Эпидемиологическая ситуация по туберкулёзу за 9 месяцев 2025 год
Основные вопросы:
Сравнительные данные заболеваемости туберкулеза по ОА, г.Семей и Поликлиника № 4
Сравнительные данные смертности от туберкулеза по ОА, г.Семей и Поликлиника № 4
Заболеваемость туберкулеза по г.Семей в разрезе СВА за 9 месяцев 2025 год
Рецидив Поликлиника № 4
 
Рентгенография ОГК от 26.06.2024г заключение: ДТЛ МТ+
Ларионов Вадим Викторович 29.03.1980 г.р. Диагноз:  Инфильтративный туберкулез легких в фазе распада и обсеменения МТ+ ЛЧТБ Тип
 
Дошкова Александра Николаевна 07.11.1993 Инфильтративный туберкулез верхних долей легких в фазе распада и обсеменения МТ(+)
За 9 месяцев 2024 г. направлено на микроскопию мокроты 2 пациентов. Выявлено 6 положительных анализов мокроты что составило
За 9 месяцев 2025 г. направлено на микроскопию мокроты 7 пациентов. Выявлено 7 положительных анализов мокроты что составило
выводы
Проблемы и недостатки:
Проблемы и недостатки:
Рекомендации
22.75M
Категория: МедицинаМедицина

готовыйСлайд-шоу по туб. службе за 2025 год

1. Эпидемиологическая ситуация по туберкулёзу за 9 месяцев 2025 год

Место проведения: КГП на ПХВ
Поликлиника № 4 г.Семей
Докладчик: Жармухаметова Айжан
Советовна

2. Основные вопросы:

• Эпидемиологическая ситуация по туберкулёзу
за 2024-2025гг по ОА, г.Семей и Поликлинике
№4
• Основные успехи и проблемы по итогам года.

3. Сравнительные данные заболеваемости туберкулеза по ОА, г.Семей и Поликлиника № 4

Заболеваемость
2024 г.
Абс число
НС
2025г.
на 100 Абс число на 100 тыс
тыс
НС
населения
населения
Область Абай
168
27,7
163
27,1
г. Семей
87
24,0
72
19,3
Поликлиника №4
5
29,9
3
11,3

4. Сравнительные данные смертности от туберкулеза по ОА, г.Семей и Поликлиника № 4

Смертность
2024 г.
2025г.
Абс число
НС
на 100 тыс
населения
Абс число
НС
на 100 тыс
населения
Область Абай
8
1,3
6
1,0
г. Семей
2
0,6
3
0,8
Поликлиника № 4
0
0
0
0

5. Заболеваемость туберкулеза по г.Семей в разрезе СВА за 9 месяцев 2025 год

СВА
Семей
НС
На
100ты
с
Из них ТОД
НС МТ+
абс
абс
%
CV+
абс
%
%
72
19,3
60
45,0
27
40,5
28
46,7
Полик-ка №4 3
11,3
3
100,0
2
66,7
2
66,7

6.

Новые случаи за 2024г
ФИО
Год
рожд
ен
Диагноз
выявле
ния
Участ
ок
1 Калиев Аскар 18.03. Туберкулома верхней доли правого Проф
4
от
Кабдулканович 1980 легкого МТ(-) ЛЧТБ НС проф I категория ЦВКК
13.03.2024г
I А группа ДУ
2 Сапрыкин
Сергей
Владимирович
2
03.01. Инфильтративный туберкулез верхних Проф
ЦВКК
от
1971 долей легких МТ(-) ЛЧТБ НС проф
03.05.2024г
I категория I А группа ДУ
3 Акушев
Еркинбек
Армеевич
7
11.07. Инфильтративный туберкулез верхних Обр
от
1972 долей легких в фазе распада и ЦВКК
обсеменения МТ (+) ЛЧТБ НС обращение 17.05.2024г
I категория I А группа ДУ
3
22.08. Туберкулез верхней доли бронха справа Проф
от
1986 МТ (-) ЛУТБ (из туб. контакта) НС проф ЦВКК
21.06.2024г
IV кат I В группа ДУ
4 Лобастова
Наталья
Сергеевна

7.

