ГБУ Санкт-Петербургский НИИ скорой помощи им.И.И. Джанелидзе Отдел лабораторной диагностики
Кроветворение
ГСК
Регуляция кроветворения
Регуляция кроветворения
Регуляция кроветворения
Основные клеточные элементы крови
Основные клеточные элементы крови
РЕАКТИВНЫЕ ИЗМЕНЕНИЯ КРОВИ
Клинический анализ крови
Клинический анализ крови
Клинический анализ крови
Реактивные изменения крови
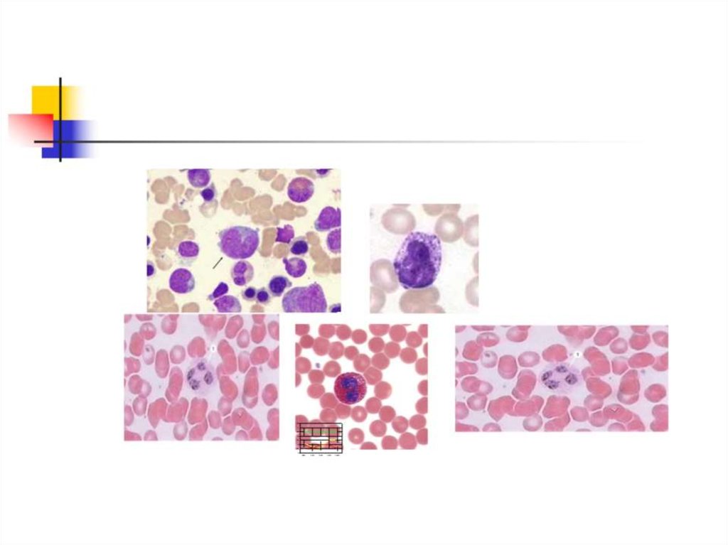
Нейтрофилез
Нейтропения
Эозинофилия – увеличение количества клеток более 0,4 ·109/л или 5%
Моноцитоз и моноцитопения
Лимфоцитоз – количество клеток более 4 ·109/л
Лимфоцитопения - количество клеток менее 1 ·109/л
АНЕМИИ
АНЕМИИ
ПАТОГЕНЕТИЧЕСКАЯ КЛАССИФИКАЦИЯ АНЕМИЙ
Анемии, обусловленные кровопотерей
Содержание эритроцитов (1012 /л) и гемоглобина (г/л) у пострадавших с тяжелой травмой
Уровень эритробластов и нормоцитов (%) в костном мозге у пострадавших с тяжелой травмой
Анемии, обусловленные кровопотерей
Анемии, обусловленные недостаточностью эритропоэза
Анемии, обусловленные недостаточностью эритропоэза
ГИПОРМОХРОМНЫЕ АНЕМИИ
ЖДА
ЖДА
ЖДА
ЖДА
ЖДА
ЖДА
Величина и форма эритроцитов
ЖДА
Анемии, связанные с нарушением синтеза порфиринов
Анемии, связанные с нарушением синтеза порфиринов
Величина и форма эритроцитов
Нормохромные анемии
Нормохромные анемии
Нормохромные анемии
АПЛАСТИЧЕСКИЕ АНЕМИИ (АА)
АПЛАСТИЧЕСКИЕ АНЕМИИ (АА)
АПЛАСТИЧЕСКИЕ АНЕМИИ (АА)
АПЛАСТИЧЕСКИЕ АНЕМИИ (АА)
МЕГАЛОБЛАСТНЫЕ АНЕМИИ (МБА)
МЕГАЛОБЛАСТНЫЕ АНЕМИИ (МБА)
МЕГАЛОБЛАСТНЫЕ АНЕМИИ (МБА)
МЕГАЛОБЛАСТНЫЕ АНЕМИИ (МБА)
12.13M
Категория: МедицинаМедицина

Кроветворение. Реактивные изменения крови. Анемии

1. ГБУ Санкт-Петербургский НИИ скорой помощи им.И.И. Джанелидзе Отдел лабораторной диагностики

English     Русский Правила