4.76M
Категория: МедицинаМедицина

Лучевое исследование лёгких, плевры

1.

Лучевое исследование лёгких,
плевры

2.

Негативное изображение
• Затенение – светлое
• Просветление - тёмное

3.

4.

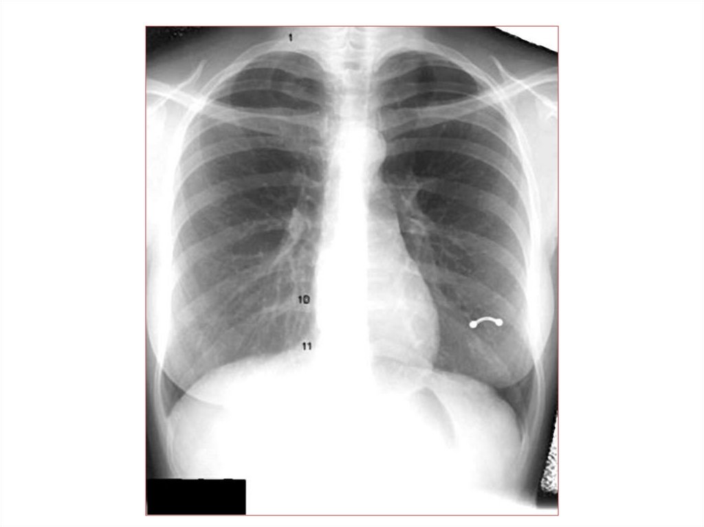
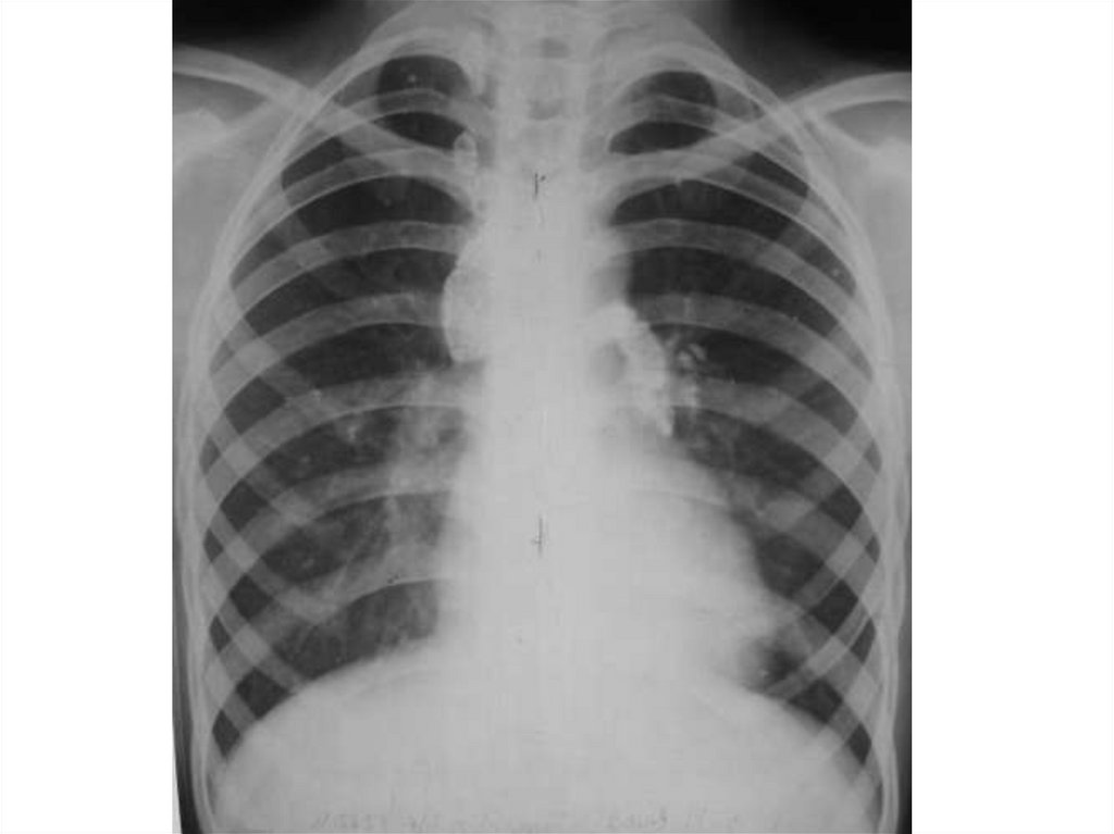
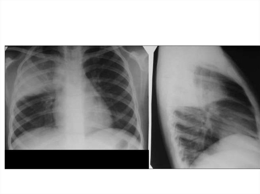
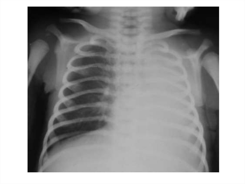
Гидроторакс

5.