ФИО
5
Год
рождения
Диагноз
Канал
выявле
ния
УЧАСТОК
11
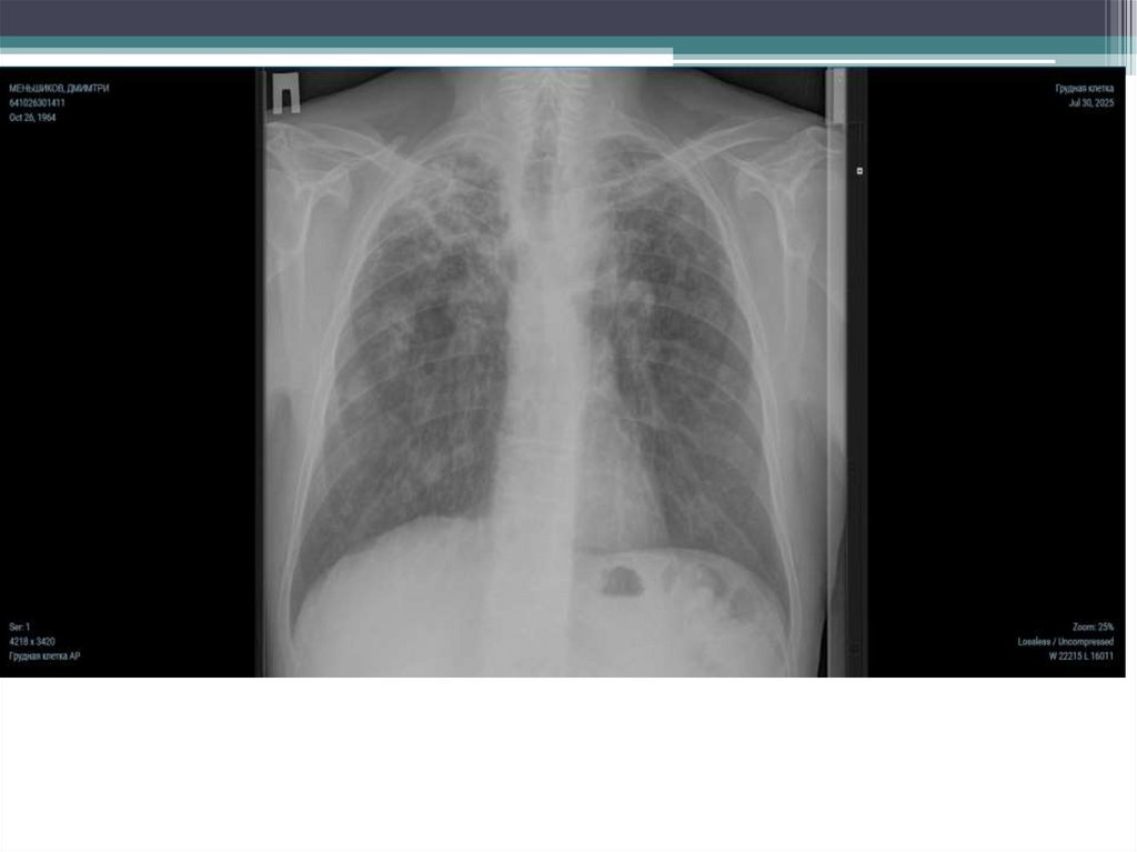
Меньщиков 26.10.1964 Диссиминированный
Обр
Дмитрий
хронический
туберкулез ЦВКК от
27.06.2024г
Дмитриевич
легких в фазе распада МТ(+)
ЛЧТБ НС I категория IА
группа
ДУ
обращение
запущенный случай

8. Рецидив Поликлиника № 4

• За 9месяцев 2024г рецидива.
• Омаров Анет Асетович 22.05.2003 г.р. Диагноз:
Инфильтративный туберкулез верхней доли левого
легкого в фазе обсеменения МТ(-) ЛУ ТБ рецидив из
снятых обращение IV категория IВ группа ДУ
• ЦВКК от 05.03.2024г

9.  

