышенной
чувствительностью пораженного участка к различного рода
внешним раздражителям (явление гиперестезии).
Стабилизированная стадия эрозии характеризуется
замедленным и более спокойным течением. Другим
признаком является отсутствие гиперестезии тканей.
• По глубине поражения выделяют три степени эрозии:
степень I, или начальная, — поражение лишь поверхностных
слоев эмали;
степень II, или средняя, — поражение всей толщи эмали
вплоть до эмалево-дентинного соединения;
степень III, или глубокая, — когда поражаются и
поверхностные слои дентина.

15.

• Локализация. Эрозии твердых тканей зубов появляются
преимущественно на симметричных поверхностях
центральных и боковых резцов верхней челюсти, а также
на клыках и малых коренных зубах обеих челюстей.
Дефекты располагаются на вестибулярных поверхностях в
области экваторов зубов. Поражение симметричное.
Практически не встречаются эрозии на больших коренных
зубах и на резцах нижней челюсти.
• Клиническая картина. Эрозия представляет собой
овальный или округлый дефект эмали, расположенный на
наиболее выпуклой части вестибулярной поверхности
коронки зуба. Дно эрозии гладкое, блестящее и твердое.
Эрозия эмали в отличие от других видов истирания в
большинстве случаев характеризуется выраженными
болевыми ощущениями при действии различного рода
факторов, особенно холодного воздуха и химических
раздражителей. В активной стадии жалоб больше, чем в
стабилизированной.

16.

17.

• Патологоанатомическая картина. При микроскопическом
исследовании участка с эрозией эмали наблюдаются
изменения в поверхностном слое, увеличение
межпризменных пространств, облитерация дентинных
канальцев.
• Дифференциальная диагностика. Эрозию эмали следует
дифференцировать от поверхностного кариеса,
клиновидного дефекта и некроза. Эрозии отличаются от
кариеса локализацией, формой поражения, а главное —
поверхностью (при эрозии она гладкая, а при кариесе
шероховатая). Клиновидный дефект отличается от эрозии
формой поражения, локализацией у шейки на границе
эмали с цементом, нередко при обнажении корня. Некроз
отличается от эрозии данными анамнеза, локализацией,
формой поражения и поверхностью дефекта.

18.

Лечение эрозии
• Общее:
- обследование больного, лечение соматического заболевания;
- для приема внутрь назначается глицерофосфат кальция или
глюконат кальция, витамины (дозировки такие же, что и при
клиновидном дефекте).
• Местное:
- исключить использование жёсткой зубной щётки;
- исключить избыточное потребление кислых соков, фруктов,
газиро- ванных напитков;
- использовать зубные пасты, содержащие минеральные вещества,
фтор;
- аппликации (15-20 сеансов) 3% раствора ремодента, 10% раствора
глюконата кальция, 2% раствора фторида натрия,
двухкомпонентного раствора, состоящего из 10% раствора нитрата
кальция и кислого фосфата аммония;
- при значительных дефектах проводится их восстановление с
помощью композитов, компомеров.

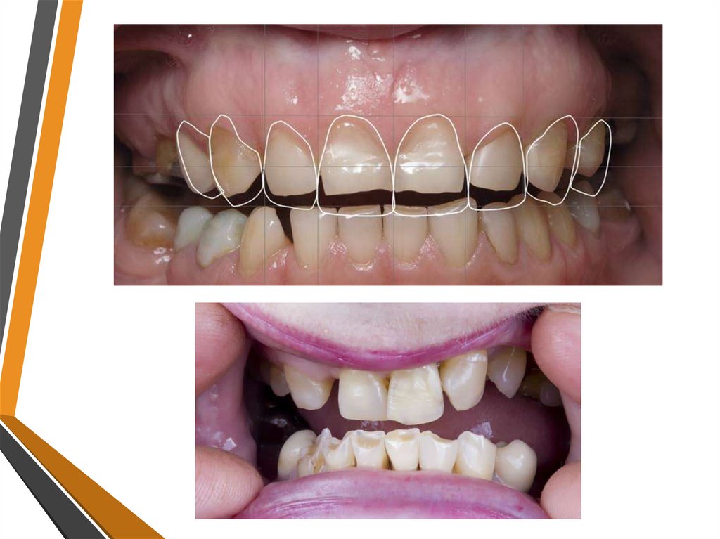
19. СТИРАНИЕ ТВЕРДЫХ ТКАНЕЙ ЗУБА

20.