6.

7.

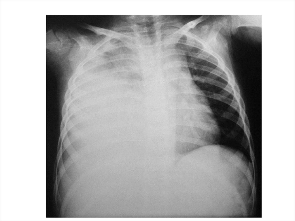
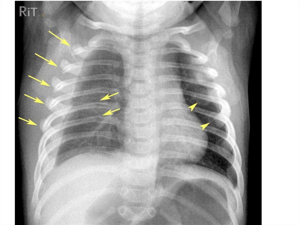
Пневмоторакс Гидроторакс
Ателектаз
просветление затенение
затенение
гомогенное
гомогенное
гомогенное
Смещение
средостения в
противоположную
сторону
Смещение
средостения в
противоположную
сторону
Смещение
средостения в сторону
поражения
или без смещения
Или без смещения
(если не напряженный) (при малом объёме)
Смещение диафрагмы
вверх (если видна
диафрагма)

8.

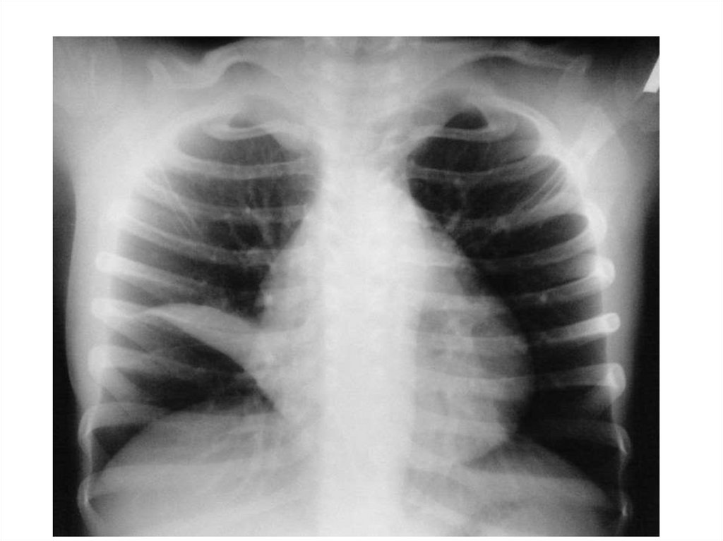
Пневмоторакс

9.

10.

11.

Ателектаз

12.

13.

14.

15.