• Меньщиков Дмитрий Дмитриевич
• 26.10.1964
• Диссиминированный хронический туберкулез
легких в фазе распада МТ(+) ЛЧТБ НС I
категория IА группа ДУ обращение
запущенный случай

10. Рентгенография ОГК от 26.06.2024г заключение: ДТЛ МТ+

.
Рентгенография ОГК от
26.06.2024г заключение:
ДТЛ МТ+
Рентгенография ОГК от
27.08.2024г заключение: ДТЛ
МТ +

11.

• Меньщиков
Дмитрий
Дмитриевич
• 26.10.1964
• Диссиминирован
ный
хронический
туберкулез
легких в фазе
распада МТ(+)
ЛЧТБ НС I
категория IА
группа ДУ.
Обзорная
Рентгенография
ОГК от
20.01.2025г

12.

13. Ларионов Вадим Викторович 29.03.1980 г.р. Диагноз:  Инфильтративный туберкулез легких в фазе распада и обсеменения МТ+ ЛЧТБ Тип

• Ларионов Вадим Викторович
29.03.1980 г.р.
Диагноз:
Инфильтративный туберкулез легких в фазе
распада и обсеменения МТ+ ЛЧТБ Тип
"Рецидив" проф 1 А группа ДУ.

14.

• Ларионов Вадим Викторович 29.03.1980 г.р. Диагноз:
• Инфильтративный туберкулез легких в фазе распада и обсеменения МТ+ ЛЧТБ Тип
"Рецидив" проф 1 А группа ДУ. Рентген снимки в начале лечения ЦВКК от 26.11.2024г

15.

• Ларионов Вадим Викторович 29.03.1980 г.р. Диагноз:
• Инфильтративный туберкулез легких в фазе распада и обсеменения МТ+ ЛЧТБ
Тип "Рецидив" проф 1 А группа ДУ. Рентген снимки через 2 месяца лечения

16.

• Ларионов Вадим Викторович 29.03.1980 г.р. Диагноз:
• Инфильтративный туберкулез легких в фазе распада и обсеменения МТ+ ЛЧТБ Тип
"Рецидив" проф 1 А группа ДУ. Рентген снимки в динамике от 03.02.2025г . Пациент идет
на клапанную бронхоблокацию.

17.  

• Дошкова Александра
Николаевна
• 07.11.1993
• Инфильтративный
туберкулез верхних
долей легких в фазе
распада и
обсеменения МТ(+)
ЛЧТБ НС обращение
I категория
• I А группа ДУ.
• Рентгенография ОГК
от 17.12.2024г в
начале лечения

18. Дошкова Александра Николаевна 07.11.1993 Инфильтративный туберкулез верхних долей легких в фазе распада и обсеменения МТ(+)

ЛЧТБ НС
обращение I категория
I А группа ДУ.
КТ ОГК от 19.12.2024 в
начале лечения

19.

25.09.2025

20.

21.

22.

23.

• За 9 месяцев план 2024г-7003, выполнение-6374, что
составляет 91,0%
• План ФГОТК за 9 месяцев план 2025г – 11011,
выполнение-8848 составляет – 80.3 %
• Группа риска за 9 месяцев план 2024г- 1893,
выполнение- 1986, что составляет- 104.9 %
• Выявлено по флюорографии за 2024 год-3
человек
• Группа риска за 9 месяцев план 2025г -1767,
выполнение- 1497, что составляет – 84,7 %
• Выявлено по флюорографии за 2025 год- 1
человек
• 2 года и более за 9 месяцев план 2024г-1189,
выполнено-951, что составляет-79,9%
• 2 года и более за 9 месяцев план 2025г-2669,
выполнено-1530, что составляет-57,3 %
• Выявление по ФГ за 9 месяцев 2025г –
туберкулез- 1 чел

24. За 9 месяцев 2024 г. направлено на микроскопию мокроты 2 пациентов. Выявлено 6 положительных анализов мокроты что составило