• Стирание тканей зуба происходит у каждого человека, что
является результатом физиологической функции жевания.
• Стирание зубов бывает физиологическое и
патологическое.
• Физиологическое стирание зубов. В зависимости от
возраста степень физиологической стираемости зубов
повышается. В норме к 40 годам истирается эмаль бугорков
жевательных зубов, а к 50-60-и годам истирание
проявляется значительной убылью эмали на бугорках
жевательных зубов и укорочением коронок резцов.
• Патологическое стирание зубов. Под этим термином
пониамают раннюю, в молодом возрасте, и сильно
выраженную убыль твердых тканей в одном зубе, в группе
или во всех зубах.

21.

22.

Этиология и патогенез.
Причинами патологической стираемости зубов могут
являться следующие факторы:
• состояние прикуса (например, при прямом прикусе
стиранию подвергаются жевательная поверхность
боковых и режущие края передних зубов),
• перегрузка вследствие утраты зубов,
• неправильная конструкция протезов,
• бытовые и профессиональные вредные воздействия,
• формирование неполноценных тканевых структур.

23.

Классификация
По форме
• горизонтальная
• вертикальная
• смешанная
Принято различать локализованную и генерализованную форму
стираемости.
Клинико-анатомическкая классификация,
• первая степень - незначительное стирание бугров и режущих
краёв коронок зуба;
• вторая степень - стёртость эмали бугров клыков, премоляров и
моляров, режущих краёв резцов с обнажением поверхностных
слоев дентина;
• третья степень - стирание эмали и значительной части дентина
до уровня коронковой полости зуба.

24.

25.

26.

Клиническая картина.
• В зависимости от степени патологической стираемости
больные могут жаловаться на повышенную
чувствительность зубов от температурных, механических и
химических раздражителей.
• Возможно также отсуствие жалоб, так как по мере
истирания эмали и дентина, благодаря пластической
функции пульпы, откладывается заместительный дентин.
• Чаще больные жалуются на травмирование мягких тканей
полости рта острыми краями эмали, которые образуются
по причине более интенсивного истирания дентина по
сравнению с эмалью.

27.

• По мере того, как с возрастом происходит стирание бугров
жевательной прверхности, истирание резцов интенсивно
прогрессирует. Длина коронок резцов убывает и к 35—40 годам
она уменьшается на 1/3— ½. При этом вместо режущего края на
резцах образуются значительные площадки, в центре которых
виден дентин.
• Если лечение не проводится, то стирание тканей быстро
прогрессирует и коронки зубов становятся значительно короче.
В таких случаях наблюдаются признаки уменьшения нижней
трети лица, что проявляется в образовании складок у углов рта.
• У лиц со значительным снижением прикуса могут наступить
изменения височнонижнечелюстного сустава и, как следствие
этого, возникнуть жжение или боль слизистой оболочки рта,
снижение слуха и другие симптомы, характерные для синдрома
заниженного прикуса.

28.

Гистологически
• При начальных проявления обнаруживается
отложение заместительного дентина соответственно
участку истирания, в дальнейшем наряду с этим
наблюдается обтурация дентинных трубочек,
выраженные изменения в пульпе (уменьшение
количества одонтобластов, их вакуолизация, атрофия;
в центральных слоях пульпы отмечаются
петрификаты).
• Коронковая полость зуба заполняется
заместительным дентином, каналы плохо проходимы.
• Нервные волокна в пульпе сохранены,
электровозбудимость пульпы почти не изменена.

29.

• Лечение патологической стираемости зависит от её формы
и степени выраженности.
• Вначале проводится устранение местных причин,
назначается лечение общей патологии, сошлифовываются
острые края зуба, устраняется гиперестезия.
• При вертикальной и смешанной формах стираемости ткани
зуба восстанавливают винирами, ламинатами.
• При горизонтальной стираемости изготавливают коронки,
съёмные и несъёмные ортопедические конструкции.

30. Спасибо за внимание

English     Русский Правила