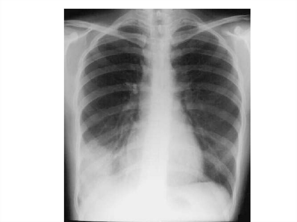
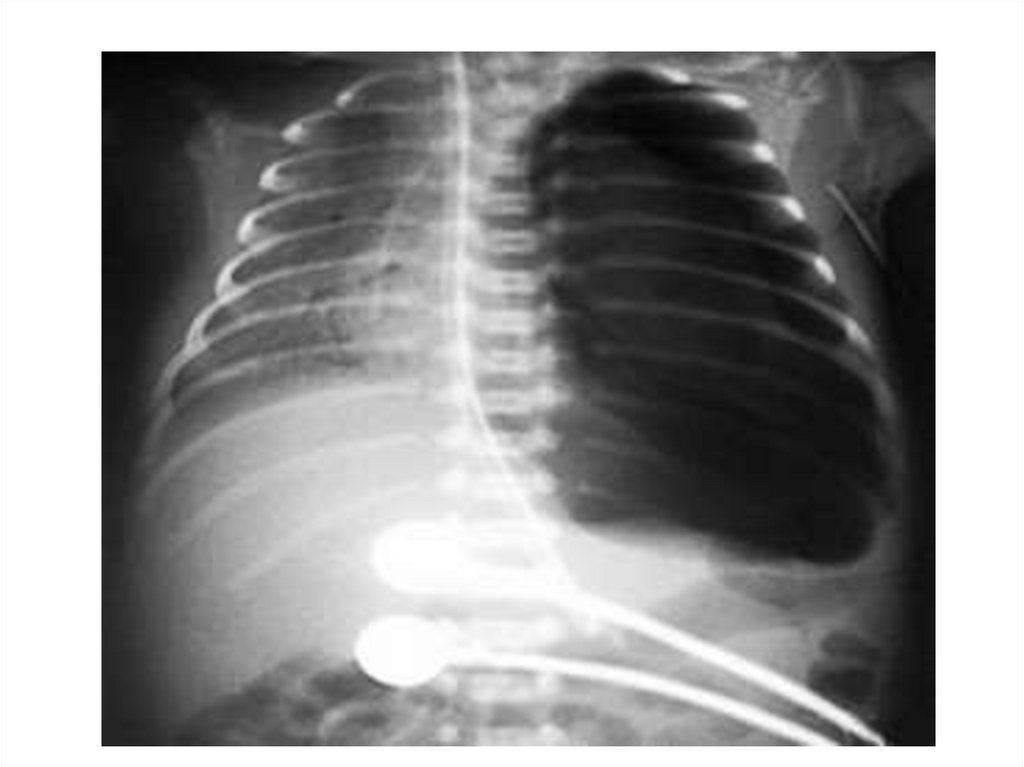
Эмфизема

16.

17.

18.

19.

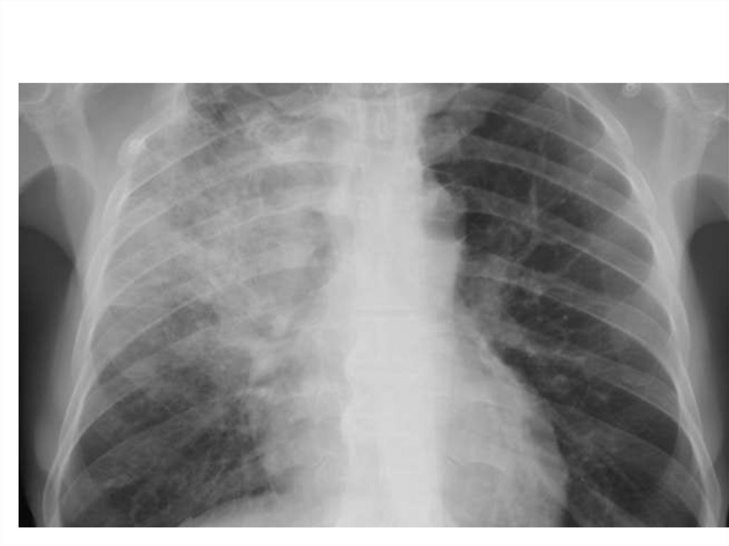
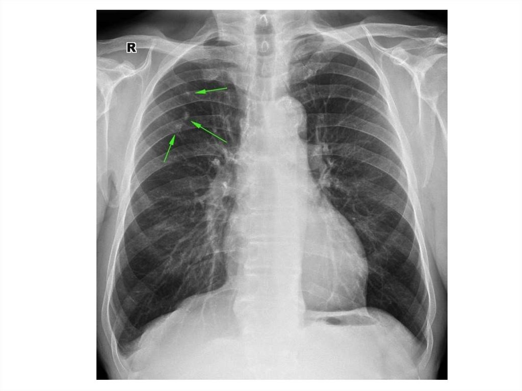
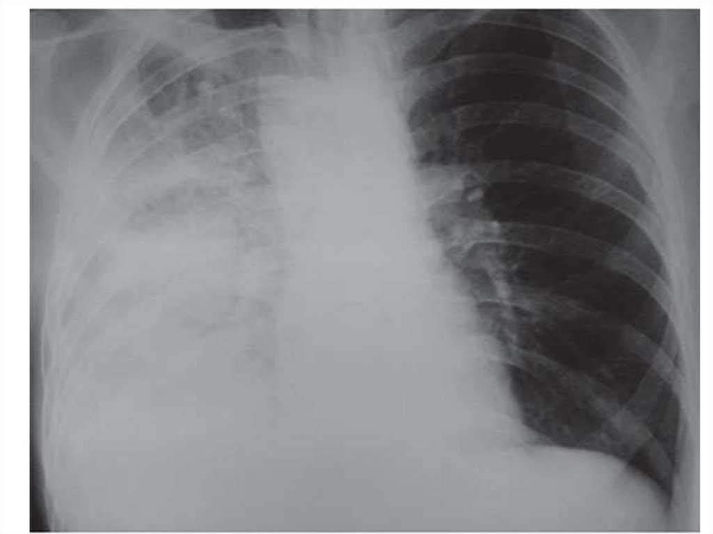
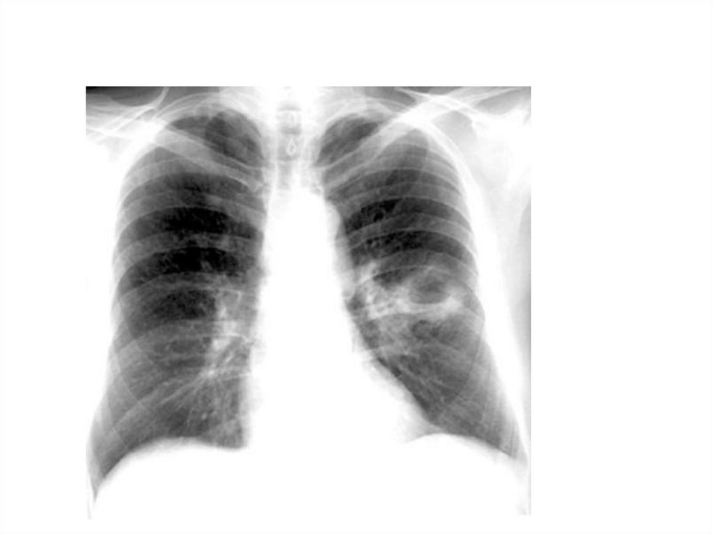
Пневмония