7,6%
Выявляемость бактериоскопическим методом составила 7,6%
(стандарт 5-10 %).
ГОД
2024
Сдали
Всего
анализ
В т. ч. с
направле
мокроты
диагност
на МБТ
но на
. целью
БСМ
двухкрат
но/Gxpert
Выявлено
Выявлено БК+
Всего
В т. ч. с
положит
направле
диагност
ельных
но на
анализов
. целью
БСМ
мокроты
Абс.
Абс.
Абс.
G-Xpert
Абс.
%
76
76
76
4
2
5,2
4

25. За 9 месяцев 2025 г. направлено на микроскопию мокроты 7 пациентов. Выявлено 7 положительных анализов мокроты что составило

6,3%
Выявляемость бактериоскопическим методом составила 6,3%
(стандарт 5-10 %).
ГОД
2024
Сдали
Всего
анализ
В т. ч. с
направле
мокроты
диагност
на МБТ
но на
. целью
БСМ
двухкрат
но/Gxpert
Выявлено
Выявлено БК+
Всего
В т. ч. с
положит
направле
диагност
ельных
но на
анализов
. целью
БСМ
мокроты
Абс.
Абс.
Абс.
G-Xpert
Абс.
%
80
80
80
0
0
0
0

26.


Всего активных больных по 1 группе ЛУТБ ( лекарственно устойчивый туберкулез ТБМЛУ) лица, которые продолжают
лечение – 7 пациентов, из них: ИРЛ (ИНДИВИДУАЛЬНЫЙ РЕЖИМ ЛЕЧЕНИЯ)- 5 пациента: Меньщиков Д.Д, Лобастова Н. С,
Акенова Г.Ж., Омаров А.А, Мухамеджанов А.Б, из них КРЛ краткосрочный режим лечения-1: Лобастов С.А, 6BPalM -1 пациент:
Мусалиев М.М.
ЛЧТБ (ЛЕКАРСТВЕННО ЧУВСТВИТЕЛЬНЫЙ ТУБЕРКУЛЕЗ) ППР (ПРЕПАРАТЫ ПЕРВОГО РЯДА) лица, которые
продолжают лечение -7 пациентов: Дошкова А.Н, Майгапанов А.М, Булатов Д.Ю, Тимофеев Г.Г, Анохин В.Н, Карипжанов К.А, Ларионов
В.В.
Лечение. Мониторинг лечения ПТП. На лечении находится больных из них по 1 категорий- 7, по 4 категории -7, ВНЛ (видео наблюдаемое
лечение)-11, НКЛ (непосредственно-контролируемое лечение)- 1, «СПУТНИК»-2. Лечение у больных контролируемое, адекватное в полном
объёме. Слежение за побочными реакциями имеет место (ПР) Обучение больных проводится участковым фтизиатром. Работа пункта
контролируемого лечения (КЛ). Контролируемость лечения выполняется в 100% случаев (выдачи ПТП на руки не выявлено) Работу
химизатора проводит медицинская сестра (по совместительству) Бекбаева Н., обучена правилам НКЛ, имеет допуск, знает схему лечения и ее
интерпретацию, расшифровку буквенных обозначении ПТП, Журнал ТБ 18 стандартной формы заполнен, ведется правильно. Записи в ТБ 18
регулярные, снимается ежедневный остаток. Есть гигрометр, в рабочем состояний журнал температуры и влажности ведется, записи
регулярные. Имеется кондиционер. Лист раскладки, заведен на всех больных. Больные на прием ПТП приходят со своей емкостью с водой.
Имеется кулер, имеется запас одноразовых стаканов. Имеется кондиционер. Опрос на побочные реакции проводится. Документация ведется
аккуратно. Лекарственное обеспечение имеется обученный специалист по НКЛ. На день мониторинга в кабинете контролируемого лечения
имеется весь перечень ППР и ППР для адекватного лечения больных. Количество лекарств соответствует необходимой потребности в ПТП.
Условия хранения соответствуют минимальным требованиям, ПТП ПР и ПТП ВР хранятся раздельно. ПТП с истекшим сроком годности
отсутствуют, препаратов без риска истечения. Резервный запас на 1 месяц +25% имеется. Регистрация в ИСЛО своевременная и соответствует
журналу ТБ 14 и ТБ 15.
Всего по 2 ГДУ (НЕАКТИВНАЯ ГРУППА ДУ, которые ЗАВЕРШИЛИ ЛЕЧЕНИЕ)
2025г-29/2024г- 24
Всего по 3 ГДУ
2025г-48/2024г- 45
О ГДУ- лица с подозрением на туберкулез:
О ГДУ за 2025г за 9 месяцев состояло -8 человека, из них 6-снято, состоит-2
О ГДУ за 2024г за 9 месяцев состояло -8 человека, из них 7-снято, состоит-1
Всего направлено анализ мокроты на GXPert
За 9 месяцев 2025г-80 человек, из них G-Expert- положительный- 0 человек, из них МТ(+)-0, Выявлено – 0
За 9 месяцев 2024г- 76 из них G-Expert- положительный -4 случай с М(+) -2 что составляет 5,2 ( что соответствует выполнение стандарта от 5
до 10 %)
Проведено с целью выявления туберкулезной инфекций (ТИ) АТР взрослым проведено за 9 месяцев 2025 года – 147, из них отрицательный131,положительный-15, сомнительный-1
Выявлено ТИ -17 пациентов (их них из туб. контакта-14, из группы риска-3), охват проф. лечением (ПЛ) -14, отказ от ПЛ-3.
Проведено с целью выявления туберкулезной инфекций (ТИ) КФТ (квантиферроновый тест) взрослым проведено за 9 месяцев 2025 года – 7,
из них отрицательный-2, положительный-4, сомнительный-1
Выявлено ТИ -4 пациентов (их них из туб. контакта-4, из группы риска-0), охват проф. лечением (ПЛ) -2, отказ от ПЛ-2.
Проведено с целью выявления туберкулезной инфекций (ТИ) АТР взрослым проведено за 9 месяцев 2024 года – 85, из них отрицательный60, положительный-14, сомнительный-1, диф. диагностика-1
Выявлено ТИ по КФТ-9 пациентов (их них из туб. контакта-6, из группы риска-3, охват проф. лечением (ПЛ) -6, отказ от ПЛ-3
Проведено с целью выявления туберкулезной инфекций (ТИ) КФТ (квантиферроновый тест) взрослым проведено за 9 месяцев 2024 года – 10,
из них отрицательный-8, положительный-2.
Выявлено ТИ по КФТ -2 пациентов (их них из туб. контакта-2, из группы риска-0), охват проф. лечением (ПЛ) -2, отказ от ПЛ-0.

27. выводы


Отмечается снижение роста заболеваемости по туберкулезу на территории обслуживание
«Поликлиники N° 4» Заболеваемость имеет тенденцию к снижению с 29,9 % до 11,3 на 100000
населения ( 5 случаев в 2024г, против 3 новых случаев туберкулёза в 2025г. В связи с увеличением
количества населения, в связи с присоединение ВА №5 по данным РПН за 9 месяцев 2024г население всего составляло - 16705, взрослые-11884, по данным РПН за 9 месяцев 2025г-население
составляет 25833, взрослые-18460)
Случаев смерти больных туберкулёзом за 9 месяцев 2025г- не было, случаев смерти больных
туберкулёзом за 9 месяцев 2024г- не было.
Кратность обследования мокроты на «GXPert» соблюдена в 100 % случаев.
Стандарт НКЛ выполняется (100%).
План флюорографического обследования выполнен со снижением в 2025 году на 80,3%, а в 2024 году
план выполнения составила-70,7%
Проводить скрининг на наличие клинических симптомов туберкулёза при проведений по дворовых
обходов прикреплённого населения, особенно из группы высокого риска.
Своевременное направление на микроскопию мокроты всех лиц с подозрением на туберкулёз (в день
выявления симптомов подозрительных на туберкулёз), с детализацией жалоб и анамнеза,
дообследование в сроки 10-12 дней в ОЛС по месту жительства.
Своевременно пополнять базу данных электронного журнала (ФГ).
Регулярно проводить санитарно-просветительную работу среди населения по вопросам
профилактики туберкулёза.