20.

21.

22.

23.

24.

25.

26.

27.

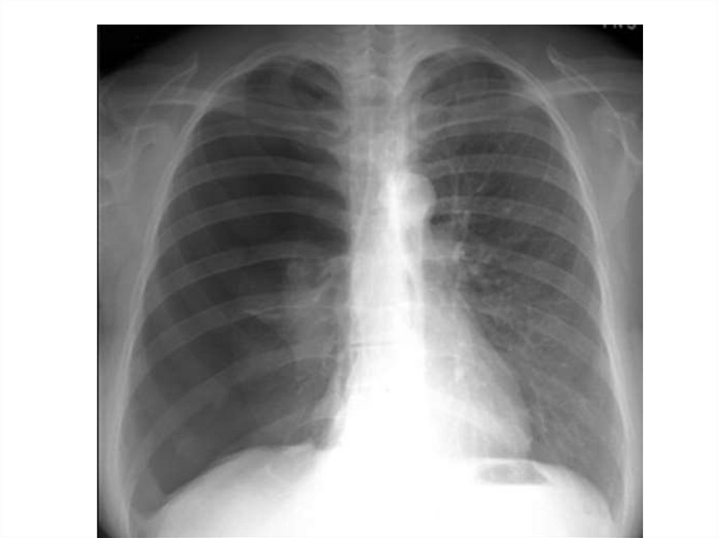
Экссудативный плеврит

28.

Междолевой плеврит

29.

Осумкованный плеврит

30.

Панцирный плеврит

31.