28. Проблемы и недостатки:

Одной из проблем, по прежнему, остается не соблюдение
диагностического алгоритма по выявлению ТБ –
несвоевременное либо неполное обследование пациента в
ПМСП.
Введение электронного журнала ТБ 081. При правильном
соблюдении диагностического алгоритма журнал
заполняется автоматически.
3 новых случаев из них 33,3 % выявление по проф. осмотру
1 и 2 случаев -66,7% обращением, что указывает на
некачественно сформированную группу риска, либо на
несвоевременное обследование.
Необходимо дообследовать пациентов не проходивших
ФЛГ осмотр 2 и более лет
Первоочередной задачей является выявление латентной
инфекции среди больных с БОИ , МОИ, ФОИ.
Ускорить план выполнения ФГ за 2025г

29. Проблемы и недостатки:

• В 2024г Выявленные по флюорографий лица НС из 5
человек, 3-НС не проходили ФГ 2 года и более.
• В 2025г по базе флюорокартотеки: из 3 новых случаев 2
случая ФГ не проходили более 2-х лет:
• 2 участок- Сапрыкин С.В 1971 г.р. ФГ последняя от
29.04.2021г Рентген заключение: Пневмофиброз.
• 6 участок- Дошкова А.Н. 1993 г.р. последняя ФГ после родов
от 29.05.2022г Рентген заключение: НОРМА.
• 7-участок Акушев Е.А. 1972 г.р. последняя ФГ от 13.05.2019г
Рентген заключение: НОРМА. Нет ФГ архивов, со слов
проходил в 2022г,2023г платно.
• 7 – участок Ларионов В.В. 29.03.1980 г.р. Нет ФЛГ архива за
последние 5 лет.
• 11- участок Меньщиков Д.Д. 1964 г.р. Последняя ФГ от
30.09.2019г Рентген заключение: МОИ, нет ФГ архивов.

30. Рекомендации


Проводить качественный отбор пациентов при направлении на G-Xpert и микроскопию мокроты при подозрении на
туберкулез.
На участках при направлении пациента на анализ проводить обучение пациента правильному алгоритму сбора
мокроты
Расширять круг обследования контактных лиц ( обследовать не только членов семьи, совместно проживающих, но и других
родственников, соседей по подъезду и периметра частного сектора квадрата, коллег по работе)
Своевременно и качественно проводить разборы по туберкулезу ( новые случаи, рецидивы, запущенные случаи и
т.д.)
Проявлять бдительность во время по-дворовых обходах, при подозрении на ТБ у приезжих лиц принимать меры
по выявлению туберкулеза.
Проведение Диаскиного теста и КФТ среди лиц состоящий на ДУ и группе риска получающих
иммунносурпессивную терапию, получающих и планирующих на лечение генно-инженерных препаратов,
пациентов с трансплантацией органов
Особого внимания требует группа не проходивших снимки 2и более, МОИ БОИ ФОИ
Строго соблюдать план выполнения ФГ по участкам: (особенно группу высокого риска: лиц не проходивших 2
года и более) Ответственные зав ВОП, ВОПы, ответсвенный по туб службе ВОП Ахтаева Е.С
Усилить контроль зав. ВОП, ответственного врача среди ВОП по туб. службе, о прохождении ФГ лиц высокого
риска
С целью своевременного прохождения ФГ социально не уязвимым слоям населения: совместно с зав. ВОП,
ответственного ВОП по туб. службе привлечь службу аутричей с НПО по согласованию с фтизиатром.
Проводить скрининг на наличие клинических симптомов туберкулёза при проведений по дворовых обходов
прикреплённого населения, особенно из группы высокого риска.
Своевременное направление на микроскопию мокроты всех лиц с подозрением на туберкулёз (в день выявления
симптомов подозрительных на туберкулёз), с детализацией жалоб и анамнеза, дообследование в сроки 10-12 дней
в ОЛС по месту жительства.
Своевременно пополнять базу данных электронного журнала (ФГ).
Регулярно проводить санитарно-просветительную работу среди населения по вопросам профилактики
туберкулёза.
Регулярно проводить обучение по вопросам туб, службы с ВОП и МОП согласно календарного плана .

31.

• Благодарю за внимание
English     Русский Правила