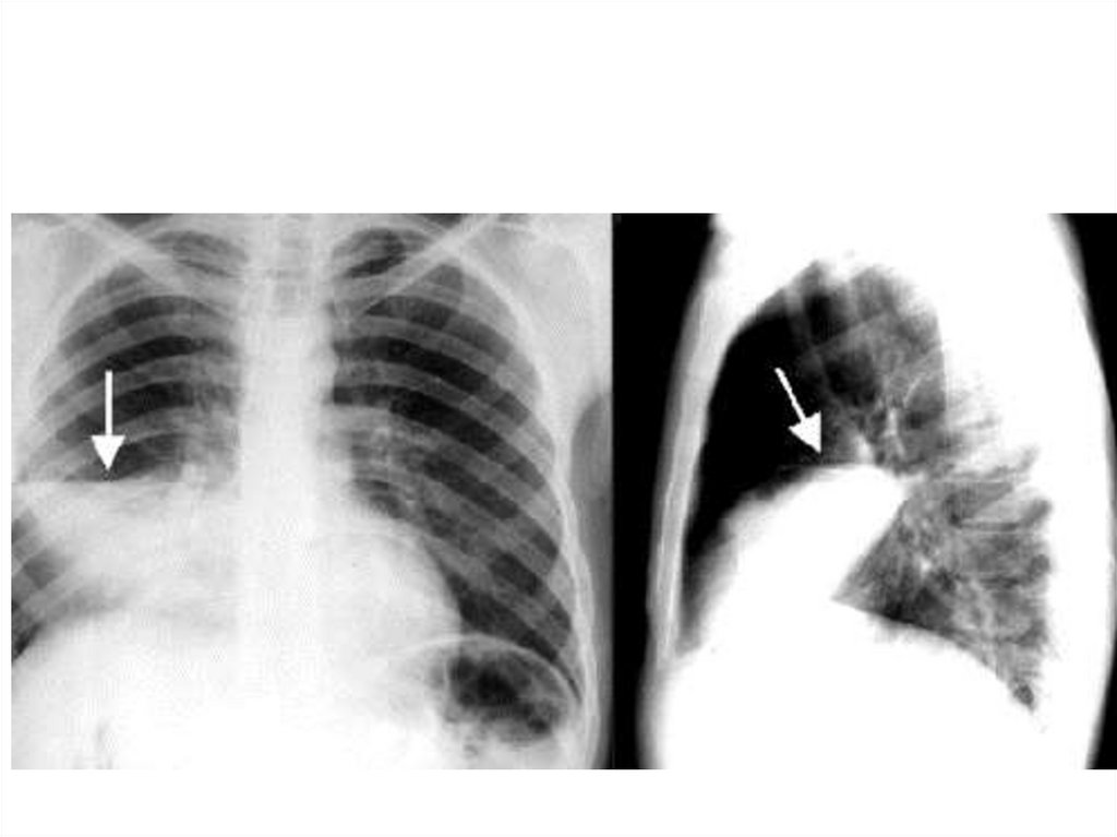
Абсцесс

32.

33.

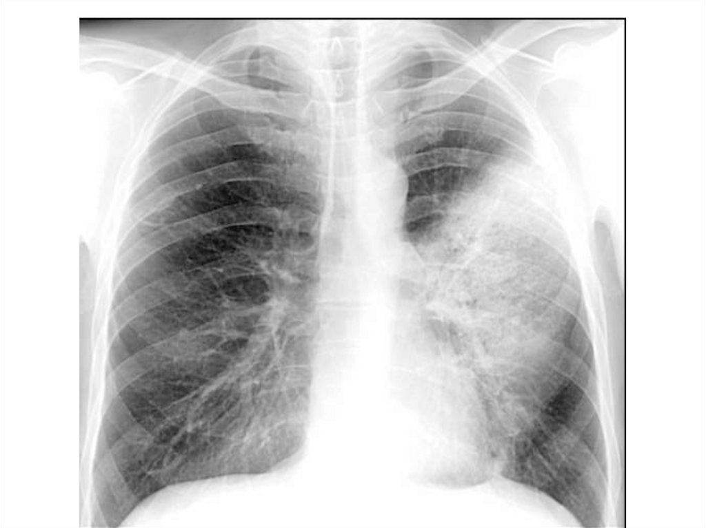
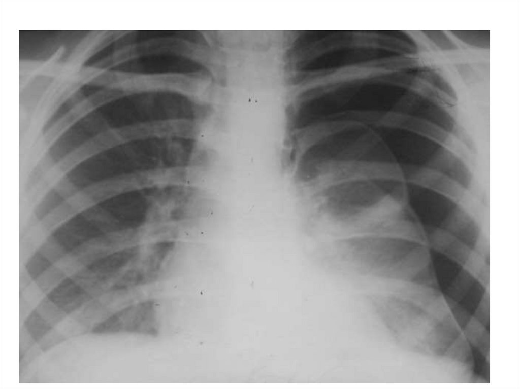
Туберкулёз
English     Русский Правила